Перейти к:
Эпизодическая углеводная нагрузка ассоциируется с усилением апоптоза в островках поджелудочной железы, а не с экспрессией pancreatic duodenal homeobox-1 (PDX-1) у мышей
https://doi.org/10.14341/DM9437
Аннотация
Введение. Ранее проведенные исследования показали, что ограничение суточного потребления калорий является хорошим способом профилактики сахарного диабета (СД) 2 типа. Тем не менее из года в год наблюдается уверенная тенденция к росту заболеваемости СД. Таким образом, необходима разработка новых способов профилактики нарушения углеводного обмена.
Цель. Данное исследование направлено на определение влияния диеты с высоким содержанием глюкозы на pancreatic duodenal homeobox-1 (PDX-1), апоптоз островков поджелудочной железы и площадь островков поджелудочной железы.
Методы. Мыши Balb/c были разделены на пять групп. Группе контроля (Контроль) давали стандартную диету. В группе продолжительного приема (П) давали стандартную диету с увеличением суточной калорийности на 7,4% постоянно. Группы Инт1, Инт2 и Инт3 получали стандартную диету с добавлением 7,4% калорий 1, 2 и 3 раза в неделю соответственно. В качестве вещества, увеличивавшего суточную калорийность на 7,4%, использовался раствор глюкозы, вводимый мышам перорально в течение 8 нед.
Результаты. В ходе исследования была выявлена значительная разница в активности апоптоза (p=0,043), но не экспрессии PDX-1. Площадь островков поджелудочной железы в группах Инт2 и Инт3 уменьшилась значительно больше, чем в группе контроля (p=0,048). Содержание инсулина сыворотки крови более значительно увеличилось в группе П по сравнению с контролем (p=0,04). Кроме того, концентрация инсулина в группах Инт1 и Инт3 была значительно ниже, чем в группе П (p<0,05).
Выводы. Постоянное и 1-3-недельное эпизодическое добавление 7,4% калорий с раствором глюкозы в течение 8 нед приводило к активации механизма компенсации для поддержания гомеостаза, который обусловливался повышением концентрации инсулина и изменением морфологических и биомолекулярных параметров (в основном интенсивности апоптоза в островках поджелудочной железы). Наиболее адекватный режим – получение дополнительных калорий 1 раз в неделю. Для выявления других факторов, участвующих в данном процессе, необходимо проведение дальнейших исследований.
Для цитирования:
, , , , Эпизодическая углеводная нагрузка ассоциируется с усилением апоптоза в островках поджелудочной железы, а не с экспрессией pancreatic duodenal homeobox-1 (PDX-1) у мышей. Сахарный диабет. 2018;21(6):497-505. https://doi.org/10.14341/DM9437
For citation:
Herawati L., Wigati K., Rejeki P., Widjiati W., Irawan R. Increased apoptosis, but not pancreatic duodenal homeobox-1 expression in pancreatic islets is associated with intermittent glucose loads in mice. Diabetes mellitus. 2018;21(6):497-505. https://doi.org/10.14341/DM9437
По расчетам, число пациентов с сахарным диабетом (СД) к 2035 г. составит около 592 млн [1]. В Индонезии, как и в остальном мире, распространенность диабета увеличивается с каждым годом [2–4]. Повышение концентрации глюкозы крови при СД является основополагающим фактором, приводящим к развитию осложнений заболевания.
Существует целый ряд факторов риска СД. Одним из них является нарушение режима питания, а именно – несоблюдение баланса питательных веществ, нарушение времени и кратности приема пищи. Основываясь на количестве пищи, было проведено множество исследований по ограничению суточного потребления калорий в целях профилактики СД или улучшения контроля у пациентов с уже имеющимся СД. Тем не менее среднее потребление калорий в год увеличилось во всем мире [5, 6].
Известно, что добавление 100–150 ккал/день (что составляет 5–7,5% при суточной калорийности 2000 ккал) увеличивает риск развития СД [7]. Как упоминалось выше, наблюдается всемирная тенденция по увеличению суточной калорийности пищи. Известно, что постоянная высококалорийная диета стимулирует большую выработку инсулина бета-клетками поджелудочной железы, вызывая в дальнейшем их истощение и повреждение, что в конечном итоге приводит к развитию СД. Исследования in vitro эритроцитов, находящихся под воздействием избытка глюкозы, также показали повреждение клеток после инкубации в растворе глюкозы в течение 72 ч [8].
Как отмечалось ранее, гипокалорийная диета является профилактикой СД. Тем не менее для многих людей ограничение суточного рациона может стать весьма сложной задачей. Таким образом, требуется альтернативный вариант диетотерапии, такой как «эпизодическая» диета, при которой предусмотрено высококалорийное питание 1–3 раза в неделю.
Ожидается, что периодическое поступление дополнительных калорий, в том числе за счет глюкозы, будет стимулировать несколько факторов транскрипции в бета-клетках для активации механизма адаптации, например PDX-1 (панкреато-дуоденальный гомеобокс 1). PDX-1 известен как первый фактор транскрипции, идентифицированный в поджелудочной железе на эмбриональной фазе, также выраженный у взрослых [9–11]. Известно, что PDX-1 играет решающую роль в росте и функционировании бета-клеток у взрослых [12]. Уменьшение экспрессии PDX-1 из-за мутации гена было обнаружено у пациентов с MODY-диабетом. Кроме того, существует нарушение экспрессии PDX-1 и при СД 2 типа [13–16].
Ранее уже проводились исследования in vitro на эпизодическую углеводную нагрузку. При этом были изучены клетки INS-1 в условиях постоянно изменяющейся концентрации глюкозы [9]. В исследовании in vitro наблюдалось увеличение апоптоза и концентрации свободных радикалов в клетках INS-1. Исследования in vitro оказались полезны в качестве модели для изучения внутриклеточных механизмов. Тем не менее, данные исследований in vivo могут значительно отличаться в результате влияния разных сигнальных механизмов. Колебание гликемии in vitro может привести к повреждению клеток, тогда как при исследовании in vivo этого может не происходить.
ЦЕЛЬ
Данное исследование направлено на определение влияния периодической углеводной нагрузки на регуляцию глюкозы (концентрация инсулина и глюкозы крови), экспрессию PDX-1 и апоптоз в островках поджелудочной железы. Данные параметры отражают реакцию организма на эпизодическое поступление дополнительных калорий и позволяют количественно оценить избыток калорий, который может переноситься организмом без последствий.
