Перейти к:
Клинико-морфологическое исследование тканевой репарации при синдроме диабетической стопы
https://doi.org/10.14341/DM9823
Аннотация
Обоснование. Известно, что процессы заживления при сахарном диабете замедлены. В связи с этим ведется активный поиск возможных причин снижения темпов репарации. Несмотря на уже имеющиеся данные, определение возможных маркеров активности репаративных процессов при сахарном диабете остается актуальным.
Цель. Изучить клинические, морфологические и некоторые иммуногистохимические показатели репарации мягких тканей нижних конечностей у пациентов с синдромом диабетической стопы на фоне местного лечения.
Методы. Обследовано 70 пациентов с синдромом диабетической стопы до и после хирургической обработки хронических раневых дефектов. Проанализированы клинические, гистологические (световая микроскопия) и иммуногистохимические (CD68, матриксные металлопротеиназы (MMP-9), тканевые ингибиторы металлопротеаз (TIMP-1)) характеристики тканевой репарации. Гистологическое и иммуногистохимическое исследования выполнены у 63 пациентов до и после хирургической обработки, через 10 дней после проводимого местного лечения.
Результаты. На фоне лечения зафиксировано значимое уменьшение площади ран на 23,4% (p<0,05), глубины ран на 29,4% (p<0,05). Морфологическое исследование подтвердило формирование здоровой грануляционной ткани. Иммуногистохимическое исследование продемонстрировало значимое снижение протеолитической активности, что выразилось в снижении экспрессии MMP-9 (р<0,05); статистически значимого изменения количества макрофагов на фоне местного лечения раны, а также повышения экспрессии TIMP-1 отмечено не было (p>0,05).
Заключение. Клиническими показателями эффективности местного лечения раневых дефектов является значимое уменьшение площади и глубины ран, что было отмечено по результатам проведенного исследования. Интенсификация процесса заживления подтверждена результатами гистологического и иммуногистохимического исследований, однако отсутствие статистически значимого изменения количества макрофагов позволяет предположить, что именно это звено репарации нарушается при сахарном диабете и является причиной «хронизации» ран, что, безусловно, требует дальнейших исследований.
Для цитирования:
Токмакова А.Ю., Зайцева Е.Л., Воронкова И.А., Шестакова М.В. Клинико-морфологическое исследование тканевой репарации при синдроме диабетической стопы. Сахарный диабет. 2018;21(6):490-496. https://doi.org/10.14341/DM9823
For citation:
Tokmakova A.Y., Zaitseva E.L., Voronkova I.A., Shestakova M.V. Clinical, pathomorphological and immunohistochemical evaluation of tissue repair in diabetic foot ulcers. Diabetes mellitus. 2018;21(6):490-496. (In Russ.) https://doi.org/10.14341/DM9823
ОБОСНОВАНИЕ
Синдром диабетической стопы (СДС) – одно из достаточно частых и наиболее серьезных осложнений сахарного диабета (СД). В связи с тем, что заживление ран при этой патологии замедлено, лечение СДС часто бывает крайне продолжительным и дорогостоящим. По данным различных авторов, у 15–25% пациентов с диабетом в течение жизни возникают раневые дефекты стоп [1]. Более 20% больных с инфицированными ранами стоп нуждаются в проведении ампутации [2]. По данным Федерального регистра сахарного диабета РФ, за период с 2013 по 2016 гг. отмечается повышение частоты ампутаций у лиц с обоими типами заболевания [3].
Такие факторы, как местное воспаление, сниженная экспрессия факторов роста, неконтролируемый протеолиз, провоцирующий дисбаланс между накоплением белков экстрацеллюлярного матрикса (ЭЦМ) и их деградацией протеазами, способствуют снижению скорости репарации и «хронизации» раневого дефекта.
Матриксные металлопротеиназы (ММР) представляют собой семейство внеклеточных протеаз, продуцируемых различными типами клеток, такими как фибробласты, кератиноциты, эндотелиальные клетки, нейтрофилы, макрофаги и эозинофилы [4]. Различные ММР либо привязаны к плазматической мембране, либо секретируются из клетки [5].
