Prevention of macular oedema after cataract surgery in patients with diabetes mellitus
https://doi.org/10.14341/DM8729
Abstract
Nowadays, diabetes mellitus is an important public health problem. Together, population growth, prevalence of obesity, and a sedentary lifestyle has led to an increased number of individuals with diabetes mellitus. Globally, cataracts remain the leading cause of blindness and the second cause of visual impairment among patients with diabetes mellitus.
Phacoemulsification with intraocular lens implantation is the standardised surgical technique to treat cataracts. Advances in cataract surgical techniques have significantly decreased the incidence of complications. However, surgery may not be safe, as the risk of complications increases in patients with diabetes mellitus with pre-existing blood–ocular barrier pathology. Cystoid macular oedema is one of the most severe postoperative complications after cataract surgery. It is considered the most important cause of suboptimal visual acuity and strongly affects early recovery.
The optimal pharmacological therapy for prevention of CME following cataract surgery in patients with diabetes mellitus continues to be debated and needs further investigation.
About the Authors
Irina A. BashinaRUDN University
Russian Federation
MD
Competing Interests:
No conflict of interests
Michael A. Frolov
RUDN University
Russian Federation
MD, PhD, Professor
Competing Interests:
No conflict of interests
Dmitriy V. Lipatov
RUDN University; Endocrinology Research Centre
Russian Federation
MD, PhD, Professor
Competing Interests:
No conflict of interests
References
1. Дедов И.И., Шестакова М.В., Сунцов Ю.И., и др. Результаты реализации подпрограммы «Сахарный диабет» Федеральной целевой программы «Предупреждение и борьба с социально значимыми заболеваниями 2007-2012 годы» // Сахарный диабет. – 2013. – Т. 16. – №2S. – C. 1-48. [Dedov II, Shestakova MV, Suntsov YI, et al. Federal targeted programme «Prevention and Management of Socially Significant Diseases (2007-2012)»: results of the Diabetes mellitus sub-programme. Diabetes mellitus. 2013;16(2S):1-48. (In Russ.)] doi: 10.14341/2072-0351-3879
2. Дедов И.И., Шестакова М.В., Викулова О.К. Государственный регистр сахарного диабета в Российской Федерации: статус 2014 г. и перспективы развития // Сахарный диабет. – 2015. – T. 18. – №3. – С. 5-22. [Dedov II, Shestakova MV, Vikulova OK. National register of diabetes mellitus in Russian Federation. Diabetes mellitus. 2015;18(3):5-22. (In Russ.)] doi: 10.14341/DM201535-22
3. Irvine SR. A newly defined vitreous syndrome following cataract surgery. Am J Ophthalmol. 1953;36(5):599-619.
4. Gass JD, Norton EW. Cystoid macular edema and papilledema following cataract extraction. A fluorescein fundoscopic and angiographic study. Arch Ophthalmol. 1966;76(5):646-661.
5. Егорова А.В., Егоров В.В., Данилов О.В. Анализ эффективности субтенонового введения препарата «Кеналог» в лечении макулярного отека после факоэмульсификации возрастной катаракты (предварительное сообщение) // Современные технологии в офтальмологии. – 2014. – №3. – С. 32-34. [Egorova A.V., Egorov V.V., Danilov O.V. Analiz effektivnosti subtenonovogo vvedeniya preparata «Kenalog» v lechenii makulyarnogo oteka posle fakoemul’sifikatsii vozrastnoi katarakty (predvaritel’noe soobshchenie). Sovremennye tekhnologii v oftal’mologii. 2014;(3):32-34. (In Russ.)]
6. Benitah NR, Arroyo JG. Pseudophakic cystoid macular edema. Int Ophthalmol Clin. 2010;50(1):139-153. doi: 10.1097/IIO.0b013e3181c551da
7. Grzybowski A, Sikorski BL, Ascaso FJ, Huerva V. Pseudophakic cystoid macular edema: update 2016. Clin Interv Aging. 2016;11:1221–1229. doi: 10.2147/CIA.S111761
8. Loewenstein A, Zur D. Postsurgical cystoids macular edema. Dev Ophthalmol. 2010;47:148-159. doi:10.1159/000320078
9. Tsilimbaris MK, Tsika C, Diakonis V, et al. Macular Edema and Cataract Surgery. In: Zaidi FH, editor. Cataract surgery. London: InTech; 2013. p. 323-336.
