Перейти к:
Липогипертрофии, индуцированные инсулином: клиническая и ультразвуковая характеристика
https://doi.org/10.14341/DM9549
Аннотация
Обоснование. Липогипертрофии – основное кожное осложнение инсулинотерапии. Данные о распространенности липогипертрофий у больных сахарным диабетом (СД) противоречивы, что может быть связано с недостаточной чувствительностью и субъективностью пальпации как метода диагностики данного осложнения. Надежность верификации липогипертрофий может быть повышена с помощью ультразвукового исследования (УЗИ).
Цель. Сопоставить клинические и ультразвуковые характеристики и определить факторы риска индуцированных инсулином липогипертрофий у больных СД.
Материалы и методы. В исследование включено 82 пациента, в том числе 26 с СД 1 типа (СД1) и 56 с СД 2 типа (СД2). Длительность инсулинотерапии варьировала от 3 мес до 37 лет (медиана – 14 лет). Липогипертрофии выявляли с помощью пальпации и УЗИ. Протокол УЗИ включал серошкальную денситометрию, соноэластографию, исследование кровотока в режиме 3D-ангио. Выраженность ультразвуковых изменений оценивалась по балльной шкале. Техника инъекций инсулина оценивалась с помощью анкетирования. Уровень антител к инсулину в сыворотке крови определяли с помощью иммуноферментного анализа.
Результаты. При пальпации и ультрасонографии липогипертрофии выявлены у 57 и 80 (70% и 98%) больных. Площадь, эхоплотность и суммарный балл ультразвуковых изменений демонстрировали слабые положительные взаимосвязи с суточной дозой инсулина (r=0,3, r=0,3 и r=0,35 соответственно, все p<0,006). Суммарная площадь липогипертрофий в абдоминальной области оказалась достоверно меньше у больных, получавших аналоги инсулина, в сравнении с пациентами на человеческих инсулинах (р=0,03). Площадь липогипертрофий в абдоминальной области коррелировала с постпрандиальной гликемией (r=0,35, p=0,001). Наиболее частыми нарушениями техники инъекций инсулина оказались: редкая смена игл (70 человек, 85%), введение инсулина в участки липогипертрофий (47 человек, 53%). Уровень антител к инсулину не показал значимых корреляций с количеством и параметрами липогипертрофий.
Заключение. У больных СД1 и СД2 была выявлена высокая распространенность липогипертрофий в местах введения инсулина. Ультрасонография явилась более чувствительным методом диагностики липогипертрофий по сравнению с пальпацией. Наличие липогипертрофий у больных СД было ассоциировано с нарушениями техники инъекции инсулина и с более высокими суточными дозами инсулина.
Ключевые слова
Для цитирования:
Климонтов В.В., Лазарев М.М., Махотин А.А., Летягин А.Ю., Анисимова Л.А., Булумбаева Д.М., Королева Е.А., Лыков А.П. Липогипертрофии, индуцированные инсулином: клиническая и ультразвуковая характеристика. Сахарный диабет. 2018;21(4):255-263. https://doi.org/10.14341/DM9549
For citation:
Klimontov V.V., Lazarev M.M., Makhotin A.A., Letyagin A.J., Anisimova L.A., Bulumbaeva D.M., Koroleva E.A., Lykov A.P. Insulin-induced lipohypertrophy: clinical and ultrasound characteristics. Diabetes mellitus. 2018;21(4):255-263. https://doi.org/10.14341/DM9549
Формирование липодистрофий в местах инъекций – основное кожное осложнение инсулинотерапии. По разным оценкам, распространенность индуцированных инсулином липодистрофий составляет от 5 до 53% [1–5]. Наличие участков липодистрофий изменяет абсорбцию препаратов инсулина из места введения [6] и способствует ухудшению качества контроля гликемии [4, 5, 7, 8].
Инсулиновые липодистрофии могут проявляться в двух формах: атрофической и гипертрофической. Улучшение качества препаратов инсулина и обучение пациентов технике инъекций в значительной степени сократили распространенность атрофической формы липодистрофий. Вместе с тем распространенность индуцированных инсулином липогипертрофий по-прежнему остается высокой [9]. Индуцированные инсулином липогипертрофии клинически проявляются опухолеподобным утолщением подкожной жировой клетчатки (ПЖК), часто имеющим бóльшую плотность по сравнению с окружающей тканью, или образованием подкожных узелков в местах инъекций. Однако в некоторых случаях липогипертрофии незаметны при визуальном осмотре и пальпации. Сообщалось, что точность диагностики липогипертрофий может быть повышена с помощью ультразвукового исследования (УЗИ) [7, 8, 10]. Вместе с тем в настоящее время стандартные протоколы ультразвуковой оценки мест введения инсулина у больных СД отсутствуют. Взаимосвязь ультразвуковых параметров липогипертрофий с особенностями клинического течения СД не изучена.
Цель
Сопоставить клинические и ультразвуковые характеристики и определить факторы риска индуцированных инсулином липогипертрофий у больных СД.
Методы
Дизайн исследования
Поперечное одноцентровое исследование. Протокол исследования включал общеклиническое обследование, пальпаторное и ультразвуковое исследование мест инъекций инсулина, оценку техники инъекций инсулина, определение уровня циркулирующих антител к инсулину.
Критерии соответствия
В исследование включались больные СД1 и СД2 старше 18 лет, получающие препарат(ы) инсулина на протяжении последних 3 мес или более, давшие письменное информированное согласие на участие в исследовании. Терапия какими-либо иными препаратами для подкожного введения являлась критерием исключения.
Условия проведения
Набор пациентов осуществлялся в клинике Научно-исследовательского института клинической и экспериментальной лимфологии – филиала ФГБНУ «Федеральный исследовательский центр Институт цитологии и генетики Сибирского отделения Российской академии наук» (Новосибирск, Россия).
Описание медицинского вмешательства
Всем больным выполнено общеклиническое обследование, включавшее оценку показателей углеводного, липидного обмена, скрининг (или мониторинг) хронических осложнений СД. Участки липогипертрофий выявляли с помощью визуальной и пальпаторной оценки мест введения инсулина. Техника инъекций инсулина оценивалась по разработанной нами анкете, содержащей вопросы о режиме инсулинотерапии и видах инсулина, местах, глубине и болезненности инъекций, частоте смены мест введения, длине и частоте смены игл, постановке инсулина в места уплотнений и др.