МЕТОДЫ
Животные
Данное исследование было одобрено Комитетом по уходу и использованию животных факультета ветеринарии, Universitas Airlangga.
Восьмимесячных самцов Balb/c мышей подготавливали к исследованию в течение 2 нед. Всего было выделено 5 групп по 4 мыши в каждой. В исследование была включена контрольная группа (Контроль), которая получала стандартную диету, группа постоянного потребления (П), которая получала стандартную диету плюс ежедневный раствор глюкозы в качестве дополнительного поступления 7,4% калорий, а также группы эпизодического потребления: группа Инт1 получала стандартную диету плюс раствор глюкозы 1 раз в неделю; группа Инт2 получала стандартную диету плюс раствор глюкозы 2 раза в неделю и группа Инт3, которая получала стандартную диету плюс раствор глюкозы 3 раза в неделю. Продолжительность исследования составила 8 нед.
В стандартной диете использовались гранулы, полученные ветеринарным университетом Universitas Airlangga, состоящие из рыбьего порошка (23%), соевого порошка (6%), рисовых отрубей (10%), риса (31,5%), кукурузы (20%), пшеничной муки (5%), минералов (2%), мелассы сахарного тростника (2%) и поливитаминов (0,5%). Количество калорий составило примерно 2732,61 калорий/кг. Порошок глюкозы состоял из 100% декстрозы, произведенной в Xingmao (Китай), с использованием минеральной воды в качестве растворителя.
Диета с добавлением 7,4% от суточного потребления калорий предусматривала пероральное введение 0,5 мл раствора глюкозы 0,3 г/мл. Кроме того, всем мышам, за исключением контрольной группы, давали 0,05 мг/см3 раствора глюкозы в свободном доступе в соответствии с установленной для каждой экспериментальной группы частотой [17].
По окончанию исследования мышей умерщвляли путем внутрибрюшинной инъекции. Анестезирующая смесь состояла из 1 мл кетамина (100 мг/мл), 0,5 мл ксилазина (20 мг/мл), 0,3 мл ацепромазина (10 мг/мл) и 8,2 мл стерильной воды. Доза внутрибрюшинной анестезии составляла 0,05–0,1 мл/10 г массы тела.
После умерщвления проводилась операция по удалению поджелудочной железы с последующим изготовлением гистологических препаратов и окрашиванием гематоксилином и эозином. Затем проводился расчет площади островков поджелудочной железы и иммуногистохимическое окрашивание (ИГХ) для определения экспрессии PDX-1 и активности апоптоза.
Определение уровня экспрессии PDX-1
Для определения экспрессии PDX-1 было выполнено ИГХ исследование. Измерение выполняли путем вычисления среднего числа бета-клеток в зоне 5 полей зрения, что обеспечивало положительную реакцию на антитело PDX-1 (Bioss, bs0923R) с использованием микроскопа с 400-кратным увеличением (Nikon eclipse E100), оснащенным DS Fi2 300-мегапиксельной цифровой камерой.
Экспрессия PDX-1 в каждом образце оценивалась полуколичественно в соответствии с модифицированным методом Реммеле [18], в котором индекс иммунореактивного показателя (ИИП) был результатом умножения процентного содержания иммунореактивных клеток на уровень интенсивности цвета иммунореактивных клеток (табл. 1). Положительные иммунореактивные клетки были от желтоватого до коричневого цвета, тогда как остальные клетки были зеленого или синего цвета в соответствии с используемым контрастным веществом.
Таблица 1. Биохимические параметры участников до и после проведения исследования
|
A (положительные иммунореактивные клетки) |
B (шкала интенсивности цвета иммунореактивных клеток) |
|
Уровень 0: 0% |
Уровень 0: нет цветовой реакции |
|
Уровень 1: <10% |
Уровень 1: низкая насыщенность цвета |
|
Уровень 2: 11–50% |
Уровень 2: средняя насыщенность цвета |
|
Уровень 3: 51–80% |
Уровень 3: высокая насыщенность цвета |
|
Уровень 4: >80% |
Примечание. Множественные положительные результаты иммунореактивных клеток в процентах (A) с оценкой интенсивности цвета в иммуноактивных клетках (B). IRS = AxB.
Апоптоз и плотность апоптоза
Микроскопические препараты были исследованы при помощи анализа TUNEL и набора для исследования апоптоза (TACS DtD DAB Trevigen) для обнаружения фрагментов ДНК при апоптозе. Кроме того, активность апоптоза определяли, вычисляя среднее число бета-клеток в 5 полях зрения. Апоптоз в каждом образце оценивали полуколичественно в соответствии с методом Реммеле (см. табл. 1).
Островки поджелудочной железы
Площадь островков поджелудочной железы (мкм2) рассчитывали с использованием программного обеспечения Image Raster 3.0 с окрашиванием гематоксилином и эозином. В среднем подсчитывали площадь пяти островков поджелудочной железы.
Измерение концентрации глюкозы крови
Образцы крови были получены из хвоста, анализ на концентрацию глюкозы проводился в начале и в конце исследования. Гликемия измерялась при помощи глюкометра Accucheck Active.
Измерение инсулина крови
Для измерения концентрации инсулина в сыворотке проводили сбор внутрисердечной крови. После сбора кровь центрифугировали, сыворотку отбирали для дальнейшего изучения с использованием Elisa.
Статистический анализ
Чтобы определить, было ли распределение данных нормальным, был выполнен тест на нормальность. Если распределение было нормальным, то оно анализировалось при помощи дисперсионного теста ANOVA. Если результат был значимым, за ним следовал апостериорный анализ. Если данные не были нормально распределены, был проведен тест Краскела-Уоллиса. Если результаты были значимыми, был проведен тест Манна-Уитни. Показатели средних значений и стандартных отклонений (СО) отображены на рисунках и в таблицах.
