Перейти к:
Сравнительное изучение эффективности и безопасности технологии комбинированного лазерного воздействия и традиционной лазеркоагуляции при лечении диабетического макулярного отека
https://doi.org/10.14341/DM7811
Аннотация
Цель. Изучить эффективность и безопасность технологии комбинированного лазерного воздействия в сравнении с традиционной лазеркоагуляцией сетчатки при лечении диабетического макулярного отека (ДМО).
Материал и методы. В исследование включены 50 глаз 44 пациентов с наличием клинически значимого ДМО. В основной группе (25 глаз) лечение проведено с использованием комбинированной лазерной технологии, пациентам контрольной группы (25 глаз) проведено лечение по стандартной методике модифицированной «решетчатой» лазеркоагуляции ETDRS.
Результаты. Среднее значение центральной толщины сетчатки (ТС) снизилось с 411,24±126 мкм до 359,86±120,4 мкм (p<0,05), что сочеталось с повышением средней максимально корригированной остроты зрения (МКОЗ) пациентов основной группы к концу наблюдения с 0,54±0,2 до 0,71±0,2 (p<0,05). Средняя центральная светочувствительность сетчатки (СЧ) имела тенденцию к постепенному увеличению с третьего месяца от начала лечения до окончания срока наблюдения (с 11,27±3,8 дБ до 13,24±3,2 дБ, p<0,05). В контрольной группе МКОЗ и ТС также продемонстрировали положительную динамику (с 0,59±0,12 до 0,72±0,23 и с 424,17±68,12 мкм до 387,51±93,45 мкм соответственно, p<0,05). СЧ, напротив, снизилась с 12,32±0,90 дБ до 10,14±0,71 дБ (p<0,05).
Выводы. Разработанная технология комбинированного лазерного лечения ДМО является безопасной, позволяет минимизировать степень лазериндуцированных повреждений структур хориоретинального комплекса за счет использования субпорогового характера воздействия. Эффективность предложенной технологии сравнима со стандартной методикой лазеркоагуляции сетчатки в плане снижения высоты ретинального отека и повышения МКОЗ, однако имеет преимущество в части улучшения центральной СЧ и возможности безопасного повторения сеансов лечения.
Ключевые слова
Для цитирования:
Дога А.В., Качалина Г.Ф., Педанова Е.К., Буряков Д.А. Сравнительное изучение эффективности и безопасности технологии комбинированного лазерного воздействия и традиционной лазеркоагуляции при лечении диабетического макулярного отека. Сахарный диабет. 2017;20(1):68-74. https://doi.org/10.14341/DM7811
For citation:
Doga A.V., Kachalina G.F., Pedanova E.K., Buryakov D.A. Comparison of efficacy and safety of the combined laser treatment technology versus conventional laser photocoagulation in diabetic macular edema management. Diabetes mellitus. 2017;20(1):68-74. (In Russ.) https://doi.org/10.14341/DM7811
Диабетический макулярный отек (ДМО) является одним из основных осложнений сахарного диабета (СД), поскольку может приводить к стойкому снижению зрительных функций и утрате пациентами трудоспособности. Патологические изменения сосудистой стенки концевых артериол и капилляров сетчатки, с одной стороны, обуславливают их закрытие с образованием зон ишемии, а с другой – приводят к просачиванию жидкости в ткань сетчатки [1]. Данные отечественных и зарубежных авторов убедительно доказывают роль некоторых цитокинов и факторов роста в патогенезе ДМО, нарастание концентрации которых приводит к повреждению гематоретинального барьера: нарушению межклеточных контактов, потере перицитов капиллярами, увеличению проницаемости сосудов, что обуславливает развитие отека и вазопролиферацию [2, 3, 4]. Важную роль в развитии макулярного отека играет нарушение функции ретинального пигментного эпителия (РПЭ), который способствует резорбции жидкости из ткани сетчатки, а также является источником естественных антипролиферативных и трофических факторов [5]. Лазеркоагуляция макулярной зоны сетчатки является доказанным эффективным методом предупреждения необратимой потери зрения при ДМО [6]. Данная методика позволяет достичь регресса патологического процесса, стабилизировать, а в ряде случаев и улучшить зрительные функции. Однако данное воздействие имеет и негативные последствия, связанные с термическим повреждением нейросенсорной сетчатки, что сопровождается появлением скотом в центральном поле зрения, выбросом провоспалительных цитокинов и др. [7, 8, 9]. Стоит отметить, что частое повторение сеансов лечения в связи с указанными побочными эффектами не представляется возможным. Субпороговое микроимпульсное лазерное воздействие (СМЛВ) является эффективным, безопасным [10, 11] и, что немаловажно, повторяемым методом лечения ДМО [12] за счет селективного характера воздействия, стимуляции выработки противовоспалительных и антипролиферативных факторов, улучшения насосной функции клеток РПЭ [13]. Однако временный терапевтический эффект СМЛВ и низкая эффективность при лечении кистозной формы ДМО ограничивают клиническое применение данного метода [14].
