Перейти к:
Особенности МРТ-визуализации изменений сосудистой стенки при резистентной артериальной гипертонии в сочетании с сахарным диабетом 2 типа
https://doi.org/10.14341/DM10169
Аннотация
ОБОСНОВАНИЕ. Прогрессирующее поражение сосудистого русла при сахарном диабете 2 типа (СД2) в сочетании с резистентной артериальной гипертонией (РАГ) играет значительную роль в повреждении органов-мишеней. Однако в настоящее время имеется недостаточное количество данных по визуализации и количественной оценке состояния артериальной стенки, а также крайне мало данных, касающихся взаимосвязей МРТ-признаков повреждения с воспалительными маркерами, метаболических и гемодинамических факторов при сочетании РАГ с СД.
ЦЕЛЬ. Изучение количественных показателей интенсивности контрастирования стенки артериальных сосудов на примере почечных артерий во взаимосвязи с маркерами хронического субклинического воспаления, метаболическими и гемодинамическими факторами у больных резистентной гипертонией в сочетании с СД2.
МАТЕРИАЛЫ И МЕТОДЫ. 28 пациентов (60,7±6,5 года) с РАГ, ассоциированной с СД2, и 17 пациентов (57,7±5,0 года) с РАГ без СД, сопоставимых по основным клиническим данным. Всем пациентам проводили измерение АД (офисное и среднесуточное), лабораторные тесты (определение гликемии, инсулина крови с расчетом индекса инсулинорезистентности (ИР) HOMA (за исключением 5 человек, находящихся на инсулинотерапии), уровень гликированного гемоглобина (HbA1c), С-реактивного белка (СРБ), допплерографию почечных артерий (ПА)). МРТ проводилась на 1,5 Т магнитно-резонансном томографе в стандартных режимах. Контрастное усиление – 0,5 М гадодиамид в/в 0,2 мл/кг. Рассчитывался индекс усиления (ИУ) МРТ-сигнала как отношение постконтрастного Т1-изображения к исходному.
РЕЗУЛЬТАТЫ. Значения ИУ имели прямую корреляционную связь с АД. Увеличение ИУ ПА имело прямую взаимосвязь с возрастом и показателями внутрипочечного кровотока. Выявлена корреляция между ИУ на всем протяжении ствола ПА с СРБ, с уровнем базальной гликемии и HOMA-индексом. В группе без СД выявлена прямая связь ИУ с СРБ.
ЗАКЛЮЧЕНИЕ. Проведение МРТ с контрастным усилением позволяет не только оценить анатомические особенности почечных артерий, но и количественно оценить состояние их стенок у больных РАГ, ассоциированной с СД2. При этом степень МРТ-признаков повреждения стенок почечных артерий зависит не только от гемодинамических и метаболических показателей, но и от выраженности биохимических маркеров субклинического воспаления.
Ключевые слова
Для цитирования:
Рюмшина Н.И., Фальковская А.Ю., Гусакова А.М., Мордовин В.Ф., Усов В.Ю. Особенности МРТ-визуализации изменений сосудистой стенки при резистентной артериальной гипертонии в сочетании с сахарным диабетом 2 типа. Сахарный диабет. 2020;23(1):29-36. https://doi.org/10.14341/DM10169
For citation:
Ryumshina N.I., Falkovskaya A.Y., Gusakova A.M., Mordovin V.F., Usov V.Y. MRI of the arterial wall in resistant hypertension associated with type 2 diabetes mellitus. Diabetes mellitus. 2020;23(1):29-36. (In Russ.) https://doi.org/10.14341/DM10169
Артериальная гипертония (АГ) и сахарный диабет (СД) ассоциируются с прогрессирующим поражением сосудистого русла, что играет значительную роль в повреждении органов-мишеней [1], в первую очередь артериальных сосудов. Патологическое изменение стенки сосудов, как мелких, так и крупного калибра, носит характер системного, часто субклинического воспаления [2]. Высокое внутрисосудистое давление и другие факторы, стимулирующие неоангиогенез в сосудистой стенке, в сочетании с воздействием на сосудистую стенку циркулирующих провоспалительных цитокинов и метаболических факторов служат причиной развития эндотелиальной дисфункции, сосудистого фиброза и ремоделирования сосудов с уменьшением их просвета [3]. Кроме того, существенное значение в патофизиологии сосудистого повреждения, помимо субклинического воспаления, придается хронической симпатической гиперактивации, которая может быть самостоятельным триггером системного воспаления, приводить к развитию АГ [4] и к формированию устойчивости относительно проводимой антигипертензивной терапии [5]. Так, к настоящему времени установлено, что повышение симпатической и воспалительной активности сопровождается возрастанием сосудистой жесткости [6], активацией ренин-ангиотензин-альдостероновой системы, повышением реабсорбции натрия и почечным фиброгенезом, а это, в свою очередь, подключает долгосрочный объем-зависимый механизм повышения АД. Наличие СД вносит самостоятельный вклад в развитие субклинического воспалительного процесса в стенках артерий, ускоряя сосудистое старение [7], которое может быть ответственным за высокую частоту сердечно-сосудистых осложнений и формирование резистентных форм АГ. Помимо этого, гиперинсулинемия при СД сопровождается смещением цитокинового профиля в сторону усиленной секреции провоспалительных и ослабления секреции противовоспалительных цитокинов [8]. Визуализировать происходящие изменения стенок артерий на ранних этапах позволяет МРТ с контрастным усилением, основанная на внеклеточном накоплении контраста в стенках сосудов и интерстициальной ткани. Вместе с тем в настоящее время имеется недостаточное количество данных по визуализации и количественной оценке состояния артериальной стенки, а также крайне мало данных, касающихся взаимосвязей МРТ-признаков повреждения с воспалительными маркерами, метаболическими и гемодинамическими факторами при сочетании резистентной артериальной гипертензии (РАГ) с СД.
