Перейти к:
Генетические характеристики формирования грануляционной ткани у пациентов с нейропатической формой синдрома диабетической стопы
https://doi.org/10.14341/DM9291
Аннотация
Обоснование. Процессы заживления ран нижних конечностей замедлены при сахарном диабете (СД). В различных исследованиях показана роль контроля диабета, цитокинов и факторов роста в этих процессах. Однако роль генов, определяющих пролиферацию клеток, синтез коллагена, формирование здоровой грануляционной ткани, остается малоизученной.
Цель. Изучить особенности экспрессии генов коллагенов на различных фазах раневого процесса у лиц с нейропатической формой синдрома диабетической стопы (СДС).
Методы. В проспективное исследование включены 4 больных с нейропатической формой СДС после проведенной хирургической обработки, у которых были взяты образцы тканей для морфологического и генетического исследования на 0, 10 и 15-е сутки местного лечения с целью оценки экспрессии генов коллагенов COL1A1, COL1A2, COL3A1. Стадия раневого процесса оценивалась по гистологической картине.
Результаты. В ходе исследования подтверждено, что размер ран включенных в исследование больных уменьшился на 8,8±7% через 10 дней местного лечения и на 18,3±8% через 15 дней терапии. Согласно данным гистологического исследования биоптатов раневого ложа, через 10 дней у всех больных отмечалась тенденция к уменьшению воспалительного инфильтрата, к нарастанию количества фибробластоподобных клеток, фиксировалось наличие созревающей грануляционной ткани и появление формирующихся волокон соединительной ткани. Однако через 15 дней в тканях всех пациентов обнаружена сохраняющаяся воспалительная инфильтрация, несмотря на формирование зрелой грануляционной ткани. По результатам генетического исследования на 10-е сутки местного лечения ран выявлена тенденция к увеличению экспрессии гена COL1A1 в 3,2±1,3 раза, экспрессии гена COL1A2 в среднем в 2,0±1,0 раз, а экспрессии гена COL3A1 – в 1,25±1,1 раза по сравнению с исходными показателями. На 15-е сутки местного лечения отмечается тенденция к снижению экспрессии генов COL1A1 и COL1A2: по сравнению с исходными данными экспрессия COL1A1 снизилась в 1,7±0,6 раза, а экспрессия генов COL1A2 и COL3A1 уменьшилась в 2,5±2 раза и в 20,0±3 раза соответственно.
Заключение. Экспрессия генов коллагенов (COL1A1, COL1A2, COL3A1) более выражена в фазу пролиферации и снижается к ее окончанию, что подтверждается клинической картиной и данными морфологического исследования.
Для цитирования:
Зайцева Е.Л., Токмакова А.Ю., Воронкова И.А., Петров В.М., Тюльпаков А.Н., Шестакова М.В. Генетические характеристики формирования грануляционной ткани у пациентов с нейропатической формой синдрома диабетической стопы. Сахарный диабет. 2017;20(5):344-349. https://doi.org/10.14341/DM9291
For citation:
Zaitseva E.L., Tokmakova A.Y., Voronkova I.A., Petrov V.M., Tiulpakov A.N., Shestakova M.V. Genetic parameters of wound healing in patients with neuropatic diabetic foot ulcers. Diabetes mellitus. 2017;20(5):344-349. (In Russ.) https://doi.org/10.14341/DM9291
ОБОСНОВАНИЕ
Хронические раневые дефекты нижних конечностей развиваются у 25% больных сахарным диабетом (СД) в течение жизни, что гораздо выше, чем в общей популяции. Это позволяет сделать предположение, что у лиц с нарушенным углеводным обменом исходно имеется предрасположенность к снижению скорости заживления травматических повреждений мягких тканей [1].
Репаративные процессы замедлены при СД, что преимущественно обусловлено длительным течением и неудовлетворительным контролем заболевания [2]. Это выражается как снижением выработки местных факторов роста, так и нарушением формирования коллагеновой сети [3].
Было доказано, что у лиц с СД репаративные процессы замедлены, что выражается в наличии межклеточного отека, плохой организации экстрацеллюлярного матрикса (ЭЦМ) по данным световой микроскопии [4].
