Scroll to:
MRI of the arterial wall in resistant hypertension associated with type 2 diabetes mellitus
https://doi.org/10.14341/DM10169
Abstract
BACKGROUND: Damage of arterial walls in diabetes mellitus associated with arterial hypertension is major factor delivering lesion of target organs. Currently, enough data is not available about imaging and quantitative evaluations of arterial wall. There is no enough data available about the relations between MRI and inflammatory and metabolic markers in patients with resistant arterial hypertension concomitant with diabetes mellitus.
AIMS: Quantitative assessment of the intensity of paramagnetic contrast enhancement of the arterial wall, in particular renal arteries walls, in relation with inflammatory and metabolic markers in patients with resistant arterial hypertension concomitant with diabetes mellitus.
MATERIALS AND METHODS: The study groups were comprised of 28 patients (ageing 60,7±6,5 years) with resistant hypertension accompanied with diabetes mellitus and 17 patients (aging 57,7±5,0 years) with resistant hypertension without diabetes mellitus. The average systolic/diastolic pressure obtained from a 24-h monitor study was as high as 156,8±16,9/81,9,0±13,5 mm Hg in the group with diabetes and 154,8±11,9/88,5±10,4 mm Hg in the group without diabetes. The values of glycaemia, the level of glycated haemoglobin, and C-reactive protein were determined. The MRI studies were carried out using 1,5 Т MRI Toshiba Vantage Titan scanner. After that, the intravenous contrast enhancement has been carried out (with 0,5 М paramagnetic, as 0,2 ml/Kg). The index of enhancement (IE) was then calculated from these data, as a ratio of intensities of contrast-enhanced image to the initial nonenhanced MRI scan.
RESULTS: The correlation was obtained for IE of arterial wall and data of blood pressure. Increased IE was correlated with ageing and hemodynamic factors. Also the correlation was observed for IE proximal, medium and distal parts of renal arteries and values of glycaemia and NOMA-index were obtained. Negatively correlated values for IE and adiponectin in the group with diabetes mellitus were obtained. The association between IE and C-reactive protein remained significant in the group without diabetes mellitus.
CONCLUSIONS: MRI with contrast enhancement of arterial walls allows evaluating the anatomy of renal arteries and allows quantifying the pathophysiologic factors of their walls in patients with resistant hypertension accompanied with diabetes mellitus. MRI characteristics of the arterial wall were associated not only with hemodynamic and metabolic data, but also with markers of inflammation.
Keywords
For citations:
Ryumshina N.I., Falkovskaya A.Y., Gusakova A.M., Mordovin V.F., Usov V.Y. MRI of the arterial wall in resistant hypertension associated with type 2 diabetes mellitus. Diabetes mellitus. 2020;23(1):29-36. (In Russ.) https://doi.org/10.14341/DM10169
Arterial hypertension (AH) and diabetes mellitus (DM) are associated with a progressive lesion to the vascular bed, which plays a significant role in damage to target organs [1], primarily arterial vessels. A pathological change in the wall of blood vessels, both small and large in size, is in the nature of a systemic response, often subclinical inflammation [2]. High intravascular pressure and other factors stimulating neoangiogenesis in the vascular wall, combined with exposure to circulating pro-inflammatory cytokines and metabolic factors on the vascular wall, cause the development of endothelial dysfunction, vascular fibrosis and vascular remodelling with a decrease in their lumen [3]. In addition, in the pathophysiology of vascular damage, in addition to subclinical inflammation, chronic sympathetic hyperactivation, which can be an independent trigger of systemic inflammation and lead to the development of hypertension [4] and the formation of resistance to antihypertensive therapy [5], is of great importance. Thus, to date, it has been established that an increase in sympathetic and inflammatory activity is accompanied by an increase in vascular stiffness [6], activation of the renin–angiotensin–aldosterone system and increased sodium reabsorption and renal fibrogenesis, and this, in turn, involves a long-term volume-dependent mechanism for increasing BP. The presence of DM makes an independent contribution to the development of a subclinical inflammatory process in the arterial walls, accelerating vascular ageing [7], which may be responsible for the high frequency of cardiovascular complications and the formation of resistant forms of AH. In addition, hyperinsulinemia in DM is accompanied by a shift in the cytokine profile towards increased secretion of pro-inflammatory cytokines and weakened secretion of anti-inflammatory cytokines [8]. MRI with contrast enhancement, based on the extracellular accumulation of contrast in the walls of blood vessels and interstitial tissue, allows visualisation of changes occurring in the walls of arteries in the early stages. At the same time, there is currently insufficient data on visualisation and quantitative assessment of the state of the arterial wall, as well as very little data on the relationship of MRI signs of damage with inflammatory markers and metabolic and haemodynamic factors in combination with resistant AH (RAH) and DM.