10. Sahin M, Cingu AK, Gozum N. Evaluation of Cystoid Macular Edema Using Optical Coherence Tomography and Fundus Autofluorescence after Uncomplicated Phacoemulsification Surgery. J Ophthalmol. 2013;2013:376013. doi: 10.1155/2013/376013
11. Liu J, Jones RE, Zhao J, et al. Influence of uncomplicated phacoemulsification on central macular thickness in diabetic patients: a meta-analysis. PLoS One. 2015;10(5):e0126343. doi:10.1371/journal.pone.0126343
12. Eriksson U, Alm A, Bjarnhall G, et al. Macular edema and visual outcome following cataract surgery in patients with diabetic retinopathy and controls. Graefes Arch Clin Exp Ophthalmol. 2011;249(3):349-359. doi: 10.1007/s00417-010-1484-9
13. Diabetic Retinopathy Clinical Research Network Authors/Writing Committee; Baker CW, Almukhtar T, et al. Macular edema after cataract surgery in eyes without preoperative central-involved diabetic macular edema. JAMA Ophthalmol. 2013;131(7):870-879. doi: 10.1001/jamaophthalmol.2013.2313
14. Gass JD, Norton EW. Cystoid macular edema and papilledema following cataract extraction. Fluorescein studies of patients with macular edema. Arch Ophthalmol. 1966;76(5):646-661.
15. Yonekawa Y, Kim IK. Pseudophakic cystoid macular edema. Curr Opin Ophthalmol. 2012;23(1):26-32. doi: 10.1097/ICU.0b013e32834cd5f8
16. Худяков А.Ю., Сорокин Е.Л., Руденко В.А. Особенности витреомакулярного интерфейса при синдроме Ирвина-Гасса после факоэмульсификации катаракты / IX съезд офтальмологов России: тезисы докладов. – Москва; 2010. – С. 226. [Khudyakov AY, Sorokin EL, Rudenko VA. Osobennosti vitreomakulyarnogo interfeisa pri sindrome Irvina-Gassa posle fakoemul’sifikatsii katarakty. In: IX congress of Russian ophthalmologists: abstracts. Moscow; 2010. p. 226. (In Russ.)]
17. Greenberg PB, Tseng VL, Wu WC, et al. Prevalence and predictors of ocular complications associated with cataract surgery in United States veterans. Ophthalmology. 2011;118(3):507-514. doi: 10.1016/j.ophtha.2010.07.023
18. Liu J, Jones RE, Zhao J, et al. Influence of Uncomplicated Phacoemulsification on Central Macular Thickness in Diabetic Patients: A Meta-Analysis. PLoS One. 2015;10(5): e0126343. doi: 10.1371/journal.pone.0126343
19. Guo S, Patel S. Baumrind B, et al. Management of pseudophakic cystoid macular edema. Surv Ophthalmol. 2015;60(2):123-137. doi: 10.1016/j.survophthal.2014.08.005
20. Reznicek L, Kernt M, Haritoglou C, et al. Correlation of leaking microaneurysms with retinal thickening in diabetic retinopathy. Int J Ophthalmol. 2011;4(3):269–271. doi: 10.3980/j.issn.2222-3959.2011.03.11
21. Munk MR, Jampol LM, Simader C, et al. Differentiation of Diabetic Macular Edema From Pseudophakic Cystoid Macular Edema by Spectral-Domain Optical Coherence Tomography. Invest Ophthalmol Vis Sci. 2015;56(11):6724-6733. doi: 10.1167/iovs.15-17042
22. Jo EB, Lee JH, Hwang YN, Kim SM. Comparison of evaluation parameters in the retinal layer between diabetic cystoid macular edema and postoperative cystoid macular edema after cataract surgery based on a hierarchical approach. Technol Health Care. 2015;24(S1):59-68. doi: 10.3233/THC-151052
23. Иошин И.Э., Толчинская А.И., Калинников Ю.Ю. Оздербаева А.А. Профилактика макулярного отека при факоэмульсификации катаракты // Российский офтальмологический журнал. – 2014. – Т. 7. – № 2. – С. 21-26. [Ioshin IE, Tolchinskaya AI, Kalinnikov YY, Ozderbaeva AA. Prevention of Macular Edema after Cataract Phacoemulsification. Russian Ophthalmological Journal. 2014;7(2):21-26. (In Russ.)]