Коллаген – один из важнейших белков ЭЦМ. Различают более 20 типов коллагена, однако самыми распространенными являются коллагены I, II, III типов. Коллагены I и III типов синтезируются фибробластами и преимущественно представлены в коже, костной ткани, связках, хрящах, сухожилиях. Они взаимодействуют с различными клетками и регулируют их миграцию и пролиферацию [5, 6]. Коллаген III типа начинает синтезироваться в ране через 10 ч после повреждения, в дальнейшем он заменятся на коллаген I типа [7].
В ходе эксперимента на лабораторных моделях было зафиксировано существенное различие в экспрессии генов коллагена I и III типов в коже в группах животных с СД и без него. В группе с диабетом (n=4) отмечалось снижение экспрессии генов коллагена I типа и повышение экспрессии генов коллагена III типа по сравнению с контролем [8].
В различных исследованиях было показано, что соотношение коллагена I типа к III типу может быть использовано в качестве прогностического маркера успешного заживления раны [9, 10]. Bermudez DM и соавт. обнаружили, что в группе мышей без диабета соотношение I и III типов коллагена значительно выше, чем в группе с диабетом. Однако среди доступных литературных данных нет свидетельств оценки динамики экспрессии коллагена на фоне местного лечения хронических раневых дефектов при синдроме диабетической стопы (СДС) [11].
Таким образом, анализ генетических механизмов и возможный поиск генов-маркеров репарации тканей у лиц с СД представляет собой особый интерес как для фундаментальной, так и для практической медицины.
ЦЕЛЬ
Изучить особенности экспрессии генов коллагенов на различных фазах раневого процесса у лиц с нейропатической формой СДС.
МЕТОДЫ
Дизайн исследования
Работа выполнена в дизайне открытого проспективного исследования, в которое были включены пациенты с СД 2 типа (СД2) и нейропатической формой СДС, находившиеся на стационарном лечении в отделении диабетической стопы ФГБУ НМИЦ эндокринологии. После проведенной хирургической обработки у пациентов производился забор материала раневого ложа для морфологического и генетического исследований. Через 10 и 15 дней после начала местного лечения у пациентов также брали биообразцы для проведения контрольных исследований.
Критерии соответствия
Четыре пациента с нейропатической формой СДС были включены в исследование.
Критерии включения
- Наличие СД2.
- Пациенты старше 21 года и младше 80 лет.
- Гликированный гемоглобин (HbA1c) ниже 12%.
- Наличие нейропатической формы СДС.
- Наличие раневого дефекта стопы, классификация Wagner II и III ст.
- Отсутствие активной раневой инфекции после проведения хирургической обработки раны на момент включения в исследование.
Критерии невключения
- Отсутствие нарушений углеводного обмена.
- СД 1 типа.
- Возраст младше 21 года и старше 80 лет.
- HbA1c выше 12,1%.
- Наличие критической ишемии пораженной конечности.
- Активная раневая инфекция.
- Раны стоп Wagner 0–I и IV ст.
Условия проведения
Исследование проведено в многопрофильном специализированном эндокринологическом стационаре (отделение диабетической стопы ФГБУ НМИЦ эндокринологии).
Гистологическое исследование выполнено на базе лаборатории гистологии и иммуногистохимии с группой криобанкинга НМИЦ эндокринологии.
Генетическое исследование выполнено в отделении наследственных эндокринопатий.
Согласно текущим рекомендациям по ведению больных с СДС [12], все больные, включенные в исследование, получали адекватную разгрузку пораженной конечности и антибактериальную терапию. В ходе госпитализации у всех пациентов контроль гликемии был удовлетворительным с достижением индивидуальных целевых значений. Местное лечение ран стоп проводилось с использованием нейтральных атравматических перевязочных средств.
Продолжительность исследования
Набор пациентов в исследование проведен в период с декабря 2016 г. по март 2017 г. Март 2017 г. – июнь 2017 г. – проведение гистологического и генетического исследований. Июль 2017 г. – обработка полученных данных, написание статьи.