AIM
The work aimed to study the quantitative indicators of the intensity of contrasting the walls of arterial vessels by the example of the renal arteries (RAs) in conjunction with markers of chronic subclinical inflammation, metabolic and haemodynamic factors in patients with resistant hypertension in combination with type 2 DM (DM2).
METHODS
Study Design
An observational retrospective sampling single-arm study was conducted.
Inclusion Criteria
AH resistance to pharmacotherapy was documented while maintaining an office BP level of more than 140/85 mmHg along with a long-term (at least 6 months) intake of three or more drugs in maximum doses, including a diuretic, as well as a set of drug-free actions. Adherence to therapy was assessed according to a survey. Exclusion criteria were the symptomatic nature of AH, white-coat hypertension, low adherence to therapy, glycated haemoglobin (HbA1c) greater than 10%, pregnancy, rated glomerular filtration rate less than 45 mL/min/1.73 m2, acute vascular complications less than a year ago, unstable angina, chronic heart failure above the functional class 2 (New York Heart Association), severe peripheral atherosclerosis, type 1 diabetes and severe concomitant diseases.
Terms and Conditions
All patients underwent planned hospitalisation in the Department of Arterial Hypertension of the Research Institute of Cardiology of the Tomsk Scientific Research Center.
Study Duration
The study was retrospective, based on the analysis of the patient database and the results of the preoperative laboratory and instrumental measures performed. This article presented the results of a preoperative comparison of two groups of patients.
Methods of Registration of Outcomes
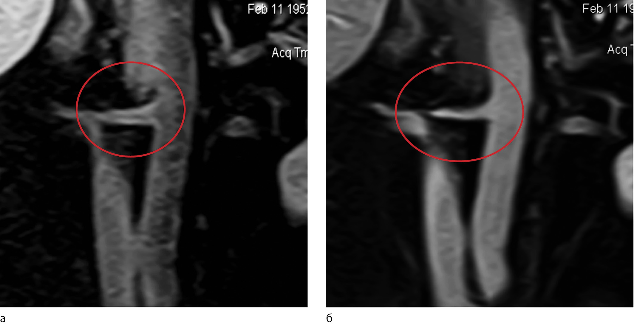
The accumulation of contrast agent in the wall of the RAs was analysed as follows. At the workstation, the software determined the intensity of the magnetic resonance imaging (MRI) signal from the artery wall in T1-weighted spin-echo (SE) images before and after the administration of the contrast agent. The MRI image of the enhancement of the MR signal from the walls of the RAs is presented in Fig. 1. Then, the enhancement index (EI) of the MRI signal was calculated as the ratio of the post-contrast T1 image to the original one:
EI = (Intensity T1-weighted SE)contrast/(Intensity T1-weighted SE)initial
Fig. 1. Magnetic resonance imaging of the abdominal aorta and renal arteries extending from it in a coronary projection on a T1-weighted spin-echo image (a) before and (b) after the contrasting. The area of interest – the trunk of the right renal artery with clearly visible walls – is highlighted [30].
The EI indicator was measured at three points: the mouth, the middle part of the trunk and the distal part with a partial transition to segmental branches.
On average, patients took four antihypertensive drugs; the groups were comparable in terms of the therapy received. Table 1 presents the structure of antihypertensive therapy in quantitative and percentage terms.
Table 1. Structure of antihypertensive therapy in the groups under study
|
Group of drugs, n (%) |
RAH + DM (n = 28) |
RAH (n = 17) |
|
Beta-blockers |
24 (85.7) |
13 (76.5) |
|
ACE inhibitors/sartans |
28 (100) |
17 (100) |
|
Diuretics |
28 (100) |
17 (100) |
|
Calcium antagonists |
22 (78.5) |
11 (64.7) |
|
Verospiron |
10 (35.7) |
4 (29) |
Note: ACE, angiotensin-converting enzyme; RAH, resistant arterial hypertension; DM, diabetes mellitus.
Sugar-lowering therapy in all patients included metformin; four patients (37%) received additional other oral hypoglycaemic agents, and five (19%) received insulin therapy. Office blood pressure (systolic (SBP)/diastolic (DBP)) was determined according to the standard method, and outpatient BP monitoring was performed using the ABPM-04 computer system (Meditech, Hungary). The glucose level was determined in plasma by the enzyme (glucose oxidase) method using standard kits (BIOCON, Germany). The level of HbA1c was measured by ion-exchange method (using BIOCON kits). The level of highly sensitive C-reactive protein (CRP) was determined by Biomerica kits (Germany). For laboratory tests, blood samples were taken from the cubital vein in the morning on an empty stomach after 12 h of fasting using a standard method. All patients underwent Doppler sonography of the RAs according to the generally accepted technique. MRI of the kidneys and RAs was performed on a high-field tomograph with a magnetic field induction of 1.5 Tesla in standard modes. For contrast enhancement, a 0.5 M solution of gadodiamide was used intravenously at a dosage of 0.2 mL/kg of patient body weight.
