Preview

Diabetes mellitus

Advanced search

Symptomatic and silent cerebral ischemia (detected on MRI) in patients with type 2 diabetes mellitus after carotid revascularization procedures

https://doi.org/10.14341/DM9633

Abstract

Background: Type 2 diabetes mellitus (T2DM) is a significant independent risk factor for ischaemic stroke. Carotid revascularisation procedures are an effective method of primary and secondary stroke prevention. However, patients developed postoperative acute ischaemic lesions (AILs), which were identified via magnetic resonance imaging (MRI) of the brains. Most of the patients with these AILs lack clinically overt symptoms.


Aims: To assess the risk of ischaemic brain damage in patients with T2DM in the setting of carotid angioplasty with stenting (CAS) or carotid endarterectomy (CAE).


Materials and methods: This open prospective study comprised of 164 patients with carotid atherosclerosis, who have undergone either CAS or CAE. Patients with T2DM were included in Group 1: 38 patients and 28 patients with CAE. Group 2 included patients without T2DM: 62 patients with CAS and 36 patients with CAE. All patients underwent a thorough neurological examination and diffusion-weighted brain MRI. In patients with T2DM, plasma glucose levels and glycated haemoglobin (HbA1c) were determined and their relationships to brain damage were evaluated.


Results: In CAS, there were no statistically significant differences in the AIL frequency in patients with and without T2DM. AILs were found in 15 patients with T2DM (39.8%) and 29 patients without T2DM (46.8%, р = 0.24); three patients without T2DM were diagnosed with stroke. Of the 28 patients with T2DM who underwent CAE, 13 had AIL (46.4%); three had stroke (10.7%). In patients without T2DM, AILs were less prevalent in seven cases (19.4%, р = 0.012) and appeared asymptomatic. Following CAS, the baseline HbA1c levels were higher in patients with T2DM who developed AILs compared to those who did not develop AIL, 7.8% ± 1.4% vs 7.1 ± 1.1% (р = 0.0469). Negative impact of hyperglycaemia on the risk of cerebral ischaemia was observed in patients who underwent CAE, the baseline fasting plasma glucose level was 8.5 ± 1.9 mmol/l vs 7.0 ± 1.5 mmol/l in patients without AIL (р = 0.014). The baseline HbA1c levels in patients with and without AILs were 8.0% ± 1.7% and 6.9% ± 0.9% respectively (р = 0.023).


Conclusions: Carotid revascularisation procedure for patients with carotid atherosclerosis may be associated with risk of stroke and asymptomatic acute cerebral ischaemic lesions, which are more prevalent in patients with T2DM. Also, increased HbA1c levels is a risk factor for AIL.

About the Authors

Marine M. Tanashyan

Research Center of Neurology


Russian Federation

MD, PhD, Professor



Ksenia V. Antonova

Research Center of Neurology


Russian Federation

MD, PhD



Roman B. Medvedev

Research Center of Neurology


Russian Federation

MD, PhD



Sergey I. Skrylev

Research Center of Neurology


Russian Federation

MD, PhD



Marina V. Krotenkova

Research Center of Neurology


Russian Federation

MD, PhD



Tatiana I. Romantsova

I.M. Sechenov First Moscow State Medical University (Sechenov University)


Russian Federation

MD, PhD, Professor



References

1. Дедов И.И., Шестакова М.В., Викулова О.К. Эпидемиология сахарного диабета в Российской Федерации: клинико-статистический отчет по данным Федерального регистра сахарного диабета // Сахарный диабет. — 2017. — Т. 20. — №1. — С. 13-41. https://doi.org/10.14341/DM8664 [Dedov II, Shestakova MV, Vikulova OK. Epidemiology of diabetes mellitus in Russian Federation: clinical and statistical report according to the federal diabetes registry. Diabetes mellitus. 2017;20(1):13-41. (In Russ.)] doi: 10.14341/DM8664