Описание медицинского вмешательства
После проведенной хирургической обработки ран на 0, 10 и 15-й день местного лечения у пациентов были взяты биоптаты раневого ложа объемом 1 см3 для проведения гистологического и генетического исследований.
Образец ткани для проведения генетического исследования фиксировали в растворе RNAlater и хранили при температуре -22–15 °С.
Генетическое исследование проводилось в несколько этапов.
- Выделение РНК. Суммарные РНК выделяли при помощи набора RNAqueous (Ambion, США) по протоколу, рекомендованному производителем, с одновременным удалением геномной ДНК. Немедленно после отбора ткань помещали в стабилизирующий раствор RNAlater (Ambion, США) и хранили при -70 °С. Гомогенизацию тканей проводили при помощи автоматического гомогенизатора Мagna Lyser (Roche, Швейцария) с использованием керамических шариков Мagna Lyser Green Beads (Roche, Швейцария). Полученные клеточные лизаты наносили на ДНК/РНК-связываюшие картриджи (Ambion, США), которые затем обрабатывали ДНКазой I (PureLinkDNase, ThermoFisherScientific, США) для удаления геномной ДНК. Суммарные РНК элюировали, измеряли их концентрацию набором Qubit RNA HS AssayKit (LifeTechnologies, США) и хранили при -70 °С.
- Синтез кДНК. Синтез первой цепи кДНК проводили обратной транскриптазой SuperScript III при помощи набора The Super Script VIL OcDNA SynthesisKit (ThermoFisherScientific, США) по протоколу, рекомендованному производителем. Синтезированная кДНК использовалась немедленно для создания транскриптомных библиотек.
- Библиотеки транскриптомов. Полученные кДНК использовали для амплификации 200–400 нт фрагментов (ампликонов) при помощи панели праймеров The Ion AmpliSeq™ Human Gene Expression Core Panel (LifeTechnologies, США) с использованием набора Ion Ampli Seq Library Kit Plus (LifeTechnologies, США) по протоколу, рекомендованному производителем. Реакцию проводили на амплификаторе Veriti (LifeTechnologies, США). Полученные смеси ампликонов (библиотеки транскриптомов) обрабатывали экзонуклеазой FuPa (LifeTechnologies, США) для частичной деградации праймеров и затем проводили лигирование олигонуклеотидных адаптеров, необходимых для дальнейшей амплификации библиотек при помощи эмульсионной ПЦР. Полученные библиотеки очищали на магнитных частицах AgencourtAMPure XP (Beckman Coulter, США). Концентрации библиотек измеряли методом ПЦР в реальном времени с использованием набора Ion Library Quantitation Kit (LifeTechnologies, США) и библиотеки хранили при -20 °С.
- Амплификация библиотек на ISP микрочастицах. Амплификацию полученных библиотек на микрочастицах проводили эмульсионной ПЦР на амплификаторе IonTorrentOneTouch 2 (LifeTechnologies, США) по протоколу, рекомендованному производителем, с использованием набора Ion PI Template OT2 200 Kit В результате были получены микрочастицы ISP (IonSphereParticles) с иммобилизованными на них библиотеками транскриптомов. Для использования в реакции секвенирования ISP обогащали при помощи стрептавидин-содержащих частиц MyOneStreptavidinC1 Beads (LifeTechnologies, США) на приборе IonOneTouchES (LifeTechnologies, США).
- Секвенирование библиотек транскриптомов. Секвенирование проводили на полупроводниковом секвенаторе нового поколения IonProton (LifeTechnologies, США) с использованием набора IonPIHi-QSequencing 200 Kit (LifeTechnologies, США) и полупроводникового чипа IPChipV.3 (LifeTechnologies, США) по протоколу, рекомендованному производителем. В качестве эндогенных контролей использовались транскрипты генов: TBP, GUSB, PGK1 и HMBS.
Материал для гистологического исследования фиксировали в 10% растворе формалина, затем заливали в парафин по обычной методике.
Серийные срезы толщиной 3–5 мкм депарафинировали по стандартной схеме и окрашивали гематоксилином и эозином.