Исследование мест инъекций инсулина с помощью ультрасонографии проводилось по унифицированному протоколу. Протокол предполагал измерение толщины подкожно-жировой клетчатки (ПЖК), определение наличия и размеров липогипертрофий, их эхогенности, однородности, а также количественных параметров акустической плотности, жесткости и васкуляризации. По данным серошкальной денситометрии определялась средняя плотность участка липогипертрофии – MG1 (MG – Mean Gray Value) и участков неизмененной ПЖК (MG2), рассчитывалось отношение MG1/MG2. В режиме компрессионной соноэластографии регистрировались индексы жесткости участков липогипертрофий (Strain-Ratio: StR) в сопоставлении с неизмененной ПЖК. С помощью трехмерного допплеровского исследования кровотока в режиме 3D-ангио оценивались индексы васкуляризации участков липогипертрофии: VI (Vascularization Index), FI (Flow Index), VFI (Vascularization Flow Index). Указанные индексы дают информацию о характеристиках кровоснабжения: индекс VI отражает количество сосудов в объеме ткани, индекс FI – интенсивность кровотока (т.е. количество клеток крови, транспортирующихся в определенный момент времени), индекс VFI объединяет информацию о количестве сосудов и величине кровотока. Суммарная выраженность ультразвуковых изменений оценивалась по балльной шкале, с учетом характеристик подкожной клетчатки, зон липогипертрофий, их акустических свойств, а также данных волюметрических и денситометрических измерений.
Показатели гликемии натощак и после еды рассчитывались по данным контроля гликемии в капиллярной крови в 6 точках (3 точки натощак и 3 точки через 2 ч после еды в течение дня). Для оценки вариабельности гликемии (ВГ) рассчитывали среднюю амплитуду колебаний гликемии (MAGE: Mean Amplitude of Glucose Excursions) и индекс риска гипогликемии (LBGI: Low Blood Glucose Index) [11].
Уровень антител к инсулину в сыворотке крови у больных СД (70 человек) сравнивали с таковым в контрольной группе, в которую вошли 10 здоровых лиц.
Основной исход исследования
Основными параметрами, оценивавшимися в исследовании, являлись: распространенность индуцированных инсулином липогипертрофий среди больных СД1 и СД2 по данным пальпаторной оценки и УЗИ; размеры, эхоплотность и параметры васкуляризации липогипертрофий по данным УЗИ; взаимосвязь наличия липогипертрофий с длительностью инсулинотерапии, суточной дозой инсулина, уровнем гликированного гемоглобина (HbA1c) и параметрами ВГ; взаимосвязь уровня антител к инсулину в сыворотке крови с клиническими и ультразвуковыми характеристиками липогипертрофий.
Анализ в подгруппах
Учитывая различия в клинических и демографических характеристиках, больные СД1 и СД2 анализировались отдельно.
Методы регистрации исходов
Ультрасонографические исследования выполнены на аппарате экспертного класса с возможностью автоматического трехмерного сканирования в реальном времени Voluson E8 Expert BT-12 (GE Healthcare, США), с использованием виртуального конвексного сканирования на линейном датчике 11L-D Linear Array Probe 4–10 МГц для исследования поверхностно расположенных органов и структур. Протокол предусматривал применение опций ELASTOGRAPHY ADVANCED 4D, OmniView+VCI, VOLUME CALCULATION II (VOCAL), а также программного обеспечения для полуавтоматического определения контуров структур и расчета их объема в режиме объемной реконструкции VOCAL ™ – Virtual Organ Computer Aided Analysis.
Показатели ВГ рассчитывали на основании результатов измерений уровня глюкозы в течение трех последовательных дней с помощью профессионального калькулятора EasyGV (Version 9.0) [12].
Уровень антител к инсулину в сыворотке крови, взятой натощак, определяли с помощью иммуноферментного анализа (тест-системы фирмы Orgentec Diagnostika GmbH, Германия). Нормальный уровень антител, согласно инструкции производителя набора, составляет 0–10 ЕД/мл.
Этическая экспертиза
Протокол исследования одобрен Этическим комитетом ФГБНУ «Научно-исследовательский институт клинической и экспериментальной лимфологии», протокол №115 от 24.12.2015 г.
Статистический анализ
Принципы расчета размера выборки
Размер выборки предварительно не рассчитывался.
Методы статистического анализа данных
Статистическая обработка проведена с использованием программы STATISTICA 10 (StatSoft, Inc, 2011, CША). Полученные данные проверяли на нормальность распределения с помощью критериев Колмогорова-Смирнова, Шапиро-Уилкса. Учитывая, что распределение большинства изученных признаков было отличным от нормального, применяли методы непараметрической статистики. Межгрупповые различия оценивали с помощью критерия Манна-Уитни и ANOVA Краскела-Уоллиса. Взаимосвязь между признаками оценивали с помощью корреляционного анализа Спирмена. Критический уровень значимости при проверке статистических гипотез принимали равным 0,05. Данные представлены как медианы, 25–75 процентили, наименьшие и наибольшие значения.
Результаты
Объекты (участники) исследования
В исследование включены 82 пациента, 27 мужчин и 55 женщин, от 19 до 83 лет (медиана 60,5 года). Длительность СД варьировала от 3 мес до 46 лет (медиана – 16 лет), индекс массы тела (ИМТ) – от 19,1 до 46,3 кг/м2 (медиана – 30,7 кг/м2). Уровень HbA1c находился в пределах от 6,4% до 15,6% (медиана – 8,7%). Среди обследованных 26 пациентов имели СД1, 56 – СД2. Клинические характеристики обследованных больных с СД1 и СД2 представлены в табл. 1.