ЦЕЛЬ
Изучение количественных показателей интенсивности контрастирования стенки артериальных сосудов на примере почечных артерий во взаимосвязи с маркерами хронического субклинического воспаления, метаболическими и гемодинамическими факторами у больных резистентной гипертонией в сочетании с СД 2 типа (СД2).
МЕТОДЫ
Дизайн исследования
Проведенное исследование – обсервационное ретроспективное выборочное неконтролируемое.
Критерии соответствия
Резистентность АГ к фармакотерапии документировали при сохранении уровня офисного АД более 140/85 мм рт. ст. на фоне длительного (не менее полугодового) приема 3-х и более препаратов в максимальных дозах, включая диуретик, а также комплекса немедикаментозных мероприятий. Оценку приверженности к терапии проводили по данным опроса. Критериями исключения были симптоматический характер АГ, гипертония «белого халата», низкая приверженность к терапии, уровень HbA1c>10%, беременность, расчетная скорость клубочковой фильтрации (рСКФ) <45 мл/мин/1,73 м2, перенесенные менее года назад острые сосудистые осложнения, нестабильная стенокардия, хроническая сердечная недостаточность выше 2 функционального класса (ФК) (NYHA), выраженный периферический атеросклероз, СД 1 типа, тяжелые сопутствующие заболевания.
Условия проведения
Все пациенты находились на плановой госпитализации в отделении артериальных гипертоний НИИ кардиологии Томского НИМЦ.
Продолжительность исследования
Исследование ретроспективное, основанное на анализе базы данных пациентов и на результатах проводимых предоперационных лабораторно-инструментальных мероприятий. В данной статье представлены результаты предоперационного сравнения двух групп пациентов.
Методы регистрации исходов
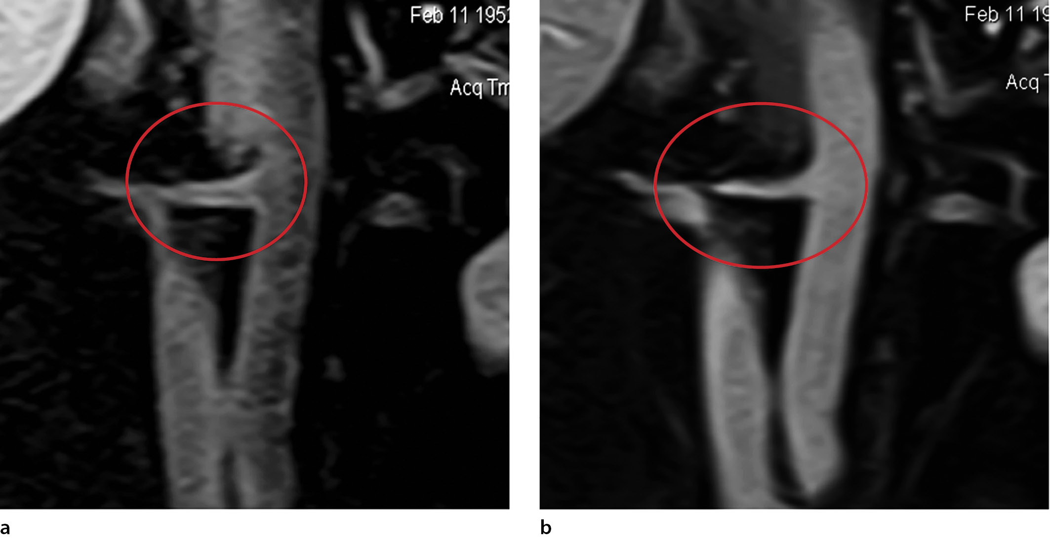
Анализ накопления контраста в стенке почечных артерий осуществлялся следующим образом. На рабочей станции с помощью программного обеспечения определялась интенсивность МРТ-сигнала от стенки артерий на Т1-взвешенных спин-эхо-изображениях до и после введения контраста. МРТ-картина усиления МР-сигнала от стенок почечных артерий представлена на рис. 1. Затем рассчитывался индекс усиления (ИУ) МРТ-сигнала как отношение постконтрастного Т1-изображения к исходному:
ИУ = (Интенсивность Т1-взв SE)контраст /(Интенсивность Т1-взв SE)исходно.
Рис. 1. Магнитно-резонансная томография брюшной аорты и отходящих от нее почечных артерий в коронарной проекции на Т1- взвешенном спин-эхо-изображении до (а) и после (б) контрастирования. Выделена область интереса – ствол правой почечной артерии с четко видимыми стенками [30].
Показатель ИУ измерялся в трех точках – устье, средняя часть ствола и дистальная часть с частичным переходом на сегментарные ветви.
В среднем пациенты принимали по 4 антигипертензивных препарата, группы были сопоставимы по получаемой терапии. Структура проводимой антигипертензивной терапии в количественном и процентном отношении представлена в табл. 1.