Технология комбинированного лазерного лечения ДМО, разработанная в отделении лазерной хирургии сетчатки ФГАУ «МНТК "Микрохирургия глаза" им. акад. С.Н. Федорова» Минздрава России, представляет собой сочетание стандартной лазеркоагуляции сетчатки по методике модифицированной «решетки» ETDRS и СМЛВ с длиной волны 577 нм. Данная технология в пилотном краткосрочном исследовании эффективности и безопасности показала положительные результаты резорбции макулярного отека, улучшения остроты зрения и центральной светочувствительности.
На сегодняшний день отсутствуют данные исследования эффективности разработанной комбинированной технологии в долгосрочном периоде наблюдения, а также в сравнении с традиционным лазерным лечением – что и определило цель настоящего исследования.
Цель
Изучить эффективность и безопасность технологии комбинированного лазерного воздействия в сравнении с традиционной лазеркоагуляцией сетчатки при лечении ДМО.
Материал и методы
В клиническое исследование включено 50 глаз 44 пациентов с наличием клинически значимой формы ДМО (по классификации ETDRS) и непролиферативной диабетической ретинопатии. Некомпенсированное течение СД, предшествовавшие витреоретинальные и лазерные вмешательства в макуле, выраженное помутнение оптических сред глаза, а также подтвержденная при флюоресцеиновой ангиографии ишемическая форма ДМО являлись критериями исключения из настоящего исследования.
Средний возраст пациентов составил 60,2±11,5 лет (от 22 до 77 лет), из них было 28 женщин и 16 мужчин. Длительность заболевания СД в среднем составила 18,5±4,5 лет (от 10 до 29 лет). СД I типа наблюдался у 2 пациентов (2 глаза, 4%), СД 2 типа (СД2) – у 42 пациентов (48 глаз, 96%), из них в 20 случаях (20 глаз, 41,6%) пациенты находились на инсулинотерапии. От всех пациентов было получено заключение эндокринолога о компенсации основного заболевания.
Все исследуемые глаза были распределены в две клинические группы методом стратифицированной рандомизации. Лазерное лечение в первой (основной) группе – 25 глаз – проводилось по оригинальной комбинированной технологии, разработанной в отделе лазерной хирургии сетчатки головной организации ФГАУ «МНТК "Микрохирургия глаза" им. акад. С.Н. Федорова» Минздрава России. Лечение пациентов второй (контрольной) группы – 25 глаз – проводилось по стандартной методике модифицированной «решетчатой» лазеркоагуляции ETDRS (mETDRS) с длиной волны 577 нм. Группы были сопоставимы по полу, возрасту, типу и длительности СД (p>0,05).
Комбинированная технология лазерного лечения включала в себя сочетание лазеркоагуляции зон ретинального отека (пороговое воздействие), а также СМЛВ. Оба вмешательства выполнялись с использованием желтого спектра лазерного излучения (длина волны 577 нм). Лазеркоагуляция сетчатки проводилась с нанесением коагулятов I степени по классификации L'Esperance в шахматном порядке по всей площади отека сетчатки, определяемой офтальмоскопически и по данным оптической когерентной томографии (ОКТ), исключая аваскулярную зону. Затем лазер переводили в микроимпульсный режим излучения и осуществляли СМЛВ с нанесением аппликатов в аваскулярной зоне со следующими параметрами: длительность микроимпульса 100 мкс, длительность пакета 100 мс, скважность 5%, размер пятна 100 мкм. Мощность излучения в каждом случае подбирались индивидуально после предварительного тестирования.