Степень выраженности отека, экстрацеллюлярного матрикса и воспалительного инфильтрата оценивались полуколичественным методом.
Основной исход исследования
Основными конечными точками исследования были показатели экспрессии генов коллагенов на различных этапах заживления ран.
Дополнительные исходы исследования
Оценивали взаимосвязь динамики экспрессии генов коллагенов на различных фазах раневого процесса с гистологической и клинической картиной.
Анализ в подгруппах
Участники исследования не были разделены на группы и подгруппы.
Методы регистрации исходов
Размеры раневых дефектов были оценены путем определения их площади и глубины.
Параметры площади были оценены методом очерчивания контура раны и подсчетом квадратных сантиметров внутри контура.
Гистологические критерии воспаления, регенерации и зрелости грануляционной ткани были оценены количественным методом согласно общепринятым принципам (классификация Давыдовского и Кузина).
Динамика экспрессии генов коллагена 1 типа (COL1A1, COL1A2) и коллагена 3 типа (COL3A1) определялась с помощью стандартного для данного вида исследований программного обеспечения.
Этическая экспертиза
Информированное согласие на проведение того или иного метода диагностики и терапии было подписано всеми пациентами. Протокол данного исследования одобрен на заседании локального этического комитета ФГБУ ЭНЦ 28 ноября 2012 года (протокол №18).
Статистический анализ
Принципы расчета размера выборки. Размер выборки предварительно не рассчитывался.
Методы статистического анализа данных. Статистическая обработка полученных данных осуществлена с помощью программы STATISTICA (StatSoft Inc. США, версия 6.0). В связи с малыми объемами выборок принято решение применить непараметрические методы анализа данных, методы описательной статистики (среднее; среднеквадратичное отклонение). Учитывая низкую репрезентативность выборки, другие методы статистического анализа не применялись.
РЕЗУЛЬТАТЫ
Объекты (участники) исследования
В исследование включены пациенты с СД2, 2 женщины и 2 мужчин, средний возраст составлял 57±3 года, длительность заболевания – 10,7±5 лет, контроль диабета – неудовлетворительный, средние значения HbA1c 10,4±3%. У всех пациентов диагностирована нейропатическая форма СДС, диабетическая ретинопатия (препролиферативная – 2, пролиферативная – 2), диабетическая нефропатия (ХБП С1А1 – 1, ХБП С2А1 – 1, ХБП С3А2 – 2). Длительность течения СДС – 2±0,6 года. Согласно классификации Wagner, раневые дефекты II ст. – 2, III ст. – 2. Средняя площадь раны составляла 15,9±6 см2. У всех пациентов, включенных в исследование, отсутствовали клинические признаки критической ишемии нижней конечности, что было подтверждено результатами инструментальных исследований (УЗДС артерий нижних конечностей и транскутанная оксиметрия). Всем пациентам проводились хирургическая обработка раны, разгрузка нижней конечности с помощью разгрузочного полубашмака, антибактериальная терапия. В ходе госпитализации у всех больных достигнуты индивидуальные целевые значения гликемии.
Основные результаты исследования
В ходе исследования подтверждено, что размер ран включенных в исследование пациентов уменьшился на 8,8±7% через 10 дней местного лечения и на 18,3±8% через 15 дней после начала местного лечения. Согласно данным гистологического исследования биоптатов ран, через 10 дней у всех больных отмечалась тенденция к уменьшению воспалительного инфильтрата, к нарастанию количества фибробластоподобных клеток, фиксировались наличие созревающей грануляционной ткани и появление формирующихся волокон соединительной ткани. Через 15 дней местного лечения в ранах всех включенных в исследование больных отмечено формирование зрелой грануляционной ткани.
По результатам генетического исследования на 10-е сутки местного лечения ран отмечена тенденция к увеличению экспрессии генов COL1A1 в 3,2±1,3 раза, экспрессии гена COL1A2 в среднем в 2,0±1,0 раз, а экспрессии гена COL3A1 в 1,25±1,1 раза по сравнению с исходными показателями.
