Перейти к:
Сочетание активной стадии нейроостеоартропатии Шарко и диабетической макроангиопатии нижних конечностей
https://doi.org/10.14341/DM10103
Аннотация
Сочетание диабетической нейроостеоартропатии Шарко и диабетической макроангиопатии является редкой патологией. В работе представлены два клинических случая развития диабетической нейроартропатии Шарко на фоне доказанной макроангиопатии артерий нижних конечностей. Первый случай описывает пациента со стабильной перемежающейся хромотой на стадии 2а, у которого случайно выявлена активная рентгенопозитивная диабетическая нейроостеоартропатия. Второй случай представляет пациента, у которого артропатия Шарко развилась после успешной реваскуляризации. У обоих пациентов артропатия характеризовалась отсутствием гиперемии стопы в ранней стадии, небольшим болевым синдромом и отсутствием большого температурного градиента между пораженной и контралатеральной стопами. Лечение у первого пациента состояло из применения тутора, длительность лечения составила 9 мес. Форма стопы почти не изменилась. У второго пациента иммобилизация выполнена при помощи индивидуальной разгрузочной повязки, и лечение еще не закончено. У обоих больных применение магнитно-резонансной томографии выявило гораздо больший масштаб артропатии в сравнении с рентгенологической картиной. История болезни обоих пациентов подчеркивает необходимость высокой настороженности медперсонала в отношении возможности развития артропатии Шарко даже у больных с макроангиопатией нижних конечностей.
Ключевые слова
Для цитирования:
Демина А.Г., Бреговский В.Б., Карпова И.А. Сочетание активной стадии нейроостеоартропатии Шарко и диабетической макроангиопатии нижних конечностей. Сахарный диабет. 2019;22(5):491-498. https://doi.org/10.14341/DM10103
For citation:
Demina A.G., Bregovskiy V.B., Karpova I.A. Combination of active stage of diabetic Charcot neuroosteoarthropathy and diabetic lower limb macroangiopathy. Diabetes mellitus. 2019;22(5):491-498. (In Russ.) https://doi.org/10.14341/DM10103
Краеугольным камнем концепции развития диабетической нейроостеоартропатии Шарко (ДНОАП) до настоящего времени считается наличие достаточного магистрального кровотока, который в условиях асептического воспаления становится избыточным [1]. Таким образом, традиционные представления о ДНОАП предполагают как минимум отсутствие гемодинамически значимых стенозов, которые не препятствуют приросту кровотока и увеличению общей перфузии стопы в активную стадию артропатии, которая проявляется гиперемией, гипертермией и отеком.
В клинической практике считается, что наличие окклюзирующих поражений артерий нижних конечностей (диабетической макроангиопатии нижних конечностей, ДАНК) является своего рода гарантией того, что у пациента не разовьется артропатия Шарко.
Однако с теоретических позиций это не означает, что артерии могут быть интактными с точки зрения атеросклероза. Эта позиция подтверждается данными Wukich D.K. и соавт. (2016), которые показали, что при ультразвуковом обследовании 85 больных с ДНОАП (по-видимому, в неактивной стадии) у 40% выявлены признаки ДАНК [2]. В то же время авторы установили, что вероятность развития критической ишемии нижней конечности (КИНК) была у этих больных на 82% ниже, чем у пациентов без ДНОАП. Таким образом, авторы показали, что при ДНОАП может встречаться ДАНК, но не на стадии критической ишемии. Ограничением этого исследования было отсутствие указания на стадию ДНОАП (активную или неактивную).
Хорошо известно, что медиакальциноз Менкеберга нередко сопутствует диабетической нейроостеоартропатии [3]. Если ранее такая взаимосвязь выводилась лишь эмпирически (ложновысокие лодыжечно-плечевые индексы (ЛПИ) при допплерографии, данные рентгенографии), то с пониманием роли оси РАНК-РАНКЛ-остеопротегерин в патогенезе ДНОАП и медиакальциноза, эту связь можно с уверенностью назвать патогенетической. Более того, роль этой системы в формировании ДАНК также не подлежит сомнению [4]. С этих позиций у пациентов с ДНОАП можно предположить наличие общих механизмов, способствующих ускоренному развитию ДАНК, тем более что продолжительность жизни больных сахарным диабетом растет, и, следовательно, риск прогрессирования атеросклероза с увеличением возраста и длительности диабета также возрастает.