Таблица 1. Структура антигипертензивной терапии в исследуемых группах
|
Группа препаратов |
РАГ+СД2 (n=28) |
РАГ (n=17) |
|
Бета-блокаторы, n (%) |
24 (85,7) |
13 (76,5) |
|
иАПФ/сартаны, n (%) |
28 (100) |
17 (100) |
|
Диуретики, n (%) |
28 (100) |
17 (100) |
|
Антагонисты кальция, n (%) |
22 (78,5) |
11 (64,7) |
|
Верошпирон, n (%) |
10 (35,7) |
4 (29) |
Примечание: n – число больных; иАПФ – ингибитор ангиотензин-превращающего фермента; РАГ – резистентная артериальная гипертония; СД – сахарный диабет
Сахароснижающая терапия у всех больных включала метформин, 4 пациента (37%) дополнительно принимали другие пероральные гипогликемические средства, инсулинотерапию получали 5 человек (19%). Измерение офисного АД (систолическое/диастолическое – САД/ДАД) проводили по стандартной методике, амбулаторное мониторирование АД выполняли с помощью компьютерной системы ABPM–04 (Meditech, Hungary). Уровень глюкозы определяли в плазме крови ферментным (глюкозооксидазным) методом с использованием стандартных наборов (BIOCON, Germany). Уровень HbA1c измеряли ионообменным способом (с помощью наборов BIOCON, Germany). Уровень высокочувствительного С-реактивного белка определяли наборами Biomerica (Германия). Для лабораторных тестов образцы крови брали из локтевой вены утром натощак после 12-часового голодания стандартным способом. Всем больным выполняли допплерографию почечных артерий по общепринятой методике. МРТ почек и почечных артерий проводили на высокопольном томографе с индукцией магнитного поля 1,5 Тесла в стандартных режимах. Для контрастного усиления применялся 0,5 М раствор гадодиамида внутривенно в дозировке 0,2 мл на килограмм массы тела пациента.
Этическая экспертиза
Всеми участниками исследования было подписано информированное согласие. Исследование проводилось по решению Ученого Совета в соответствии с национальными и международными регуляторными нормами и правилами, а его проведение было одобрено и контролировалось Комитетом по биомедицинской этике НИИ кардиологии Томского НИМЦ (протокол №134 от 11 июня 2015 г.).
Статистический анализ
Размер выборки предварительно не рассчитывался. Статистическая обработка проводилась при помощи программного обеспечения Statistica 8.0 (Dell, США). Проверка значений на соответствие нормальному закону распределения проводилась с помощью W-критерия согласия Шапиро–Уилка. Для описания количественных признаков использовались значения среднего и стандартного отклонения (x±σ). Определение зависимости между количественными признаками проводилось с помощью коэффициента линейной корреляции Спирмена (R). Для оценки различий в группах был использован параметрический t-критерий Стьюдента. Статистические результаты проверки гипотез и корреляционного анализа считались достоверными при p<0,05.
РЕЗУЛЬТАТЫ
Объекты (участники) исследования
В исследование включены 28 пациентов с РАГ, ассоциированной с СД2, и 17 пациентов с РАГ без СД, сопоставимых по полу, возрасту и основным клиническим данным (группа сравнения). Клиническая характеристика пациентов представлена в табл. 2.
Таблица 2. Клиническая характеристика больных резистентной артериальной гипертензией в сочетании с сахарным диабетом 2 типа и без сахарного диабета (данные представлены в виде среднего ± стандартного отклонения)
|
Показатели |
РАГ+СД2 (n=28) |
РАГ (n=17) |
|
Возраст, годы |
60,7±6,5 |
57,7±5,0 |
|
Мужской пол, n (%) |
10 (37%) |
6 (35%) |
|
ИБС, n (%) |
18 (64%) |
9 (53%) |
|
ИМТ, кг/м2 |
35,8±5,3 |
32,2±4,9 |
|
Абдоминальное ожирение, n (%) |
24(85%) |
13 (76%) |
|
Офисное САД/ ДАД, мм рт.ст. |
170,2±17,9/90,5±15,1 |
165,8±18,6/96,7±10,9 |
|
24 ч-САД/ДАД, мм рт.ст. |
156,8±16,9/81,9,0±13,5 |
154,8±11,9/88,5±10,4 |
|
Офисная ЧСС, уд/мин |
69,4±12,1 |
71,8±10,3 |
|
Креатинин крови, мкмоль/л |
89,6±31,8 |
79,2±17,3 |
|
рСКФ, мл/мин/1,73 м2 |
72,3±17,3 |
80,9±16,4 |
|
Продолжительность АГ, годы |
22,8±11,4 |
25,4±11,5 |
|
Продолжительность СД, годы |
6,5±4,2 |
- |
|
Базальная гликемия, ммоль/л |
8,1±2,3 |
6,3±0,5 |
|
HbA1с, % |
6,9±1,3% |
- |
|
ОХС, ммоль/л |
45±1,3 |
- |
|
вчСРБ, мг/л |
3,5±3,1 |
4,2±3,1 |
|
Адипонектин, мг/мл |
6,9±4,6 |
7,5±3,6 |
Примечание: n – число больных; РАГ – резистентная артериальная гипертония; СД – сахарный диабет; ИБС – ишемическая болезнь сердца; ИМТ – индекс массы тела; САД – систолическое АД; ДАД – диастолическое АД; ЧСС – частота сердечных сокращений; рСКФ – скорость клубочковой фильтрации; HbA1с – гликированный гемоглобин; ОХС – общий холестерин; вчСРБ – С-реактивный белок
Основные результаты исследования