В основной группе пациентов, в случае отсутствия положительной динамики резорбции отека (увеличение центральной толщины сетчатки (ТС), количества интраретинальных кист и твердых экссудатов), наблюдаемой в срок 1, 3 или 6 месяцев, проводили повторные сеансы СМЛВ с прежними техническими параметрами излучения, но с нанесением аппликатов по всей зоне ретинального отека, в том числе с захватом фовеальной аваскулярной зоны. В контрольной группе осуществляли не более 1 повторного лазерного вмешательства – в срок не менее 6 мес от начала лечения.
Всех пациентов обследовали с помощью стандартных общеофтальмологических и специальных методов. ОКТ проводилась на приборе «Spectralis Multicolor» (Heidelberg Engineering, Inc., Германия), использовался растровый протокол сканирования 30° × 25° с расстоянием между сканами 125 мкм (всего 61 скан), средняя толщина сетчатки рассчитывалась в 9 стандартных полях ETDRS с центром в фовеа и формированием цветовой карты. Эти данные в дальнейшем использовали при проведении лазерного воздействия и для сравнения результатов лечения в динамике. Исследование аутофлюоресценции также проводили на приборе «SPECTRALIS Multicolor», при этом использовались коротковолновый (488 нм) и инфракрасный (787 нм) режимы лазерного излучения. Данный метод позволяет оценивать состояние слоя РПЭ (метаболическую активность клеток и уровень меланогенеза), а также регистрировать лазериндуцированное повреждение хориоретинального комплекса (ХРК) (очаги гиперфлюоресценции). Светочувствительность сетчатки в макулярной зоне изучали при помощи компьютерной микропериметрии на приборе «МР-1» (Nidek Technologies, Vigonza, Италия). Исследование макулы проводилось в зоне 12° с центром в фовеа в 45 точках по программе macula_12° 10 dB и пороговой стратегией 4–2. Компенсация движений глаз осуществлялась при помощи встроенной функции «eye tracking», что позволяло проецировать световые стимулы на строго определенные участки сетчатки. Таким образом, с помощью данного прибора возможно проведение повторных исследований светочувствительности (СЧ) сетчатки (follow-up) в одних и тех же точках.
Все пациенты были обследованы до операции, а также в сроки 1, 3, 6 и 12 месяцев после лазерного воздействия. Лечение осуществлялось на лазерной установке «Supra 577-Y» (Quantel Medical, Франция) с желтым спектром излучения и возможностью работы как в непрерывном, так и в микроимпульсном режимах.
Протокол исследования одобрен на заседании локального этического комитета ФГАУ «МНТК "Микрохирургия глаза" им. акад. С.Н. Федорова Минздрава России» от 27 марта 2014 г. (протокол №58.6). Всеми пациентами подписано информированное согласие на участие в исследовании.
Исследуемые показатели – максимально корригированная острота зрения (МКОЗ), ТС и центральная СЧ – в выборках подчинялись нормальному распределению (тест Колмогорова-Смирнова), в связи с чем статистический анализ проводился с использованием методов параметрической статистики. Результаты описательной статистики представлены в виде «среднее значение ± стандартное отклонение». Для оценки статистической значимости различий между двумя независимыми группами применялся критерий Стьюдента (t-test). Для определения различий между данными до и после операции применяли t-test для повторных измерений. Значимость была принята за p<0,05.
Результаты
Клиническую оценку безопасности технологии комбинированного лазерного лечения ДМО проводили на основе данных аутофлюоресценции (АФ) в коротковолновом и инфракрасном режимах, а также показателей СЧ по результатам компьютерной микропериметрии. Так, в срок наблюдения 1 месяц было отмечено образование точечных очагов лазериндуцированного повреждения слоя РПЭ (гипер-АФ) в участках, соответствующих зонам порогового лазерного воздействия. В фовеальной аваскулярной зоне, где проводилось только СМЛВ, подобных изменений выявлено не было (рис. 1 а, б). При сравнении АФ-картины в динамике признаков дополнительного повреждения слоя РПЭ в результате повторных сеансов СМЛВ не было выявлено ни в одном из случаев (рис. 2 а, б). По данным компьютерной микропериметрии, в течение всего срока наблюдения образования абсолютных скотом в зонах лазерного воздействия также не наблюдалось во всех случаях (рис. 3 а, б).