Исходя из этих соображений, можно разделить пациентов с сочетанием ДНОАП и ДАНК на следующие группы.
- На момент осмотра у пациента диагностируется неактивная стадия ДНОАП в сочетании с ДАНК. В этом случае активная стадия ДНОАП произошла за много лет до развития клинических проявлений ишемии и давно завершилась. При этом у таких пациентов со временем может сформироваться и КИНК, как было показано в работе Palena L.M. и соавт., 2013, которые описали серию из 10 больных с КИНК на фоне неактивной ДНОАП [5].
- Активная стадия артропатии развивается на фоне клинических проявлений ишемии или, по крайней мере, при наличии доказанной ДАНК, но без клинической картины критической ишемии.
- Активная стадия артропатии развивается после успешной реваскуляризации нижней конечности. Нам не удалось найти описания таких случаев в литературе (Pubmed.com), но на тематических конференциях подобные сообщения изредка присутствуют.
Ниже представлены два случая развития активной артропатии Шарко на фоне диабетической макроангиопатии нижних конечностей.
ОПИСАНИЕ СЛУЧАЯ №1
Больной 1, 56 лет, обратился 24.01.2017 г. в кабинет «Диабетическая стопа» (КДС) для оформления заключения для прохождения медико-санитарной экспертизы (МСЭ). Сахарный диабет 2 типа выявлен за год до обращения. Артериальная гипертензия – в течение 4 лет. Курит.
В течение 1,5 лет пациента беспокоит перемежающаяся хромота (больше слева) с дистанцией безболевой ходьбы на момент осмотра около 150–200 м (исходно – около 500–700 м). Кроме того, в течение 1,5 мес (с увеличением нагрузки при прохождении специалистов для МСЭ) имеется отек левой стопы, который сопровождался умеренным болевым синдромом около недели. Хирург (осмотр для МСЭ) направил пациента на ультразвуковую допплерографию артерий нижних конечностей (УЗДГ), а также назначил гель с нестероидным противовоспалительным средством (НПВС). Результат УЗДГ: справа – стенозы большеберцовых артерий, слева – гемодинамически незначимый стеноз бедренно-подколенного сегмента, окклюзии обеих большеберцовых артерий, ЛПИ на правой передне-большеберцовой артерии 1,13; на левой переднебольшеберцовой артерии – 1,26.
Результаты физикального, лабораторного и инструментального исследования
Рост 171 см, масса тела 92 кг. Определяется отек левой стопы и голеностопного сустава, пульсация артерий стоп справа ослаблена, слева отсутствует (рис. 1). Чувствительность к 10-граммовому монофиламенту, вибрационная, болевая и температурная чувствительность отсутствуют. Ахилловы рефлексы не вызываются. Балл по шкале модифицированного Нейропатического Дисфункционального Счета (НДСм)=10. Температурный градиент в пользу левой стопы=4,1°С. Отчетливой деформации продольных сводов стоп нет при уплощении поперечных сводов.
Рис. 1. Стопа пациента 1 при первом осмотре.
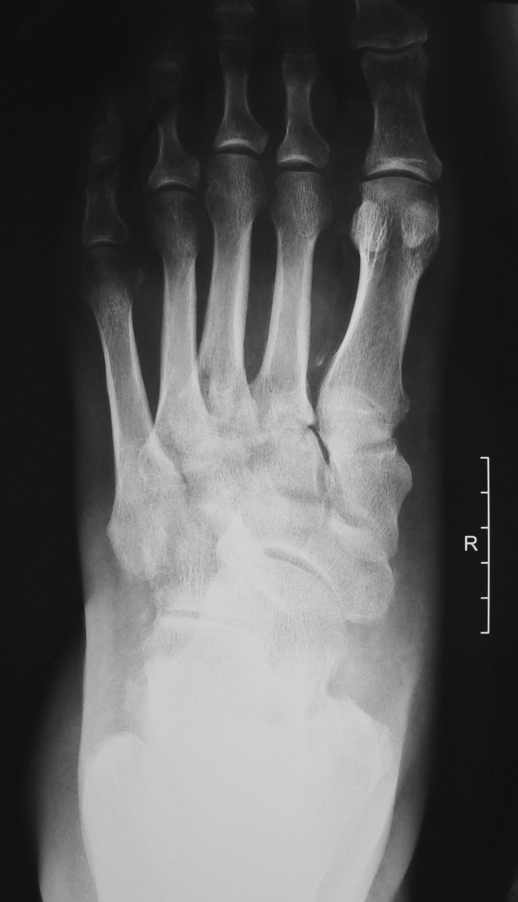
Рентгенограмма стопы: минимально выраженное нарушение структуры 3 плюснеклиновидного сустава (рис. 2). Выполнена МРТ: наличие отека костного мозга не только в рентгенопозитивной зоне, но и в 1 клиновидной и ладьевидной костях (рис. 3).