Сравнительный анализ показателей ИУ почечных артерий (ПА) у больных РАГ в зависимости от наличия СД и его отсутствия не выявил каких-либо значимых отличий (табл. 3), p>0,05. Для поиска возможных взаимосвязей индексов контрастного усиления в стенках ПА с клиническими и лабораторно-инструментальными показателями был проведен линейный корреляционный анализ, результаты которого представлены в табл. 4. Согласно этим данным, ИУ имел прямую корреляционную связь средней силы с показателями АД: NPSP R=0,62, p=0,04, DPSD R=0,66, p=0,04, NSP R=0,703, p=0,016, NSLD R=0,709, p=0,015. В том числе увеличение ИУ ПА имело прямую взаимосвязь с возрастом и гемодинамическими факторами, в частности с резистивным индексом ствола ПА и со скоростью кровотока в сегментарных отделах ПА. Кроме того, была выявлена средней силы корреляция между ИУ в проксимальном, среднем и дистальном сегменте ствола ПА с С-реактивным белком (СРБ), а также с уровнем базальной гликемии и HOMA-индексом инсулинорезистентности. Ожидаемо, группа с СД2 и без такового имели достоверные отличия по данному признаку. Была получена отрицательная корреляция ИУ ПА с уровнем адипонектина в группе СД2, а вот достоверных различий с группой без СД получено не было. Важно, что в группе РАГ даже без СД ИУ также, тем не менее, имели связь с показателями активности воспалительного процесса, оцененного по уровню СРБ.
Таблица 3. Показатели индексов усиления в стенках почечных артерий (данные представлены в виде среднего ± стандартного отклонения)
|
Правая |
Левая |
|||
|
РАГ+СД |
РАГ |
РАГ+СД2 |
РАГ |
|
|
Проксимальная часть |
1,56±0,42 |
1,58±0,52 |
1,64±0,42 |
1,54±0,37 |
|
Средняя часть |
1,66±0,46 |
1,72±0,51 |
1,63±046 |
1,67±0,49 |
|
Дистальная часть |
1,76±0,54 |
1,8±0,66 |
1,62±0,41 |
1,78±0,60 |
Примечание: РАГ – резистентная АГ; СД – сахарный диабет
Таблица 4. Взаимосвязи индексов усиления в почечных артериях с клиническими и лабораторно-инструментальными данными
|
ИУ устья ПА |
ИУ средней части ствола ПА |
ИУ дистальной части ствола ПА |
|
|
Офисное ПАД |
R=0,51, p=0,006 |
R=0,45, p=0,03 |
R=0,48, p=0,01 |
|
24 ч-ПАД |
R=0,47, p=0,03 |
||
|
Вариабельность ПАД |
R=0,51, p=0,01 |
||
|
СИ ДАД |
R=-0,40, p=0,04 |
R=-0,44, p=0,02 |
R=-0,44, p=0,03 |
|
РИ ствола ПА |
R=0,49, p=0,02 |
||
|
СРБ |
R=0,58, p=0,02 |
R=0,51, p=0,04 |
R=0,51, p=0,03 |
|
Базальная гликемия |
R=0,43, p=0,003 |
||
|
HOMA-индекс ИР |
R=0,56, p=0,04 |
||
|
Возраст |
R=0,44, p=0,02 |
Примечание: ИУ – индекс усиления; ПА – почечная артерия; ПАД – пульсовое АД; СИ ДАД – суточный индекс диастолического АД; РИ – резистивный индекс; СРБ – С-реактивный белок; ИР – инсулинорезистентность; R – коэффициент корреляции Спирмена.
ОБСУЖДЕНИЕ
В последнее время частота применения контрастированной МРТ сосудов растет, поскольку это неинвазивный метод без лучевой нагрузки, обладающий высокой чувствительностью в отношении изменения сосудов на ранних стадиях различных патологий, в частности при РАГ и СД. Патологические изменения сосудистого русла закономерны как для АГ, так и для СД, а их сочетание характеризуется ускоренным и более выраженным сосудистым повреждением [9]. Известно, что патологическое накопление контраста-парамагнетика является высокочувствительной, но неспецифической характеристикой МРТ-исследования, которая встречается при новообразованиях, при ишемических и воспалительных поражениях органов и тканей. В наших ранее опубликованных исследованиях мы представили визуальные и количественные данные по накоплению контраста-парамагнетика при МРТ сердца и корня аорты, где показывали, что одновременное накопление контраста в миокарде левого желудочка и стенке восходящей аорты обусловливается хроническим повреждением с развитием асептической воспалительной реакции и гиперангиогенезом [10, 11, 12]. Широко описаны особенности накопления контрастных препаратов при атеросклерозе в сонных артериях и аорте [13, 14]. В основе позднего накопления контраста в сосудистой стенке лежит активация неоангиогенеза и повышение количества vasa vasorum [15]. При этом контраст наиболее активно накапливается в атеросклеротических бляшках, а степень этого накопления зависит от васкуляризации самой бляшки. Так, сопоставление МР-картины феномена контрастного усиления сосудов с результатами гистопатологии показало, что атеросклеротические бляшки с большим липидным ядром и интенсивным неоангиогенезом накапливают контраст более выраженно, чем фиброзные атеромы [16]. Таким образом, фактически любое асептическое повреждение сосудистой стенки будет характеризоваться гиперфиксацией контраста, если оно сопровождается патологическим неоангиогенезом стенки. Будут ли это фиброзные изменения или атеросклеротическая бляшка, МРТ-картина будет достаточно определенной – повышение интенсивности сигнала при контрастном усилении. Однако количественные данные в сопоставлении с лабораторными показателями сосудистого фиброза, системного воспаления и метаболических нарушений могли бы разграничить эти процессы при МРТ-визуализации.
