Перейти к:
Структурно-функциональный анализ центральной зоны сетчатки у пациентов с диабетическим макулярным отеком
https://doi.org/10.14341/DM7126
Аннотация
Одним из наиболее значимых проявлений сахарного диабета является поражение сетчатки в виде диабетического макулярного отека (ДМО), ведущего к неминуемой потере зрения и инвалидизации пациентов трудоспособного возраста.
Цель.
Оценить структурно-функциональные изменения слоев сетчатки и оптическую плотность макулярного пигмента как дополнительного метода исследования у пациентов с ДМО.
Материалы и методы.
Обследованы 31 человек (40 глаз). Пациенты с ДМО составили I группу – 19 пациентов (20 глаз), во II группу вошли 12 пациентов (20 глаз) без патологии сетчатки, сопоставимые по возрасту. Оценку параметров проводили по следующим методам исследования: оптическая когерентная томография (ОКТ) макулярной зоны сетчатки; фото-регистрация глазного дна с измерением оптической плотности макулярного пигмента (ОПМП); микропериметрия.
Результаты.
Анализ ОКТ показал, что наиболее вовлеченными в патологический процесс являются внутренний ядерный и внутренний сетчатый слои сетчатки, где выявлены достоверные различия увеличения средней толщины сетчатки по сравнению с контрольной группой. При анализе ОПМП выявлено значительное снижение всех показателей у пациентов I группы по сравнению с группой контроля. На основании данных микропериметрии центральной зоны сетчатки у пациентов I группы показатели световой чувствительности были в среднем снижены на 9 дБ и составили 9,85±0,09 дБ. В результате анализа полученных данных выявлены грубые нарушения структуры сетчатки и распределения ОПМП у пациентов с ДМО. При корреляционном анализе морфологических (толщина сетчатки), функциональных параметров (световая чувствительность) и оптической плотности макулярного пигмента установлена обратная корреляционная связь сильной степени (r=-0,93; p<0,05) между показателями толщины сетчатки и ОПМП.
Заключение.
При ДМО выявлено резкое снижение показателей ОПМП, определяющееся дефицитом лютеина и зеаксантина. Установлена корреляционная связь между количественным показателем ОПМП и зоной отека. Достоверно снижается световая чувствительность в центральной зоне сетчатки.
Ключевые слова
Для цитирования:
Бикбов М.М., Файзрахманов Р.Р., Ярмухаметова А.Л., Зайнуллин Р.М. Структурно-функциональный анализ центральной зоны сетчатки у пациентов с диабетическим макулярным отеком. Сахарный диабет. 2015;18(4):99-104. https://doi.org/10.14341/DM7126
For citation:
Bikbov M.M., Fayzrakhmanov R.R., Yarmuhametova A.L., Zainullin R.M. Analysis of the central zone of the retina in patients with diabetic macular edema. Diabetes mellitus. 2015;18(4):99-104. (In Russ.) https://doi.org/10.14341/DM7126
Диабетическая ретинопатия является специфическим сосудистым осложнением сахарного диабета (СД) в результате повреждения сосудов сетчатки, вызванного недостаточным контролем уровня глюкозы в крови, с последующими изменениями на глазном дне [1]. Одним из наиболее значимых проявлений СД является поражение сетчатки в виде диабетического макулярного отека (ДМО), ведущего к неминуемой потере зрения и инвалидизации пациентов трудоспособного возраста [2]. Своевременная диагностика позволяет выявить заболевание на ранних этапах развития и снизить риск необратимой потери зрения. В настоящее время одним из основных способов визуализации ретинальных поражений [3] и ДМО является оптическая когерентная томография (ОКТ), позволяющая оценить толщину и структуру сетчатки. ОКТ произвела революцию в клинической практике офтальмологии. Это неинвазивный метод визуализации, который позволяет получить изображения в виде срезов сетчатки, слоя нервных волокон и зрительного нерва [4, 5, 6].
Известно, что оптическая плотность макулярного пигмента (ОПМП) оказывает влияние на следующие аспекты: зрительный дискомфорт, нивелирование фотостресса, адаптация к бликам от яркого света [7]. Регулярное и объективное измерение ОПМП является оправданным методом исследования при патологии центрального отдела сетчатки. Однако в литературе встречаются лишь единичные сообщения о распределении макулярного пигмента и его влиянии на функциональные показатели при ДМО [8]. Одним из наиболее информативных методов оценки функционального состояния макулярной области является микропериметрия, которая позволяет определить световую чувствительность макулярной зоны даже у пациентов с низкой остротой зрения. В ходе исследования происходит наложение данных на цветную фотографию глазного дна, что дает возможность точного определения функциональных свойств различных участков патологического очага [9]. При проведении микропериметрии происходит отслеживание движения глаз, тем самым позволяя предъявлять стимулы в заданном положении [10]. Многие исследования оценивали взаимосвязь данных ОКТ и светочувствительности сетчатки [11, 12], однако нет исследований по корреляции ОПМП с этими параметрами.