Установлено, что высокий уровень ММР-9 в раневой жидкости свидетельствует об активности воспаления и является маркером плохого заживления ран при СД [6].
Основной функцией MMP-9 является разрушение белков ЭЦМ. Они расщепляют декорин, эластин, фибриллин, ламинин, желатин, коллагены IV, V, XI и XVI типов, а также активируют различные факторы роста, такие как pro-TGF-β и pro-TNF-α. Физиологически MMP-9, совместно с другими MMP, играют важную роль в процессе ремоделирования ткани, например, в росте аксонов, эмбриональном развитии, ангиогенезе, овуляции, инволюции молочной железы и заживлении ран.
Активность MMP строго контролируется и подавляется тканевыми ингибиторами металлопротеаз (TIMP), которые могут блокировать разрушение ЭЦМ. В здоровых тканях ММР и TIMP, как правило, экспрессируются в небольшом количестве, однако в условиях посттравматического ремоделирования их экспрессия резко возрастает [7]. В связи с этим некоторыми авторами предлагается использовать определение соотношения MMP-9/TIMP-1 в качестве маркера, прогнозирующего заживление ран при СДС [8]. В ряде исследований было показано, что соотношение данного фермента и его ингибитора в экссудате снижалось на фоне успешно проводимого лечения язв стоп у пациентов с СД 2 типа. В группе с плохо заживающими трофическими ранами соотношение MMP-9/TIMP-1 оставалось повышенным [8].
Таким образом, заживление ран при диабете зависит от ряда факторов и до конца не изучено. В настоящее время ведутся лабораторные и клинические исследования, направленные на понимание механизмов раневой репарации. Во многих работах оценка уровней MMP-9 и TIMP-1 при СДС производилась различными методами, такими как вестерн-блоттинг, полимеразная цепная реакция (ПЦР) в реальном времени, зимография, иммуноферментный анализ [9]. В ряде случаев, в основном при изучении опухолей, применяют иммуногистохимический (ИГХ) метод оценки экспрессии MMP-9 и TIMP-1 [10]. В данном исследовании представлено проведение комплексного ИГХ-исследования этих маркеров в образцах мягких тканей нижних конечностей пациентов с СДС.
ЦЕЛЬ
Оценить гистологические и иммуногистохимические показатели заживления ран у пациентов с СДС на фоне местного лечения.
МЕТОДЫ
Дизайн исследования
Работа выполнена в дизайне проспективного сплошного неконтролируемого одноцентрового исследования и является продолжением исследования, предварительные результаты которого опубликованы в журнале «Сахарный диабет» [11]. В настоящей публикации все данные были повторно анализированы, группа пациентов расширена.
Критерии соответствия
Критерии включения.
- СД 1 и 2 типа.
- Пациенты старше 21 года и моложе 80 лет.
- HbA1c <12%.
- Наличие СДС.
- Наличие раневого дефекта стопы, классификация Wagner II и III ст.
- Отсутствие активной раневой инфекции после проведения хирургической обработки раны на момент включения в исследование.
- Отсутствие критической ишемии конечности.
- Транскутанная оксиметрия выше 35 мм рт.ст.
Критерии невключения.
- Отсутствие нарушений углеводного обмена.
- Возраст младше 21 года и старше 80 лет.
- HbA1c выше 12,1%.
- Наличие критической ишемии пораженной конеч ности.
- Раневая инфекция.
- Раны стоп Wagner 0–I и IV ст.
Условия проведения
Исследование проведено в многопрофильном специализированном эндокринологическом стационаре (отделение диабетической стопы ФГБУ «НМИЦ эндокринологии» Минздрава России).
Гистологическое исследование выполнено врачом-морфологом Центра патологии околощитовидных желез того же учреждения.