РЕЗУЛЬТАТЫ
Островки поджелудочной железы
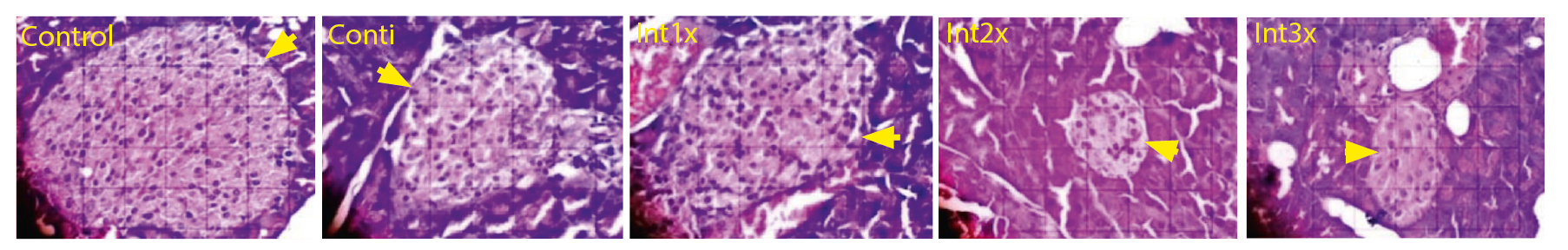
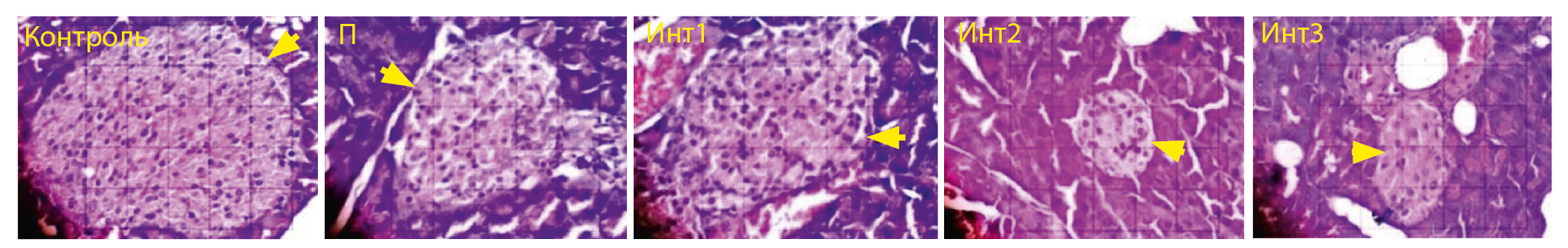
В контрольной группе наблюдались самые крупные островки поджелудочной железы, были обнаружены значительные различия с группами Инт2 и Инт3 (рис. 1 и 2).
Рис. 1. Площадь островков поджелудочной железы (мкм2).
Примечание. * Статистически значимы (p <0.05) по сравнению с контрольной группой.
Рис. 2. Площадь островков поджелудочной железы (стрелка) при окрашивании гематоксилином и эозином, микроскоп Nikon eclipse Ci, с увеличением 400x, Optilab Viewer 2.2, Image Raster 3.0.
Экспрессия PDX-1 в островках поджелудочной железы
Не было выявлено разницы экспрессии PDX-1. Однако в группе П отмечалось снижение уровня экспрессии PDX-1. Между тем группа Инт3 показала более высокую экспрессию PDX-1, чем другие экспериментальные группы (рис. 3 и 4).
Рис. 3. Экспрессия PDX-1 (A) и плотность PDX-1 (B) в островках поджелудочной железы после лечения.
Примечание. Между группами не было выявлено значимого различия (p=0,05).
Рис. 4. Экспрессия PDX-1 в клетках островков поджелудочной железы (стрелка).
Примечания: Микроскоп Nikon eclipse Ci, увеличение 400x, Optilab Viewer 2.2, Image Raster 3.0.
Активность апоптоза клеток островков поджелудочной железы
При сравнении параметров активности апоптоза клеток островков поджелудочной железы не было выявлено различий между группами. Тем не менее, по данным среднего значения экспрессии, контрольная группа показала самый низкий уровень апоптоза, в то время как самый высокий апоптоз наблюдался в группе ежедневной высокоуглеводной диеты (рис. 5 и 6).
Рис. 5. Активность и плотность апоптоза клеток островков поджелудочной железы.
Примечание.* Значительно отличается от контрольной группы (p<0,05). ~ существенно отличается от группы Инт1 (p<0,05).
Рис. 6. Апоптоз клеток островков поджелудочной железы (стрелка), анализ TUNEL.
Примечания: Микроскоп Nikon eclipse Ci, увеличение 400x, Optilab Viewer 2.2, Image Raster 3.0.
При анализе плотности апоптоза была выявлена значимая разница (р<0,05) между группами, при этом, группа Инт1 показала наименьшую плотность апоптоза.
Динамика веса
Масса тела до (МТ до) и после (МТ после) исследования представлены в табл. 2. Как видно из таблицы, данные МТ были разными среди групп (p=0,039). При этом группы П и Инт2 имели более низкие значения при сравнении с контрольной группой, а группа Инт2 имела более низкие значения по сравнению с группой Инт1.
Таблица 2. Влияние эпизодической высокоуглеводной диеты на изменение массы тела, гликемии и уровня инсулина сыворотки крови. Приведены средние значения±СО, n=4 в каждой группе
|
Группа |
МТ до, граммы |
МТ после, граммы |
МТ разница, граммы |
ГК до, ммоль/л |
ГК после, ммоль/л |
ГК разница, ммоль/л |
Инс, пмоль/л |
|
Контроль |
16±5,2 |
27±2,5 |
11,25±7,4 |
2,8±0,9 |
8,0 |
5,2±1,2 |
20,6±2,87 |
|
П |
19±3,4 |
21±5,2* |
2,0±8,3 |
3,7±1,0 |
5,5 |
1,8±1,30* |
33,5±4,44* |
|
Инт1 |
19±3,0 |
24±1,7 |
4,5±1,7 |
3,4±0,45 |
6,3 |
2,9±0,85* |
23,9±4,96^ |
|
Инт2 |
17±2,2 |
19±2,6*# |
2,0±2,2 |
3,9±0,85 |
6,3 |
2,3±0,80* |
27,9±8,10 |
|
Инт3 |
19±1,4 |
23±1,3 |
3,8±2,1 |
5,6±1,00* |
7,9 |
2,3±1,71* |
23,3±4,71^ |
Примечания. МТ до, граммы – масса тела в граммах; МТ после, граммы – масса тела после исследования в граммах; МТ разница, граммы – разница массы тела до и после исследования; ГК до, ммоль/л – глюкоза крови до исследования; ГК после, ммоль/л – глюкоза крови после исследования; ГК разница, ммоль/л – разница глюкозы крови до и после исследования; Инс, пмоль/л – концентрация инсулина сыворотки крови.