Ethical Considerations
All study participants signed informed consent. The study was conducted by the decision of the Academic Council following national and international regulatory norms and rules, and its conduct was approved and monitored by the Committee on Biomedical Ethics of the Research Institute of Cardiology of Tomsk Scientific Research Center (protocol no. 134 of 11 June 2015).
Statistical Analysis
The sample size was not previously calculated. Statistica 8.0 software (Dell, USA) was used to perform statistical processing. The values were checked for compliance with the normal distribution law using the Shapiro–Wilk W test. The mean and standard deviation values (x ± σ) were used to describe the quantitative characteristics. The dependence between quantitative signs was determined using the Spearman linear correlation coefficient (R). The Student’s parametric t-test was used to assess the differences in the groups. The statistical results of hypothesis testing and correlation analysis were considered significant at p < 0.05.
RESULTS
Objects (Participants) of the Study
The study included 28 patients with RAH associated with DM2 and 17 patients with RAH without DM, comparable in gender, age and basic clinical data (comparison group). Table 2 presents the clinical characteristics of the patients.
Table 2. Clinical characteristics of patients with resistant AH in combination with and without DM
|
Indicators |
RAH + DM (n = 28) |
RAH (n = 17) |
|
Age, years |
60.7±6.5 |
57.7±5.0 |
|
Male gender, n (%) |
10 (37%) |
6 (35%) |
|
CHD, n (%) |
18 (64%) |
9 (53%) |
|
BMI, kg/m2 |
35.8±5.3 |
32.2±4.9 |
|
Abdominal obesity, n (%) |
24(85%) |
13 (76%) |
|
Office SBP/DBP, mmHg |
170.2±17.9/90.5±15.1 |
165.8±18.6/96.7±10.9 |
|
24h SBP/DBP, mmHg |
156.8±16.9/81.9.0±13.5 |
154.8±11.9/88.5±10.4 |
|
Office HR, beats/min |
69.4±12.1 |
71.8±10.3 |
|
Blood creatinine, µmol/L |
89.6±31.8 |
79.2±17.3 |
|
rGFR, mL/min/1.73 m2 |
72.3±17.3 |
80.9±16.4 |
|
AH duration, years |
22.8±11.4 |
25.4±11.5 |
|
DM duration, years |
6.5±4.2 |
- |
|
Basal glycaemia, mmol/L |
8.1±2.3 |
6.3±0.5 |
|
HbA1с, % |
6.9±1.3% |
- |
|
TC, mmol/L |
45±1.3 |
- |
|
hsCRP, mg/L |
3.5±3.1 |
4.2±3.1 |
|
Adiponectin, mg/mL |
6.9±4.6 |
7.5±3.6 |
Note: Data are presented as mean ± standard deviation.
RAH, resistant arterial hypertension; DM, diabetes mellitus; CHD, coronary heart disease; BMI, body mass index; SBP, systolic blood pressure; DBP, diastolic blood pressure; HR, heart rate; rSCF, rated glomerular filtration rate; HbA1c, glycated haemoglobin; TC, total cholesterol; hsCRP, high-sensitivity C-reactive protein.
Primary Study Outcomes
A comparative analysis of RA EI indicators in RAH patients depending on the presence of DM and its absence did not reveal any significant differences (Table 3; p > 0.05). To search for possible correlations of contrast enhancement indices in the walls of the RAs with clinical and laboratory-instrumental indicators, a linear correlation analysis was performed, and the results of which are presented in Table 4. According to these data, the EI had a direct correlation of medium strength with BP indicators, such as NPSP R = 0.62 (p = 0.04), DPSD R = 0.66 (p = 0.04), NSP R = 0.703 (p = 0.016) and NSLD R = 0.709 (p = 0.015). The increase in RA EI was directly related to age and haemodynamic factors, in particular, to the resistive index of the RA trunk and the blood flow velocity in the RA segmental divisions. Also, an average strength correlation was found between the EI in the proximal, middle and distal segments of the RA trunk and the CRP, as well as with the level of basal glycaemia and the homeostatic model assessment of insulin resistance index. It is expected that the group with and without DM had significant differences on this factor. A negative correlation was obtained between RA EI and adiponectin levels in the DM group, but no significant differences with the group without DM were obtained. It is important that in the RAH group, even without DM, nevertheless, EI also had a relationship with the activity indicators of the inflammatory process, estimated by the CRP level.