2. Feigin VL, Varakin YY, Kravchenko MA, et al. A new approach to stroke prevention in Russia. Hum Physiol. 2017;42(8):854-857. doi: 10.1134/s0362119716080053

3. Khoury JC, Kleindorfer D, Alwell K, et al. Diabetes mellitus: a risk factor for ischemic stroke in a large biracial population. Stroke. 2013;44(6):1500-1504. doi: 10.1161/STROKEAHA.113.001318

4. Vangen-Lonne AM, Wilsgaard T, Johnsen SH, et al. Declining Incidence of Ischemic Stroke: What Is the Impact of Changing Risk Factors? The Tromso Study 1995 to 2012. Stroke. 2017;48(3):544-550. doi: 10.1161/STROKEAHA.116.014377

5. Saw J. Carotid artery stenting for stroke prevention. Can J Cardiol. 2014;30(1):22-34. doi: 10.1016/j.cjca.2013.09.030

6. Танашян M.M., Антонова К.В., Лагода О.В., и др. Острые нарушения мозгового кровообращения и сахарный диабет 2 типа // Анналы клинической и экспериментальной неврологии. — 2014. — Т. 8. — №3. — C. 4-8. [Tanashyan MM, Antonova KV, Lagoda OV, et al. Аcute stroke and type 2 diabetes. Annaly klinicheskoy i eksperimental'noy nevrologii. 2014;8(3):4-8. (In Russ.)]

7. MRC Asymptomatic Carotid Surgery Trial (ACST) Collaborative Group. Prevention of disabling and fatal strokes by successful carotid endarterectomy in patients without recent neurological symptoms: randomised controlled trial. Lancet. 2004;363(9420):1491-1502. doi: 10.1016/S0140-6736(04)16146-1

8. Yadav JS, Wholey MH, Kuntz RE, et al. Protected carotid-artery stenting versus endarterectomy in high-risk patients. N Engl J Med. 2004;351(15):1493-1501. doi: 10.1056/NEJMoa040127

9. Pothof AB, Zwanenburg ES, Deery SE, et al. An update on the incidence of perioperative outcomes after carotid endarterectomy, stratified by type of preprocedural neurologic symptom. J Vasc Surg. 2018;67(3):785-792. doi: 10.1016/j.jvs.2017.07.132

10. Udesh R, Cheng H, Mehta A, Thirumala PD. Perioperative strokes following combined coronary artery bypass grafting and carotid endarterectomy: A nationwide perspective. Neurol India. 2018;66(1):57-64. doi: 10.4103/0028-3886.222849

11. Bossema ER, Brand N, Moll FL, et al. Does carotid endarterectomy improve cognitive functioning? J Vasc Surg. 2005;41(5):775-781. https://doi.org/10.1016/j.jvs.2004.12.057

12. Paraskevas KI, Lazaridis C, Andrews CM, et al. Comparison of cognitive function after carotid artery stenting versus carotid endarterectomy. Eur J Vasc Endovasc Surg. 2014;47(3):221-231. doi: 10.1016/j.ejvs.2013.11.006

13. Casas-Hernanz L, Garolera M, Badenes D, et al. Neuropsychological Outcome One Year after Carotid Revascularization: A before-and-after Study. Vasc Specialist Int. 2017;33(4):146-155. doi: 10.5758/vsi.2017.33.4.146

14. Yu C, Guo WC, Zhu L, et al. Effect of white matter changes on risk score for peri-procedural complications after carotid artery stenting. Clin Neurol Neurosurg. 2018;164:108-113. doi: 10.1016/j.clineuro.2017.10.034

15. Танашян М.М., Медведев Р.Б., Евдокименко А.Н., и др. Прогнозирование ишемических повреждений головного мозга при реконструктивных операциях на внутренних сонных артериях // Ангиология и сосудистая хирургия. — 2017. — Т. 23. — №1. — С. 59-66. [Tanashyan MM, Medvedev RB, Evdokimenko AN, et al. Prediction of ischaemic lesions of the brain in reconstructive operations on internal carotid arteries. Angiology and vascular surgery. 2017;23(1):59-65. (In Russ.)]