Таблица 1. Клиническая характеристика больных сахарным диабетом 1 и 2 типа, включенных в исследование
|
Признак |
СД1 (n=26) |
СД2 (n=56) |
||
|
Me |
Мин–Макс |
Me |
Мин–Макс |
|
|
Возраст, годы |
32 [29; 54] |
19–67 |
62 [57.5; 67.5] |
23–83 |
|
ИМТ, кг/м2 |
24.8 [21; 30.7] |
19,1–37,3 |
33.7 [27.3; 38.9] |
20,5–46,3 |
|
Длительность СД, годы |
14 [10; 23] |
0,3–46 |
16 [11; 22] |
1–38 |
|
Длительность инсулинотерапии, годы |
14 [10; 23] |
0,3–46 |
6 [3; 10] |
0,3–37 |
|
Суточная доза инсулина, ЕД |
49 [40.5; 68] |
23–88 |
48 [34; 76] |
8–110 |
|
Суточная доза инсулина, ЕД/кг |
0.7 [0.6; 0.9] |
0,4–0,9 |
0.6 [0.4; 0.8] |
0,1–1,5 |
|
HbA1c, % |
9.1 [7.7; 9.6] |
6,6–11,5 |
8.6 [7.7; 10.4] |
6,4–15,6 |
|
MAGE, ммоль/л |
4.75 [3.7; 5.9] |
1,75–10,1 |
4.1 [3.2; 5.1] |
1,8–12,5 |
|
LBGI, усл. ед. |
1.18 [0.1; 3.2] |
0–17,8 |
0.02 [0; 0.7] |
0–7 |
|
Холестерин общий, ммоль/л |
5.0 [4.1; 5.7] |
3,5–8,3 |
5.4 [4.8; 6.1] |
3,3–8,0 |
|
Холестерин ЛПНП, ммоль/л |
3.4 [2.5; 3.8] |
0,7–5,7 |
3.3 [2.8; 4.1] |
1,2–5,0 |
|
Холестерин ЛПВП, ммоль/л |
1.6 [1.3; 1.7] |
0,9–3,5 |
1.2 [1.0; 1.4] |
0,7–1,9 |
|
Триглицериды, ммоль/л |
0.9 [0.7; 1.2] |
0,4–8,0 |
1.8 [1.3; 2.6] |
0,7–7,5 |
|
Расчетная СКФ, мл/мин/1,73 м2 |
80 [72; 88] |
58–107 |
66 [52; 83] |
30–115 |
Примечания: ЛПНП – липопротеиды низкой плотности; ЛПВП – липопротеиды высокой плотности; СКФ – скорость клубочковой фильтрации (по CKD-EPI, 2009).
Все пациенты с СД1 получали базис-болюсную инсулинотерапию: 21 человек – в режиме множественных инъекций, пять пациентов – с помощью постоянной подкожной инфузии. Среди пациентов на помпах 2 были переведены на инфузию инсулина непосредственно в отделении, 3 получали постоянную подкожную инфузию инсулина в течение 1, 7 и 9 лет (ранее все эти пациенты получали инсулин в режиме множественных инъекций от 10 до 20 лет). На терапии инсулином человека короткого действия находился 1 пациент, остальные 25 пациентов получали аналоги инсулина человека ультракороткого действия (инсулины лизпро, аспарт или глулизин). Все пациенты, получавшие инсулин в режиме множественных инъекций, вводили аналоги инсулина человека пролонгированного действия (гларгин 100 ЕД/мл или детемир).
В группе пациентов с СД2 14 человек получали только базальный инсулин (1–2 инъекции аналогов инсулина пролонгированного действия в сутки), 6 человек вводили комбинированные инсулины (смесь инсулинов человека – 5, смесь аналогов инсулина человека – 1). Остальные пациенты (36 человек) находились на базис-болюсной инсулинотерапии, 15 из них получали инсулин человека короткого действия, 21 – аналог инсулина человека ультракороткого действия (лизпро или аспарт), 13 – NPH-инсулин, 23 – аналог инсулина человека пролонгированного действия (гларгин 100 ЕД/мл или детемир). В дополнение к инсулину 34 пациента с СД2 получали метформин, 8 – препараты сульфонилмочевины, 3 – ингибиторы глюкозо-натриевого котранспортера.
По данным анкетирования, 47 (53%) пациентов использовали в качестве места инъекций инсулина только ПЖК живота. Тридцать человек (37%) указали в качестве места инъекций живот и бедра. Два пациента вводили инсулин в область плеч, еще два – в плечи и живот. Ягодицы в качестве места инъекций использовались в одном случае.
Основные результаты исследования
При визуальной и пальпаторной оценке мест введения инсулина липогипертрофии выявлены у 57 (70%) больных. Чаще всего регистрировалось 1–2 участка уплотнений (50 больных, 88% от числа пациентов с пальпаторно выявленными липогипертрофиями). 7 (12%) пациентов имели от 3 до 6 липогипертрофий в местах инъекций. Наиболее часто липогипертрофии локализовались в области передней брюшной стенки, реже – на боковой поверхности бедер и плеч, на ягодицах.
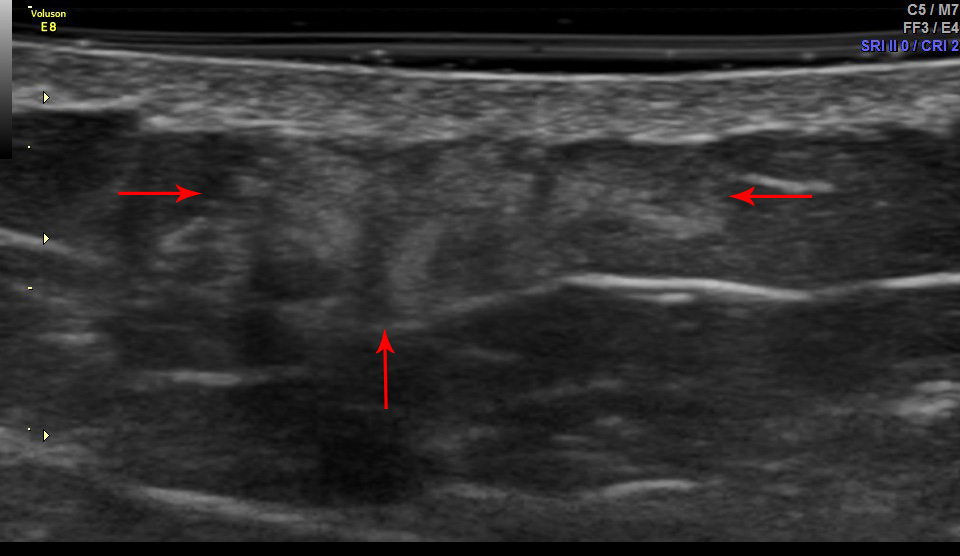
При ультрасонографии мест инъекций липогипертрофии выявлены у 80 (98%) пациентами, включая 25 с СД1 и 55 – с СД2. Cуммарная площадь участков липогипертрофий на передней брюшной стенке варьировала от 50 до 1847 мм2 (медиана 370 мм2). В большинстве случаев (91,5%) участки липогипертрофии характеризовались повышением эхогенности относительно неизмененной ПЖК (рис. 1). Медианы показателей MG1 и MG2 составили 37,8 и 29 соответственно, p<0,001. При исследовании в режиме компрессионной соноэластографии участки гипертрофии, как правило, демонстрировали большую жесткость по сравнению с неизмененной клетчаткой, при этом наблюдалось гетерогенное увеличение жесткости большинства образований (рис. 2). В режиме 3D-ангио обнаруживались гиповаскулярные зоны в области участков липогипертрофии (рис. 3), что подтверждалось при количественной оценке параметров кровотока (рис. 4).