По данным генетического исследования, на 15-е сутки местного лечения отмечается тенденция к снижению экспрессии генов коллагенов I и III типов. Экспрессия генов COL1A2 и COL3A1 уменьшилась в 2,5±2 раза и в 20,0±3 раза соответственно, по сравнению с исходными данными. Однако, несмотря на тенденцию к снижению экспрессии COL1A1, на 15-е сутки местного лечения, показатели экспрессии данного гена по-прежнему превышали исходные в 1,7±0,6 раза.
Дополнительные результаты исследования
Несмотря на формирование зрелой грануляционной ткани, по данным световой микроскопии на 15-е сутки местного лечения отмечалось сохранение воспалительной инфильтрации.
Нежелательные явления
В ходе исследования нежелательных явлений зафиксировано не было.
ОБСУЖДЕНИЕ
Резюме основного результата исследования
В исследование было включено 4 пациента с нейропатической формой СДС после хирургической обработки раны. До начала местного лечения был проведен забор биоптатов раневого ложа для проведения морфологического и генетического исследования.
В ходе исследования зафиксировано уменьшение размеров ран на 10-е и 15-е сутки местного лечения, а также тенденция к повышению экспрессии генов коллагена I и III типа на 10-й день и тенденция к ее снижению на 15-й день местного лечения.
Учитывая малый объем выборки, полученные данные не могут считаться достоверными и требуют дальнейшего изучения.
Обсуждение основного результата исследования
Согласно многочисленным исследованиям, процессы заживления у пациентов с СД замедлены. Это обусловлено нарушением экспрессии факторов роста и цитокинов, повышенной протеолитической активностью, что выражается в повышении уровней матриксных металлопротеиназ, способствующих деградации коллагеновых структур [1, 2, 3]. В результате этого рана «застревает» на одном из этапов заживления и хронизируется.
Высказывается предположение, что в условиях длительной стойкой гипергликемии имеется генетическая предрасположенность к замедленному заживлению [11], таким образом, целью данного исследования явилось изучение особенности экспрессии генов коллагенов на различных стадиях раневого процесса у лиц с нейропатической формой СДС.
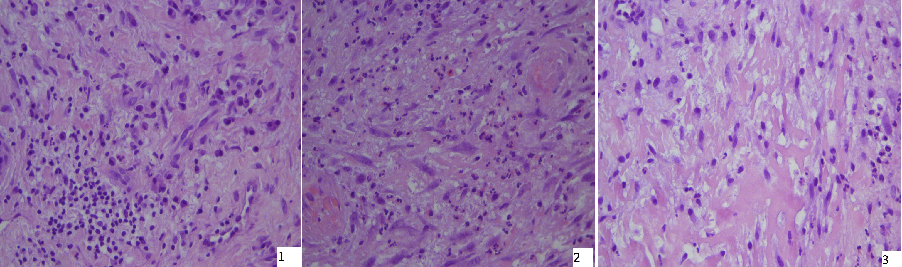
В ходе исследования зарегистрировано клинически значимое уменьшение размера раневых дефектов на 8,8±7% через 10 дней местного лечения и на 18,3±8% через 15 дней после начала местного лечения. Согласно данным гистологического исследования биоптатов ран, через 10 дней у всех больных определялся переход раны из фазы воспаления в фазу пролиферации: отмечалась тенденция к уменьшению воспалительного инфильтрата, к нарастанию количества фибробластоподобных клеток, фиксировалось наличие созревающей грануляционной ткани и появление формирующихся волокон соединительной ткани. Через 15 дней местного лечения в ранах всех включенных в исследование больных отмечено формирование зрелой грануляционной ткани, однако сохранялось наличие клеток воспалительного инфильтрата (смешанная лимфо- и лейкоцитарная инфильтрация). Типичная гистологическая картина биоптатов ран пациентов, включенных в исследование, представлена на рис. 1. Таким образом, несмотря на удовлетворительный гликемический контроль, отсутствие признаков инфекции по данным клинической картины, соблюдение условий разгрузки пораженной конечности и ежедневные перевязки ран, во всех ранах имеются признаки воспаления, что может говорить о нарушении репаративных процессов в ране. Полученные данные согласуются с результатами исследований Комелягиной Е.Ю. с соавт., где были зафиксированы наличие неполной репарации и склонность к фиброзу у пациентов с нейропатической формой СДС длительностью более года [13], а также с результатами зарубежных исследователей, где были зафиксированы увеличение количества фибробластов и сохранение полиморфноядерных лейкоцитов на 3-и сутки местного лечения у лабораторных моделей [7].