16. Brott TG, Halperin JL, Abbara S, et al. 2011 ASA/ACCF/AHA/AANN/AANS/ACR/ASNR/CNS/SAIP/SCAI/SIR/SNIS/SVM/SVS guideline on the management of patients with extracranial carotid and vertebral artery disease: executive summary: a report of the American College of Cardiology Foundation/American Heart Association Task Force on Practice Guidelines, and the American Stroke Association, American Association of Neuroscience Nurses, American Association of Neurological Surgeons, American College of Radiology, American Society of Neuroradiology, Congress of Neurological Surgeons, Society of Atherosclerosis Imaging and Prevention, Society for Cardiovascular Angiography and Interventions, Society of Interventional Radiology, Society of NeuroInterventional Surgery, Society for Vascular Medicine, and Society for Vascular Surgery. Circulation. 26;124(4):489-532. doi: 10.1161/CIR.0b013e31820d8d78

17. Dorigo W, Pulli R, Pratesi G, et al. Early and long-term results of carotid endarterectomy in diabetic patients. J Vasc Surg. 2011;53(1):44-52. doi: 10.1016/j.jvs.2010.08.030

18. Calvillo-King L, Xuan L, Zhang S, et al. Predicting risk of perioperative death and stroke after carotid endarterectomy in asymptomatic patients: derivation and validation of a clinical risk score. Stroke. 2010;41(12):2786-2794. doi: 10.1161/STROKEAHA.110.599019

19. Ассоциация сердечно-сосудистых хирургов России. Национальные рекомендации по ведению пациентов с сосудистой артериальной патологией. Экстракраниальные (брахиоцефальные) артерии. — М.: НЦССХ им. А.Н. Бакулева РАМН; 2012. [Association of Cardiovascular Surgeons of Russia. Natsional'nye rekomendatsii po vedeniyu patsientov s sosudistoy arterial'noy patologiey. Ekstrakranial'nye (brakhiotsefal'nye) arterii. Moscow: NTsSSKh im. A.N. Bakuleva RAMN; 2012. (In Russ.)]

20. Brott T, Adams HP, Olinger CP, et al. Measurements of acute cerebral infarction: a clinical examination scale. Stroke. 1989;20(7):864-870. doi: 10.1161/01.str.20.7.864

21. Дедов И.И., Шестакова М.В., Майоров А.Ю., и др. Алгоритмы специализированной медицинской помощи больным сахарным диабетом. / Под ред. Дедова И.И., Шестаковой М.В., Майорова А.Ю. – 8-й выпуск // Сахарный диабет. — 2017. — Т. 20. — №1S. — C. 1-121. [Dedov II, Shestakova MV, Mayorov AY, et al. Dedov II, Shestakova MV, Mayorov AY, editors. Standards of specialized diabetes care. 8th ed. Diabetes mellitus. 2017;20(1S):1-121. (In Russ.)] doi: 10.14341/DM20171S8

22. Кротенкова М.В., Суслин А.С., Танашян М.М., и др. Диффузионно-взвешенная МРТ и МРТ-перфузия в остром периоде ишемического инсульта // Анналы клинической и экспериментальной неврологии. — 2009. — Т. 3. — №4. — C. 11-16. [Krotenkova MV, Suslin AS, Tanashyan MM, et al. Diffusion-weighted MRI and MR perfusion in an acute period of ischemic stroke. Annaly klinicheskoy i eksperimental'noy nevrologii. 2009;4(3):11-16. (In Russ.)]

23. DaCosta M, Surowiec SM. Carotid Endarterectomy. In: StatPearls [Internet]. Treasure Island (FL): StatPearls Publishing; 2017 [cited 2019 Mar 15]. Available from: https://www.ncbi.nlm.nih.gov/books/NBK470582/.