* Значительно отличается от контрольной группы (р<0,05). ^ Значительно отличается от П (p<0,05). # значительно отличается от Инт1 (p<0,05). ~ Значительно отличается от Инт3 (p<0,05).
Изменения веса были оценены по разнице показателей массы тела до и после исследования. Увеличение веса наблюдалось во всех группах, тем не менее, в группе П наблюдались минимальные изменения (рис. 7 и табл. 2).
Рис. 7. Изменение массы тела (в граммах) равнялось разнице массы тела до и после лечения.
Примечание. Между группами не было выявлено значительных различий (p>0,05)
Изменения гликемии
Концентрация глюкозы крови до (ГК до) и после (ГК после) исследования показал значительную разницу между группами (см. табл. 2). Учитывая разницу параметров до исследования, предполагалось, что и концентрация глюкозы крови исходно будет различным. Таким образом, мы оценивали изменение гликемии в ходе исследования. После исследования наблюдалось повышение гликемии.
Концентрация глюкозы в крови определена до и после лечения с целью показать разницу гликемии на фоне избыточного потребления калорий в сутки в течение 8 нед.
Рис. 8 и табл. 2 показывают, что изменение гликемии в экспериментальных группах было ниже и значительно отличалось от изменений контрольной группы (p<0,05). Тем не менее между экспериментальными группами не было существенной разницы.
Рис. 8. Изменение уровня гликемии.
Примечание. * значительно отличается от показателей контрольной группы (р<0,05).
Исследование инсулина крови
Результаты уровня инсулина (рис. 9 и табл. 2) показывают, что концентрация инсулина в контрольной группе была наименьшей, а группа П имела самую высокую концентрацию инсулина (р=0,004). Все группы эпизодической углеводной нагрузки не сильно отличались от контрольной группы. При этом Инт1 и Инт3 имели значительное отличие от П.
Рис. 9. Уровень инсулина после исследования (пмоль/л).
Примечание. * существенно отличается от контрольной группы (p<0,05); ^: существенно отличается от группы П (p<0,05).
ОБСУЖДЕНИЕ
Результаты оценки островков поджелудочной железы показали, что контрольная группа имела наибольшую площадь, а Инт2 и Инт3 имели значительные отличия от контрольной группы. Полученные данные согласуются с результатами исследования Petrik и соавт (2001) [19], в котором было показано, что у новорожденных мышей, получавших молочную смесь с высоким содержанием углеводов, среди островков поджелудочной железы преобладали небольшие островки. Мы предположили, что площадь небольших островков поджелудочной железы в экспериментальной группе может наблюдаться в результате перехода от ранней к промежуточной стадии адаптационного механизма регуляции глюкозы в условиях высокоуглеводной диеты. При более длительном наблюдении нельзя исключить увеличения размера островков. Поскольку потребность в инсулине увеличивается, островок поджелудочной железы также становится больше. Наше исследование продемонстрировало интересный результат: концентрация инсулина увеличилась, тогда как площадь островков поджелудочной железы стала меньше. Такое несоответствие может наблюдаться из-за стресса. Первоначально возникали функциональные изменения, за которыми последовали морфологические. На заключительной стадии островки поджелудочной железы будут уменьшаться вследствие истощения бета-клеток, как это происходит при СД 2 типа. Тем не менее, также возможно развитие воспалительной реакции, как это происходит вследствие аутоиммунной реакции при СД 1 типа [20]. Кроме того, наше исследование показало, что имеется прямая зависимость между изменением массы тела и состоянием островков поджелудочной железы (табл. 3).
Таблица 3. Корреляция между параметрами
|
Плотность PDX-1 |
Апоптоз |
Плотность апоптоза |
Островки |
МТ разница |
ГК разница |
Инс |
||
|
PDX-1 |
Корреляция Коэффициент |
0,771** |
0,1 |
0,286 |
-0,081 |
-0,235 |
,449* |
0,078 |
|
p |
0,00 |
0,676 |
0,221 |
0,735 |
0,318 |
0,047 |
0,743 |
|
|
Плотность PDX-1 |
Корреляция Коэффициент |
-0,021 |
0,497* |
-0,620** |
-,528* |
0,155 |
0,028 |
|
|
p |
, |
0,929 |
0,026 |
0,004 |
0,017 |
0,515 |
0,907 |
|
|
Апоптоз |
Корреляция Коэффициент |
0,544* |
-0,009 |
-0,134 |
0,242 |
0,333 |
||
|
p |
0,013 |
0,97 |
0,575 |
0,303 |
0,151 |
|||
|
Плотность апоптоза |
Корреляция Коэффициент |
-0,635** |
-0,578** |
-0,017 |
0,423 |
|||
|
p |
0,003 |
0,008 |
0,943 |
0,063 |
||||
|
Островки |
Корреляция Коэффициент |
0,624** |
0,135 |
-0,117 |
||||
|
p |
0,003 |
0,571 |
0,624 |
|||||
|
МТ разница |
Корреляция Коэффициент |
0,064 |
-0,219 |
|||||
|
p |
0,788 |
0,353 |
||||||
|
ГК разница |
Корреляция Коэффициент |
-0,173 |
||||||
|
p |
0,465 |
Примечания: МТ разница – разница массы тела до и после исследования; ГК разница – разница глюкозы крови до и после исследования
** Корреляция значима на уровне 0,01 (двусторонний); * Корреляция значима на уровне 0,05 (двусторонний).
Экспрессия PDX-1 была наибольшей в контрольной группе, тем не менее результат был другим при сравнении с областью островков поджелудочной железы (плотность PDX-1). Это может быть связано с тем, что процент бета-клеток, которые экспрессируют PDX-1 в контрольной группе, был относительно меньше, хотя число клеток островков было более многочисленным. Если бы это было связано с концентрацией инсулина, можно было бы предположить, что площадь островков поджелудочной железы не являлась основным фактором. Однако бета-клетки становились более активными, так как стимулировались дополнительной углеводной нагрузкой.