Описание медицинского вмешательства
Согласно актуальным алгоритмам специализированной медицинской помощи больным СД [12], все включенные в исследование пациенты получали разгрузку пораженной конечности с помощью кресла-каталки или разгрузочного ортопедического устройства (полубашмак, индивидуальная разгрузочная повязка Total Contact Cast, тутор с пневмофиксацией голеностопного сустава). Контроль гликемии в условиях стационара был удовлетворительным, антибактериальная терапия назначалась по показаниям, местное лечение проводилось с использованием атравматических повязок.
После первичной хирургической обработки ран выполнялся забор образцов тканей раневого ложа для морфологического и ИГХ исследований. Через 7–11 дней после начала местного лечения брали контрольные биообразцы.
Основной исход исследования
Оценить динамику заживления на фоне проводимого лечения (площадь и глубина ран), а также охарактеризовать заживление ран посредством морфологического исследования (зрелость грануляционной ткани, выраженность воспалительного инфильтрата), оценить выраженность экспрессии маркеров тканевой репарации (MMP, TIMP, CD68).
Дополнительные исходы исследования
Изучить взаимосвязь динамики экспрессии тканевых маркеров репарации на различных фазах раневого процесса с гистологической и клинической картиной.
Методы регистрации исходов
Все лабораторные исследования образцов крови проводились по стандартным методикам клинико-диагностической лаборатории ФГБУ «НМИЦ эндокринологии» Минздрава России. Площадь раны определялась с помощью программы V2F (Россия). Транскутанная оксиметрия для исключения возможной локальной ишемии пораженной зоны выполнена на аппарате «ТСМ-4» (Radiometer, Дания). Датчики накладывались на расстоянии 0,5–1 см от краев раны.
Материал для исследования объемом 1 см3 фиксировали в 10% растворе формалина, а затем заливали в парафин по обычной методике.
Методика оценки морфологических параметров (гистологическая оценка выраженности отека, анализ фаз воспаления на основании классификации Кузина М.И., оценка зрелости грануляционной ткани) были ранее описаны в статье, опубликованной в журнале «Сахарный диабет» [11].
В связи с широким внедрением ИГХ-метода в клиническую практику и его доступностью, в данном исследовании представлялось интересным проведение комплексного ИГХ-исследования маркеров тканевой репарации в образцах мягких тканей нижних конечностей у пациентов с СДС.
ИГХ-исследование выполняли на иммуностейнере «BOND-MAX» (Leica Biosystems, Германия). Применялись антитела к тканевому ингибитору металлопротеиназы- 1 (TIMP-1) (клон VT7; разведение 1:50; DAKO), матриксной металлопротеиназе – 9 (MMP-9) (клон ММР-9; разведение 1:100; DAKO), маркеру макрофагов CD68 (клон PG-M1; разведение 1:100; DAKO). Оценка экспрессии цитоплазматических маркеров TIMP-1 и MMP-9 проводилась полуколичественным методом: 1«+» окрашивание единичных клеток (менее 30% клеток), 2«+» – 30–60% клеток, 3«+» – 60–90%, 4 «+» – более 90% клеток. Экспрессия СD68 (маркер моноцитов, макрофагов и миелоидных клеток) оценивалась полуколичественным методом как число иммунопозитивных клеток в диапазонах: 5–10%, 10–15%, 15–20%, 20–30%, 30–40% окрашенных клеток.
Этическая экспертиза
Информированное согласие на проведение того или иного метода исследования и лечения было подписано всеми больными. Протокол данного исследования одобрен на заседании локального этического комитета ФГБУ «НМИЦ эндокринологии» Минздрава России, протокол №18 от 28.11.2012 г.
Статистический анализ
Принципы расчета размера выборки: размер выборки предварительно не рассчитывался.
Методы статистического анализа данных: статистический анализ проведен с помощью программы Статистика 7.0 (StatSoft). Описание количественных данных представлено в виде среднего медианы (Ме) и квартилей (25 и 75 процентили, Q25–75). Для описания качественных данных рассчитывали абсолютные (n) и относительные значения (%). Сравнительный анализ двух зависимых групп проведен по количественному признаку с помощью критерия Вилкоксона. Статистически значимыми считались различия при р<0,05. Анализ связи (корреляции) двух количественных признаков осуществлялся непараметрическим методом ранговой корреляции по Спирмену.