Table 3. Indices of enhancement factors in the walls of the renal arteries
|
Right |
Left |
|||
|
RAH + DM |
RAH |
RAH + DM |
RAH |
|
|
Proximal segment |
1.56±0.42 |
1.58±0.52 |
1.64±0.42 |
1.54±0.37 |
|
Middle segment |
1.66±0.46 |
1.72±0.51 |
1.63±046 |
1.67±0.49 |
|
Distal segment |
1.76±0.54 |
1.8±0.66 |
1.62±0.41 |
1.78±0.60 |
Note: Data are presented as mean ± standard deviation.
RAH, resistant hypertension; DM, diabetes mellitu
Table 4. Correlation between renal artery enhancement indices and clinical, laboratory and instrumental data
|
RA mouth EI |
EI of the middle part of the RA trunk |
EI of the distal part of the RA trunk |
|
|
Office PBP |
R=0.51, p=0.006 |
R=0.45, p=0.03 |
R=0.48, p=0.01 |
|
24-h PBP |
R=0.47, p=0.03 |
||
|
PBP variability |
R=0.51, p=0.01 |
||
|
DI DBP |
R=-0.40, p=0.04 |
R=-0.44, p=0.02 |
R=-0.44, p=0.03 |
|
RI of the RA trunk |
R=0.49, p=0.02 |
||
|
CRP |
R=0.58, p=0.02 |
R=0.51, p=0.04 |
R=0.51, p=0.03 |
|
Basal glycaemia |
R=0.43, p=0.003 |
||
|
HOMA index of IR |
R=0.56, p=0.04 |
||
|
Age |
R=0.44, p=0.02 |
Note: R is the Spearman correlation coefficient.
EI, enhancement index; RA, renal artery; PBP, pulse blood pressure; DI DBP, daily index of diastolic blood pressure; RI, resistive index; CRP, C-reactive protein; HOMA, homeostatic model assessment; IR, insulin resistance.
DISCUSSION
Recently, the frequency of using contrast MRI of vessels has been increasing, since this is a non-invasive method without radiation exposure, which is highly sensitive to changes in the early stages of various pathologies, in particular with RAH and DM. Pathological changes in the vascular bed are natural for both AH and DM, and their combination is characterised by accelerated and more pronounced vascular lesions [9]. The pathological accumulation of contrast paramagnet is known to be a highly sensitive but non-specific characteristic of an MRI study, which occurs in neoplasms and ischaemic and inflammatory lesions of organs and tissues. In our previously published studies, we presented visual and quantitative data on the accumulation of paramagnet contrast agent in MRI of the heart and aortic root, where it was shown that the simultaneous accumulation of the contrast agent in the myocardium of the left ventricle and the wall of the ascending aorta is caused by chronic damage with the development of aseptic inflammatory response and hyperangiogenesis [10–12]. The characteristic aspects of the accumulation of contrast agents for atherosclerosis in the carotid arteries and aorta have been widely described [13, 14]. The late accumulation of contrast in the vascular wall is based on the activation of neoangiogenesis and an increase in the number of vasa vasorum [15]. In this case, the contrast agent is most actively accumulated in atherosclerotic plaques, and the degree of this accumulation depends on vascularisation of the plaque itself. Thus, comparison of the MR image of the phenomenon of contrast enhancement of blood vessels with the results of histopathology showed that atherosclerotic plaques with a large lipid core and intensive neoangiogenesis accumulate the contrast more pronouncedly than fibrotic atheromas [16]. Thus, any aseptic damage to the vascular wall will be characterised by hyperfixation of the contrast agent, if it is accompanied by pathological neoangiogenesis of the wall. Whether it will be fibrous changes or an atherosclerotic plaque, the MRI pattern will be quite certain with an increase in signal intensity with contrast enhancement. However, quantitative data in comparison with laboratory parameters of vascular fibrosis, systemic inflammation and metabolic disorders could distinguish these processes in MRI imaging.
According to our data, increased accumulation of contrast in the vessel wall was associated with age, as well as with haemodynamic and laboratory data. Analysis of changes in the structure of the vascular wall that occur during life has shown that ageing is closely associated with the development of inflammatory processes in the vessel wall, which starts in DM patients at a younger age, and therefore DM is considered as a model of ‘accelerated ageing’ [7]. This also confirms the relationship between the degree of contrast accumulation in the vascular wall and the increased activity of systemic subclinical inflammation. The correlation between the contrast enhancement of the vessel wall and the CRP level has been demonstrated previously in patients with the acute phase of ischaemic stroke [17].