Как упоминалось выше, PDX-1 является транскрипционным фактором, который играет важную роль в регуляции функции и выживания бета-клеток как до рождения, так и после [21, 22]. Количество бета- и альфа-клеток может косвенно зависеть от уровня экспрессии PDX-1. Повышение экспрессии PDX-1 может уменьшить популяцию альфа-клеток и увеличить популяцию бета-клеток во время эмбриональной фазы. Кроме того, уменьшение количества бета-клеток и увеличение – альфа-клеток может быть результатом нарушения экспрессии PDX-1. Снижение экспрессии PDX-1 происходит в случаях хронической гипергликемии и дислипидемии, вследствие чего наблюдается нарушение функции бета-клеток. Одним из основных механизмов является влияние инсулиноподобного фактора роста (IGF), за которым следует снижение экспрессии PDX-1, которое, в конечном итоге, вызывает апоптоз бета-клеток [12, 21].
Экспрессия и плотность PDX-1 среди групп в этом исследовании не показали существенной разницы. При сравнении экспрессии и плотности PDX-1 с концентрацией инсулина результаты были противоречивыми. Вероятно, помимо PDX-1 были и другие факторы, играющие роль в изменении гликемии, с прямой зависимостью от уровня экспрессии PDX-1. Другим возможным механизмом является активация процесса адаптации, который приводит к стимуляции бета-клеток вследствие увеличенного поступления углеводов. Более того, у эмбрионов мышей E.13.5 до рождения существует несколько факторов транскрипции, таких как MafA (фактор транскрипции млекопитающих A) и MafB. MafA также играет роль в активации транскрипции инсулина, при этом MafB может влиять на MafA. Отсутствие MafB может ингибировать MafA и PDX-1 [23]. Для изучения этих факторов необходимы дальнейшие исследования.
Анализ параметров апоптоза показал отсутствие значимых различий при сравнении с контрольной группой. Однако активность и плотность апоптоза в группе П были самыми высококими, а в группе Инт1 – самыми низкими. В другом исследовании, проведенном Yamamoto (2017) [24], было указано, что апоптоз у мышей βPdx1; Ins2Akita, Ins2Akita и мышей контрольной группы значительно не различался. Кроме того, в этом исследовании могли наблюдаться компенсаторно-защитные механизмы вследствие усиления экспрессии PDX-1. В предыдущем исследовании говорилось, что наряду с апоптозом при СД был активирован механизм воспаления [25]. Гипергликемия при СД вызывает некроз тканей конечностей [26]. Несмотря на то что в нескольких исследованиях было обнаружено, что основным механизмом гибели бета-клеток является апоптоз, по-прежнему существует вероятность того, что ишемический некроз может наблюдаться и в бета-клетках вследствие активации воспалительных факторов при СД [27, 28].
Бета-клетки поджелудочной железы, так же как нервные и эндотелиальные клетки, являются инсулиннезависимыми. Таким образом, поступление глюкозы в эти клетки не опосредованно инсулином. При повышении концентрации глюкозы поступление глюкозы в эти клетки будет также усиливаться. Это может инициировать механизм цепной реакции повреждения клеток, при котором будет наблюдаться увеличение внутриклеточной продукции реактивных форм кислорода (РФК), которые инициируют клеточный апоптоз или активируют митохондриальный путь [29, 30]. Исследования, проведенные Sun и соавт. (2016) [31], в которых изучалось влияние диеты, богатой жирами, показали усиление активности апоптоза. При этом наблюдалась прямая зависимость увеличения активности апоптоза с увеличением кратности дней приема пищи с высоким содержанием жира.
В контрольной группе наблюдались самые большие изменения МТ. Изменения МТ в экспериментальных группах не были столь существенны. Увеличение МТ было в первую очередь связано с ростом мышей в течение 8 нед. Группа с дополнительным приемом 7,4% калорий 1 раз в неделю показала наибольшее увеличение МТ по сравнению с другими экспериментальными группами. Группы П и Инт2 характеризовались наименьшим изменением МТ. Аналогичные исследования, в которых использовались углеводы в виде раствора глюкозы, также показали более низкое увеличение МТ по сравнению с контрольной группой [32, 33]. Исследования, проведенные Adeyi и соавт. (2012) [34], показали, что потребление пищи с высоким гликемическим индексом или низким содержанием жиров в течение 8 нед также приводит к аналогичным результатам. Xu и соавт. (2010) [35] провели 12-недельное исследование углеводной диеты у 3-недельных самцов крыс Wistar, было показано, что наибольшее изменение массы наблюдалось в группе низкоуглеводной диеты. Предполагалось, что концентрация лептина была максимальной в группе низкоуглеводной диеты, а минимальной – в группе диеты с высоким содержанием углеводов. В другом исследовании был сделан вывод о связи проведенных диетических изменений с рецепторами к лептину. Наблюдалось снижение рецепторов лептина в гипоталамусе в группе с низкоуглеводной диетой. Утверждалось, что лептин также играет роль в метаболизме глюкозы и уменьшении аппетита [36].
В нашем исследовании концентрация инсулина была выше в экспериментальных группах, что не соответствовало данным МТ и статистическому анализу (см. табл. 3). Это может быть связано с нарушением энергетического метаболизма. В физиологическом состоянии инсулин ингибирует распад жира и способствует синтезу свободных жирных кислот. Впоследствии это приводит к повышению МТ. Наши результаты показали более низкую МТ. Таким образом, для более детального изучения необходимо также измерить больше параметров, таких как рецепторы к инсулину, а также другие гормоны, такие как лептин и рецепторы к нему.
Наибольшие изменения гликемии наблюдались в контрольной группе, тогда как в экспериментальных группах не было выявлено существенных различий. Результат был неожиданным: в контрольной группе наблюдалось наибольшее изменение концентрации глюкозы. Однако если были измерены данные ГК до и после (табл. 2), значения ГК после были значительно выше (p≥0,05). Предыдущие исследования, такие как изучение диеты с высоким содержанием глюкозы на крысах, показали более низкий гликемии натощак в контрольной группе [37], в то время как в других исследованиях на мышах не было обнаружено существенной разницы в отношении гликемии под воздействием высокоуглеводной диеты [38].
В результатах нашего исследования наблюдаются противоречивые данные, опосредованные тем, что в контрольной группе наблюдался самый низкий уровень инсулина. Более низкая концентрация инсулина приводила к менее эффективному поглощению ГК клетками, что приводило к более высокому уровню глюкозы в контрольной группе. В экспериментальной группе высокий уровень ГК активировал механизмы компенсации и выживания.