РЕЗУЛЬТАТЫ
Объекты (участники) исследования
В исследование было включено 70 пациентов с нейропатической и нейроишемической (без критической ишемии) формами СДС.
В табл. 1 представлена клиническая характеристика обследованных пациентов.
Таблица 1. Клинико-лабораторная характеристика обследованных пациентов (N=70)
|
Показатель |
Значение |
|
Возраст, лет |
63 [51;66] |
|
Тип СД (1/2) |
15/55 |
|
Длительность СД, лет |
17 [10;23] |
|
HbA1c, % |
8,5 [7,6;11] |
|
ХС общ., ммоль/л |
4,4 [3,2;5,6] |
|
ХС ЛПВП, ммоль/л |
0,6 [0,5;1,1] |
|
ХС ЛПНП, ммоль/л |
2,3 [1,8;3,1] |
|
ТГ, ммоль/л |
1,6 [1,3;2,3] |
|
Гемоглобин, г/л |
121 [113;133] |
|
Лейкоциты, 109/л |
7,7 [6,2;9,9] |
|
Белок сыворотки общ., г/л |
71 [68;74] |
|
СОЭ, мм/ч |
60 [38;77] |
|
СКФ (MDRD), мл/мин/1,73 м² |
86 [66;103] |
|
Площадь раны, см² |
19,2 [16,2;33,2] |
|
Глубина раны, см |
3,2 [2,3;4,6] |
|
Стадии раневого процесса по Wagner, количество пациентов (%): II, n (%) III, n (%) |
37 (53) 33 (47) |
|
Транскутанная оксиметрия, мм рт.ст. |
46 [37;52] |
|
Диабетическая нейропатия (n): |
|
|
Нет |
5 |
|
Есть |
65 |
|
Диабетическая нефропатия (n): |
|
|
ХБП С1 |
19 |
|
ХБП С2 |
35 |
|
ХБП С3a–b |
14 |
|
ХБП С4–5 |
2 |
|
Диабетическая ретинопатия (n): |
|
|
Нет |
10 |
|
Непролиферативная |
36 |
|
Препролиферативная |
8 |
|
Пролиферативная |
16 |
Основные результаты исследования
Биообразцы были взяты у всех 70 больных СД (24 женщины и 46 мужчин) с нейропатической и нейроишемической (после реваскуляризации) формами СДС, после проведенной хирургической обработки раны. Однако только у 63 больных материал был признан пригодным для проведения ИГХ-исследования.
Клиническая характеристика
На фоне лечения у всех пациентов отмечено значимое уменьшение размеров и глубины ран. К 10-му дню наблюдения медиана площади раны составила 13,1 см2 [7,25;27,4] (p<0,05). Таким образом, размер ран сократился на 23,4% [11,2;32,4] (p<0,05).
Глубина ран на фоне лечения составила 1,9 [1;3] см, что соответствует уменьшению данного показателя на 29,4% [16,6;46,1] и является статистически значимым (p<0,05).
Морфологическая и иммуногистохимическая характеристика клеток воспаления и репарации у лиц с СДС
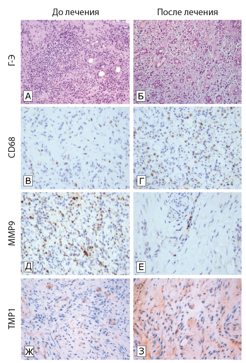
На фоне проводимой терапии было подтверждено формирование созревающей грануляционной ткани, уменьшение отека и выраженности воспаления, по сравнению с исходным состоянием ран, по данным световой микроскопии (p<0,05). На рис. 1А и Б продемонстрирована морфологическая картина биоптатов ран до и на 10-е сутки местного лечения.