Disorder of carbohydrate metabolism is known to be accompanied by the deposition of end products of glycation in the vascular wall, oxidative stress and progressive endothelial dysfunction [18]; therefore, the direct dependence of the degree of contrast enhancement of the vascular wall on the level of basal glycaemia and the insulin resistance index, which we have documented, also seems quite natural. Additional factors associated with the accumulation of the contrast agent in the vascular wall, according to the results of our study, included an increase in pulse pressure and renal blood flow resistance. The resulting relationships can be due to barotrauma of the vascular wall, leading to a violation of the integrity of the endothelial barrier and to an increase in permeability of the vascular wall for the contrast agent [19]. The discovered fact that there are no significant differences in EI of the RAs in RAH patients with and without DM seems interesting. Given the role of metabolic disorders in vascular damage, it was expected that such differences should occur. A possible explanation of the comparable state of the vascular wall according to MRI in patients with and without DM could be the same degree of chronic subclinical inflammation estimated by the CRP level, which is a highly sensitive but non-specific marker of inflammatory processes, including inflammation in atherosclerotic plaques [20]. Levelling of possible differences in the CRP level could be associated with the implementation of the anti-inflammatory effects of concomitant therapy. So, all DM patients received metformin in which its anti-inflammatory effect has already been studied quite well [21–23]. Moreover, a lot of data have recently appeared that metformin can be considered as an anti-ageing molecule that can slow down the ageing process [24, 25]. The anti-inflammatory effects of statins should also be taken into account [26], which were taken by all DM patients and 53% of RAH patients without DM. However, to test the hypothesis about the effect of statin intake on the EI of the vascular wall in RAH patients without DM, further studies with a higher statistical power of the sample are necessary for the conclusions to be correct.
Thus, despite the great interest and a rather long history of studying the phenomenon of contrast enhancement of the vascular wall [27], our study demonstrated for the first time its relationship with severity of haemodynamic and metabolic disorders, as well as the degree of systemic subclinical inflammation in patients with RAH associated with DM.
The presence of metabolic disorders in AH patients probably determines more complex mechanisms of damage to the structure of the blood vessel walls, for which the interaction of haemodynamic and metabolic factors is essential, and further study of MRI of characteristics of lesions to blood vessels and other target organs in AH in combination with DM is necessary.
In addition, this study offers the challenge for studying the reversibility of early MRI signs of vascular wall damage after sympathetic renal denervation, which is a new treatment for RAH and has a complex of antihypertensive and pleiotropic effects [28–30].
Study Limitations
The presence of antihypertensive drugs in the urine was not determined. The patient adherence to therapy was assessed according to a survey.
CONCLUSION
MRI with contrast enhancement allows to not only study the features of the anatomy of the renal vascular tree but also obtain quantitative data on the state of the walls of the RAs in patients with RAH associated with DM2. The degree of MRI signs of damage to the walls of the RAs depends on not only haemodynamic and metabolic parameters but also biochemical marker severity of subclinical inflammation. The state of the arterial wall according to MRI in patients with RAH associated with DM2 does not differ significantly from that in patients with RAH without DM, which may be partially due to the comparable activity of subclinical inflammation, estimated by the CRP level.
ADDITIONAL INFORMATION
Conflict of Interest. The authors declare no obvious or potential conflicts of interest related to the publication of this article.
Contribution of Authors. N.I. Ryumshina performed the MRI study, post-processing, wrote the text of the article and performed analytical review of the literature. A.Yu. Falkovskaya collected the research material, statistical processing, wrote the text of the article and performed analytical review of the literature. A.M. Gusakova conducted laboratory tests to search for markers of inflammation and metabolic factors. V.F. Mordovin and V.Yu. Usov created the study concept and design. All authors made a significant contribution to the study and preparation of the article and also read and approved the final version of the article before publication.