24. Kessel L, Tendal B, Jorgensen KJ, et al. Post-cataract prevention of inflammation and macular edema by steroid and nonsteroidal antiinflammatory eye drops: a systematic review. Ophthalmology. 2014;121(10):1915-1924. doi: 10.1016/j.ophtha.2014.04.035
25. Endo N, Kato S, Haruyama K, et al. Efficacy of bromfenac sodium ophthalmic solution in preventing cystoid macular oedema after cataract surgery in patients with diabetes. Acta Ophthalmol. 2010;88(8):896-900. doi: 10.1111/j.1755-3768.2009.01582.x
26. Singh R, Alpern L, Jaffe GJ, et al. Evaluation of nepafenac in prevention of macular edema following cataract surgery in patients with diabetic retinopathy. Clin Ophthalmol. 2012;6:1259-1269. doi: 10.2147/OPTH.S31902
27. Mathys KC, Cohen KL. Impact of nepafenac 0.1% on macular thickness and postoperative visual acuity after cataract surgery in patients at low risk for cystoid macular oedema. Eye (Lond). 2010;24(1):90-96. doi: 10.1038/eye.2009.10
28. Zaczek A, Artzen D, Laurell CG, et al. Nepafenac 0.1% plus dexamethasone 0.1% versus dexamethasone alone: effect on macular swelling after cataract surgery. J Cataract Refract Surg. 2014;40(9):1498-1505. doi: 10.1016/j.jcrs.2013.12.023
29. Малюгин Б.Э., Шпак А.А., Морозова Т.А. Фармакологическое сопровождение современной хирургии катаракты. — М.: Офтальмология; 2015. [Malyugin BE, Shpak AA, Morozova TA. Farmakologicheskoe soprovozhdenie sovremennoi khirurgii katarakty. Moscow: Oftal’mologiya; 2015. (In Russ.)]
30. American Academy of Ophthalmology Cataract and Anterior Segment Panel. Cataract in the Adult Eye. San Francisco: American Academy of Ophthalmology; 2011. 90 p.
31. Zaka-ur-Rab S, Mahmood S, Shukla M, et al. Systemic absorption of triamcinolone acetonide after posterior sub-Tenon injection. American J. of Ophthalmol. 2009;148(3):414-419. doi: 10.1016/j.ajo.2009.03.031
32. Kim SY, Yang J, Lee YC, Park YH. Effect of a single intraoperative sub-Tenon injection of triamcinolone acetonide on the progression of diabetic retinopathy and visual outcomes after cataract surgery. J Cataract Refract Surg. 2008;34(5):823-826. doi: 10.1016/j.jcrs.2008.01.018
33. Ahmadabadi HF, Mohammadi M, Beheshtnejad H, Mirshahi A. Effect of intravitreal triamcinolone acetonide injection on central macular thickness in diabetic patients having phacoemulsification. J Cataract Refract Surg. 2010;36(6):917-922. doi: 10.1016/j.jcrs.2009.12.030
34. Feldman-Billard S., Du Pasquier-Fediaevsky L., Héron E. Hyperglycemia after repeated periocular dexamethasone injections in patients with diabetes. Ophthalmology. 2006;113(10):1720-1723. doi:10.1016/j.ophtha.2006.05.023
35. Марцинкевич А.О. Профилактика воспалительных осложнений после факоэмульсификации катаракты с имплантацией ИОЛ у больных сахарным диабетом 2 типа: Дис. канд. мед. наук. – Москва; 2016. [Martsinkevich AO. Profilaktika vospalitel’nykh oslozhnenii posle fakoemul’sifikatsii katarakty s implantatsiei IOL u bol’nykh sakharnym diabetom 2 tipa. [dissertation] Moscow; 2016. (In Russ.)] Доступно по: http://www.eyepress.ru/sbornik.aspx?460. Ссылка активна на 17.05.2017.