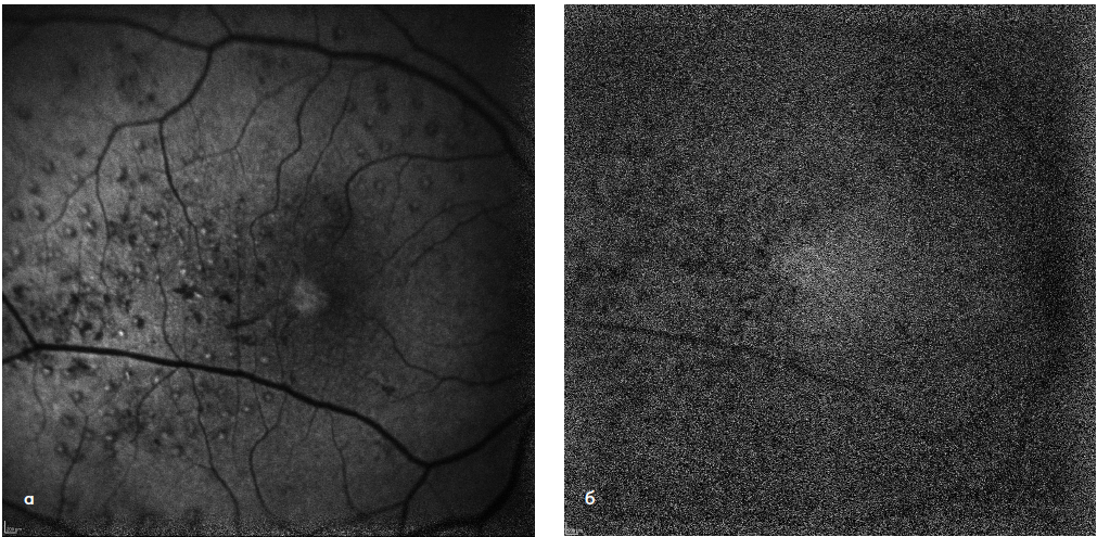
Рис. 1. АФ-картина глазного дна пациентки Ц. в коротковолновом (а) и инфракрасном (б) режимах в срок 1 месяц от начала лечения. Точечные очаги гипер-(а) и гипофлюоресценции (б) соответствуют зонам лазеркоагуляции по площади макулярного отека. В фовеальной аваскулярной зоне признаки лазериндуцированных повреждений отсутствуют.
Рис. 2. АФ-картина глазного дна той же пациентки в срок 12 месяцев в коротковолновом (а) и инфракрасном (б) режимах. Проведено 2 дополнительных сеанса СМЛВ по всей зоне ретинального отека, увеличения степени лазериндуцированного повреждения не выявлено.
Рис. 3. Компьютерная микропериметрия до лечения (а) и через 12 месяцев после комбинированного лазерного воздействия (б). Образования абсолютных скотом в центральном поле зрения не выявлено.
Анализ клинико-функциональных результатов лечения пациентов клинических групп (табл. 1) показал, что средняя МКОЗ достигла статистически значимого увеличения с 1-го по 6-й месяцы наблюдения, после чего оставалась стабильной до окончания наблюдения. Центральная ТС существенно не изменялась в течение первых трех месяцев от начала лечения, при этом статистически значимая положительная динамика резорбции макулярного отека прослеживалась с третьего месяца до окончания срока наблюдения. Анатомический эффект выражался в уменьшении толщины нейроэпителия, резорбции интраретинальных кист; в ряде случаев наблюдалось прилегание щелевидной серозной отслойки нейроэпителия (рис. 4 а, б). Средняя СЧ центральной зоны сетчатки не имела статистически значимых различий в первые 3 месяца от начала лечения. Положительная динамика прослеживалась в виде постепенного увеличения СЧ с первого месяца после лечения до окончания срока наблюдения.
Рис. 4. Оптическая когерентная томография макулярной зоны до начала лечения (а) и через 12 месяцев после комбинированного лазерного воздействия (б). За период наблюдения проведено 2 дополнительных сеанса СМЛВ. Отмечаются уменьшение толщины сетчатки, резорбция серозной отслойки нейроэпителия в фовеа, исчезновение интраретинальных кист.