Согласно нашим данным, усиленное накопление контраста в стенке сосудов было связано с возрастом, гемодинамическими и лабораторными данными. Анализ изменений структуры сосудистой стенки, происходящих в течение жизни, показал, что старение тесно связано с развитием воспалительных процессов в стенке сосуда, которое у больных СД начинается в более молодом возрасте, в связи с чем СД рассматривают как модель «ускоренного старения» [7]. Это подтверждает и обнаруженная нами связь степени накопления контраста в сосудистой стенке с повышенной активностью системного субклинического воспаления. Корреляционная связь контрастного усиления стенки сосудов с уровнем СРБ была продемонстрирована ранее у больных с острой фазой ишемического инсульта [17].
Как известно, нарушение углеводного обмена сопровождается отложением конечных продуктов гликирования в сосудистой стенке, оксидативным стрессом и прогрессирующей эндотелиальной дисфункцией [18], поэтому документированная нами прямая зависимость степени контрастного усиления сосудистой стенки от уровня базальной гликемии и индекса инсулинорезистентности также представляется весьма закономерной. Дополнительными факторами, связанными с накоплением контраста в сосудистой стенке, по результатам нашего исследования, было увеличение пульсового давления и рост сопротивления почечного кровотока. Полученные взаимосвязи могут быть обусловлены баротравмой сосудистой стенки, приводящей к нарушению целостности эндотелиального барьера и к повышению проницаемости сосудистой стенки для контрастного вещества [19]. Интересным представляется выявленный нами факт отсутствия значимых отличий по ИУ почечных артерий у больных РАГ с наличием СД и без такового. Учитывая роль метаболических нарушений в сосудистом повреждении, было ожидаемым, что такие различия должны иметь место. Возможным объяснением сопоставимого состояния сосудистой стенки по данным МРТ у больных СД и без него могла быть одинаковая степень хронического субклинического воспаления, оцененная по уровню СРБ, который является высокочувствительным, но неспецифическим маркером воспалительных процессов, в том числе и воспаления в атеросклеротических бляшках [20]. Нивелирование возможных различий уровня СРБ могло быть связано с реализацией противовоспалительных эффектов сопутствующей терапии. Так, все больные СД получали метформин, противовоспалительное действие которого уже достаточно хорошо изучено [21, 22, 23]. Более того, в последнее время появилось много данных о том, что метформин можно рассматривать как антивозрастную молекулу, способную замедлить процессы старения [24, 25]. Следует учитывать также и противовоспалительные эффекты статинов [26], которые принимали все больные СД и 53% пациентов РАГ без СД. Однако для того, чтобы проверить гипотезу о влиянии приема статинов на ИУ сосудистой стенки у больных РАГ без СД, необходимы дальнейшие исследования с большей статистической мощностью выборки для корректности выводов.
Таким образом, несмотря на большой интерес и достаточно длительную историю изучения феномена контрастного усиления сосудистой стенки [27], наше исследование впервые продемонстрировало его связь с выраженностью гемодинамических и метаболических нарушений, а также степенью системного субклинического воспаления у больных РАГ, ассоциированной с СД2.
Вероятно, наличие метаболических расстройств у больных АГ определяет более сложные механизмы повреждения структуры стенок сосудов, для которых существенное значение имеет взаимодействие гемодинамических и метаболических факторов, и необходимо дальнейшее изучение МРТ-характеристик поражения сосудов и других органов-мишеней при АГ в сочетании с СД2.
Кроме того, данное исследование открывает перспективы изучения обратимости ранних МРТ-признаков повреждения сосудистой стенки после симпатической ренальной денервации, которая является новым методом лечения РАГ и обладает комплексом антигипертензивных и плейотропных эффектов [28, 29, 30].
Ограничения исследования
Определение наличия антигипертензивных препаратов в моче не проводилось. Оценка приверженности пациентов к терапии проводилась по данным опроса.
ЗАКЛЮЧЕНИЕ
Проведение МРТ с контрастным усилением позволяет изучить не только особенности анатомии сосудистого дерева почек, но и получить количественные данные о состоянии стенок почечных артерий у больных РАГ, ассоциированной с СД2. Степень МРТ-признаков повреждения стенок почечных артерий зависит не только от гемодинамических и метаболических показателей, но и от выраженности биохимических маркеров субклинического воспаления. Состояние артериальной стенки по данным МРТ у больных РАГ, ассоциированной с СД2, не имеет существенных отличий от таковой у больных РАГ без СД, что может быть частично обусловлено сопоставимой активностью субклинического воспаления, оцененного по уровню СРБ.