36. Марцинкевич А.О., Малюгин Б.Э., Симонова А.Н., и др. Особенности применения пролонгированных стероидов у больных сахарным диабетом для предотвращения развития послеоперационной экссудативно-воспалительной реакции в хирургии катаракты / VII Евро-Азиатская конференция по офтальмохирургии: сборник материалов. – Екатеринбург; 2015. – С. 28-29. [Martsinkevich AO, Malyugin BE, Simonova A.N., et al. Osobennosti primeneniya prolongirovannykh steroidov u bol’nykh sakharnym diabetom dlya predotvrashcheniya razvitiya posleoperatsionnoi ekssudativno-vospalitel’noi reaktsii v khirurgii katarakty. In: VII Evro-Aziatskaya konferentsiya po oftal’mokhirurgii: sbornik materialov. Ekaterinburg; 2015. p. 28-29. (In Russ.)]
37. Липатов Д.В., Александрова В.К., Бессмертная Е.Г., и др. Эпидемиология и регистр диабетической ретинопатии в Российской Федерации // Сахарный диабет. – 2014. – Т. 17. – №1. – С. 4-7. [Lipatov DV, Aleksandrova VK, Bessmertnaya EG., et al. Current report from Russian Diabetic Retinopathy Register. Diabetes mellitus. 2014;17(1):4-7. (In Russ.)] doi: 10.14341/DM201414-7
38. Udaondo P, Garcia-Pous M, Garcia-Delpech S, et al. Prophylaxis of macular edema with intravitreal ranibizumab in patients with diabetic retinopathy after cataract surgery: a pilot study. J Ophthalmol. 2011;2011:159436. doi: 10.1155/2011/159436
39. Chae JB, Joe SG, Yang SJ, et al. Effect of combined cataract surgery and ranibizumab injection in postoperative macular edema in nonproliferative diabetic retinopathy. Retina. 2014;34(1):149-156. doi: 10.1097/IAE.0b013e3182979b9e
Supplementary files
|
|
1. Рис. 1. Кистозный макулярный отек по данным оптической когерентной томографии. | |
| Subject | ||
| Type | Исследовательские инструменты | |
View
(133KB)
|
Indexing metadata ▾ | |
|
|
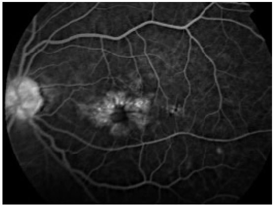
2. Рис. 2. Кистозный макулярный отек по данным флуоресцентной ангиографии. | |
| Subject | ||
| Type | Исследовательские инструменты | |
View
(115KB)
|
Indexing metadata ▾ | |
|
|
3. Рис. 3. Кистозный макулярный отек по данным флуоресцентной ангиографии. | |
| Subject | ||
| Type | Исследовательские инструменты | |
View
(152KB)
|
Indexing metadata ▾ | |
Review
For citations:
Bashina I.A., Frolov M.A., Lipatov D.V. Prevention of macular oedema after cataract surgery in patients with diabetes mellitus. Diabetes mellitus. 2017;20(5):350-355. (In Russ.) https://doi.org/10.14341/DM8729
This work is licensed under a Creative Commons Attribution-NonCommercial-NoDerivatives 4.0 International License (CC BY-NC-ND 4.0).









