Рис. 2. Рентгенограмма стопы пациента 1.
Рис. 3. Аксиальный срез МР-томограммы. Режим жироподавления. Поражение I, II клиновидных, ладьевидной костей, проксимальной головки II плюсневой, возможно, III клиновидной кости (светлые области – отек костного мозга).
Лабораторные данные: HbA1c – 8,9%, общий холестерин – 5,1 ммоль/л, липопротеиды низкой плотности (ЛПНП) – 2,9 ммоль/л, триглицериды – 1,1 ммоль/л. Клинический анализ крови без воспалительных изменений. С-реактивный белок – 2,1 мг/л (норма – менее 6 мг/л).
Таким образом, установлено наличие активной стадии 1 (рентгенопозитивной) диабетической нейроостеоартропатии на фоне диабетической ангиопатии нижних конечностей, соответствующей по тяжести 2а по классификации Лериш–Фонтена–Покровского в виде стабильной ишемической перемежающейся хромоты.
Лечение. Назначена иммобилизация тутором, начата терапия статинами и аспирином.
Исход и результаты последующего наблюдения.
Через 9 мес на фоне низкой физической активности констатирован переход ДНОАП в неактивную стадию: отсутствие температурного градиента, отсутствие отека, рентгенологическая картина соответствовала неактивной стадии ДНОАП. Отмечалась легкая деформация латерального свода, в связи с чем дальнейшая коррекция проводилась при помощи индивидуальной ортопедической стельки, так как больной не согласился с необходимостью изготовления ортопедической обуви. Контрольные осмотры производились ежеквартально.
Последний осмотр – 07.02.19. Дистанция безболевой ходьбы остается около 200 м. Применяет ортопедические стельки только в уличной обуви. Повреждений стоп не было. Форма стопы стабильная.
ОПИСАНИЕ СЛУЧАЯ №2
Больной 2, 54 года, направлен из районного кабинета «Диабетическая стопа» для уточнения диагноза. Сахарный диабет 2 типа выявлен в 2000 г. На момент осмотра получает инсулинотерапию. В прошлом – курение в течение длительного периода времени.
В 2010 г. перенес инфаркт миокарда, проведено аорто-коронарное шунтирование с забором вены из левой нижней конечности. В 2014 г. в связи с перемежающейся хромотой выполнена правосторонняя поясничная симпатэктомия.
Осенью 2017 г. после самостоятельной обработки натоптыша появилась трофическая язва подошвенно-боковой поверхности I плюснефалангового сустава левой стопы. Лечение проходил в амбулаторно-консультативном отделении одной из больниц. Тогда же при дуплексном сканировании были обнаружены окклюзии обеих большеберцовых артерий, тибиоперонеального ствола и малоберцовой артерии левой нижней конечности. Консервативное лечение оказалось неэффективным, язвенный дефект углубился, появились некрозы его краев. В феврале 2018 г. пациент был госпитализирован в этот же стационар, где выполнена транслюминальная баллонная ангиопластика подколенной артерии и обеих большеберцовых артерий, некрэктомия. Через 2 мес (в апреле 2018 г.) констатирована эпителизация дефекта.
В начале сентября 2018 г. (через 5 мес после заживления) появились отек левой стопы, боль в стопе при ходьбе. Травму стопы пациент отрицает. Изменения цвета кожи не было. Стопа на ощупь стала горячей.