Повторные сеансы проводились всем пациентам (100%) в срок наблюдения 1 месяц, на 13 глазах (52%) в срок 3 месяца и на 16 глазах (64%) в срок 6 месяцев. В среднем количество повторных сеансов СМЛВ составило 2,16.
Таблица 1. Результаты лечения пациентов в клинических группах
|
Показатели |
Сроки наблюдения |
Основная группа |
Контрольная группа |
p при сравнении между группами |
|
МКОЗ |
До операции |
0,47±0,25 |
0,46±0,21 |
0,94 |
|
1 мес. |
0,52±0,28* |
0,49±0,22 |
0,72 |
|
|
3 мес. |
0,53±0,28* |
0,53±0,22* |
0,91 |
|
|
6 мес. |
0,58±0,28* |
0,50±0,22* |
0,25 |
|
|
12 мес. |
0,58±0,27* |
0,52±0,22* |
0,33 |
|
|
ТС, мкм |
До операции |
408,91±123 |
395,55±82 |
0,61 |
|
1 мес. |
397,75±135 |
384,68±87* |
0,64 |
|
|
3 мес. |
379,16±120* |
373,46±93* |
0,83 |
|
|
6 мес. |
355,62±104* |
368,65±94* |
0,60 |
|
|
12 мес. |
343,22±102* |
348,67±72* |
0,80 |
|
|
СЧ, дБ |
До операции |
11,44±3,4 |
12,05±2,9 |
0,45 |
|
1 мес. |
11,47±3,7 |
12,41±2,9* |
0,26 |
|
|
3 мес. |
12,11±3,8* |
11,66±2,7* |
0,59 |
|
|
6 мес. |
12,76±3,7* |
10,78±2,8* |
0,02 |
|
|
12 мес. |
13,10±3,7* |
10,48±2,8* |
0,002 |
Примечание: * Данные статистически значимо отличаются от исходных значений, t-тест для повторных измерений (p<0,05). МКОЗ – максимально корригированная острота зрения, ТС – центральная толщина сетчатки, СЧ – центральная светочувствительность.
Результаты лечения пациентов контрольной группы свидетельствовали о том, что средняя центральная ТС имела тенденцию к постепенному снижению, что соответствовало увеличению средней МКОЗ к концу наблюдения. Средняя СЧ центральной зоны сетчатки, напротив, статистически значимо снижалась в течение 6 месяцев наблюдения и к 12 месяцам существенно не изменялась.
Повторное лазерное вмешательство у пациентов контрольной группы проведено на 18 глазах (72%) в срок 6 месяцев от начала лечения. Стоит отметить, что у данных пациентов к концу наблюдения АФ-картина свидетельствовала об увеличении площади атрофии слоя РПЭ вследствие дополнительной лазеркоагуляции.
При сравнении результатов лечения между группами было установлено, что в обеих клинических группах достигнут сходный положительный результат снижения высоты макулярного отека, а также повышения МКОЗ (p>0,05). При этом средняя СЧ оказалась статистически значимо выше в основной группе по сравнению с контрольной в сроки наблюдения 6 и 12 месяцев (p<0,05, рис. 5).
Рис. 5. Сравнительная динамика средней СЧ среди пациентов исследуемых групп. *p <0,05. СЧ – центральная светочувствительность сетчатки.
Обсуждение
Технология комбинированного лазерного лечения ДМО была разработана в стенах ФГАУ «МНТК "Микрохирургия глаза" им. акад. С.Н. Федорова» Минздрава России с целью повысить эффективность современных подходов к лечению этой тяжелой офтальмопатологии. Естественными предпосылками к ее разработке послужили, с одной стороны, доказанная эффективность традиционной методики «решетки» mETDRS, а также перспективные возможности микроимпульсного режима лазерного излучения [10, 11, 14]. С другой стороны, по мнению авторов, несовершенство и ограничения обеих методик могут быть в некотором смысле компенсированы при их сочетании. Так, микроимпульсное излучение с длиной волны 577 нм максимально селективно по отношению к клеткам РПЭ (пик абсорбции энергии приходится на содержащийся в них меланин), не поглощается ксантофильным пигментом и потому представляется безопасным для структур ХРК, в том числе при воздействии в фовеальной аваскулярной зоне. Как было показано в настоящем исследовании, АФ-картина этой важнейшей в функциональном плане зоны сетчатки не изменялась ни в коротковолновом, ни в инфракрасном режимах, даже после проведения повторных сеансов СМЛВ. Однако недостатком СМЛВ является временный терапевтический эффект. Пороговая лазеркоагуляция, способствуя уменьшению просачивания жидкости из ретинальных сосудов и обеспечивая более длительную стабилизацию патологического процесса, в то же время снижает функциональный результат вследствие необратимого повреждения нейросенсорного слоя сетчатки. Наиболее полно данное явление исследуется при помощи компьютерной микропериметрии. В представленном исследовании в группе комбинированного лечения данный показатель оказался выше, чем в группе, где проводилось только пороговое лазерное воздействие в сроки 6 и 12 месяцев (p<0,05, см. табл. 1), что можно объяснить как стимулирующим нейропротекторным эффектом СМЛВ, так и уменьшением общей площади лазеркоагуляции и степени лазериндуцированных повреждений.