Рис. 1. Гиперэхогенный участок липогипертрофии в подкожной клетчатке передней брюшной стенки в зоне инъекций инсулина у больного сахарным диабетом. Серошкальное сканирование в B-режиме.
Рис. 2. Гетерогенный участок липогипертрофии повышенной жесткости в подкожной клетчатке передней брюшной стенки у больного сахарным диабетом. Слева: серошкальное сканирование в B-режиме, справа: компрессионная соноэластография, исследование в режиме реального времени (Real Time Elastography). Синим цветом окрашены участки повышенной жесткости.
Рис. 3. Реконструкция участка липогипертрофии в подкожной клетчатке передней брюшной стенки в зоне инъекций инсулина у больного сахарным диабетом. Режим 3D-ангио. 1 – кровеносные сосуды в подкожной клетчатке в режиме энергетического допплера; 2 – гиповаскулярная зона в области участка липогипертрофии.
Рис. 4. Анализ васкуляризации участка липогипертрофии в подкожной клетчатке передней брюшной стенки в зоне инъекций инсулина у больного сахарным диабетом. Программа VOCAL™ (Virtual Organ Computer Aided anaLysis). Вверху: значения индексов васкуляризации; внизу слева: реконструкция участка липогипертрофии в режиме 3D-ангио; внизу справа: объемная реконструкция участка липогипертрофии.
Количественные ультразвуковые характеристики участков липогипертрофии у больных СД1 и СД2 представлены в табл. 2. Как видно из таблицы, по большинству параметров между пациентами СД1 и СД2 не выявлено достоверных различий.
Таблица 2. Ультразвуковая характеристика участков липогипертрофии в области передней брюшной стенки у больных сахарным диабетом 1 и 2 типа (Me [25%; 75%])
|
Показатель |
СД1 [n=26) |
СД2 [n=56) |
P |
|
Толщина ПЖК, мм |
13 [11; 18] |
23.8 [18; 28.5] |
0,0001 |
|
Общая площадь участков липогипертрофии, мм2 |
382 [212; 539] |
370 [202; 540] |
0,22 |
|
MG1 |
37.6 [33.0; 47.7] |
37.9 [33.5; 44.1] |
0,91 |
|
MG2 |
29.4 [26.4; 31.0] |
29.4 [27.9; 31.6] |
0,69 |
|
MG1/MG2 |
1.33 [1.10; 1.59] |
1.24 [1.10; 1.43] |
0,42 |
|
StR |
1.49 [0.93; 2.1] |
1.41 [0.9; 1.9] |
0,31 |
|
VI |
0.70 [0.35; 3.9] |
0.67 [0.21; 1.15] |
0,86 |
|
FI |
19.5 [16.4; 22.3] |
19.0 [16.0; 21.3] |
0,86 |
|
VFI |
0.12 [0.06; 0.36] |
0.12 [0.03; 0.46] |
0,88 |
|
Ультразвуковой индекс липогипертрофии, баллы |
7.8 [6.0; 10.3] |
11 [10; 13] |
0,0004 |
При корреляционном анализе обнаружена статистически значимая взаимосвязь между суммарной площадью участков липогипертрофии и толщиной ПЖК передней брюшной стенки (r=0,55, p<0,0001), ИМТ (r=0,3, p=0,003) и окружностью талии (r=0,42, p=0,0001). Связь площади липогипертрофии с толщиной ПЖК присутствовала как при СД1, так и при СД2 (r=0,68, p=0,0001 и r=0,53, p=0,005 соответственно). Значимые связи с ИМТ и окружностью талии зафиксированы лишь при СД2 (r=0,3, p=0,02 и r=0,32, p=0,02 соответственно). Параметры, характеризующие кровоснабжение в зоне липогипертрофий, ожидаемо коррелировали друг с другом (VFI показал тесную корреляцию с VI: r=0,9, р<0,0001 и FI: r=0,47, р<0,0001), но не показали какой-либо связи с эхоплотностью (MG1, MG1/MG2) и коэффициентом жесткости StR. Площадь, эхоплотность (соотношение MG1/MG2) и суммарный ультразвуковой индекс липогипертрофии, а также толщина ПЖК в области передней брюшной стенки демонстрировали слабые положительные взаимосвязи с суточной дозой инсулина (r=0,3, р=0,006; r=0,3, p=0,006; r=0,35, p=0,001; r=0,24, p=0,03 соответственно). Связь суточной дозы инсулина с площадью участков липогипертрофии и толщиной ПЖК в области передней брюшной стенки была более тесной при СД1 (r=0,47, p=0,02 и r=0,57, p=0,002 соответственно). Вместе с тем мы не выявили значимых взаимосвязей между количеством инъекций инсулина в сутки, длительностью инсулинотерапии и исследованными ультразвуковыми параметрами.
Изменения в ПЖК в зонах инъекций инсулина фиксировались с помощью ультрасонографии даже при небольшой длительности инсулинотерапии. В частности, липогипертрофии выявлены у пяти пациентов, получавших инсулин от 3 до 12 мес. В качестве примера приводим следующее клиническое наблюдение.