Обратился в стационар, где проходил лечение предыдущего случая. Ультразвуковое обследование показало, что на левой конечности подколенная артерия стенозирована (50%), кровоток по передней большеберцовой артерии сохранен, задняя большеберцовая артерия окклюзирована в средней трети с дальнейшим возобновлением кровотока, малоберцовая артерия – не лоцируется. Правая конечность: подколенная артерия стенозирована (50%), окклюзия передней большеберцовой артерии, стеноз задней большеберцовой артерии, малоберцовая артерия – не лоцируется.
Выполнена рентгенограмма – костно-травматических и деструктивных изменений не выявлено.
В клиническом анализе крови воспалительных изменений не обнаружено. Установлен диагноз реактивного артрита и назначены амоксициллина клавуланат по 875/125 мг 2 раза в день и мелоксикам 15 мг/сут. Убедительной динамики состояния стопы в течение 2 нед не было.
Обратился в кабинет «Диабетическая стопа» своего района, где вновь была назначена рентгенография и заподозрена диабетическая нейроостеоартропатия. Рекомендовано применение костылей в сочетании с иммобилизацией. Для подтверждения диагноза больной направлен в КДС Санкт-Петербургского территориального диабетологического центра, где и осмотрен 26.10.2018 г.
Результаты физикального, лабораторного и инструментального исследования
Передвигается при помощи костылей. На пораженную конечность не наступает.
Жалобы на умеренную боль при опоре на стопу и отечность левой нижней конечности. Рост 196 см, масса тела 125 кг. Определяются выраженный отек стопы и голени, легкая деформация медиального свода, отклонение оси стопы латерально по отношению к голени. Вибрационная, болевая, температурная чувствительность, ахилловы рефлексы отсутствуют, так же, как и чувствительность к 10-граммовому монофиламенту (балл по шкале НДСм=10). Пульс на артерии тыла стопы и на задней большеберцовой артерии не определяется. Температурный градиент +2,2°С в пользу левой стопы (рис. 4).
Рис. 4. Стопа пациента 2 при первом осмотре.
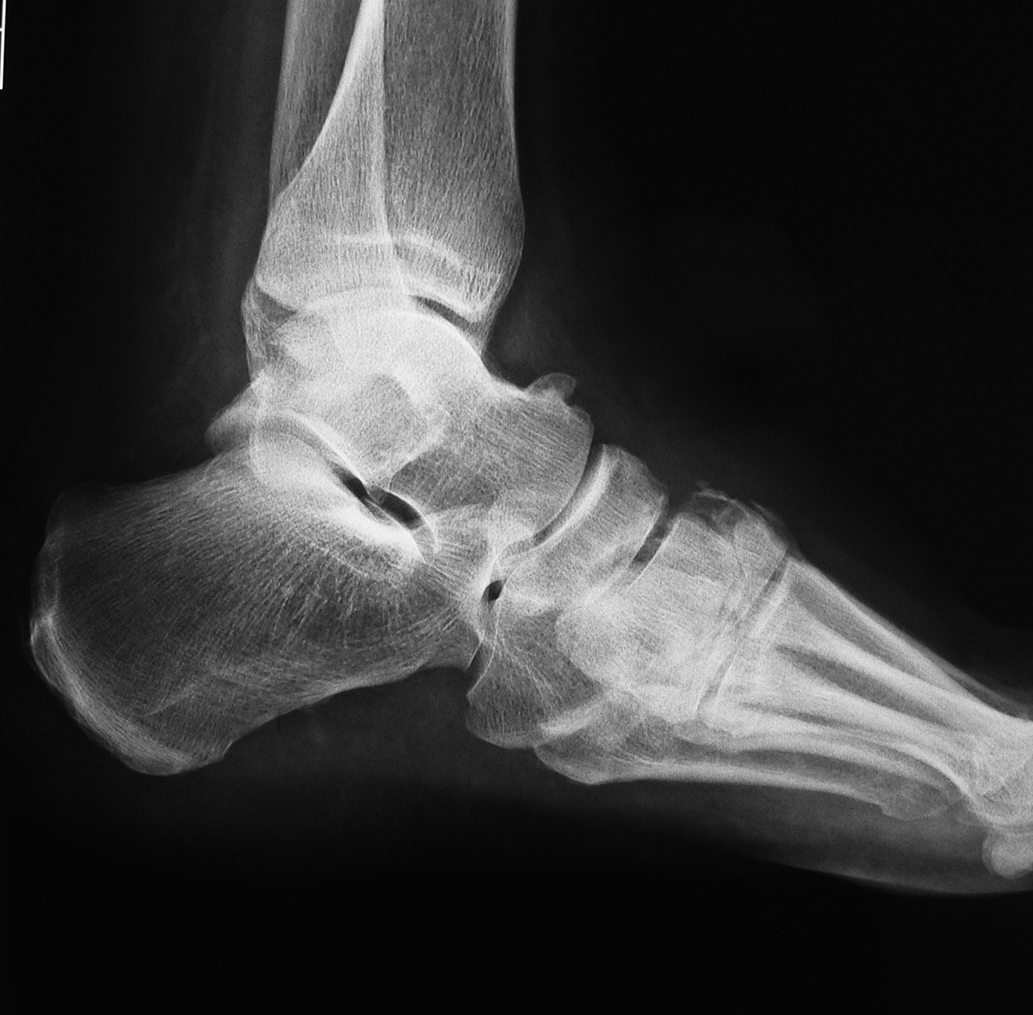