Рис. 1. Типичная гистологическая картина биоптатов раны на 0, 10, 15-е сутки местного лечения: 1) Эпидермис сохранен, в дерме очаги плазмоцитарной и лимфоцитарной инфильтрации; 2) Созревающая грануляционная ткань представлена мелкими сосудами, диффузной лимфо- и лейкоцитарной инфильтрацией (сегментоядерные нейтрофилы) и нежной рыхлой соединительной тканью; 3) Зрелая грануляционная ткань, умеренная лимфоцитарная инфильтрация и лейкоцитарная инфильтрация, представленная плазмоцитами с преобладанием сегментоядерных нейтрофилов, выраженная пролиферация фибробластов, сосудистый лейкостаз.
По результатам генетического исследования, на 10-е сутки местного лечения ран отмечена тенденция к увеличению экспрессии генов COL1A1 в 3,2±1,3 раза, экспрессии гена COL1A2 в среднем в 2,0±1,0 раза, а экспрессия гена COL3A1 – в 1,25±1,1 раза по сравнению с исходными показателями.
Полученные данные свидетельствуют о нарушении синтеза коллагена, что не согласуется с данными исследования Moura LI и соавт., где на 3-и сутки местного лечения было зафиксировано снижение экспрессии генов коллагенов I и III типов (COL1A1, COL1A2, COL3A1) [8].
На 15-е сутки местного лечения отмечается тенденция к снижению экспрессии генов COL1A1 и COL1A2: по сравнению с исходными данными экспрессия COL1A1 увеличилась в 1,7±0,6 раза, а экспрессия генов COL1A2 и COL3A1 уменьшилась в 2,5±2 раза и в 20,0±3 раза соответственно. Полученные данные согласуются с результатами морфологического исследования биоптатов ран, где отмечалось наличие зрелой грануляционной ткани с сохраняющимся воспалительным инфильтратом.
Уменьшение экспрессии гена коллагена III типа к 15-м суткам лечения можно объяснить его замещением на коллаген I типа. Однако снижение экспрессии гена COL1A2 требует дальнейшего изучения на большей выборке.
Ограничения исследования
Учитывая малый объем выборки больных и небольшие сроки наблюдения, полученные данные невозможно экстраполировать на общую популяцию.
В связи с малой длительностью наблюдения недостаточно данных об отдаленных результатах, что требует продолжения исследования и проведения статистического анализа в полном объеме.
ЗАКЛЮЧЕНИЕ
Согласно полученным результатам, у лиц с нейропатической формой СДС, по данным генетического исследования, репаративные процессы замедлены. При переходе раны в фазу пролиферации отмечается повышение экспрессии генов коллагена I и III типа, однако к 15-м суткам местного лечения их экспрессия существенно снижается, что согласуется с данными гистологического исследования.
ДОПОЛНИТЕЛЬНАЯ ИНФОРМАЦИЯ
Источник финансирования. Работа проведена в рамках выполнения государственного задания «Репарация тканей при сахарном диабете: клинические, морфологические, генетические аспекты и их роль в формировании дифференцированных терапевтических подходов у больных с трофическими язвами нижних конечностей».
Конфликт интересов. Авторы данной статьи подтвердили отсутствие конфликта интересов, о котором необходимо сообщить.
Участие авторов. Е.Л. Зайцева – сбор материала, анализ полученных данных, написание статьи; А.Ю. Токмакова – разработка дизайна исследования, написание статьи; И.А. Воронкова – проведение морфологического исследования, описание его результатов; В.М. Петров – проведение генетического исследования; А.Н. Тюльпаков – анализ полученных данных, написание статьи; М.В. Шестакова – определение концепции исследования, редактирование статьи.