24. Brott TG, Hobson RW, Howard G, et al. Stenting versus endarterectomy for treatment of carotid-artery stenosis. N Engl J Med. 2010;363(1):11-23. doi: 10.1056/NEJMoa0912321


Supplementary files

1. Fig. 1. The frequency of acute ischemic foci in patients depending on the type of intervention.
Subject
Type Исследовательские инструменты
View (21KB)    
Indexing metadata ▾
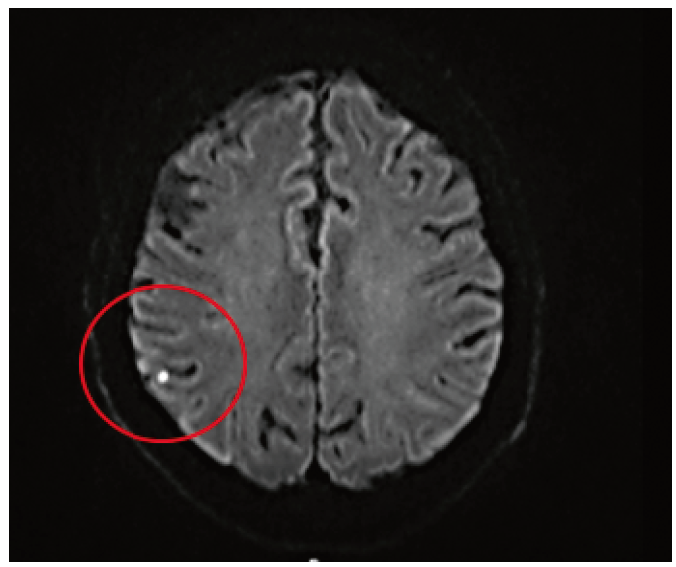
2. Fig. 2. Acute foci of ischemia in patient K., 66 years old, without diabetes mellitus, according to diffusion-weighted magnetic resonance imaging 24 hours after angioplasty with stenting in the cortex of the parietal lobe of the right cerebral hemisphere.
Subject
Type Исследовательские инструменты
View (360KB)    
Indexing metadata ▾
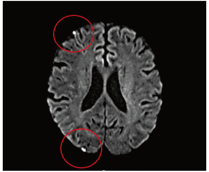
3. Fig. 3. Acute foci of ischemia in the cortical and subcortical substance of the frontal, parietal and temporal gyri (according to diffusion-weighted magnetic resonance imaging 24 hours after carotid endarterectomy) in patient S., 64 years old, with diabetes type 2 and perioperative stroke.
Subject
Type Исследовательские инструменты
View (191KB)    
Indexing metadata ▾
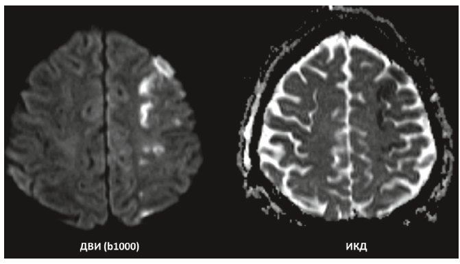
4. Fig. 4. Acute foci of ischemia in a patient with type 2 diabetes according to diffusion-weighted magnetic resonance imaging 24 hours after carotid endarterectomy in the cortical substance of the frontal and parietal lobes of the right hemisphere of the large brain.
Subject
Type Исследовательские инструменты
View (339KB)    
Indexing metadata ▾
5. Fig. 5. Indicators of glycated hemoglobin in subgroups by type of intervention and the development of acute ischemic foci.
Subject
Type Исследовательские инструменты
View (46KB)    
Indexing metadata ▾

Review

For citations:


Tanashyan M.M., Antonova K.V., Medvedev R.B., Skrylev S.I., Krotenkova M.V., Romantsova T.I. Symptomatic and silent cerebral ischemia (detected on MRI) in patients with type 2 diabetes mellitus after carotid revascularization procedures. Diabetes mellitus. 2019;22(1):14-24. https://doi.org/10.14341/DM9633

Views: 2879


ISSN 2072-0351 (Print)
ISSN 2072-0378 (Online)