Больная П., 22 года. Диагноз СД1 установлен 3 мес назад, назначена инсулинотерапия в базис-болюсном режиме. Получала инсулины человека (Росинсулин Р и С), в последний месяц инсулин гларгин 100 ЕД/мл (Лантус) и инсулин лизпро (Хумалог). Суточная доза инсулина в пределах 22–26 ЕД (0,46–0,54 ЕД/кг). Уровень HbA1c 7,6%. Места инъекций инсулина: передняя брюшная стенка и латеральные поверхности бедер. При осмотре и пальпации мест инъекций в области бедер выявлены участки уплотнений ПЖК размером до 1 см. При УЗИ мест инъекций выявлены участки повышения эхогенности в области правого и левого бедра площадью до 16 мм2. Показатели эхогенности в режиме серошкальной денситометрии: справа – MG1 52,2, MG2 39, слева – MG1 52,7, MG2 39. Коэффициент жесткости StR: 1,0 справа, 1,64 слева. Сумма баллов ультразвуковых признаков: 8 справа, 9 слева.
Суммарная площадь липогипертрофий в абдоминальной области оказалась достоверно меньше у больных, получавших аналоги инсулина, в сравнении с пациентами на человеческих инсулинах (200, 139–385,5 и 406,5, 208–603,5 мм2 соответственно, р=0,03), несмотря на отсутствие значимых различий по ИМТ, дозе инсулина, длительности инсулинотерапии и количеству инъекций между этими группами.
Наличие участков липогипертрофии выявлено у 5 больных СД1, получавших аналоги инсулина с помощью помп. У 2 пациентов липогипертрофии сформировались ранее, на фоне введения инсулина в режиме множественных инъекций, у 3 – на фоне постоянной подкожной инфузии. Площадь участков липогипертрофии у 3 последних больных варьировала от 77 до 252 мм2.
Площадь липогипертрофий в абдоминальной области показала положительную корреляционную связь с постпрандиальной гликемией (r=0,35, p=0,001). У больных СД2 площадь липогипертрофий коррелировала с уровнем триглицеридов (r=0,35, p=0,008). Индекс кровотока FI показал слабую отрицательную корреляцию с уровнем постпрандиальной гликемии (r=-0,29, p=0,01). Суммарный ультразвуковой индекс липогипертрофий положительно коррелировал с концентрацией триглицеридов (r=0,41, p=0,0001), мочевой кислоты (r=0,38, p=0,0004) и отрицательно – с уровнем холестерина ЛПВП (r=-0,4, p=0,0002). С этими же параметрами коррелировала толщина ПКЖ в области передней брюшной стенки (триглицериды: r=0,52, p<0,0001; мочевая кислота: r=0,49, p<0,0001; холестерин ЛПВП: r=-0,38, p=0,0004). Не выявлено значимых взаимосвязей между ультразвуковыми параметрами липогипертрофий, уровнем HbA1c и индексами ВГ.
Наиболее частыми нарушениями техники инъекций инсулина, выявленными в ходе анкетирования, оказались: редкая смена игл или инфузионных наборов (70 человек, 85%), введение инсулина в места с уже имеющимися липогипертрофиями (47 человек, 53%), нарушение температурного режима хранения и использования инсулина (34 пациента, 41%). 43 пациента (52%) отметили бóльшую болезненность инъекций при введении инсулина в места уплотнений.
Уровень антител к инсулину у пациентов с СД1 варьировал от 0 до 85,2 Ед/мл (медиана 3,5 Ед/мл), повышение уровня антител >10 Ед/мл выявлено у 6 пациентов (23%). Среди больных СД2 концентрация антител к инсулину варьировала от 0 до 24,4 Ед/мл (медиана 2,9 Ед/мл), при этом 8 человек имели уровень антител к инсулину >10 Ед/мл (17%). У всех лиц, включенных в контрольную группу, уровень антител к инсулину находился в пределах нормы: от 0 до 4,6 Ед/мл (медиана 2,3 Ед/мл). Уровень антител не показал значимых корреляций с количеством участков липогипертрофии и их ультразвуковыми параметрами.
Нежелательные явления
В ходе исследования не зарегистрировано каких-либо нежелательных явлений.
Обсуждение
Резюме основного результата исследования
У больных СД1 и СД2 выявлялась высокая распространенность липогипертрофий в местах введения инсулина. Ультрасонография явилась более чувствительным методом диагностики липогипертрофий по сравнению с пальпацией. Протокол ультразвуковой оценки мест инъекций инсулина, включающий серошкальную денситометрию, соноэластографию и трехмерное допплеровское исследование кровотока с количественной оценкой параметров, позволяет дать детальную характеристику индуцированных инсулином липогипертрофий. Наличие липогипертрофий у больных СД было ассоциировано с нарушением техники введения инсулина и с более высокими суточными дозами инсулина.
Обсуждение основного результата исследования
Липогипертрофии – одно из наиболее частых осложнений инсулинотерапии в современных условиях. Данные о распространенности липогипертрофий среди больных СД, получающих инсулин, значительно различаются в разных исследованиях, что связано, прежде всего, с методикой выявления данного осложнения. В большинстве сообщений распространенность липогипертрофий оценивалась только по данным пальпации. По результатам мета-анализа 26 исследований, включавших в общей сложности 12493 больных СД, распространенность липогипертрофий по данным пальпации составила 38%. Интересно, что среди пациентов с СД2 распространенность оказалась выше, чем среди больных СД1 (49% и 34% соответственно) [13]. Субъективный фактор оказывает большое влияние на результаты визуально-пальпаторной оценки мест инъекций инсулина. Показано, что обучение медицинского персонала технике пальпации мест инъекций существенно улучшает выявляемость липогипертрофий у больных СД [14]. В нашем исследовании при целенаправленной визуально-пальпаторной оценке мест инъекций участки липогипертрофии выявлены у 70% больных. При включении в программу обследования соноэластографии липогипертрофии были выявлены у 98% обследованных. Ранее N. Volkova и соавт. сообщали, что липогипертрофии в местах инъекций инсулина выявляются с помощью УЗИ значительно чаще, чем с помощью пальпации: 87% и 31% больных СД соответственно [15]. Полученные данные соответствуют представлениям о существенной гиподиагностике индуцированных инсулином липогипертрофий в клинической практике [9].