На рентгенограмме (начало октября 2018 г.) отмечается небольшая дислокация ладьевидной кости, нечеткость границ II, III клиновидных костей (возможное их разрушение), а также неизвестной давности экзостоз таранной кости (рис. 5, 6). В связи с неоднозначностью рентгенологических данных выполнена МР-томография. Выявлен отек костного мозга таранной, ладьевидной, кубовидной кости, деструкция клиновидных костей.
Рис. 5. Рентгенограмма стопы больного 2. Прямая проекция.
Рис. 6. Рентгенограмма стопы пациента 2. Боковая проекция.
Таким образом, установлен диагноз: Диабетическая нейроостеоартропатия левой стопы, активная стадия 1 (рентгенопозитивная) с поражением среднего и заднего отделов стопы; диабетическая макроангиопатия нижних конечностей, ишемия 1 (по классификации Лериша–Фонтена–Покровского) после чрескожной транслюминальной баллонной ангиопластики.
Лечение
30.10.2018 изготовлена несъемная индивидуальная разгрузочная повязка (ИРП). Коррекция объема производилась дважды, и до настоящего времени ИРП изготовлена два раза заново в связи с уменьшением отека и изменением формы стопы. Пациент пользуется костылями, хотя и наступает на ИРП в ее пяточной части.
Исход и результаты последующего наблюдения
Последний осмотр – 21.01.2019 г. Сохраняется температурный градиент +2,2°С в пользу левой стопы. Отек конечности отсутствует. Гиперемии нет. Несмотря на иммобилизацию, деформация стопы усилилась (рис. 7).
Рис. 7. Стопа пациента 2 при осмотре 21.01.2019.
21.01.2019 г. выполнена МР-томография, на которой отмечена положительная динамика: исчезновение отека костного мозга в пяточной, кубовидной и таранной костях. Патологические изменения в других костях сохраняются (рис. 8, 9). ИРП преобразована в съемную, однако не отменена в связи с данными МРТ и сохранением температурного градиента на прежнем уровне. В настоящее время пациент продолжает иммобилизацию. Контрольный осмотр планируется на конец февраля, а рентгенография стопы – на март 2019 г.
Рис. 8. Исходная МР-томограмма стопы. Режим жироподавления. Сагиттальный срез. Отек костей предплюсны, проксимальной головки II плюсневой кости, кубовидной, таранной, пяточной костей. Деструкция клиновидной кости.
Рис. 9. МР-томограмма стопы от 01.2019. Режим жироподавления. Сагиттальный срез. Отек кубовидной кости уменьшился, отек таранной и пяточной костей не определяется. В остальном – без динамики.