ДОПОЛНИТЕЛЬНАЯ ИНФОРМАЦИЯ
Конфликт интересов. Авторы декларируют отсутствие явных и потенциальных конфликтов интересов, связанных с публикацией настоящей статьи.
Участие авторов. Рюмшина Н.И. – проведение МРТ-исследования, постпроцессинговая обработка, написание текста статьи, аналитический обзор литературы; Фальковская А.Ю. – набор материала исследования, статистическая обработка, написание текста статьи, аналитический обзор литературы; Гусакова А.М. – выполнение лабораторных тестов на поиск маркеров воспаления, метаболических факторов; Мордовин В.Ф. – концепция и дизайн исследования; Усов В.Ю. – концепция и дизайн исследования. Все авторы внесли значимый вклад в проведение исследования и подготовку статьи, прочли и одобрили финальную версию статьи перед публикацией.
Список литературы
1. Irigoyen MC, De Angelis K, Dos Santos F, et al. Hypertension, blood pressure variability, and target organ lesion. Curr Hypertens Rep. 2016;18(4):31. doi: https://doi.org/10.1007/s11906-016-0642-9
2. McMaster WG, Kirabo A, Madhur MS, Harrison DG. Inflammation, immunity and hypertensive end-organ damage. Circ Res. 2015;116(6):1022−1033. doi: https://doi.org/10.1161/CIRCRESAHA.116.303697
3. Norlander AE, Madhur MS. Inflammatory cytokines regulate renal sodium transporters: how, where, and why? Am J Physiol Renal Physiol. 2017;313(2):F141–F144. doi: https://doi.org/10.1152/ajprenal.00465.2016
4. Kenney MJ, Ganta CK. Autonomic nervous system and immune system interactions. Compr Physiol. 2014;4(3):1177–1200. doi: https://doi.org/10.1002/cphy.c130051
5. Херинг Д., Наркевич К. Симпатическая нервная система и артериальная гипертензия: новые данные, дальнейшие перспективы // Артериальная гипертензия. — 2014. — Т. 20. — №2. — С. 66−74. [Hering D, Narkiewicz K. Sympathetic nervous system and arterial hypertension: new perspectives, new data. Arterial’naia gipertenziia. 2014;20(2):66−74. (In Russ.)] doi: https://doi.org/10.5603/RH.2013.0089
6. Tomiyama H, Shiina K, Matsumoto-Nakano C, et al. The contribution of inflammation to the development of hypertension mediated by increased arterial stiffness. J Am Heart Assoc. 2017;6(7). pii: e005729. doi: https://doi.org/10.1161/JAHA.117.005729
7. Prattichizzo F, De Nigris V, La Sala L, et al. «Inflammaging» as a druggable target: a senescence-associated secretory phenotype — centered view of type 2 diabetes. Oxid Med Cell Longev. 2016;2016:1810327. doi: https://doi.org/10.1155/2016/1810327
8. Кологривова И.В., Суслова Т.Е., Кошельская О.А., и др. Система матриксных металлопротеиназ и секреция цитокинов при сахарном диабете 2-го типа и нарушении толерантности к углеводам, ассоциированных с артериальной гипертензией // Бюллетень экспериментальной биологии и медицины. — 2013. — Т. 156. — №11. — С. 578−581. [Kologrivova IV, Suslova TE, Koshel’skaja OA, et al. Sistema matriksnykh metalloproteinaz i sekretsiya tsitokinov pri sakharnom diabete 2-go tipa i narushenii tolerantnosti k uglevodam, assotsiirovannykh s arterial’noy gipertenziyey. Biull Eksp Biol Med. 2013;156(11):578−581. (In Russ.)]
9. Sønder TK, Møller JE, Løgstrup BB, et al. Vascular characteristics in patients with resistant hypertension and type-II-diabetes Mellitus. Artery Research. 2012;6(2):71−77. doi: https://doi.org/10.1016/j.artres.2012.02.002
10. Рюмшина Н.И., Мочула О.В., Усов В.Ю. Магнитно-резонансная томография с парамагнитным контрастированием в визуализации патологического неоваскулогенеза стенки аорты как предиктора повреждения миокарда у пациентов с резистентной артериальной гипертонией / XIV Всероссийский конгресс «Артериальная гипертония-2018 на перекрестке мнений»; Москва, 14−15 марта 2018 г. — М.: ИнтерМедсервис, 2018. — С. 44. [Ryumshina NI, Mochula OV, Usow VYu. Magnitno-rezonansnaya tomografiya s paramagnitnym kontrastirovaniem v vizualizatsii patologicheskogo neovaskulogeneza stenki aorty kak prediktora povrezhdeniya miokarda u patsientov s rezistentnoy arterial’noy gipertoniey. (Conference proceedigs) XIV Vserossiyskiy kongress «Arterial’naya gipertoniya 2018 na perekrestke mneniy»; Moscow, 2018 March 14−15. Moscow: InterMedservise; 2018. P. 44. (In Russ.)]