References
1. Irigoyen MC, De Angelis K, Dos Santos F, et al. Hypertension, blood pressure variability, and target organ lesion. Curr Hypertens Rep. 2016;18(4):31. doi: https://doi.org/10.1007/s11906-016-0642-9
2. McMaster WG, Kirabo A, Madhur MS, Harrison DG. Inflammation, immunity and hypertensive end-organ damage. Circ Res. 2015;116(6):1022−1033. doi: https://doi.org/10.1161/CIRCRESAHA.116.303697
3. Norlander AE, Madhur MS. Inflammatory cytokines regulate renal sodium transporters: how, where, and why? Am J Physiol Renal Physiol. 2017;313(2):F141–F144. doi: https://doi.org/10.1152/ajprenal.00465.2016
4. Kenney MJ, Ganta CK. Autonomic nervous system and immune system interactions. Compr Physiol. 2014;4(3):1177–1200. doi: https://doi.org/10.1002/cphy.c130051
5. Херинг Д., Наркевич К. Симпатическая нервная система и артериальная гипертензия: новые данные, дальнейшие перспективы // Артериальная гипертензия. — 2014. — Т. 20. — №2. — С. 66−74. [Hering D, Narkiewicz K. Sympathetic nervous system and arterial hypertension: new perspectives, new data. Arterial’naia gipertenziia. 2014;20(2):66−74. (In Russ.)] doi: https://doi.org/10.5603/RH.2013.0089
6. Tomiyama H, Shiina K, Matsumoto-Nakano C, et al. The contribution of inflammation to the development of hypertension mediated by increased arterial stiffness. J Am Heart Assoc. 2017;6(7). pii: e005729. doi: https://doi.org/10.1161/JAHA.117.005729
7. Prattichizzo F, De Nigris V, La Sala L, et al. «Inflammaging» as a druggable target: a senescence-associated secretory phenotype — centered view of type 2 diabetes. Oxid Med Cell Longev. 2016;2016:1810327. doi: https://doi.org/10.1155/2016/1810327
8. Кологривова И.В., Суслова Т.Е., Кошельская О.А., и др. Система матриксных металлопротеиназ и секреция цитокинов при сахарном диабете 2-го типа и нарушении толерантности к углеводам, ассоциированных с артериальной гипертензией // Бюллетень экспериментальной биологии и медицины. — 2013. — Т. 156. — №11. — С. 578−581. [Kologrivova IV, Suslova TE, Koshel’skaja OA, et al. Sistema matriksnykh metalloproteinaz i sekretsiya tsitokinov pri sakharnom diabete 2-go tipa i narushenii tolerantnosti k uglevodam, assotsiirovannykh s arterial’noy gipertenziyey. Biull Eksp Biol Med. 2013;156(11):578−581. (In Russ.)]
9. Sønder TK, Møller JE, Løgstrup BB, et al. Vascular characteristics in patients with resistant hypertension and type-II-diabetes Mellitus. Artery Research. 2012;6(2):71−77. doi: https://doi.org/10.1016/j.artres.2012.02.002
10. Рюмшина Н.И., Мочула О.В., Усов В.Ю. Магнитно-резонансная томография с парамагнитным контрастированием в визуализации патологического неоваскулогенеза стенки аорты как предиктора повреждения миокарда у пациентов с резистентной артериальной гипертонией / XIV Всероссийский конгресс «Артериальная гипертония-2018 на перекрестке мнений»; Москва, 14−15 марта 2018 г. — М.: ИнтерМедсервис, 2018. — С. 44. [Ryumshina NI, Mochula OV, Usow VYu. Magnitno-rezonansnaya tomografiya s paramagnitnym kontrastirovaniem v vizualizatsii patologicheskogo neovaskulogeneza stenki aorty kak prediktora povrezhdeniya miokarda u patsientov s rezistentnoy arterial’noy gipertoniey. (Conference proceedigs) XIV Vserossiyskiy kongress «Arterial’naya gipertoniya 2018 na perekrestke mneniy»; Moscow, 2018 March 14−15. Moscow: InterMedservise; 2018. P. 44. (In Russ.)]
11. Рюмшина Н.И., Мочула О.В., Усов В.Ю. Патологический неоваскулогенез стенки аорты как предиктор повреждения миокарда у пациентов с артериальной гипертензией, по данным магнитно-резонансного томографического исследования с контрастным усилением / V Юбилейный международный конгресс и школа для врачей «Кардиоторакальная радиология». Москва, 23−24 марта 2018 г. — СПб.: Человек и его здоровье, 2018. — С. 85−87. [Ryumshina NI, Mochula OV, Usow VYu. Pathologic aortal wall neoangiogenesis as predictive factor for myocardial damage in patients with arterial hypertension, as from contrast-enhanced MRI data. (Conference proceedigs) V Yubileynyy mezhdunarodnyy kongress i shkola dlya vrachey «Kardiotorakal’naya radiologiya»; Moscow, 2018 March 23−24. Saint Petersburg: Chelovek i ego zdorov’e; 2018. P. 85−87. (In Russ.)]
12. Усов В.Ю., Мочула О.В., Рюмшина Н.И., и др. Патологический неоваскулогенез стенки аорты как предиктор повреждения миокарда у пациентов с артериальной гипертензией, по данным МР-томографического исследования с контрастным усилением // Терапевт. — 2018. — №1-2. — С. 17−27. [Usow VYu, Mochula OV, Ryumshina NI, et al. Abnormal neovasculogenesis of aortic wall as predictor of myocardial injury in patients with arterial hypertension, according to the contrast-enhanced MRI data. Terapevt. 2018;(1-2):17−27. (In Russ.)]