Таким образом, повышение клинико-функциональных результатов лечения пациентов с ДМО при применении разработанной комбинированной технологии, по нашему мнению, достигается уменьшением потребности в повторении «повреждающей» лазеркоагуляции сетчатки, а также одновременным терапевтическим воздействием на несколько разных звеньев патогенеза данного заболевания посредством СМЛВ. В силу новизны предлагаемой технологии и малой выборки, актуальным является проведение дальнейших исследований с изучением эффективности комбинированной лазерной технологии, в том числе при лечении различных структурных подтипов ДМО.
Выводы
Разработанная технология комбинированного лазерного лечения ДМО является безопасной, позволяет минимизировать степень лазериндуцированных повреждений структур ХРК за счет использования субпорогового характера воздействия и уменьшения потребности в повторении лазеркоагуляции сетчатки.
Эффективность комбинированной лазерной технологии при лечении ДМО выражается в сравнимом с лазеркоагуляцией mETDRS снижении высоты макулярного отека и повышении остроты зрения.
При сравнении с методикой лазеркоагуляции mETDRS представленная комбинированная технология имеет преимущество в части улучшения СЧ центральной зоны в срок наблюдения до 12 месяцев, а также возможности безопасного повторения сеансов СМЛВ.
Дополнительная информация
Финансирование работы
Исследование проведено в рамках научно-исследовательской работы ФГАУ «МНТК «Микрохирургия глаза» им. акад. С.Н. Федорова» Минздрава России.
Конфликт интересов
Авторы декларируют отсутствие явных и потенциальных конфликтов интересов, связанных с публикацией данной статьи.
Участие авторов
Буряков Д.А. – сбор и первичная обработка материалов, лазерхирургическое лечение пациентов, анализ результатов, написание статьи; Дога А.В. – организация исследования, анализ полученных результатов, редактирование текста статьи; Качалина Г.Ф. — концепция и дизайн исследования, анализ полученных результатов, редактирование текста статьи; Педанова Е.К. – сбор и первичная обработка материалов, лазерхирургическое лечение. пациентов, анализ результатов, редактирование текста статьи
Список литературы
1. Балашевич Л.И., Измайлов А.С. Диабетическая офтальмопатия. – Санкт-Петербург: Человек; 2012. [Balashevich LI, Izmaylov AS. Diabeticheskaya oftal'mopatiya. – Saint-Peterburg: Chelovek; 2012. (in Russ)]
2. Rangasamy S, McGuire PG, Das A. Diabetic retinopathy and inflammation: novel therapeutic targets. Middle East Afr J Ophthalmol. 2012;19(1):52-59. doi: 10.4103/0974-9233.92116
3. Joussen AM, Smyth N, Niessen C. Pathophysiology of diabetic macular edema. Dev Ophthalmol. 2007;39:1-12. doi: 10.1159/000098495
4. Rangasamy S, McGuire PG, Das A. Diabetic retinopathy and inflammation: novel therapeutic targets. Middle East Afr J Ophthalmol. 2012;19(1):52-59. doi: 10.4103/0974-9233.92116
5. Simo R, Villarroel M, Corraliza L, et al. The retinal pigment epithelium: something more than a constituent of the blood-retinal barrier--implications for the pathogenesis of diabetic retinopathy. J Biomed Biotechnol. 2010;2010:190724. doi: 10.1155/2010/190724
6. Photocoagulation for Diabetic Macular Edema. Archives of Ophthalmology. 1985;103(12):1796. doi: 10.1001/archopht.1985.01050120030015
7. Lovestam-Adrian M, Agardh E. Photocoagulation of diabetic macular oedema; complications and visual outcome. Acta Ophthalmologica Scandinavica. 2000;78(6):667-671. doi: 10.1034/j.1600-0420.2000.078006667.x