Таким образом, определение плотности макулярного пигмента и его взаимосвязи с функциональными и морфологическими показателями центральной области сетчатки при ДМО может служить дополнительным диагностическим критерием оценки характера патологического процесса.
Цель
Оценить структурно-функциональные изменения слоев сетчатки и ОПМП как дополнительного метода исследования у пациентов с ДМО.
Материал и методы
Был обследован 31 пациент в возрасте от 54 до 69 лет (средний возраст 62±4,2 года); мужчины составили 45% (14 человек), женщины – 55% (17). Обследуемые были разделены на 2 группы. Пациенты с диффузным ДМО (по классификации Измайлова А.С., Балашевича Л.И., 2002) составили I группу (основную) из 19 человек (20 глаз) с сахарным диабетом 2 типа (СД2) и диабетической ретинопатией. Средняя длительность СД составила 9,2±3,0 лет. Во II группу (контрольную) вошли 12 пациентов (20 глаз), не страдающих какими-либо офтальмологическими заболеваниями, за исключением наличия у них пресбиопии.
Критерием исключения было наличие сопутствующих заболеваний сетчатки, в том числе пролиферативной диабетической ретинопатии и витреомакулярного тракционного синдрома. Всем пациентам было проведено офтальмологическое обследование:
- офтальмобиомикроскопия с использованием асферической линзы 78 D;
- ОКТ макулярной области сетчатки на томографе RetinaScan-3000 (NIDEK). При подсчете структурных значений ОКТ исследовалась область сетчатки в 6000 мкм с центром в фовеоле в каждой послойной зоне, т.е. анализировался один скан, проходящий через центр фовеа. Определялась общая толщина сетчатки и толщина каждого ее слоя с шагом в 300 мкм в 21 вертикальном скане. Деление сетчатки на зоны и измерение толщины каждой зоны позволяет выполнять программное обеспечение прибора (табл. 1);
- фоторегистрация глазного дна с измерением ОПМП методом рефлектометрии с использованием немидриатической фундус-камеры VISUCAM 500® (CarlZeissMeditecAG). Используя показатели фундус-камеры (Volume, Area, Max, Mean), в режиме MPOD производилось определение ОПМП в I и II группе пациентов;
- микропериметрия (MP1 Microperimeter, Nidek Technologies). При проведении микропериметрии использовался стандартный стимул размером 0,43° (Goldmann III) и длительностью 200 мс. Применялась автоматическая программа, тестирующая 45 точек двенадцати градусов с центром в области фиксации, использовалась стратегия 4-2. Локализация точки фиксации взора и ее стабильность во времени определялась с помощью фиксационного теста.
Таблица 1. Средние показатели толщины зон сетчатки у пациентов сравниваемых групп, мкм
Послойные зоны сетчатки | I группа | II группа | |
Зоны | Общая толщина | 404,62±15,23** | 298,3±6,43 |
1 | Пигментный эпителий сетчатки – наружные сегменты фоторецепторов | 63,26±1,01 | 71,14±0,78 |
2 | Внутренние сегменты фоторецепторов – наружный ядерный слой | 87,38±3,85 | 75,35±3,06 |
3 | Наружный сетчатый слой – внутренний ядерный слой | 114,97±4,92** | 61,09±3,96 |
4 | Внутренний сетчатый слой – слой ганглиозных клеток | 109,87±4,86* | 68,46±3,95 |
5 | Слой нервных волокон – внутренняя пограничная мембрана | 28,67±2,21* | 12,65±1,2 |
* – достоверные различия по сравнению с контрольной группой (р<0,05), ** – р<0,001.
Пациентам I группы проводилось определение уровня гликированного гемоглобина (HbA1c) с целью установления компенсации СД.
Протокол исследования одобрен на заседании этического комитета ГБУ «Уфимский НИИ глазных болезней АН РБ» от 07 июля 2014 г. (протокол №3). Всеми пациентами подписано информированное согласие на участие в исследовании.