Дополнительное поступление 7,4% калорий от суточного потребления в виде глюкозы доказало, что это стимулирует бета-клетки секретировать больше инсулина в экспериментальных группах (в большей степени в группе П), по сравнению с контрольной группой. Несколько исследований с использованием высококалорийной диеты показали, что концентрация инсулина сыворотки крови достигала более высокого уровня по сравнению с контрольной группой [38]. Тем не менее имеется повод для дальнейших исследований, так как концентрация инсулина в группе 2-недельной эпизодической углеводной нагрузки был выше, чем в группе 3-недельной эпизодической углеводной нагрузки.
Увеличение суточной калорийности за счет дополнительного введения глюкозы приводило к увеличению пиковой концентрации глюкозы крови. При этом показатели отличались в дни, когда дополнительного введения глюкозы не было. Некоторые литературные источники объясняют это тем, что высокий уровень глюкозы крови после еды может вызывать секрецию глюкагоноподобного пептида-1 (ГПП-1), который секретируется клетками кишечника. ГПП-1 может оптимизировать дальнейшую стимуляцию секреции инсулина и ингибировать секрецию глюкагона островками поджелудочной железы [21]. Увеличение секреции инсулина в экспериментальной группе может являться следствием эпизодической углеводной нагрузки.
ЗАКЛЮЧЕНИЕ
Исходя из результатов этого исследования, можно сделать вывод, что ежедневное дополнительное поступление 7,4% калорий с глюкозой 1–3 раза в неделю с перерывами активирует механизмы компенсации и поддержания гомеостаза, при этом наблюдаются повышение концентрации инсулина сыворотки крови и изменения морфологических и биомолекулярных характеристик островков поджелудочной железы (уменьшение площади островков поджелудочной железы и увеличение плотности апоптоза). Плотность PDX-1 незначительно увеличивалась в экспериментальных группах с эпизодической углеводной нагрузкой. Судя по всему, дополнительное потребление углеводов 1 раз в неделю может переноситься организмом без дополнительного вреда, при этом следует отдать предпочтение именно однократному потреблению дополнительных углеводов в неделю. Так как по данным нашего исследования не было выявлено значимого повышения концентрации глюкозы и инсулина крови, можно сделать вывод об отсутствии влияния проведенных манипуляций на углеводный обмен. Тем не менее, необходимо проведение дальнейших исследований, в ходе которых будут более детально изучены морфологические и биомолекулярные изменения в островках поджелудочной железы.
ДОПОЛНИТЕЛЬНАЯ ИНФОРМАЦИЯ
Финансирование работы. Исследование было проведено при финансовой поддержке Программы фундаментальных исследований, Министерства исследований, технологий и высшего образования, Индонезия.
Конфликт интересов. Авторы декларируют отсутствие явных и потенциальных конфликтов интересов, связанных с публикацией настоящей статьи.
Участие авторов. L. Herawati - концепция, дизайн и проведение эксперимента, интерпретация результатов, написание и редактирование статьи; K.W. Wigati - подготовка таблиц, написание и редактирование текста; P.S. Rejeki - анализ данных; W. Widjiati - интерпретация результатов исследования; R. Irawan - концепция и дизайн исследования, интерпретация результатов, написание и редактирование статьи. Все авторы внесли существенный вклад в проведение исследования и подготовку статьи, прочли и одобрили финальную версию перед публикацией.
Благодарности. Авторы хотели бы поблагодарить всех членов команды лаборатории эмбриологии за их техническую помощь во время исследований, Dewita, Tia, Ronald и команду (Факультет ветеринарии, Universitas Airlangga, Surabaya) за техническую помощь в проведении иммуногистохимических исследований, Wahyu Wibowo (Отделение статистики, Institute Teknologi Sepuluh November, Surabaya) за статистический анализ.
Список литературы
1. Guariguata L, Whiting DR, Hambleton I, et al. Global estimates of diabetes prevalence for 2013 and pr.бojections for 2035. Diabetes Res Clin Pract. 2014;103(2):137-149. doi: 10.1016/j.diabres.2013.11.002
2. Minister of Health of Indonesia. Profil Kesehatan Indonesia Thaun 2016. Jakarta: Kementerian Kesehatan Republik Indonesia; 2017.
3. Дедов И.И., Шестакова М.В., Петеркова В.А., и др. Сахарный диабет у детей и подростков по данным Федерального регистра Российской Федерации: динамика основных эпидемиологических характеристик за 2013–2016 гг. // Сахарный диабет. – 2017. – Т. 20. – №6. – С. 392-402. [Dedov II, Shestakova MV, Peterkova VA, et al. Diabetes mellitus in children and adolescents according to the federal diabetes registry in the Russian federation: Dynamics of major epidemiological characteristics for 2013-2016. Diabetes Mellitus. 2017;20(6):392-402. (In Russ.)] doi: 10.14341/DM9460
4. Centers for Disease Control and Prevention. Estimates of Diabetes and Its Burden in the United States. 2017.
5. Who.int [Internet]. 3. Global and regional food consumption patterns and trends [cited 2019 Jan 30]. Available from: https://www.who.int/nutrition/topics/3_foodconsumption/en/index2.html.
6. Vasileska A, Rechkoshka G. Global and regional food consumption patterns and trends. Procedia Soc Behav Sci. 2012;44:363-369. doi: 10.1016/j.sbspro.2012.05.040
7. Basu S, Yoffe P, Hills N, Lustig RH. The relationship of sugar to population-level diabetes prevalence: an econometric analysis of repeated cross-sectional data. PLoS One. 2013;8(2):e57873. doi: 10.1371/journal.pone.0057873
8. Viskupicova J, Blaskovic D, Galiniak S, et al. Effect of high glucose concentrations on human erythrocytes in vitro. Redox Biol. 2015;5:381-387. doi: 10.1016/j.redox.2015.06.011
9. Zhang Z, Li J, Yang L, et al. The cytotoxic role of intermittent high glucose on apoptosis and cell viability in pancreatic beta cells. J Diabetes Res. 2014;2014:712781. doi: 10.1155/2014/712781
10. Johnson JD, Bernal-Mizrachi E, Alejandro EU, et al. Insulin protects islets from apoptosis via Pdx1 and specific changes in the human islet proteome. Proc Natl Acad Sci U S A. 2006;103(51):19575-19580. doi: 10.1073/pnas.0604208103
11. Murtaugh LC. Pancreas and beta-cell development: from the actual to the possible. Development. 2007;134(3):427-438. doi: 10.1242/dev.02770
12. van der Meulen T, Huising MO. Role of transcription factors in the transdifferentiation of pancreatic islet cells. J Mol Endocrinol. 2015;54(2):R103-117. doi: 10.1530/JME-14-0290
13. Spaeth JM, Gupte M, Perelis M, et al. Defining a Novel Role for the Pdx1 Transcription Factor in Islet beta-Cell Maturation and Proliferation During Weaning. Diabetes. 2017;66(11):2830-2839. doi: 10.2337/db16-1516
14. Brown JE. The ageing pancreas. Br J Diabetes Vasc Dis. 2012;12(3):141-145. doi: 10.1177/1474651412446713
15. O'Dowd JF, Stocker CJ. Endocrine pancreatic development: impact of obesity and diet. Front Physiol. 2013;4:170. doi: 10.3389/fphys.2013.00170
16. Piper K. Beta cell differentiation during early human pancreas development. J Endocrinol. 2004;181(1):11-23. doi: 10.1677/joe.0.1810011
17. Herawati L, Wigati KW, Wibowo W, Harjanto. Survival Rate of Animal Subject to Interval and Пnuous Addition of High Calorie Diet. In: Proceedings of the The International Symposium on Global Physiology 2016; Yogyakarta, 21-22 Oct 2016.