8. Ходжаев Н.С., Черных В.В., Роменская И.В., и др. Влияние лазерокоагуляции сетчатки на клинико-лабораторные показатели у пациентов диабетическим макулярным отеком. // Вестник НГУ. – 2011. Т. 9. – №4. – С. 48-52. [Khodzhayev NS, Chernykh VV, Romenskaya IV, et al. Effect of retinal lasercoagulation on the clinical-laboratory indices patients with diabetic macular edema. Vestnik Novosibirskogo gosudarstvennogo universiteta. 2011;9(4):48-52. (in Russ)]
9. Schatz H. Progressive Enlargement of Laser Scars Following Grid Laser Photocoagulation for Diffuse Diabetic Macular Edema. Archives of Ophthalmology. 1991;109(11):1549. doi: 10.1001/archopht.1991.01080110085041
10. Figueira J, Khan J, Nunes S, et al. Prospective randomised controlled trial comparing sub-threshold micropulse diode laser photocoagulation and conventional green laser for clinically significant diabetic macular oedema. Br J Ophthalmol. 2009;93(10):1341-1344. doi: 10.1136/bjo.2008.146712
11. Lavinsky D, Cardillo JA, Melo LA, Jr., et al. Randomized clinical trial evaluating mETDRS versus normal or high-density micropulse photocoagulation for diabetic macular edema. Invest Ophthalmol Vis Sci. 2011;52(7):4314-4323. doi: 10.1167/iovs.10-6828
12. Буряков Д.А., Качалина Г.Ф., Педанова Е.К., др. Оценка безопасности повторных сеансов субпорогового микроимпульсного лазерного воздействия при лечении диабетического макулярного отека. // Современные технологии в офтальмологии. – 2015. – №3. – С. 19-21. [Buryakov DA, Kachalina GF, Pedanova EK, et al. Otsenka bezopasnosti povtornykh seansov subporogovogo mikroimpul'snogo lazernogo vozdeystviya pri lechenii diabeticheskogo makulyarnogo oteka. Sovremennye tekhnologii v oftal'mologii. 2015;(3):19-21. (in Russ)]
13. Акопян В.С., Качалина Г.Ф., Педанова Е.К., и др. Изучение характера тканевого ответа хориоретинального комплекса на субпороговое микроимпульсное лазерное воздействие в эксперименте. // Офтальмохирургия. – 2015. №3. – С. 54-58. [Akopyan VS, Semenova NS, Kuzmin KA, et al. Evaluation of chorioretinal complex tissue response on subthreshold micropulse yellow laser (577-nm) photocoagulation of retina in experiment. Ophthalmosurgery. 2015;(3):54-58. (in Russ)]
14. Дога А.В., Качалина Г.Ф., Педанова Е.К., и др. Субпороговое микроимпульсное лазерное воздействие при лечении диабетического макулярного отека. // Современные технологии в офтальмологии. – 2015. – №1. – С.58-61. [Doga AV, Kachalina GF, Pedanova EK, et al. Subporogovoe mikroimpul'snoe lazernoe vozdeystvie pri lechenii diabeticheskogo makulyarnogo oteka. Sovremennye tekhnologii v oftal'mologii. 2015;(1):58-61.(in Russ)]
15. Дога А.В., Качалина Г.Ф., Педанова Е.К., и др. Технология комбинированного лазерного лечения диабетического макулярного отека. Первые результаты. // Офтальмохирургия. – 2016. – №1. – С. 39-44. [Doga AV, Kachalina GF, Pedanova EK, et al. Combined laser technology in diabetic macular edema treatment. A pilot study. Ophthalmosurgery. 2016;(1):39-44. (in Russ)]
Об авторах
Александр Викторович ДогаФГАУ МНТК Микрохирургия глаза им. акад. С.Н. Федорова Минздрава России
Россия
доктор медицинских наук, профессор, заместитель генерального директора по научно-клинической работе
Конфликт интересов:
Авторы декларируют отсутствие явных и потенциальных конфликтов интересов, связанных с публикацией рукописи
Галина Федоровна Качалина