Статистическую обработку результатов проводили с использованием методов описательной статистики, однофакторного дисперсионного анализа и апостериорного критерия Дункана (Duncan’s test) для множественного сравнения. Критический уровень статистической значимости при проверке нулевой гипотезы принимали равным 0,05.
Результаты и обсуждение
Офтальмоскопически у пациентов I группы наблюдались характерные для диабетической ретинопатии изменения в виде микроаневризм, преретинальных кровоизлияний, «твердых» и/или «мягких» экссудатов, отек сетчатки, интраретинальные микрососудистые аномалии (выраженное расширение вен, неравномерность их калибра, извитость, сосудистые петли). По классификации Kohner E. и Porta M. (1991), пациенты данной группы имели непролиферативную и препролиферативную стадии ретинопатии.
Уровень HbA1c у пациентов первой группы составлял 6,8±0,4%, что говорит о компенсации процесса.
В таблице 1 представлены результаты исследования морфологических структур сетчатки у пациентов сравниваемых групп.
При анализе картограмм ОКТ у пациентов II группы определялся правильный профиль макулы с углублением в центре. Общая толщина сетчатки составила от 220,2±11,92 до 343,4±10,14 мкм. Средний показатель был равен 298,3±6,43 мкм. У пациентов I группы средняя толщина сетчатки, учитывая все точки исследуемой области, изменялась от 340,43±36,04 до 463,18±38,21 мкм с постепенным утолщением от периферии к центру. Максимальные значения отмечались на расстоянии 889 мкм от центра фовеа. Средний показатель толщины сетчатки в результате отека увеличился на 35% и составил 404,62±15,23 мкм (рис. 1).
Рис. 1. Показатели средних значений общей толщины сетчатки у пациентов I и II групп.
Зональный анализ показал, что среднее значение толщины первой зоны сетчатки у пациентов I группы снизилось на 16%, что связано с отечным компонентом вышележащего слоя. Показатели второй зоны увеличились на 15%, что говорит о частичной заинтересованности данных структур. Наибольшие изменения коснулись 3, 4 и 5 зон, где увеличение средней толщины сетчатки по сравнению с контрольной группой было статистически достоверным (рис. 2, А, Б).
Рис. 2. Показатели средних значений толщины сетчатки по зонам у пациентов I (А) и II (Б) групп.
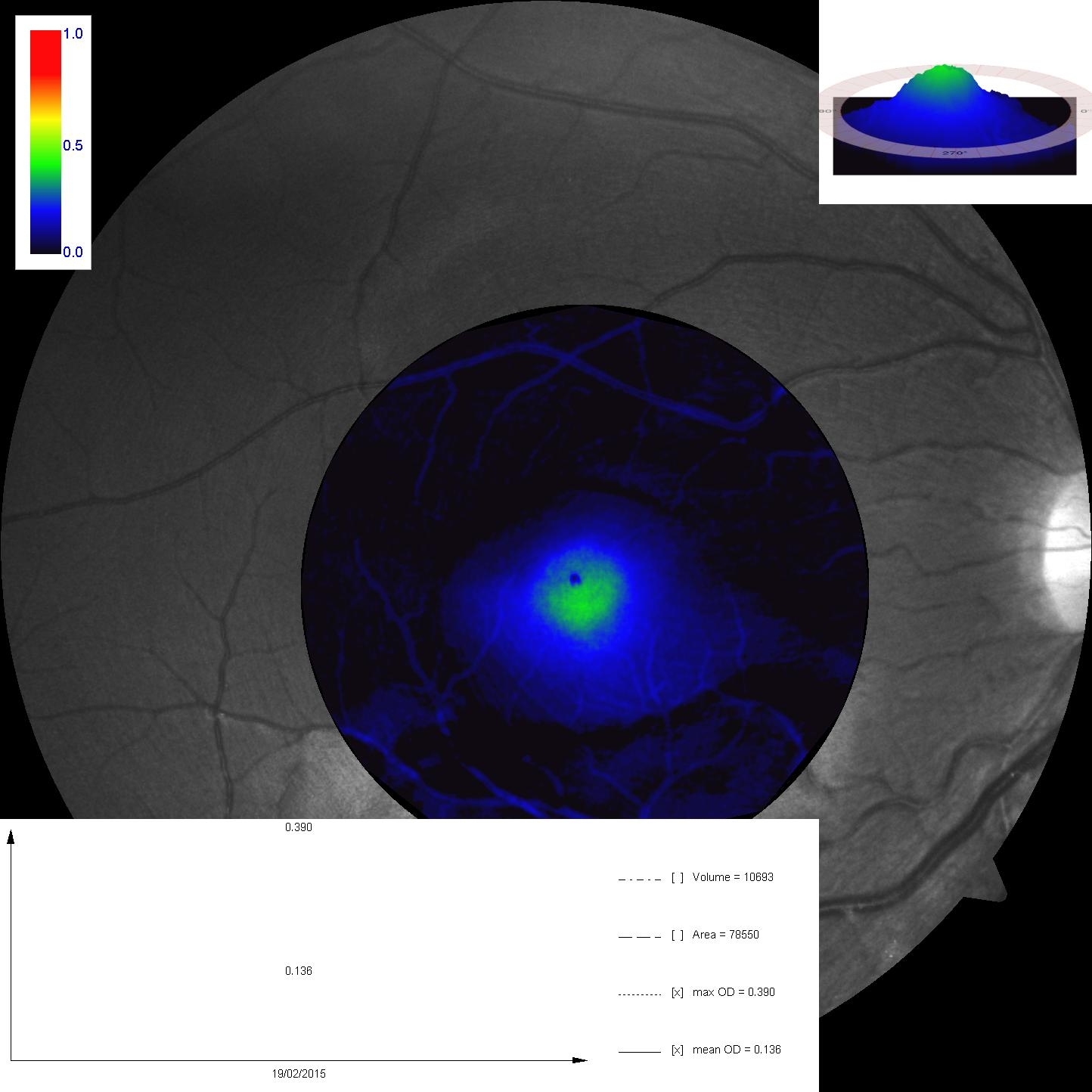
Интерпретируя результаты исследований ОПМП, анализировались графические картограммы в виде профилей пространственного распределения макулярного пигмента, а также в качестве измеренных значений (средней оптической плотности, максимальной оптической плотности, объема и области) (рис. 3).