Рис. 1. Ткань биоптата раны до и после лечения. А. Гистологическая картина биоптата раневого дефекта до лечения. Определяются выраженная воспалительная инфильтрация (лимфо- и лейкоциты, плазматическое клетки), межклеточный отек (Г-Э х200). Б. Созревающая грануляционная ткань. Между многочисленными новообразованными сосудами в рыхлом межклеточном веществе располагаются лимфо- и лейкоциты, фибробласты, немногочисленные плазматические клетки (Г-Э х200). В. Небольшое количество CD68-позитивных макрофагов в воспалительном инфильтрате раны до лечения (х400). Г. Увеличение количества макрофагов, иммунопозитивных к CD68 в биоптате раны после лечения (х400). Д. Умеренная цитоплазматическая экспрессия MMP-9 до лечения клетками воспалительного инфильтрата (х400). E. Снижение количества иммунопозитивных клеток к анти-MMP-9 после проведенной терапии (х400). Ж. Слабая цитоплазматическая экспрессия TIMP-1 миофибробластами в ткани раневого биоптата до лечения (х400). З. Выраженная экспрессия TIMP-1 клетками фибробластического ряда после терапии (х400).
По результатам ИГХ-исследования исходных образцов у всех обследованных пациентов выявляли умеренное количество макрофагов, которое оценивали по уровню экспрессии в них CD68, MMP-9 и TIMP-1.
На фоне проведенного местного лечения отмечалась тенденция к приросту количества макрофагов (до 15 [10;20]), однако данные изменения были статистически незначимыми (p>0,05) (рис. 1 В, Г). Было зафиксировано значимое снижение экспрессии MMP-9 на фоне лечения до 3 [2;3] (p<0,05) (рис. 1 Д, Е). Повышение экспрессии TIMP-1 после терапии (3 [2;4]) было статистически не значимым (p>0,05) (рис. 1 Ж, З).
Проведен корреляционный анализ, в ходе которого зафиксирована взаимосвязь активности TIMP-1 и глубины ран. Чем выше была активность TIMP-1, тем глубина ран была меньше, коэффициент корреляции rs=-0,19, p<0,05.
На рис. 2 представлена данная корреляция.
Рис. 2. Корреляционная связь между значениями TIMP и глубиной ран.
Дополнительные результаты исследования
Была выявлена корреляционная зависимость между выраженностью экспрессии MMP и фазой раневого процесса: наибольшая экспрессия MMP коррелировала с высокой степенью воспаления, коэффициент корреляции r (по Спирмену) = -0,21.
Нежелательные явления
В ходе исследования нежелательных явлений зафиксировано не было.
ОБСУЖДЕНИЕ
Резюме основного результата исследования
На фоне проводимого лечения зафиксировано значимое уменьшение площади ран на 23,4% (p<0,05), глубины ран – на 29,4% (p<0,05), что позволяет оценить его как эффективное. По результатам морфологического исследования подтверждено формирование зрелой грануляционной ткани. ИГХ-исследование продемонстрировало значимое снижение протеолитической активности в тканях в виде снижения экспрессии MMP-9 (р<0,05). Статистически значимого изменения количества макрофагов на фоне местного лечения раны, а также повышения экспрессии TIMP-1 зафиксировано не было (p>0,05).
Обсуждение основного результата исследования
Современные рекомендации по лечению ран при СД включают обязательный гликемический контроль, разгрузку пораженной конечности, контроль инфекции, поддержание адекватного кровоснабжения пораженной области и применение атравматичных перевязочных средств [12]. В представленном исследовании все указанные выше условия были соблюдены, что позволило достичь значимого сокращения размеров и глубины ран у всех включенных в исследование пациентов (на 23,4% и на 29,4% соответственно).
Заживление ран – динамический процесс, включающий различные взаимосвязанные факторы, такие как экспрессия рецепторов и их взаимодействие с сигнальной молекулой, местное воспаление, синтез и деградация белков ЭЦМ, баланс между протеолитическими ферментами (MMP) и их ингибиторами (TIMP). Последнее играет значимую роль в скорости репарации. MMP в норме регулируют процесс ремоделирования тканей, реэпителизации и формирования рубца посредством деградации избыточного количества белков ЭЦМ [13].
Также было доказано, что количество MMP-9 значимо выше у лиц с диабетом по сравнению со здоровыми добровольцами, а ее уровень положительно коррелирует с бактериальной обсемененностью раны [13].