Благодарности. Авторы выражают свою благодарность сотрудникам отделения диабетической стопы, лаборатории гистологии и иммуногистохимии с группой криобанкинга и отделения наследственных эндокринопатий ФГБУ «НМИЦ эндокринологии» МЗ РФ за помощь в проведении данного исследования.
Список литературы
1. Singh N, Armstrong DG, Lipsky BA. Preventing foot ulcers in patients with diabetes. JAMA. 2005;293(2):217–228. doi: 10.1001/jama.293.2.217
2. Baltzis D, Eleftheriadou I, Veves A. Pathogenesis and Treatment of Impaired Wound Healing in Diabetes Mellitus: New Insights. Adv Ther. 2014;31(8):817–836. doi: 10.1007/s12325-014-0140-x
3. Krafts KP. Tissue repair. The hidden drama. Organogenesis. 2010;6(4):225–233. doi: 10.4161/org.6.4.12555
4. Зайцева Е.Л., Доронина Л.П., Молчков Р.В., и др. Морфологическая и иммуногистохимическая характеристика интенсивности репаративных процессов в мягких тканях нижних конечностей у лиц с нейропатической и нейроишемической формами синдрома диабетической стопы // Сахарный диабет. – 2015. – Т. 18. – №4. – С. 72-78. [Zaitseva EL, Doronina LP, Molchkov RV, et al. The morphological characteristic of tissue repair in patients with neuropathic and neuroischemic forms of diabetic foot syndrome. Diabetes mellitus. 2015:18(4):72-78. (In Russ.)] doi: 10.14341/DM7587
5. Slaughter BV, Shahana SK, Fisher OZ, et al. Hydrogels in regenerative medicine. Adv Mater. 2009;21(32-33):3307-3329. doi: 10.1002/adma.200802106
6. Malafaya B, Silva GA, Reis RL. Natural-origin polymers as carriers and scaffolds for biomolecules and cell delivery in tissue engineering applications. Adv Drug Deliv Rev. 2007;59(4-5):207-233. doi: 10.1016/j.addr.2007.03.012
7. Calabrese EJ. Historical foundations of wound healing and its potential for acceleration: dose-response considerations. Wound Repair Regen. 2013;21(2):180-193. doi: 10.1111/j.1524-475X.2012.00842.x
8. Moura LI, Dias AM, Suesca E, et al. Neurotensin-loaded collagen dressings reduce inflammation and improve wound healing in diabetic mice. Biochim Biophys Acta. 2014;1842(1):32-43. doi: 10.1016/j.bbadis.2013.10.009
9. Stadelmann WK, Digenis AG, Tobin GR. Physiology and healing dynamics of chronic cutaneous wounds. Am J Surg. 1998;176(2 Suppl 1):26–38. doi: 10.1016/s0002-9610(98)00183-4
10. Birk DE, Mayne R. Localization of collagen types I, III and V during tendon development. Changes in collagen types I and III are correlated with changes in fibril diameter. Eur J Cell Biol. 1997;72(4):352–361. doi: 10.1071/r97003
11. Bermudez DM, Herdrich BJ, Xu J, et al. Impaired Biomechanical Properties of Diabetic Skin. Implications in Pathogenesis of Diabetic Wound Complications. AJP. 2011;178(5)2215-2223. doi: 10.1016/j.ajpath.2011.01.015
12. Дедов И.И., Шестакова М.В., Майоров А.Ю., и др. Алгоритмы специализированной медицинской помощи больным сахарным диабетом / Под редакцией И.И. Дедова, М.В. Шестаковой, А.Ю. Майорова. – 8-й выпуск // Сахарный диабет. – 2017. – Т. 20. – №1S. – C. 1-121. [Dedov II, Shestakova MV, Mayorov AY, et al. Standards of specialized diabetes care. Edited by Dedov II, Shestakova MV, Mayorov AY. 8th edition. Diabetes mellitus. 2017;20(1S):1-121. (In Russ.)] doi: 10.14341/DM20171S8
13. Комелягина Е.Ю., Коган Е.А., Анциферов М.Б. Клинико-морфологические параметры и маркеры репарации нейропатических язвенных дефектов при синдроме диабетической стопы // Сахарный диабет. – 2015. – Т. 18. – №3. – С. 70-76. [Komelyagina EY, Kogan EA, Antsiferov MB. Clinical and morphological characteristics with markers of reparation in neuropathic diabetic foot ulcers. Diabetes mellitus. 2015:18(3):70-76. (In Russ.)] doi: 10.14341/DM2015370-76
Об авторах
Екатерина Леонидовна ЗайцеваФГБУ Национальный медицинский исследовательский центр эндокринологии Минздрава России
Россия
к.м.н., научный сотрудник отделения диабетической стопы ФГБУ ЭНЦ
Конфликт интересов:
Конфликт интересов отсутствует
Алла Юрьевна Токмакова
ФГБУ Национальный медицинский исследовательский центр эндокринологии Минздрава России
Россия
д.м.н.