Рис. 3. Фотография глазного дна и картограмма ОПМП у пациента М. I группы (А, Б), пациента Н. II группы (В, Г).
На рисунке 3 (Б) видна низкая концентрация макулярного пигмента, которая характеризуется интенсивностью синего и зеленого цветов, по сравнению с рисунком 3 (Г). При анализе ОПМП выявлено значительное снижение всех показателей у пациентов I группы по сравнению с группой контроля (табл. 2).
Таблица 2. Средние показатели ОПМП у пациентов I и II группы
Максимальное значение оптической плотности (du) | Среднее значение оптической плотности OD (du) | Площадь распределения макулярного пигмента (pixel) | Объем макулярного пигмента (du x pixel) | |
I группа | 0,321±0,01* | 0,102±0,01* | 54484,92±14769,36 | 4106,83±1080,58* |
II группа | 0,693±0,02 | 0,252±0,01 | 63651±15234,23 | 15702±3043,23 |
* – достоверные различия по сравнению с контрольной группой (р<0,05). du = density units; OD = optical density.
При сопоставлении данных ОКТ и ОПМП выявлено более выраженное снижение последней в зоне отека сетчатки. В результате анализа полученных данных выявлены грубые нарушения структуры сетчатки и распределения ОПМП у пациентов с ДМО. Наиболее вовлеченными в патологический процесс оказались внутренний ядерный и внутренний сетчатый слои сетчатки. При корреляционном анализе морфологических параметров (толщина сетчатки) и ОПМП установлена обратная корреляционная связь сильной степени (r =-0,93; p<0,05) между показателями толщины сетчатки и ОПМП. Снижение показателей ОПМП в зонах отека по результатам исследования происходит, вероятно, по причине рассеивания макулярного пигмента в процессе формирования отечного компонента, а также экранированием твердыми экссудатами, что требует дальнейшего изучения. Полученные нами результаты не находят отражения в проводимых ранее исследованиях.
На основании данных микропериметрии центральной зоны сетчатки у пациентов I группы фиксация взора оставалась центральной и стабильной, а размер области фиксации не превышал 4°. Показатели световой чувствительности были снижены в среднем на 9 дБ и составили 9,85±0,09 дБ. При попадании стимулов на область твердых экссудатов отмечено более выраженное снижение светочувствительности (до 0 дБ) по сравнению с областью макулярного отека (до 4 дБ) (рис. 4).
Рис. 4. Данные микропериметрии у пациента К. I группы.