13. Maximova AS, Babokin VE, Bukhovets IL, et al. Contrast-enhanced mri of aortal atherosclerosis: syndrome types and prediction of dissection. J Cardiovasc Magn Reson. 2015;17(S1):256. doi: https://doi.org/10.1186/1532-429x-17-s1-p256
14. Максимова А.С., Бобрикова Е.Э., Плотников М.П., и др. Соотношения картины магнитно-резонансной томографии каротидной атеросклеротической бляшки и цереброваскулярной реактивности при стенозирующем атеросклерозе сонных артерий // Атеросклероз. — 2015. — Т. 11. — №3. — С. 35−41. [Maksimova AS, Bobrikova EE, Plotnikov MP, et al. Relationship of MRI pattern of carotid atherosclerotic plaque to cerebrovascular reactivity in carotid stenosis. Ateroscleroz. 2015;11(3):35−41. (In Russ.)]
15. Pedersen SF, Thrys SA, Paaske WP, et al. CMR assessment of endothelial damage and angiogenesis in porcine coronary arteries using gadofosveset. J Cardiovasc Magn Reson. 2011;13(1):10. doi: https://doi.org/10.1186/1532-429X-13-10
16. Weiss CR, Arai AE, Bui MN, et al. Arterial wall MRI characteristics are associated with elevated serum markers of inflammation in humans. J Magn Reson Imaging. 2001;14(6):698–704. doi: https://doi.org/10.1002/jmri.10023
17. Xu R, Yin X, Xu W, et al. Assessment of carotid plaque neovascularization by contrast-enhanced ultrasound and high sensitivity C-reactive protein test in patients with acute cerebral infarction: a comparative study. Neurol Sci. 2016;37(7):1107−1112. doi: https://doi.org/10.1007/s10072-016-2557-2
18. Tabit CE, Chung WB, Hamburg NM, Vita JA. Endothelial dysfunction in diabetes mellitus: Molecular mechanisms and clinical implications. Rev Endocr Metab Disord. 2010;11(1):61−64. doi: https://doi.org/10.1007/s11154-010-9134-4
19. Knudsen ST, Jeppesen P, Frederiksen CA, et al. Endothelial dysfunction, ambulatory pulse pressure and albuminuria are associated in Type 2 diabetic subjects. Diabet Med. 2007;24(8):911−915. https://doi.org/10.1111/j.1464-5491.2007.02197.x
20. Kerwin WS, O’Brien KD, Ferguson MS, et al. Inflammation in carotid atherosclerotic plaque: a dynamic contrast-enhanced MR-imaging study. Radiology. 2006;241(2):459−468. doi: https://doi.org/10.1148/radiol.2412051336
21. Зак К.П., Фурманова О.В. Иммунные и противовоспалительные факторы в механизме лечебного действия метформина при сахарном диабете 2-го типа (аналитический обзор с включением собственных данных) // Международный эндокринологический журнал. — 2018. — Т. 14. — №2. — С. 173−181. [Zak KP, Furmanova OV. Immune and anti-inflammatory factors in the mechanism of therapeutic effect of metformin in type 2 diabetes mellitus (analytical review including the results of own researchers). Mezhdunarodnyi endokrinologicheskii zhurnal. 2018;14(2):173−181. (In Russ.)] doi: https://doi.org/10.22141/2224-0721.14.2.2018.130564
22. Бирюкова Е.В., Соловьева И.В., Платонова Н.М. Возможности метформина в лечении сахарного диабета 2 типа: испытание временем // Фарматека. — 2018. — №4. — С. 59−65. [Biryukova EV, Solov’eva IV, Platonova NM. Possibilities of methormine in the treatment of type 2 diabetes mellitus: test of time. Farmateka. 2018;(4):59−65. (In Russ.)] doi: https://doi.org/10.18565/pharmateca.2018.4.59-65
23. Дегтярь Н.И., Герасименко Н.Д., Расин М.С. Эндотелий и системное воспаление: роль ядерных транскрипционных факторов и терапевтические возможности (обзор литературы) // Артериальная гипертензия. — 2016. — №4. — С. 21−25. [Degtjar NI, Gerasimenko ND, Rasin MS. Endothelium and systemic inflammation: role of nuclear transcription factors and therapeutic possibilities (literature review). Arterial’naia gipertenziia. 2016;(4):21−25. (In Russ.)] doi: https://doi.org/10.22141/2224-1485.4.48.2016.76991
24. Valencia WM, Palacio A, Tamariz L, Florez H. Metformin and ageing: improving ageing outcomes beyond glycaemic control. Diabetologia. 2017;60(9):1630−1638. doi: https://doi.org/10.1007/s00125-017-4349-5