ФГАУ МНТК Микрохирургия глаза им. акад. С.Н. Федорова Минздрава России
Россия
кандидат медицинских наук, заведующая отделением лазерной хирургии сетчатки
Конфликт интересов:
Авторы декларируют отсутствие явных и потенциальных конфликтов интересов, связанных с публикацией рукописи
Елена Константиновна Педанова
ФГАУ МНТК Микрохирургия глаза им. акад. С.Н. Федорова Минздрава России
Россия
кандидат медицинских наук, научный сотрудник отделения лазерной хирургии сетчатки
Конфликт интересов:
Авторы декларируют отсутствие явных и потенциальных конфликтов интересов, связанных с публикацией рукописи
Дмитрий Анатольевич Буряков
ФГАУ МНТК Микрохирургия глаза им. акад. С.Н. Федорова Минздрава России
Россия
кандидат медицинских наук
Конфликт интересов:
Авторы декларируют отсутствие явных и потенциальных конфликтов интересов, связанных с публикацией рукописи
Дополнительные файлы
|
|
1. Рис. 1. АФ-картина глазного дна пациентки Ц. в коротковолновом (а) и инфракрасном (б) режимах в срок 1 месяц от начала лечения. Точечные очаги гипер-(а) и гипофлюоресценции (б) соответствуют зонам лазеркоагуляции по площади макулярного отека. В фовеальной аваскулярной зоне признаки лазериндуцированных повреждений отсутствуют. | |
| Тема | ||
| Тип | Исследовательские инструменты | |
Посмотреть
(615KB)
|
Метаданные ▾ | |
|
|
2. Рис. 2. АФ-картина глазного дна той же пациентки в срок 12 месяцев в коротковолновом (а) и инфракрасном (б) режимах. Проведено 2 дополнительных сеанса СМЛВ по всей зоне ретинального отека, увеличения степени лазериндуцированного повреждения не выявлено. | |
| Тема | ||
| Тип | Исследовательские инструменты | |
Посмотреть
(608KB)
|
Метаданные ▾ | |
|
|
3. Рис. 3. Компьютерная микропериметрия до лечения (а) и через 12 месяцев после комбинированного лазерного воздействия (б). Образования абсолютных скотом в центральном поле зрения не выявлено. | |
| Тема | ||
| Тип | Исследовательские инструменты | |
Посмотреть
(296KB)
|
Метаданные ▾ | |
|
|
4. Рис. 4. Оптическая когерентная томография макулярной зоны до начала лечения (а) и через 12 месяцев после комбинированного лазерного воздействия (б). За период наблюдения проведено 2 дополнительных сеанса СМЛВ. Отмечаются уменьшение толщины сетчатки, резорбция серозной отслойки нейроэпителия в фовеа, исчезновение интраретинальных кист. | |
| Тема | ||
| Тип | Исследовательские инструменты | |
Посмотреть
(250KB)
|
Метаданные ▾ | |
|
|
5. Рис. 5. Сравнительная динамика средней СЧ среди пациентов исследуемых групп. *p <0,05. СЧ – центральная светочувствительность сетчатки. | |
| Тема | ||
| Тип | Исследовательские инструменты | |
Посмотреть
(15KB)
|
Метаданные ▾ | |
Рецензия
Для цитирования:
Дога А.В., Качалина Г.Ф., Педанова Е.К., Буряков Д.А. Сравнительное изучение эффективности и безопасности технологии комбинированного лазерного воздействия и традиционной лазеркоагуляции при лечении диабетического макулярного отека. Сахарный диабет. 2017;20(1):68-74. https://doi.org/10.14341/DM7811
For citation:
Doga A.V., Kachalina G.F., Pedanova E.K., Buryakov D.A. Comparison of efficacy and safety of the combined laser treatment technology versus conventional laser photocoagulation in diabetic macular edema management. Diabetes mellitus. 2017;20(1):68-74. (In Russ.) https://doi.org/10.14341/DM7811
JATS XML
Контент доступен под лицензией Creative Commons Attribution-NonCommercial-NoDerivatives 4.0 International License (CC BY-NC-ND 4.0).









