При корреляционном анализе структурных (толщина сетчатки) и функциональных (светочувствительность сетчатки) параметров установлена обратная корреляционная связь средней степени (r=-0,57; p<0,05). Корреляционный анализ светочувствительности сетчатки и ОПМП также показал среднюю корреляционную зависимость (r=-0,61; p<0,05). Это говорит о снижении функциональной активности сетчатки наряду с развитием отека. Наше исследование подтверждает сделанные ранее выводы о снижении светочувствительности при развитии отека сетчатки при ДМО [10, 12].
Таким образом, в результате анализа полученных данных выявлены грубые нарушения структуры сетчатки и распределения ОПМП у пациентов с ДМО.
В дальнейших исследованиях предстоит определить, как будет изменяться толщина сетчатки, ОПМП и пороговая световая чувствительность сетчатки на фоне терапии.
Вывод
При диабетическом макулярном отеке выявлено резкое снижение показателей ОПМП, определяющееся, по-видимому, его рассеиванием. Установлена корреляционная связь сильной степени между количественным показателем ОПМП и зоной отека сетчатки. Достоверно снижается световая чувствительность в центральной зоне сетчатки. При попадании стимулов на область, соответствующую зоне отложения твердых экссудатов, выявлено грубое нарушение световой чувствительности вплоть до ее отсутствия.
Информация о финансировании и конфликте интересов
Исследование проведено в рамках научно-исследовательской работы при поддержке ГБУ «Уфимский НИИ глазных болезней Академии наук Республики Башкортостан».Авторы декларируют отсутствие явных и потенциальных конфликтов интересов, связанных с публикацией рукописи.
Список литературы
1. Сахарный диабет: диагностика, лечение, профилактика. / Под ред. Дедова И.И., Шестаковой М.В. – М.: Медицинское информационное агенство; 2011. [Diabetes Mellitus: diagnosis, treatment, prevention. Ed by. Dedov I.I., Shestakova M.V. Moscow: MIA; 2011. (In Russ).]
2. Астахов Ю.С., Шадричев Ф.Е., Красавина М.И., и др. Современные подходы к лечению диабетического макулярного отека. // Офтальмологические ведомости. – 2009. – Т. 2. – №4 – С.59-69. [Astakhov YS, Shadrichev FE, Krasavina ME, et al. Modern approaches to diabetic macular edema treatment. Oftalmologicheskie vedomosti. 2009;2(4):59-69. (In Russ.)]
3. Бикбов М.М., Файзрахманов Р.Р., Гильманшин Т.Р., и др. Современные тенденции консервативного лечения тромбозов ретинальных вен. // Катарактальная и рефракционная хирургия. – 2014. – Т. 14. – №3 – С.11-16. [Bikbov MM, Faizrakhmanov RR, Gil’manshin TR, et al. Current trends of conservative treatment retinal vein’s thrombosis. Cataract and Refractive Surgery. 2014;14(3):11-16.]
4. Jackson TL, Nicod E, Angelis A, et al. Vitreous attachment in age-related macular degeneration, diabetic macular edema, and retinal vein occlusion: a systematic review and metaanalysis. Retina. 2013;33(6):1099-1108. doi: 10.1097/IAE.0b013e31828991d6
5. Бикбов М.М., Файзрахманов Р.Р., Ярмухаметова А.Л., и др. Оценка параметров центрального отдела сетчатки при формировании активной фиброваскулярной мембраны на фоне интравитреального введение блокаторов ангиогенеза. // Катарактальная и рефракционная хирургия. – 2013. – Т. 13. – №4 – С.57-59. [Bikbov MM, Fayzrakhmanov RR, Yarmuhametova AL, et al. Assessment of parameters of the central region of a retina when forming an active fibrovascular membrane against intravitrealy introduction of angiogenesis blockers. Cataract and Refractive Surgery. 2013;13(4):57-59.]