ОБСУЖДЕНИЕ
Оба представленных случая демонстрируют развитие ДНОАП у пациентов с окклюзионным поражением артерий нижних конечностей, в первом случае – на фоне стабильной ишемической перемежающейся хромоты, во втором – после успешной реваскуляризации. Подобное сочетание является достаточно редким. Из 601 медицинской карты больных с ДНОАП, обратившихся в наш кабинет с 2007 по 12.2018 г., сочетание ДНОАП и ДАНК обнаружено у 86 больных (14,3%). Из этой группы у 74 пациентов (86% больных с сочетанной патологией и 12,3% всех больных с артропатией) была диагностирована неактивная стадия ДНОАП. Активная стадия ДНОАП на фоне ДАНК установлена у 12 пациентов. Таким образом, частота активной стадии ДНОАП на фоне ДАНК составила 1,99% всех случаев диабетической нейроостеоартропатии.
У обоих пациентов принципиальным представляется отсутствие клинических признаков КИНК на момент осмотра.
В обоих случаях обращают на себя внимание особенности течения артропатического процесса. Так, при первом осмотре отсутствовала гиперемия стопы, а температурный градиент был невелик в сравнении с началом активной ДНОАП у пациентов с «классическим» развитием артропатии на фоне хорошего магистрального кровотока. В целом складывается впечатление, что так называемое «нейрогенное воспаление» у представленных пациентов было слабо выражено. Можно предположить, что недостаток магистрального кровотока ограничивает прирост локального кровотока во время асептического воспаления, присущего ДНОАП на активной стадии. С другой стороны, без достаточного магистрального кровотока развитие ДНОАП представляется маловероятным. Поэтому можно предположить, что у пациента 1, несмотря на перемежающуюся хромоту, был удовлетворительный коллатеральный кровоток. У пациента 2 ДНОАП развилась после успешной реваскуляризации, и, таким образом, реваскуляризированная стопа по степени кровообращения стала существенно ближе к нейропатической, чем к нейроишемической. Однако, судя по данным ультразвукового обследования, реокклюзия одной из основных артерий голени все-таки произошла, имелись стенозы подколенной и задней большеберцовой и окклюзия малоберцовой артерий, поэтому полностью «нейропатической» эту стопу признать не вполне корректно.
Случай первого пациента примечателен тем, что патология стопы протекала неярко и была выявлена случайно. Минимально выраженные изменения в костно-суставном аппарате стопы удалось стабилизировать при помощи тутора за достаточно короткий срок.
Напротив, у пациента 2, несмотря на иммобилизацию при помощи несъемной ИРП и более качественную разгрузку (костыли), патология прогрессировала, и форма стопы существенно изменилась.
Весьма вероятно, что такое течение процесса могло быть связано не только с большим по сравнению с пациентом 1 кровотоком (благодаря реваскуляризации), но и с задержкой начала лечения, так как от предполагаемого момента начала ДНОАП до начала лечения прошло не меньше 2 мес. Возможно также, что артропатия началась еще раньше, однако вследствие реперфузионного отека после реваскуляризации ее манифестацию могли и не заметить. Длительная ходьба у пациента с большой массой тела явилась важным фактором, который спровоцировал расширение зоны поражения и снизил эффективность иммобилизации, что проявилось в прогрессировании деформаций, несмотря на применение ИРП.
Нельзя не отметить типичную ошибку при постановке диагноза, совершенную врачом стационара при обращении пациента с односторонним «горячим» отеком стопы, без системных признаков инфекции с отсутствием изменений на рентгенограмме. В этой ситуации начата антибактериальная и противовоспалительная терапия, что нецелесообразно, так как воспаление при ДНОАП носит асептический характер, однако МРТ не была назначена и не предложена иммобилизация. Обращает на себя внимание также выполненная по поводу перемежающейся хромоты симпатэктомия у больного 2. В настоящее время эта процедура не рекомендуется для лечения ишемической перемежающейся хромоты и не упоминается в соответствующих руководствах [6].
Второй особенностью у обоих пациентов является наличие болевого синдрома в начале патологии, несмотря на тяжелый сенсорный дефицит (10 баллов по шкале НДСм). Болевой синдром при активной ДНОАП, по литературным данным, встречается примерно в 30% случаев [1, 7]. Мы сравнили частоту болевого синдрома в стопе с ДНОАП у больных без доказанной ДАНК (n=135) и с ее наличием (n=12). Боль встречалась чаще у пациентов с ДАНК (50%) в сравнении с «типичной» артропатией Шарко (14,8%). Поэтому можно предположить, что этот симптом может быть более специфичен для артропатии на фоне ангиопатии, что, впрочем, требует подтверждения в большем массиве наблюдений.