Результатами проведенного морфологического исследования подтверждено наличие зрелой грануляционной ткани в ранах пациентов, включенных в исследование, к 10-м суткам местного лечения. По данным ИГХ-исследования установлено значимое снижение протеолитической активности в тканях раневого ложа в виде снижения экспрессии MMP-9 (р<0,05) и повышения экспрессии TIMP-1 (p>0,05).
Таким образом, полученные результаты согласуются с данными мировой литературы. Проведенные ранее исследования показали, что экспрессия MMP-9 может служить предиктором плохого заживления ран при диабете [14]. В данной работе была отмечена зависимость между показателями глубины раны и экспрессией TIMP-1: у лиц с более глубокими раневыми дефектами зафиксирована более интенсивная экспрессия ингибитора.
В данном исследовании не выявлено значимого прироста количества макрофагов на фоне местного лечения. На лабораторных моделях было доказано, что при СД количество макрофагов в ране увеличивается за более продолжительный период, что может быть ассоциировано с активностью провоспалительных цитокинов и протеаз и снижением уровней ростовых факторов [15]. Можно предположить, что снижение количества макрофагов, одних из ключевых клеток-продуцентов факторов роста, является одной из возможных причин замедления репаративных процессов у лиц с СД.
Ограничения исследования
Учитывая небольшие сроки наблюдения и отсутствие группы контроля, требуется дальнейшее изучение на большей выборке, проведение сравнительного исследования с контрольной группой и долгосрочным периодом наблюдения.
Определенные ограничения в оценку экспрессии выбранных маркеров воспаления (MMP-9 и TIMP-1) может вносить то, что продуцируемые клетками молекулы выделяются в межклеточное пространство, где и реализуют свои функции, однако оценка выраженности их экспрессии в межклеточном матриксе и трактовка результатов затруднительны. В то же время специфическая ИГХ-реакция с антителами к MMP-9 и TIMP-1 в клетках, ответственных за их синтез, не позволяет сомневаться в качестве проведенного исследования.
ЗАКЛЮЧЕНИЕ
Использование современных комплексных клинических подходов к лечению СДС, основанных на принципах доказательной медицины, позволяет достичь положительных результатов в лечении ран, что подтверждается данными гистологического исследования (зафиксировано формирование созревающей грануляционной ткани на фоне лечения). По данным ИГХ-исследования, протеолитическая активность снижалась: отмечалось статистически значимое уменьшение экспрессии MMP-9 и тенденция к повышению экспрессии TIMP-1, что может считаться благоприятным прогностическим признаком. Однако необходимы дальнейшие исследования, направленные как на установление степени выраженности экспрессии данных маркеров СДС, так и на выявление эффективного предиктора заживления ран.
ДОПОЛНИТЕЛЬНАЯ ИНФОРМАЦИЯ
Источник финансирования. Финансовое обеспечение работы осуществляется из субсидии, предусмотренной на выполнение государственного задания АААА-А18-118051590055-8 «Метаболические и генетические маркеры репарации мягких тканей и костных структур нижних конечностей у больных сахарным диабетом, их роль в прогнозировании, персонифицированной терапии и профилактике синдрома диабетической стопы».
Конфликт интересов. Авторы декларируют отсутствие явных и потенциальных конфликтов интересов, связанных с публикацией настоящей статьи.
Участие авторов. Зайцева Е.Л., Воронкова И.А. – сбор материала, анализ полученных данных, написание статьи; Токмакова А.Ю. – разработка дизайна, написание статьи; Шестакова М.В. – редактирование текста статьи. Все авторы внесли существенный вклад в проведение исследования и подготовку статьи, прочли и одобрили финальную версию перед публикацией.
Благодарности. Авторы выражают благодарность сотрудникам отделения диабетической стопы, центра патологии околощитовидных желез и отделения наследственных эндокринопатий ФГБУ «НМИЦ эндокринологии» МЗ РФ за помощь в проведении данного исследования.