11. Рюмшина Н.И., Мочула О.В., Усов В.Ю. Патологический неоваскулогенез стенки аорты как предиктор повреждения миокарда у пациентов с артериальной гипертензией, по данным магнитно-резонансного томографического исследования с контрастным усилением / V Юбилейный международный конгресс и школа для врачей «Кардиоторакальная радиология». Москва, 23−24 марта 2018 г. — СПб.: Человек и его здоровье, 2018. — С. 85−87. [Ryumshina NI, Mochula OV, Usow VYu. Pathologic aortal wall neoangiogenesis as predictive factor for myocardial damage in patients with arterial hypertension, as from contrast-enhanced MRI data. (Conference proceedigs) V Yubileynyy mezhdunarodnyy kongress i shkola dlya vrachey «Kardiotorakal’naya radiologiya»; Moscow, 2018 March 23−24. Saint Petersburg: Chelovek i ego zdorov’e; 2018. P. 85−87. (In Russ.)]
12. Усов В.Ю., Мочула О.В., Рюмшина Н.И., и др. Патологический неоваскулогенез стенки аорты как предиктор повреждения миокарда у пациентов с артериальной гипертензией, по данным МР-томографического исследования с контрастным усилением // Терапевт. — 2018. — №1-2. — С. 17−27. [Usow VYu, Mochula OV, Ryumshina NI, et al. Abnormal neovasculogenesis of aortic wall as predictor of myocardial injury in patients with arterial hypertension, according to the contrast-enhanced MRI data. Terapevt. 2018;(1-2):17−27. (In Russ.)]
13. Maximova AS, Babokin VE, Bukhovets IL, et al. Contrast-enhanced mri of aortal atherosclerosis: syndrome types and prediction of dissection. J Cardiovasc Magn Reson. 2015;17(S1):256. doi: https://doi.org/10.1186/1532-429x-17-s1-p256
14. Максимова А.С., Бобрикова Е.Э., Плотников М.П., и др. Соотношения картины магнитно-резонансной томографии каротидной атеросклеротической бляшки и цереброваскулярной реактивности при стенозирующем атеросклерозе сонных артерий // Атеросклероз. — 2015. — Т. 11. — №3. — С. 35−41. [Maksimova AS, Bobrikova EE, Plotnikov MP, et al. Relationship of MRI pattern of carotid atherosclerotic plaque to cerebrovascular reactivity in carotid stenosis. Ateroscleroz. 2015;11(3):35−41. (In Russ.)]
15. Pedersen SF, Thrys SA, Paaske WP, et al. CMR assessment of endothelial damage and angiogenesis in porcine coronary arteries using gadofosveset. J Cardiovasc Magn Reson. 2011;13(1):10. doi: https://doi.org/10.1186/1532-429X-13-10
16. Weiss CR, Arai AE, Bui MN, et al. Arterial wall MRI characteristics are associated with elevated serum markers of inflammation in humans. J Magn Reson Imaging. 2001;14(6):698–704. doi: https://doi.org/10.1002/jmri.10023
17. Xu R, Yin X, Xu W, et al. Assessment of carotid plaque neovascularization by contrast-enhanced ultrasound and high sensitivity C-reactive protein test in patients with acute cerebral infarction: a comparative study. Neurol Sci. 2016;37(7):1107−1112. doi: https://doi.org/10.1007/s10072-016-2557-2
18. Tabit CE, Chung WB, Hamburg NM, Vita JA. Endothelial dysfunction in diabetes mellitus: Molecular mechanisms and clinical implications. Rev Endocr Metab Disord. 2010;11(1):61−64. doi: https://doi.org/10.1007/s11154-010-9134-4
19. Knudsen ST, Jeppesen P, Frederiksen CA, et al. Endothelial dysfunction, ambulatory pulse pressure and albuminuria are associated in Type 2 diabetic subjects. Diabet Med. 2007;24(8):911−915. https://doi.org/10.1111/j.1464-5491.2007.02197.x
20. Kerwin WS, O’Brien KD, Ferguson MS, et al. Inflammation in carotid atherosclerotic plaque: a dynamic contrast-enhanced MR-imaging study. Radiology. 2006;241(2):459−468. doi: https://doi.org/10.1148/radiol.2412051336
21. Зак К.П., Фурманова О.В. Иммунные и противовоспалительные факторы в механизме лечебного действия метформина при сахарном диабете 2-го типа (аналитический обзор с включением собственных данных) // Международный эндокринологический журнал. — 2018. — Т. 14. — №2. — С. 173−181. [Zak KP, Furmanova OV. Immune and anti-inflammatory factors in the mechanism of therapeutic effect of metformin in type 2 diabetes mellitus (analytical review including the results of own researchers). Mezhdunarodnyi endokrinologicheskii zhurnal. 2018;14(2):173−181. (In Russ.)] doi: https://doi.org/10.22141/2224-0721.14.2.2018.130564
22. Бирюкова Е.В., Соловьева И.В., Платонова Н.М. Возможности метформина в лечении сахарного диабета 2 типа: испытание временем // Фарматека. — 2018. — №4. — С. 59−65. [Biryukova EV, Solov’eva IV, Platonova NM. Possibilities of methormine in the treatment of type 2 diabetes mellitus: test of time. Farmateka. 2018;(4):59−65. (In Russ.)] doi: https://doi.org/10.18565/pharmateca.2018.4.59-65