Основной причиной образования липогипертрофий считают анаболический эффект инсулина на синтез жира и белка. Это объясняет тот факт, что липогипертрофии развиваются даже у больных, получающих генно-инженерные препараты инсулина и постоянную подкожную инфузию инсулина с помощью помп [16]. Образование антител к инсулину также рассматривают как возможный механизм изменений подкожной клетчатки в местах инъекций [9]. Проведенное нами исследование не выявило какой-либо взаимосвязи между ультразвуковыми характеристиками липогипертрофий и уровнем циркулирующих антител к инсулину. Очевидно, на данном этапе развития инсулинотерапии иммунные реакции не играют существенной роли в формировании липодистрофий.
Значимость различных характеристик препаратов инсулина (химическая структура, концентрация, вид и концентрация стабилизаторов, пролонгаторов эффекта и др.) и инсулинотерапии (длительность, суточная доза) как факторов риска возникновения липогипертрофий остается дискуссионной. В нашем исследовании получены предварительные данные о меньшем размере липогипертрофий у больных СД, получающих аналоги инсулина, в сравнении с пациентами на инсулинах человека. Можно предполагать, что инсулины с меньшим объемом распределения в подкожной клетчатке могут иметь преимущества с точки зрения риска формирования липогипертрофий. Данный вопрос нуждается в дальнейших исследованиях. Нами не выявлено какой-либо связи между ультразвуковыми характеристиками липогипертрофий, режимом и длительностью инсулинотерапии. При этом показано, что формирование липогипертрофий может происходить уже в течение первого года лечения инсулином.
Нарушение техники инъекций инсулина является несомненным фактором, предрасполагающим к развитию липогипертрофий. Анализ техники инъекций инсулина больными СД1 и СД2, проведенный в 16 странах мира, выявил типичные ошибки: введение инсулина в одну и ту же область в течение дня (21%), постоянное или эпизодическое введение инсулина в участки липогипертрофии (3% и 26% соответственно) [2]. При анализе ситуации в России оказалось, что 43,5% больных осуществляли инъекции в пределах одной анатомической области, у 41,5% имелись уплотнения в местах инъекций, причем более половины этих больных продолжали выполнять инъекции в измененные участки [1]. Наши данные также указывают на частые нарушения техники введения инсулина, которые допускают больные СД, при этом введение инсулина в места липогипертрофий является одной из наиболее распространенных ошибок. Очевидно, выполнение рекомендаций по технике инъекций и инфузии инсулина [17] является важнейшим условием профилактики липогипертрофий.
Проведенное исследование показало прямые корреляции между площадью, эхоплотностью, суммарным баллом ультразвуковых признаков липогипертрофий и суточной дозой инсулина. Другие авторы также отметили связь наличия липогипертрофий с более высокими дозами инсулина [5]. Вероятно, эта взаимосвязь объясняется нарушением абсорбции инсулина из участков измененной ПЖК. Так, показано, что введение инсулина лизпро в зону липогипертрофии приводит к уменьшению площади под кривой концентрации инсулина в крови в течение 5 ч после инъекции. При этом пик концентрации глюкозы в плазме после еды наступает в среднем на 15 мин позже и оказывается на 25% выше по сравнению с таковым при инъекции инсулина в участок неизмененной ПЖК [6, 18]. С этими данными согласуется зафиксированная нами положительная корреляция между площадью участков липогипертрофии в абдоминальной области и постпрандиальной гликемией, а также отрицательная корреляция индекса кровотока в зонах липогипертрофии с уровнем постпрандиальной гликемии. Таким образом, нарушение кинетики инсулина при введении в участки липогипертрофии может способствовать чрезмерным колебаниям уровня глюкозы в состоянии после еды.
В данном исследовании нами также зафиксированы связи между суммарным ультразвуковым индексом липогипертрофий и повышением концентрации триглицеридов, мочевой кислоты, а также снижением уровня холестерина ЛПВП. Вероятно, связь липогипертрофий с данными метаболическими параметрами не является причинно-следственной: она может отражать независимые связи с аккумуляцией жира на животе и гиперинсулинемией. С одной стороны, нами зафиксированы положительные корреляции между суммарной площадью липогипертрофий в абдоминальной области, толщиной ПЖК в области передней брюшной стенки, ИМТ, окружностью талии и суточной дозой инсулина. С другой стороны, выявлены связи толщины ПЖК в области передней брюшной стенки с уровнем триглицеридов, холестерина ЛПВП, мочевой кислоты и суточной дозой инсулина. Связь липогипертрофий с метаболическими параметрами требует дальнейшего изучения.
Ограничения исследования
Одним из ограничений данного исследования является поперечный дизайн, не позволяющий однозначно судить о причинно-следственных связях между признаками. Проведение исследования в одном клиническом центре, включение госпитализированных больных и относительно небольшой объем выборки могли вызвать систематическое смещение в оценке распространенности липогипертрофий среди пациентов с СД. Гетерогенность включенных пациентов по режимам и длительности инсулинотерапии, видам и дозе инсулина могла «замаскировать» некоторые взаимосвязи между признаками.
Заключение
Развитие липогипертрофий, индуцированных инсулином, остается актуальной проблемой в диабетологии. Данная работа является первым в мире исследованием, в котором изучены ультразвуковые параметры липогипертрофий, индуцированных инсулином, с помощью комплексного протокола, включающего серошкальную денситометрию, соноэластографию и трехмерное допплеровское исследование кровотока с количественной оценкой параметров. Разработанный нами протокол позволяет дать детальную сонографическую характеристику липогипертрофий, индуцированных инсулином.
Проведенное исследование показало высокую распространенность гипертрофических процессов в ПЖК в местах инъекций инсулина у больных СД1 и СД2, возможность их раннего формирования (при длительности инсулинотерапии менее года), а также связь с техникой инъекций, суточной дозой инсулина и постпрандиальной гликемией.
Очевидно, что осмотр и пальпация мест инъекций должны быть обязательной частью работы врача с больными, получающими инсулин. Для выявления «скрытых» липогипертрофий, не выявляемых при осмотре и пальпации, особенно у пациентов с «необъяснимыми» колебаниями гликемии, целесообразно использовать ультразвуковую оценку мест инъекций. У пациентов с распространенными участками липогипертрофии ультрасонография может оказаться полезной в выборе участков неизмененной подкожной клетчатки для последующих инъекций инсулина. Обсуждение с пациентами техники инъекций инсулина должно оставаться в числе приоритетов программ обучения и мониторинга пациентов с СД, получающих инсулин.