Список литературы
1. Singh N, Armstrong DG, Lipsky BA. Preventing foot ulcers in patients with diabetes. JAMA. 2005;293(2):217-228. doi:10.1001/jama.293.2.217
2. Lipsky BA, Weigelt JA, Sun X, et al. Developing and validating a risk score for lower- extremity amputation in patients hospitalized for a diabetic foot infection. Diabetes Care. 2011;34(8):1695-1700. doi:10.2337/dc11-0331
3. Галстян Г.Р., Викулова О.К., Исаков М.А., и др. Эпидемиология синдрома диабетической стопы и ампутаций нижних конечностей в Российской Федерации по данным Федерального регистра больных сахарным диабетом (2013–2016 гг.) // Сахарный диабет. – 2018. – Т. 21. – №3. – С. 170-177. [Galstyan GR, Vikulova OK, Isakov MA, et al. Trends in the epidemiology of diabetic foot and lower limb amputations in Russian Federation according to the Federal Diabetes Register (2013–2016). Diabetes mellitus. 2018;21(3):170-177. (In Russ.)] doi: 10.14341/DM9688
4. Brem H, Tomic-Canic M. Cellular and molecular basis of wound healing in diabetes. J Clin Invest. 2007;117(5):1219–1222. doi: 10.1172/JCI32169
5. López-López N, González-Curiel I, Treviño-Santa Cruz MB, et al. Expression and vitamin D-mediated regulation of matrix metalloproteinases (MMPs) and tissue inhibitors of metalloproteinases (TIMPs) in healthy skin and in diabetic foot ulcers. Arch Dermatol Res. 2014;306(9):809–821. doi: 10.1007/s00403-014-1494-2
6. Airola K., Karonen T, Vaalamo M, et al. Expression of collagenases-1 and -3 and their inhibitors TIMP-1 and -3 correlates with the level of invasion in malignant melanomas. Br J Cancer. 1999;80(5-6):733-743. doi: 10.1038/sj.bjc.6690417
7. Bikle DD, Oda Y, Xie Z. Vitamin D and skin cancer: a problem in gene regulation. J Steroid Biochem Mol Biol. 2005;97(1–2):83–91. doi: 10.1016/j.jsbmb.2005.06.001
8. Adler AI, Erqou S, Lima TA, Robinson AH. Association between glycated haemoglobin and the risk of lower extremity amputation in patients with diabetes mellitus—review and meta-analysis. Diabetologia. 2010;53(5):840-849. doi: 10.1007/s00125-009-1638-7
9. Bahar-Shany K, Ravid A, Koren R. Upregulation of MMP-9 production by TNFalpha in keratinocytes and its attenuation by vitamin D. J Cell Physiol. 2010;222(3):729–737. doi: 10.1002/jcp.22004
10. Bullard KM, Lund L, Mudgett JS, et al. Impaired wound contraction in stromelysin-1-deficient mice. Ann Surg. 1999;230(2):260–265. doi: 10.1097/00000658-199908000-00017
11. Зайцева Е.Л., Доронина Л.П., Молчков Р.В., и др. Морфологическая и иммуногистохимическая характеристика интенсивности репаративных процессов в мягких тканях нижних конечностей у лиц с нейропатической и нейроишемической формами синдрома диабетической стопы // Сахарный диабет. – 2015. – Т. 18. – №4. – C. 72-78. [Zaitseva EL, Doronina LP, Molchkov RV, et al. The morphological characteristic of tissue repair in patients with neuropathic and neuroischemic forms of diabetic foot syndrome. Diabetes mellitus. 2015;18(4):72-78. (In Russ.)] doi: 10.14341/DM7587
12. Дедов И.И., Шестакова М.В., Майоров А.Ю., и др. Алгоритмы специализированной медицинской помощи больным сахарным диабетом. / Под ред. Дедова И.И., Шестаковой М.В., Майорова А.Ю. 8-й выпуск // Сахарный диабет. – 2017. – Т. 20. – №1S. – C. 1-121. [Dedov II, Shestakova MV, Mayorov AY, et al. Dedov II, Shestakova MV, Mayorov AY, editors. Standards of specialized diabetes care. 8th ed. Diabetes mellitus. 2017;20(1S):1-121. (In Russ.)] doi: 10.14341/DM20171S8
13. Li G, Zou X, Zhu Y, et al. Expression and Influence of Matrix Metalloproteinase–9/Tissue Inhibitor of Metalloproteinase–1 and Vascular Endothelial Growth Factor in Diabetic Foot Ulcers. Int J Low Extrem Wounds. 2017;16(1):6–13. doi: 10.1177/1534734617696728
14. Liu Y, Min D, Bolton T, et al. Increased matrix metalloproteinase-9 predicts poor wound healing in diabetic foot ulcers. Diabetes Care. 2009;32(1):117-119. doi:10.2337/dc08-0763
15. Ferguson MW, Herrick SE, Spencer MJ, et al. The histology of diabetic foot ulcers. Diabet Med. 1996;13(Suppl 1):S30-33. doi: 10.1002/dme.1996.13.s1.30
Об авторах
Алла Юрьевна ТокмаковаНациональный медицинский исследовательский центр эндокринологии
Россия
д.м.н.