18. Nowak M, Madej JA, Dziegiel P. Intensity of Cox2 Expression in Cells of Soft Tissue Fibrosacrcomas in Dogs as Related to Grade of Tumour Malignancy. Bull Vet Inst Pulawy. 2007;51(2):275-279.
19. Petrik J, Srinivasan M, Aalinkeel R, et al. A long-term high-carbohydrate diet causes an altered ontogeny of pancreatic islets of Langerhans in the neonatal rat. Pediatr Res. 2001;49(1):84-92. doi: 10.1203/00006450-200101000-00019
20. Weir GC, Bonner-Weir S. Islet beta cell mass in diabetes and how it relates to function, birth, and death. Ann N Y Acad Sci. 2013;1281:92-105. doi: 10.1111/nyas.12031
21. Fujimoto K, Polonsky KS. Pdx1 and other factors that regulate pancreatic beta-cell survival. Diabetes Obes Metab. 2009;11 Suppl 4:30-37. doi: 10.1111/j.1463-1326.2009.01121.x
22. Henley KD, Stanescu DE, Kropp PA, et al. Threshold-Dependent Cooperativity of Pdx1 and Oc1 in Pancreatic Progenitors Establishes Competency for Endocrine Differentiation and beta-Cell Function. Cell Rep. 2016;15(12):2637-2650. doi: 10.1016/j.celrep.2016.05.040
23. Seymour PA, Sander M. Historical perspective: beginnings of the beta-cell: current perspectives in beta-cell development. Diabetes. 2011;60(2):364-376. doi: 10.2337/db10-1068
24. Yamamoto Y, Miyatsuka T, Sasaki S, et al. Preserving expression of Pdx1 improves beta-cell failure in diabetic mice. Biochem Biophys Res Commun. 2017;483(1):418-424. doi: 10.1016/j.bbrc.2016.12.128
25. Pouvreau C, Dayre A, Butkowski EG, et al. Inflammation and oxidative stress markers in diabetes and hypertension. J Inflamm Res. 2018;11:61-68. doi: 10.2147/JIR.S148911
26. Levigne D, Tobalem M, Modarressi A, Pittet-Cuenod B. Hyperglycemia increases susceptibility to ischemic necrosis. Biomed Res Int. 2013;2013:490964. doi: 10.1155/2013/490964
27. Donath MY, Ehses JA, Maedler K, et al. Mechanisms of -Cell Death in Type 2 Diabetes. Diabetes. 2005;54(Supplement 2):S108-S113. doi: 10.2337/diabetes.54.suppl_2.S108
28. Cnop M, Welsh N, Jonas JC, et al. Mechanisms of Pancreatic -Cell Death in Type 1 and Type 2 Diabetes: Many Differences, Few Similarities. Diabetes. 2005;54(Supplement 2):S97-S107. doi: 10.2337/diabetes.54.suppl_2.S97
29. Campos C. Chronic hyperglycemia and glucose toxicity: pathology and clinical sequelae. Postgrad Med. 2012;124(6):90-97. doi: 10.3810/pgm.2012.11.2615
30. Elmore S. Apoptosis: a review of programmed cell death. Toxicol Pathol. 2007;35(4):495-516. doi: 10.1080/01926230701320337
31. Sun Q, Nie S, Wang L, et al. Factors that Affect Pancreatic Islet Cell Autophagy in Adult Rats: Evaluation of a Calorie-Restricted Diet and a High-Fat Diet. PLoS One. 2016;11(3):e0151104. doi: 10.1371/journal.pone.0151104
32. Herawati L, Purwanto B, Harjanto JM. Identifikasi Efek Proteksi Latihan Fisik dan AntioksidanTerhadap Pankreas Pada Subyek Dengan Diet Tinggi Karbohidrat. Surabaya: Laporan Penelitian, UPPM Fakultas Kedokteran Universitas Airlangga; 2014.
33. Herawati L, Irwadi I, Sari GM, Harjanto JM. Peningkatan Protein Pengangkut Gula (Glut4) Dengan Diet Tinggi Karbohidrat dan Latihan Fisik Teratur. In: Proceedings of the Kongres Nasional XVI, Simposium, Seminar Nasional, Dan Workshop XXIV; Padang, 29-31 Oct 2015. Padang; 2015. p. 796-806.
34. Adeyi AO, Idowu BA, Mafiana CF, et al. Rat model of food-induced non-obese-type 2 diabetes mellitus: comparative pathophysiology and histopathology. Int J Physiol Pathophysiol Pharmacol. 2012;4(1):51-58.