6. Virgili G, Menchini F, Murro V, et al. Optical coherence tomography (OCT) for detection of macular oedema in patients with diabetic retinopathy. The Cochrane database of systematic reviews. 2011;(7):CD008081. doi: 10.1002/14651858.CD008081.pub2
7. Stringham JM, Garcia PV, Smith PA, et al. Macular pigment and visual performance in glare: benefits for photostress recovery, disability glare, and visual discomfort. Investigative ophthalmology & visual science. 2011;52(10):7406-7415. doi: 10.1167/iovs.10-6699
8. Waldstein SM, Hickey D, Mahmud I, et al. Two-wavelength fundus autofluorescence and macular pigment optical density imaging in diabetic macular oedema. Eye. 2012;26(8):1078-1085. doi: 10.1038/eye.2012.100
9. Querques G, Forte R, Longo C, et al. [Microperimetry in age-related macular degeneration]. Journal francais d’ophtalmologie. 2008;31(5):515-521. doi: 10.1016/S0181-5512(08)72469-0
10. Deak GG, Bolz M, Ritter M, et al. A systematic correlation between morphology and functional alterations in diabetic macular edema. Investigative ophthalmology & visual science. 2010;51(12):6710-6714. doi: 10.1167/iovs.09-5064
11. Okada K, Yamamoto S, Mizunoya S, et al. Correlation of retinal sensitivity measured with fundus-related microperimetry to visual acuity and retinal thickness in eyes with diabetic macular edema. Eye. 2006;20(7):805-809. doi: 10.1038/sj.eye.6702014
12. Vujosevic S, Midena E, Pilotto E, et al. Diabetic Macular Edema: Correlation between Microperimetry and Optical Coherence Tomography Findings. Investigative ophthalmology & visual science. 2006;47(7):3044-3051. doi: 10.1167/iovs.05-1141
Об авторах
Мухаррам Мухтарамович БикбовГБУ Уфимский НИИ глазных болезней АН РБ
Россия
доктор медицинских наук, профессор, директор ГБУ "Уфимский НИИ Глазных Болезней АН РБ"
Конфликт интересов: Автор декларирует отсутствие явных и потенциальных конфликтов интересов, связанных с публикацией рукописи.
Ринат Рустамович Файзрахманов
ГБУ Уфимский НИИ глазных болезней АН РБ
Россия
кандидат медициннских наук, заведующий отделением витреоретинальной и лазерной хирургии ГБУ "Уфимский НИИ Глазных Болезней АН РБ"
Конфликт интересов: Автор декларирует отсутствие явных и потенциальных конфликтов интересов, связанных с публикацией рукописи.
Алия Линаровна Ярмухаметова
ГБУ Уфимский НИИ глазных болезней АН РБ
Россия
кандидат медициннских наук, старший научный сотрудник отделения витреоретинальной и лазерной хирургии ГБУ "Уфимский НИИ Глазных Болезней АН РБ"
Конфликт интересов: Автор декларирует отсутствие явных и потенциальных конфликтов интересов, связанных с публикацией рукописи.
Ринат Мухаметович Зайнуллин
ГБУ Уфимский НИИ глазных болезней АН РБ
Россия
научный сотрудник отделения витреоретинальной и лазерной хирургии ГБУ "Уфимский НИИ Глазных Болезней АН РБ"
Конфликт интересов: Автор декларирует отсутствие явных и потенциальных конфликтов интересов, связанных с публикацией рукописи.
Дополнительные файлы
|
|
1. Фотография | |
| Тема | ||
| Тип | Результаты исследования | |
Посмотреть
(1MB)
|
Метаданные ▾ | |
|
|
2. Фотография | |
| Тема | ||
| Тип | Результаты исследования | |
Посмотреть
(369KB)
|
Метаданные ▾ | |
|
|
3. Фотография | |
| Тема | ||
| Тип | Результаты исследования | |
Посмотреть
(1MB)
|
Метаданные ▾ | |
|
|
4. Фотография | |
| Тема | ||
| Тип | Результаты исследования | |
Посмотреть
(415KB)
|
Метаданные ▾ | |
|
|
5. Фотография | |
| Тема | ||
| Тип | Результаты исследования | |
Посмотреть
(4MB)
|
Метаданные ▾ | |
|
6. Аннотация на английском языке | |
| Тема | ||
| Тип | Прочее | |
Скачать
(47KB)
|
Метаданные ▾ | |
Рецензия
Для цитирования:
Бикбов М.М., Файзрахманов Р.Р., Ярмухаметова А.Л., Зайнуллин Р.М. Структурно-функциональный анализ центральной зоны сетчатки у пациентов с диабетическим макулярным отеком. Сахарный диабет. 2015;18(4):99-104. https://doi.org/10.14341/DM7126
For citation:
Bikbov M.M., Fayzrakhmanov R.R., Yarmuhametova A.L., Zainullin R.M. Analysis of the central zone of the retina in patients with diabetic macular edema. Diabetes mellitus. 2015;18(4):99-104. (In Russ.) https://doi.org/10.14341/DM7126
Контент доступен под лицензией Creative Commons Attribution-NonCommercial-NoDerivatives 4.0 International License (CC BY-NC-ND 4.0).








