Екатерина Леонидовна Зайцева
Национальный медицинский исследовательский центр эндокринологии
Россия
к.м.н.
Ия Александровна Воронкова
Национальный медицинский исследовательский центр эндокринологии
Россия
к.м.н.
Марина Владимировна Шестакова
Национальный медицинский исследовательский центр эндокринологии
Россия
д.м.н., профессор, академик РАН
Дополнительные файлы
|
|
1. Рис. 1. Ткань биоптата раны до и после лечения. А. Гистологическая картина биоптата раневого дефекта до лечения. Определяются выраженная воспалительная инфильтрация (лимфо- и лейкоциты, плазматическое клетки), межклеточный отек (Г-Э х200). Б. Созревающая грануляционная ткань. Между многочисленными новообразованными сосудами в рыхлом межклеточном веществе располагаются лимфо- и лейкоциты, фибробласты, немногочисленные плазматические клетки (Г-Э х200). В. Небольшое количество CD68-позитивных макрофагов в воспалительном инфильтрате раны до лечения (х400). Г. Увеличение количества макрофагов, иммунопозитивных к CD68 в биоптате раны после лечения (х400). Д. Умеренная цитоплазматическая экспрессия MMP-9 до лечения клетками воспалительного инфильтрата (х400). E. Снижение количества иммунопозитивных клеток к анти-MMP-9 после проведенной терапии (х400). Ж. Слабая цитоплазматическая экспрессия TIMP-1 миофибробластами в ткани раневого биоптата до лечения (х400). З. Выраженная экспрессия TIMP-1 клетками фибробластического ряда после терапии (х400). | |
| Тема | ||
| Тип | Исследовательские инструменты | |
Посмотреть
(1MB)
|
Метаданные ▾ | |
|
|
2. Рис. 2. Корреляционная связь между значениями TIMP и глубиной ран. | |
| Тема | ||
| Тип | Исследовательские инструменты | |
Посмотреть
(95KB)
|
Метаданные ▾ | |
Рецензия
Для цитирования:
Токмакова А.Ю., Зайцева Е.Л., Воронкова И.А., Шестакова М.В. Клинико-морфологическое исследование тканевой репарации при синдроме диабетической стопы. Сахарный диабет. 2018;21(6):490-496. https://doi.org/10.14341/DM9823
For citation:
Tokmakova A.Y., Zaitseva E.L., Voronkova I.A., Shestakova M.V. Clinical, pathomorphological and immunohistochemical evaluation of tissue repair in diabetic foot ulcers. Diabetes mellitus. 2018;21(6):490-496. (In Russ.) https://doi.org/10.14341/DM9823
JATS XML
Контент доступен под лицензией Creative Commons Attribution-NonCommercial-NoDerivatives 4.0 International License (CC BY-NC-ND 4.0).









