35. Xu RY, Wan YP, Tang QY, et al. Carbohydrate-to-fat ratio affects food intake and body weight in Wistar rats. Exp Biol Med (Maywood). 2010;235(7):833-838. doi: 10.1258/ebm.2010.009276
36. Klok MD, Jakobsdottir S, Drent ML. The role of leptin and ghrelin in the regulation of food intake and body weight in humans: a review. Obes Rev. 2007;8(1):21-34. doi: 10.1111/j.1467-789X.2006.00270.x
37. Forbes JM, Cowan SP, Andrikopoulos S, et al. Glucose homeostasis can be differentially modulated by varying individual components of a western diet. J Nutr Biochem. 2013;24(7):1251-1257. doi: 10.1016/j.jnutbio.2012.09.009
38. Sheng Q, Xiao X, Prasadan K, et al. Autophagy protects pancreatic beta cell mass and function in the setting of a high-fat and high-glucose diet. Sci Rep. 2017;7(1):16348. doi: 10.1038/s41598-017-16485-0
Об авторах
Lilik HerawatiDepartment of Physiology, Faculty of Medicine, Universitas Airlangga
Индонезия
Kristanti Wanito Wigati
Department of Physiology, Faculty of Medicine, Universitas Airlangga
Индонезия
Purwo Sri Rejeki
Department of Physiology, Faculty of Medicine, Universitas Airlangga
Индонезия
Widjiati Widjiati
Department of Veterinary Anatomy, Faculty of Veterinary, Universitas Airlangga
Индонезия
Roedi Irawan
Department of Pediatric, Faculty of Medicine, Universitas Airlangga
Индонезия
Дополнительные файлы
|
|
1. Рис. 1. Площадь островков поджелудочной железы (мкм2). | |
| Тема | ||
| Тип | Исследовательские инструменты | |
Посмотреть
(40KB)
|
Метаданные ▾ | |
|
|
2. Рис. 2. Площадь островков поджелудочной железы (стрелка) при окрашивании гематоксилином и эозином, микроскоп Nikon eclipse Ci, с увеличением 400x, Optilab Viewer 2.2, Image Raster 3.0. | |
| Тема | ||
| Тип | Исследовательские инструменты | |
Посмотреть
(1MB)
|
Метаданные ▾ | |
|
|
3. Рис. 3. Экспрессия PDX-1 (A) и плотность PDX-1 (B) в островках поджелудочной железы после лечения. | |
| Тема | ||
| Тип | Исследовательские инструменты | |
Посмотреть
(61KB)
|
Метаданные ▾ | |
|
|
4. Рис. 4. Экспрессия PDX-1 в клетках островков поджелудочной железы (стрелка). | |
| Тема | ||
| Тип | Исследовательские инструменты | |
Посмотреть
(1MB)
|
Метаданные ▾ | |
|
|
5. Рис. 5. Активность и плотность апоптоза клеток островков поджелудочной железы. | |
| Тема | ||
| Тип | Исследовательские инструменты | |
Посмотреть
(69KB)
|
Метаданные ▾ | |
|
|
6. Рис. 6. Апоптоз клеток островков поджелудочной железы (стрелка), анализ TUNEL. | |
| Тема | ||
| Тип | Исследовательские инструменты | |
Посмотреть
(1MB)
|
Метаданные ▾ | |
|
|
7. Рис. 7. Изменение массы тела (в граммах) равнялось разнице массы тела до и после лечения. | |
| Тема | ||
| Тип | Исследовательские инструменты | |
Посмотреть
(15KB)
|
Метаданные ▾ | |
|
|
8. Рис. 8. Изменение уровня гликемии. | |
| Тема | ||
| Тип | Исследовательские инструменты | |
Посмотреть
(16KB)
|
Метаданные ▾ | |
|
|
9. Рис. 9. Уровень инсулина после исследования (пмоль/л). | |
| Тема | ||
| Тип | Исследовательские инструменты | |
Посмотреть
(28KB)
|
Метаданные ▾ | |
|
|
10. Fig. 1. Pancreatic islets area (mm2) | |
| Тема | ||
| Тип | Research Instrument | |
Посмотреть
(30KB)
|
Метаданные ▾ | |
|
|
11. Fig. 2. Pancreatic islets (arrow) area with hematoxylin eosin staining Microscope Nikon eclipse Ci, enlarged 400x, Optilab Viewer 2.2, Image raster 3.0 | |
| Тема | ||
| Тип | Research Instrument | |
Посмотреть
(853KB)
|
Метаданные ▾ | |
|
|
12. Fig. 3. PDX-1 expression (A) and PDX-1 density (B) on pancreatic islets after treatment | |
| Тема | ||
| Тип | Research Instrument | |
Посмотреть
(54KB)
|
Метаданные ▾ | |
|
|
13. Fig. 4. Expression of PDX-1 of Pancreatic islets cells (arrow). | |
| Тема | ||
| Тип | Research Instrument | |
Посмотреть
(1MB)
|
Метаданные ▾ | |
|
|
14. Fig. 5. Apoptosis and apoptosis density of pancreatic islets. | |
| Тема | ||
| Тип | Research Instrument | |
Посмотреть
(60KB)
|
Метаданные ▾ | |
|
|
15. Fig. 6. Apoptosis cells of pancreatic islets (arrow), tunnel assay. | |
| Тема | ||
| Тип | Research Instrument | |
Посмотреть
(1MB)
|
Метаданные ▾ | |
|
|
16. Fig. 7. Changes in body weight (gram) was the difference in body weight after and before the treatment | |
| Тема | ||
| Тип | Research Instrument | |
Посмотреть
(14KB)
|
Метаданные ▾ | |
|
|
17. Fig. 8. Changes in randomblood glucose levels | |
| Тема | ||
| Тип | Research Instrument | |
Посмотреть
(16KB)
|
Метаданные ▾ | |
|
|
18. Fig. 9. Insulin serum levels after treatment (pmol/l) | |
| Тема | ||
| Тип | Research Instrument | |
Посмотреть
(29KB)
|
Метаданные ▾ | |
Рецензия
Для цитирования:
, , , , Эпизодическая углеводная нагрузка ассоциируется с усилением апоптоза в островках поджелудочной железы, а не с экспрессией pancreatic duodenal homeobox-1 (PDX-1) у мышей. Сахарный диабет. 2018;21(6):497-505. https://doi.org/10.14341/DM9437
For citation:
Herawati L., Wigati K., Rejeki P., Widjiati W., Irawan R. Increased apoptosis, but not pancreatic duodenal homeobox-1 expression in pancreatic islets is associated with intermittent glucose loads in mice. Diabetes mellitus. 2018;21(6):497-505. https://doi.org/10.14341/DM9437
Контент доступен под лицензией Creative Commons Attribution-NonCommercial-NoDerivatives 4.0 International License (CC BY-NC-ND 4.0).









