Сравнение рентгенологической картины и результатов МРТ продемонстрировало преимущество последнего. Так, в обоих случаях зона поражения по МРТ была больше, чем видимая на рентгенограмме. Кроме того, как показано на рис. 7, данные МРТ можно использовать для мониторирования эффективности лечения. Эти факты подтверждают преимущества применения МРТ в ведении пациентов с активной ДНОАП [8].
ЗАКЛЮЧЕНИЕ
Таким образом, представленные клинические случаи описывают редкое сочетание двух патологий – активной артропатии Шарко и окклюзионных поражений артерий нижних конечностей у больных сахарным диабетом. Мы предполагаем, что подобное сочетание исключает критическую ишемию и подразумевает наличие достаточного коллатерального кровотока. История болезни обоих пациентов подчеркивает необходимость высокой настороженности медперсонала в отношении возможности развития артропатии Шарко даже у больных с макроангиопатией нижних конечностей.
Наличие одностороннего отека в условиях тяжелого сенсорного дефицита, локальной гипертермии стопы и отсутствия внешних повреждений и признаков инфекции должно расцениваться врачом как возможная артропатия Шарко. Случай 2 напоминает, что ранняя иммобилизация является единственным эффективным способом предотвращения тяжелых деформаций стопы [8].
ДОПОЛНИТЕЛЬНАЯ ИНФОРМАЦИЯ
Источник финансирования. Исследование проведено в рамках бюджетного финансирования.
Согласие пациента. Пациенты добровольно подписали информированное согласие на публикацию персональной медицинской информации в обезличенной форме в журнале «Сахарный диабет».
Конфликт интересов. Авторы декларируют отсутствие явных и потенциальных конфликтов интересов, связанных с публикацией настоящей статьи.
Список литературы
1. Rogers L, Frykberg R, Armstrong D, et al. The Charcot foot in diabetes. Diabetes Care. 2011;34(9):2123−2129. doi: https://doi.org/10.2337/dc11-0844
2. Wukich DK, Raspovic KM, Suder NC. Prevalence of peripheral arterial disease in patients with diabetic Charcot neuroarthropathy. J Foot Ankle Surg. 2016;55(4):727–731. doi: https://doi.org/10.1053/j.jfas.2016.01.051
3. Jeffcoate W. Vascular calcification and osteolysis in diabetic neuropathy — is RANK-L the missing link? Diabetologia. 2004;47(9):1488–1492. doi: https://doi.org/10.1007/s00125-004-1477-5
4. Ярославцева M.В., Ульянова И.Н., Галстян Г.Р. Система остеопротегерин (OPG)-лиганд рецептора-активатора ядерного фактора каппа-В (RANKL) при диабетической нейроостеоартропатии и облитерирующем атеросклерозе артерий нижних конечностей // Сахарный диабет. — 2007. — №2. — С. 24–28. [Yaroslavtceva MV, Ulianova IN, Galstian GR. Sistema osteoprotegerin (OPG)-ligand receptora-activatora yadernogo factora kappa-B (RANKL) pri diabeticheskoy neuroosteoartropatii i obliteriruyuschem aterosklerose arterii nizhnih konechnostei. Diabetes Mellitus. 2007;(2):24−28. (In Russ.)] doi: https://doi.org/10.14341/2072-0351-5792
5. Palena LM, Brocco E, Ninkovic S, et al. Ischemic Charcot foot: different disease with different treatment? J Cardiovasc Surg (Torino). 2013;54(5):561–566.
6. Рекомендации ЕОК/ЕОСХ по диагностике и лечению заболеваний периферических артерий 2017 // Российский кардиологический журнал. 2018;23(8) [интернет-ресурс]. [2017 ESC guidelines on the diagnosis and treatment of peripheral arterial diseases, in collaboration with the European Society for vascular surgery (ESVS). Russian journal of cardiology. 2018;23(8) [online resource]. (In Russ.)] Доступно по: http://www.scardio.ru/content/Guidelines/8_rkj_2018_recomendation_2.pdf. Ссылка активна на 15.07.2019.