23. Дегтярь Н.И., Герасименко Н.Д., Расин М.С. Эндотелий и системное воспаление: роль ядерных транскрипционных факторов и терапевтические возможности (обзор литературы) // Артериальная гипертензия. — 2016. — №4. — С. 21−25. [Degtjar NI, Gerasimenko ND, Rasin MS. Endothelium and systemic inflammation: role of nuclear transcription factors and therapeutic possibilities (literature review). Arterial’naia gipertenziia. 2016;(4):21−25. (In Russ.)] doi: https://doi.org/10.22141/2224-1485.4.48.2016.76991
24. Valencia WM, Palacio A, Tamariz L, Florez H. Metformin and ageing: improving ageing outcomes beyond glycaemic control. Diabetologia. 2017;60(9):1630−1638. doi: https://doi.org/10.1007/s00125-017-4349-5
25. Wang YW, He SJ, Feng X, et al. Metformin: a review of its potential indications. Drug Des Devel Ther. 2017;11:2421−2429. doi: https://doi.org/10.2147/DDDT.S141675
26. Li X, Xiao H, Lin C, et al. Synergistic effects of liposomes encapsulating atorvastatin calcium and curcumin and targeting dysfunctional endothelial cells in reducing atherosclerosis. Int J Nanomedicine. 2019;14:649−665. doi: https://doi.org/10.2147/IJN.S189819
27. Lohrke J, Frenzel T, Endrikat J, et al. 25 Years of contrast-enhanced mri: developments, current challenges and future perspectives. Adv Ther. 2016;33(1):1–28. doi: https://doi.org/10.1007/s12325-015-0275-4
28. Фальковская А.Ю., Мордовин В.Ф., Пекарский С.Е., и др. Дополнительные благоприятные эффекты симпатической денервации почек при лечении резистентной артериальной гипертензии у больных сахарным диабетом 2-го типа // Артериальная гипертензия. — 2014. — Т. 20. — №2. — С. 107−112. [Fal’kovskaya AYu, Mordovin VF, Pekarskiy SE, et al. Transcatheter renal denervation in patients with resistant hypertension and type 2 diabetes mellitus has beneficial effects beyond blood pressure reduction. Arterial’naia gipertenziia. 2014;20(2):107−112. (In Russ.)]
29. Мордовин В.Ф., Пекарский С.Е., Семке Г.В., и др. Использование современных медицинских технологий для диагностики и лечения больных артериальной гипертонией // Сибирский медицинский журнал (г. Томск). — 2015. — Т. 30. — №2. — С. 29−35. [Mordovin VF, Pekarskiy SE, Semke GV, et al. The use of modern medical technology to diagnose and treat patients with hypertension. Siberian Medical Journal. 2015;30(2):29−35. (In Russ.)]
30. Рюмшина Н.И., Зюбанова И.В., Баев А.Е., и др. Магнитно-резонансная томография с парамагнитным контрастированием в оценке местного воздействия ренальной денервации на стенку почечных артерий // Лучевая диагностика и терапия. — 2015. — №3. — С. 83−89. [Ryumshina NI, Zyubanova IV, Baev AE, et al. Use of magnetic resonance imaging with paramagnetic contrast in evaluation of local renal denervation impact on the renal arteries walls. Diagnostic radiology and radiotherapy. 2015;(3):83−89. (In Russ.)]
Об авторах
Надежда Игоревна РюмшинаРоссия
к.м.н.
Алла Юрьевна Фальковская
Россия
кандидат медицинских наук, старший научный сотрудник отделения артериальных гипертоний
Анна Михайловна Гусакова
Россия
кандидат фармацевтических наук, научный сотрудник отделения функциональной и лабораторной диагностики
Виктор Федорович Мордовин
Россия
доктор медицинских наук, профессор, руководитель отделения артериальных гипертоний
Владимир Юрьевич Усов
Россия
доктор медицинских наук, профессор, руководитель отделения рентгеновских и томографических методов диагностики
Дополнительные файлы
|
|
1. Рис. 1. Магнитно-резонансная томография брюшной аорты и отходящих от нее почечных артерий в коронарной проекции на Т1- взвешенном спин-эхо-изображении до (а) и после (б) контрастирования. Выделена область интереса – ствол правой почечной артерии с четко видимыми стенками [30]. | |
| Тема | ||
| Тип | Прочее | |
Посмотреть
(182KB)
|
Метаданные ▾ | |
|
|
2. Fig. 1. Magnetic resonance imaging of the abdominal aorta and renal arteries extending from it in a coronary projection on a T1-weighted spin-echo image (a) before and (b) after the contrasting. The area of interest – the trunk of the right renal artery with clearly visible walls – is highlighted [30]. | |
| Тема | ||
| Тип | Прочее | |
Посмотреть
(182KB)
|
Метаданные ▾ | |
Рецензия
Для цитирования:
Рюмшина Н.И., Фальковская А.Ю., Гусакова А.М., Мордовин В.Ф., Усов В.Ю. Особенности МРТ-визуализации изменений сосудистой стенки при резистентной артериальной гипертонии в сочетании с сахарным диабетом 2 типа. Сахарный диабет. 2020;23(1):29-36. https://doi.org/10.14341/DM10169
For citation:
Ryumshina N.I., Falkovskaya A.Y., Gusakova A.M., Mordovin V.F., Usov V.Y. MRI of the arterial wall in resistant hypertension associated with type 2 diabetes mellitus. Diabetes mellitus. 2020;23(1):29-36. (In Russ.) https://doi.org/10.14341/DM10169
Контент доступен под лицензией Creative Commons Attribution-NonCommercial-NoDerivatives 4.0 International License (CC BY-NC-ND 4.0).









