Дополнительная информация
Источник финансирования. Работа выполнена за счет средств государственного задания Научно-исследовательского института клинической и экспериментальной лимфологии – филиала ФГБНУ «Федеральный исследовательский центр Институт цитологии и генетики Сибирского отделения Российской академии наук».
Конфликт интересов. Авторы декларируют отсутствие явных и потенциальных конфликтов интересов, связанных с публикацией настоящей статьи.
Участие авторов. Климонтов В.В. – концепция и дизайн исследования, анализ данных, написание текста; Лазарев М.М. – выполнение ультрасонографии, анализ и статистическая обработка данных; Махотин А.А. – разработка протокола УЗИ мест инъекций инсулина, анализ данных; Анисимова Л.А. – выполнение ультрасонографии; Летягин А.Ю. – концепция и дизайн исследования, анализ данных; Булумбаева Д.М., Королева Е.А. – сбор общеклинических данных, анализ результатов; Лыков А.П. – исследование антител к инсулину. Все авторы внесли существенный вклад в проведение исследования и подготовку статьи, прочли и одобрили финальную версию перед публикацией.
Список литературы
1. Мельникова О.Г., Майоров А.Ю. Техника инъекций: результаты анкетирования больных сахарным диабетом в России. Новые международные рекомендации по технике инъекций // Сахарный диабет. – 2010. – Т. 13. – №3. – С. 38-44. [Melnikova OG, Mayorov AYu. The injection technique: results of a questionnaire study of diabetic patients in Russia. New international guidelines on the injection technique. Diabetes mellitus. 2010;13(3):38-44. (In Russ.)] doi: 10.14341/2072-0351-5486
2. De Coninck C, Frid A, Gaspar R, et al. Results and analysis of the 2008-2009 Insulin Injection Technique Questionnaire survey. J Diabetes. 2010;2(3):168-179. doi: 10.1111/j.1753-0407.2010.00077.x
3. Al Ajlouni M, Abujbara M, Batieha A, Ajlouni K. Prevalence of lipohypertrophy and associated risk factors in insulin-treated patients with type 2 diabetes mellitus. Int J Endocrinol Metab. 2015;13(2):e20776. doi: 10.5812/ijem.20776
4. Al Hayek AA, Robert AA, Braham RB, Al Dawish MA. Frequency of Lipohypertrophy and Associated Risk Factors in Young Patients with Type 1 Diabetes: A Cross-Sectional Study. Diabetes Ther. 2016;7(2):259-267. doi: 10.1007/s13300-016-0161-3
5. Ji L, Sun Z, Li Q, et al. Lipohypertrophy in China: Prevalence, Risk Factors, Insulin Consumption, and Clinical Impact. Diabetes Technol Ther. 2017;19(1):61-67. doi: 10.1089/dia.2016.0334
6. Famulla S, Hovelmann U, Fischer A, et al. Insulin Injection Into Lipohypertrophic Tissue: Blunted and More Variable Insulin Absorption and Action and Impaired Postprandial Glucose Control. Diabetes Care. 2016;39(9):1486-1492. doi: 10.2337/dc16-0610
7. Волкова Н.И., Давиденко И.Ю. Липогипертрофии у больных, получающих инсулинотерапию: современное состояние проблемы // Сахарный диабет. – 2011. – Т. 14. – №2. – С. 86-89. [Volkova NI, Davidenko IY. Lypohypertrophy in patients receiving insulin therapy: state of the art. Diabetes mellitus. 2011;14(2):86-89. (In Russ.)] doi: 10.14341/2072-0351-5642
8. Bertuzzi F, Meneghini E, Bruschi E, et al. Ultrasound characterization of insulin induced lipohypertrophy in type 1 diabetes mellitus. J Endocrinol Invest. 2017;40(10):1107-1113. doi: 10.1007/s40618-017-0675-1
9. Gentile S, Strollo F, Ceriello A, Group A-OITS. Lipodystrophy in Insulin-Treated Subjects and Other Injection-Site Skin Reactions: Are We Sure Everything is Clear? Diabetes Ther. 2016;7(3):401-409. doi: 10.1007/s13300-016-0187-6
10. Perciun R, Mihu M. The Subcutis Ultrasound Map of Type 1 Diabetic Children Improves the Diagnosis of Local Dystrophies and Insulin Injection Technique. Pediatrics Research International Journal. 2014:1-11. doi: 10.5171/2014.402780
11. Климонтов В.В., Мякина Н.Е. Вариабельность гликемии при сахарном диабете: инструмент для оценки качества гликемического контроля и риска осложнений // Сахарный диабет. – 2014. – Т. 17. – №2. – С. 76-82. [Klimontov VV, Myakina NE. Glycaemic variability in diabetes: a tool for assessing the quality of glycaemic control and the risk of complications. Diabetes mellitus. 2014;17(2):76-82. (In Russ.)] doi: 10.14341/DM2014276-82
12. Hill NR, Oliver NS, Choudhary P, et al. Normal reference range for mean tissue glucose and glycemic variability derived from continuous glucose monitoring for subjects without diabetes in different ethnic groups. Diabetes Technol Ther. 2011;13(9):921-928. doi: 10.1089/dia.2010.0247
13. Deng N, Zhang X, Zhao F, et al. Prevalence of lipohypertrophy in insulin-treated diabetes patients: A systematic review and meta-analysis. J Diabetes Investig. 2017. doi: 10.1111/jdi.12742
14. Gentile S, Guarino G, Giancaterini A, et al. A suitable palpation technique allows to identify skin lipohypertrophic lesions in insulin-treated people with diabetes. Springerplus. 2016;5:563. doi: 10.1186/s40064-016-1978-y
15. Volkova N, Davidenko I, Rudakova J, Sesukina A. Insulin-induced lipohypertrophy diagnostics in diabetic patients: subcutaneous fat ultrasonography. Endocrine Abstracts. 2015. doi: 10.1530/endoabs.37.EP351
16. Pickup JC, Yemane N, Brackenridge A, Pender S. Nonmetabolic complications of continuous subcutaneous insulin infusion: a patient survey. Diabetes Technol Ther. 2014;16(3):145-149. doi: 10.1089/dia.2013.0192
17. Майоров А.Ю., Мельникова О.Г., Котешкова О.М., и др. Техника инъекций и инфузии при лечении сахарного диабета. Методическое руководство. – М.; 2018. [Mayorov AY, Melnikova OG, Koteshkova OM, et al. Tekhnika in"ektsiy i infuzii pri lechenii sakharnogo diabeta. Metodicheskoe rukovodstvo. Moscow, 2018. (In Russ.)]