Конфликт интересов:
Конфликт интересов отсутствует
Ия Александровна Воронкова
ФГБУ Национальный медицинский исследовательский центр эндокринологии Минздрава России
Россия
к.м.н.
Конфликт интересов:
Конфликт интересов отсутствует
Василий Михайлович Петров
ФГБУ Национальный медицинский исследовательский центр эндокринологии Минздрава России
Россия
к.м.н.
Конфликт интересов:
Конфликт интересов отсутствует
Анатолий Николаевич Тюльпаков
ФГБУ Национальный медицинский исследовательский центр эндокринологии Минздрава России
Россия
д.м.н., профессор
Конфликт интересов:
Конфликт интересов отсутствует
Марина Владимировна Шестакова
ФГБУ Национальный медицинский исследовательский центр эндокринологии Минздрава России
Россия
д.м.н., профессор, академик РАН
Конфликт интересов:
Конфликт интересов отсутствует
Дополнительные файлы
|
|
1. Неозаглавлен | |
| Тема | ||
| Тип | Исследовательские инструменты | |
Посмотреть
(940KB)
|
Метаданные ▾ | |
|
|
2. Рис. 1. Типичная гистологическая картина биоптатов раны на 0, 10, 15-е сутки местного лечения: 1) Эпидермис сохранен, в дерме очаги плазмоцитарной и лимфоцитарной инфильтрации; 2) Созревающая грануляционная ткань представлена мелкими сосудами, диффузной лимфо- и лейкоцитарной инфильтрацией (сегментоядерные нейтрофилы) и нежной рыхлой соединительной тканью; 3) Зрелая грануляционная ткань, умеренная лимфоцитарная инфильтрация и лейкоцитарная инфильтрация, представленная плазмоцитами с преобладанием сегментоядерных нейтрофилов, выраженная пролиферация фибробластов, сосудистый лейкостаз. | |
| Тема | ||
| Тип | Исследовательские инструменты | |
Посмотреть
(940KB)
|
Метаданные ▾ | |
Рецензия
Для цитирования:
Зайцева Е.Л., Токмакова А.Ю., Воронкова И.А., Петров В.М., Тюльпаков А.Н., Шестакова М.В. Генетические характеристики формирования грануляционной ткани у пациентов с нейропатической формой синдрома диабетической стопы. Сахарный диабет. 2017;20(5):344-349. https://doi.org/10.14341/DM9291
For citation:
Zaitseva E.L., Tokmakova A.Y., Voronkova I.A., Petrov V.M., Tiulpakov A.N., Shestakova M.V. Genetic parameters of wound healing in patients with neuropatic diabetic foot ulcers. Diabetes mellitus. 2017;20(5):344-349. (In Russ.) https://doi.org/10.14341/DM9291
Контент доступен под лицензией Creative Commons Attribution-NonCommercial-NoDerivatives 4.0 International License (CC BY-NC-ND 4.0).









