7. Milne T, Rogers J, Kinnear E, et al. Developing an evidence-based clinical pathway for the assessment, diagnosis and management of acute Charcot neuro-arthropathy: a systematic review. J Foot Ankle Res. 2013;6(1):30. doi: https://doi.org/10.1186/1757-1146-6-30
8. Chantelau E, Richter A. The acute diabetic Charcot foot managed on the basis of magnetic resonance imaging — a review of 71 cases. Swiss Med Wkly. 2013;143:w13831. doi: https://doi.org/10.4414/smw.2013.13831
Об авторах
Анастасия Геннадьевна ДеминаРоссия
врач-эндокринолог кабинета "Диабетическая стопа"
Вадим Борисович Бреговский
Россия
доктор медицинских наук, врач-эндокринолог кабинета "Диабетическая стопа"
Ирина Альбертовна Карпова
Россия
кандидат медицинских наук, заведующая
Дополнительные файлы
|
|
1. Рис. 1. Стопа пациента 1 при первом осмотре. | |
| Тема | ||
| Тип | Прочее | |
Посмотреть
(1MB)
|
Метаданные ▾ | |
|
|
2. Рис. 2. Рентгенограмма стопы пациента 1. | |
| Тема | ||
| Тип | Прочее | |
Посмотреть
(432KB)
|
Метаданные ▾ | |
|
|
3. Рис. 3. Аксиальный срез МР-томограммы. Режим жироподавления. Поражение I, II клиновидных, ладьевидной костей, проксимальной головки II плюсневой, возможно, III клиновидной кости (светлые области – отек костного мозга). | |
| Тема | ||
| Тип | Прочее | |
Посмотреть
(136KB)
|
Метаданные ▾ | |
|
|
4. Рис. 4. Стопа пациента 2 при первом осмотре. | |
| Тема | ||
| Тип | Прочее | |
Посмотреть
(1MB)
|
Метаданные ▾ | |
|
|
5. Рис. 5. Рентгенограмма стопы больного 2. Прямая проекция. | |
| Тема | ||
| Тип | Прочее | |
Посмотреть
(625KB)
|
Метаданные ▾ | |
|
|
6. Рис. 6. Рентгенограмма стопы пациента 2. Боковая проекция. | |
| Тема | ||
| Тип | Прочее | |
Посмотреть
(470KB)
|
Метаданные ▾ | |
|
|
7. Рис. 7. Стопа пациента 2 при осмотре 21.01.2019. | |
| Тема | ||
| Тип | Прочее | |
Посмотреть
(885KB)
|
Метаданные ▾ | |
|
|
8. Рис. 8. Исходная МР-томограмма стопы. Режим жироподавления. Сагиттальный срез. Отек костей предплюсны, проксимальной головки II плюсневой кости, кубовидной, таранной, пяточной костей. Деструкция клиновидной кости. | |
| Тема | ||
| Тип | Прочее | |
Посмотреть
(430KB)
|
Метаданные ▾ | |
|
|
9. Рис. 9. МР-томограмма стопы от 01.2019. Режим жироподавления. Сагиттальный срез. Отек кубовидной кости уменьшился, отек таранной и пяточной костей не определяется. В остальном – без динамики. | |
| Тема | ||
| Тип | Прочее | |
Посмотреть
(419KB)
|
Метаданные ▾ | |
Рецензия
Для цитирования:
Демина А.Г., Бреговский В.Б., Карпова И.А. Сочетание активной стадии нейроостеоартропатии Шарко и диабетической макроангиопатии нижних конечностей. Сахарный диабет. 2019;22(5):491-498. https://doi.org/10.14341/DM10103
For citation:
Demina A.G., Bregovskiy V.B., Karpova I.A. Combination of active stage of diabetic Charcot neuroosteoarthropathy and diabetic lower limb macroangiopathy. Diabetes mellitus. 2019;22(5):491-498. (In Russ.) https://doi.org/10.14341/DM10103
Контент доступен под лицензией Creative Commons Attribution-NonCommercial-NoDerivatives 4.0 International License (CC BY-NC-ND 4.0).









