18. Hirsch L, Hovelmann U, Famulla S, et al. Insulin injection into regions with lipohypertrophy worsens postprandial blood glucose versus injections into normal adipose tissue. Diabetologia 2015;58(S1):S439. doi: 10.1007/s00125-015-3687-4
Об авторах
Вадим Валерьевич КлимонтовНаучно-исследовательский институт клинической и экспериментальной лимфологии – филиал ФГБНУ «Федеральный исследовательский центр Институт цитологии и генетики Сибирского отделения Российской академии наук»
Россия
д.м.н., профессор
Михил Михайлович Лазарев
Научно-исследовательский институт клинической и экспериментальной лимфологии – филиал ФГБНУ «Федеральный исследовательский центр Институт цитологии и генетики Сибирского отделения Российской академии наук»
Россия
м.н.с.
Алексей Александрович Махотин
Научно-исследовательский институт клинической и экспериментальной лимфологии – филиал ФГБНУ «Федеральный исследовательский центр Институт цитологии и генетики Сибирского отделения Российской академии наук»
Россия
к.м.н.
Андрей Юрьевич Летягин
Научно-исследовательский институт клинической и экспериментальной лимфологии – филиал ФГБНУ «Федеральный исследовательский центр Институт цитологии и генетики Сибирского отделения Российской академии наук»
Россия
д.м.н., профессор
Лилия Алексеевна Анисимова
Научно-исследовательский институт клинической и экспериментальной лимфологии - филиал ФГБНУ «Федеральный исследовательский центр Институт цитологии и генетики Сибирского отделения Российской академии наук»
Россия
врач ультразвуковой диагностики
Динара Мухтаровна Булумбаева
Научно-исследовательский институт клинической и экспериментальной лимфологии – филиал ФГБНУ «Федеральный исследовательский центр Институт цитологии и генетики Сибирского отделения Российской академии наук»
Россия
м.н.с.
Елена Анатольевна Королева
Научно-исследовательский институт клинической и экспериментальной лимфологии – филиал ФГБНУ «Федеральный исследовательский центр Институт цитологии и генетики Сибирского отделения Российской академии наук»
Россия
к.м.н, c.н.с.
Александр Петрович Лыков
Научно-исследовательский институт клинической и экспериментальной лимфологии – филиал ФГБНУ «Федеральный исследовательский центр Институт цитологии и генетики Сибирского отделения Российской академии наук»
Россия
к.м.н., в.н.с.
Дополнительные файлы
|
|
1. Рисунок 1 | |
| Тема | ||
| Тип | Исследовательские инструменты | |
Посмотреть
(109KB)
|
Метаданные ▾ | |
|
|
2. Рисунок 2 | |
| Тема | ||
| Тип | Исследовательские инструменты | |
Посмотреть
(180KB)
|
Метаданные ▾ | |
|
|
3. Рисунок 3 | |
| Тема | ||
| Тип | Исследовательские инструменты | |
Посмотреть
(130KB)
|
Метаданные ▾ | |
|
|
4. Рисунок 4 | |
| Тема | ||
| Тип | Исследовательские инструменты | |
Посмотреть
(181KB)
|
Метаданные ▾ | |
|
|
5. Рис. 1. Гиперэхогенный участок липогипертрофии в подкожной клетчатке передней брюшной стенки в зоне инъекций инсулина у больного сахарным диабетом. Серошкальное сканирование в B-режиме. | |
| Тема | ||
| Тип | Исследовательские инструменты | |
Посмотреть
(549KB)
|
Метаданные ▾ | |
|
|
6. Рис. 2. Гетерогенный участок липогипертрофии повышенной жесткости в подкожной клетчатке передней брюшной стенки у больного сахарным диабетом. Слева: серошкальное сканирование в B-режиме, справа: компрессионная соноэластография, исследование в режиме реального времени (Real Time Elastography). Синим цветом окрашены участки повышенной жесткости. | |
| Тема | ||
| Тип | Исследовательские инструменты | |
Посмотреть
(858KB)
|
Метаданные ▾ | |
|
|
7. Рис. 3. Реконструкция участка липогипертрофии в подкожной клетчатке передней брюшной стенки в зоне инъекций инсулина у больного сахарным диабетом. Режим 3D-ангио. 1 – кровеносные сосуды в подкожной клетчатке в режиме энергетического допплера; 2 – гиповаскулярная зона в области участка липогипертрофии. | |
| Тема | ||
| Тип | Исследовательские инструменты | |
Посмотреть
(693KB)
|
Метаданные ▾ | |
|
|
8. Рис. 4. Анализ васкуляризации участка липогипертрофии в подкожной клетчатке передней брюшной стенки в зоне инъекций инсулина у больного сахарным диабетом. Программа VOCAL™ (Virtual Organ Computer Aided anaLysis). Вверху: значения индексов васкуляризации; внизу слева: реконструкция участка липогипертрофии в режиме 3D-ангио; внизу справа: объемная реконструкция участка липогипертрофии. | |
| Тема | ||
| Тип | Исследовательские инструменты | |
Посмотреть
(924KB)
|
Метаданные ▾ | |
Рецензия
Для цитирования:
Климонтов В.В., Лазарев М.М., Махотин А.А., Летягин А.Ю., Анисимова Л.А., Булумбаева Д.М., Королева Е.А., Лыков А.П. Липогипертрофии, индуцированные инсулином: клиническая и ультразвуковая характеристика. Сахарный диабет. 2018;21(4):255-263. https://doi.org/10.14341/DM9549
For citation:
Klimontov V.V., Lazarev M.M., Makhotin A.A., Letyagin A.J., Anisimova L.A., Bulumbaeva D.M., Koroleva E.A., Lykov A.P. Insulin-induced lipohypertrophy: clinical and ultrasound characteristics. Diabetes mellitus. 2018;21(4):255-263. https://doi.org/10.14341/DM9549
Контент доступен под лицензией Creative Commons Attribution-NonCommercial-NoDerivatives 4.0 International License (CC BY-NC-ND 4.0).









