25. Wang YW, He SJ, Feng X, et al. Metformin: a review of its potential indications. Drug Des Devel Ther. 2017;11:2421−2429. doi: https://doi.org/10.2147/DDDT.S141675
26. Li X, Xiao H, Lin C, et al. Synergistic effects of liposomes encapsulating atorvastatin calcium and curcumin and targeting dysfunctional endothelial cells in reducing atherosclerosis. Int J Nanomedicine. 2019;14:649−665. doi: https://doi.org/10.2147/IJN.S189819
27. Lohrke J, Frenzel T, Endrikat J, et al. 25 Years of contrast-enhanced mri: developments, current challenges and future perspectives. Adv Ther. 2016;33(1):1–28. doi: https://doi.org/10.1007/s12325-015-0275-4
28. Фальковская А.Ю., Мордовин В.Ф., Пекарский С.Е., и др. Дополнительные благоприятные эффекты симпатической денервации почек при лечении резистентной артериальной гипертензии у больных сахарным диабетом 2-го типа // Артериальная гипертензия. — 2014. — Т. 20. — №2. — С. 107−112. [Fal’kovskaya AYu, Mordovin VF, Pekarskiy SE, et al. Transcatheter renal denervation in patients with resistant hypertension and type 2 diabetes mellitus has beneficial effects beyond blood pressure reduction. Arterial’naia gipertenziia. 2014;20(2):107−112. (In Russ.)]
29. Мордовин В.Ф., Пекарский С.Е., Семке Г.В., и др. Использование современных медицинских технологий для диагностики и лечения больных артериальной гипертонией // Сибирский медицинский журнал (г. Томск). — 2015. — Т. 30. — №2. — С. 29−35. [Mordovin VF, Pekarskiy SE, Semke GV, et al. The use of modern medical technology to diagnose and treat patients with hypertension. Siberian Medical Journal. 2015;30(2):29−35. (In Russ.)]
30. Рюмшина Н.И., Зюбанова И.В., Баев А.Е., и др. Магнитно-резонансная томография с парамагнитным контрастированием в оценке местного воздействия ренальной денервации на стенку почечных артерий // Лучевая диагностика и терапия. — 2015. — №3. — С. 83−89. [Ryumshina NI, Zyubanova IV, Baev AE, et al. Use of magnetic resonance imaging with paramagnetic contrast in evaluation of local renal denervation impact on the renal arteries walls. Diagnostic radiology and radiotherapy. 2015;(3):83−89. (In Russ.)]
About the Authors
Nadezhda I. RyumshinaРоссия
MD, PhD
Alla Y. Falkovskaya
Россия
Ph.D. (Med.), senior research fellow of department of arterial hypertension
Anna M. Gusakova
Россия
research fellow of laboratory and functional methods
Victor F. Mordovin
Россия
Proff., Ph.D. (Med.), chairman of department of arterial hypertension
Vladimir Y. Usov
Россия
Proff., Ph.D. (Med.), chairman of department of X-ray and tomography diagnostic mathods
Supplementary files
|
|
1. Fig. 1. Magnetic resonance imaging of the abdominal aorta and renal arteries extending from it in a coronary projection on a T1-weighted spin echo image before (a) and after (b) contrast. An area of interest was identified - the trunk of the right renal artery with clearly visible walls [30]. | |
| Subject | ||
| Type | Other | |
View
(182KB)
|
Indexing metadata ▾ | |
|
|
2. Fig. 1. Magnetic resonance imaging of the abdominal aorta and renal arteries extending from it in a coronary projection on a T1-weighted spin-echo image (a) before and (b) after the contrasting. The area of interest – the trunk of the right renal artery with clearly visible walls – is highlighted [30]. | |
| Subject | ||
| Type | Other | |
View
(182KB)
|
Indexing metadata ▾ | |
Review
For citations:
Ryumshina N.I., Falkovskaya A.Y., Gusakova A.M., Mordovin V.F., Usov V.Y. MRI of the arterial wall in resistant hypertension associated with type 2 diabetes mellitus. Diabetes mellitus. 2020;23(1):29-36. (In Russ.) https://doi.org/10.14341/DM10169
JATS XML
This work is licensed under a Creative Commons Attribution-NonCommercial-NoDerivatives 4.0 International License (CC BY-NC-ND 4.0).









































