Перейти к:
Гуморальные факторы формирования нейроостеоартропатии при сахарном диабете 2 типа
https://doi.org/10.14341/DM13039
Аннотация
ОБОСНОВАНИЕ. Диабетическая нейроостеоартропатия (ДНОАП) — тяжелое и на сегодняшний день недостаточно изученное осложнение сахарного диабета, которое характеризуется прогрессирующим разрушением костей и суставов на фоне нейропатии и приводит к формированию деформаций стопы различной степени выраженности. Поиск предикторов данной патологии является крайне актуальным, т.к. позволит оптимизировать терапию и снизить риск ампутации конечности.
ЦЕЛЬ. Сравнить уровень конечных продуктов гликирования и их рецепторов в крови и костной ткани у больных сахарным диабетом 2 типа (СД2) и ДНОАП и у лиц без данного осложнения с целью определения возможности использования этих параметров в качестве ранних предикторов формирования тяжелых деформаций стопы у данной категории пациентов.
МАТЕРИАЛЫ И МЕТОДЫ. В ходе госпитализации для планового хирургического лечения был выполнен забор венозной крови и образцов костной ткани больных с хронической (неактивной) стадией ДНОАП и пациентов с диабетической нейропатией без данного осложнения.
РЕЗУЛЬТАТЫ. В исследовании приняли участие 88 пациентов с СД2 и нейропатической формой синдрома диабетической стопы. Больные были разделены на 2 группы. 1 группу (n=43) составили больные с хронической стадией ДНОАП, 2 группу (n=45) — лица с выраженной диабетической нейропатией без костно-суставных нарушений. Проведенное исследование не выявило статистически значимых различий в уровнях конечных продуктов гликирования (AGE) в сыворотке крови у пациентов с ДНОАП и без нее, однако было зафиксировано значимое повышение экспрессии рецепторов к AGE (RAGE) в костной ткани в группе пациентов с ДНОАП по сравнению с контролем. У пациентов с повышенной экспрессией RAGE в кости (пациенты с ДНОАП) было выявлено более высокое содержание AGE в крови по сравнению с группой без данного осложнения, но это различие не было значимым.
ЗАКЛЮЧЕНИЕ. Впервые проведено исследование AGE и рецепторов к ним в сыворотке крови и костной ткани у лиц с ДНОАП и без данного осложнения. Полученные результаты позволяют предположить, что уровень AGE в периферической крови не может служить маркером формирования ДНОАП, однако требуется проведение дальнейших исследований для более детального понимания механизмов влияния AGE на развитие ДНОАП.
КЛЮЧЕВЫЕ СЛОВА: сахарный диабет; нейроостеоартропатия; конечные продукты гликирования; рецепторы конечных продуктов гликирования
Ключевые слова
Для цитирования:
Каландия М.М., Коган Е.А., Никанкина Л.В., Токмакова А.Ю., Зайцева Е.Л., Галстян Г.Р. Гуморальные факторы формирования нейроостеоартропатии при сахарном диабете 2 типа. Сахарный диабет. 2023;26(6):549-555. https://doi.org/10.14341/DM13039
For citation:
Kalandiya M.M., Kogan E.A., Nikankina L.V., Tokmakova A.Y., Zaitseva E.L., Galstyan G.R. Humoral factors in the formation of neuroosteoarthropathy in type 2 diabetes mellitus. Diabetes mellitus. 2023;26(6):549-555. (In Russ.) https://doi.org/10.14341/DM13039
ОБОСНОВАНИЕ
Одним из тяжелых осложнений сахарного диабета (СД) является диабетическая нейроостеоартропатия (ДНОАП, стопа Шарко), которая достаточно часто приводит к развитию грубых деформаций стопы, следствием которых могут стать трофические язвы и ампутации. Это состояние характеризуется прогрессирующей деструкцией костей и суставов на фоне неврологического дефицита [1].
В различных литературных источниках распространенность ДНОАП колеблется от 0,8 до 4% [2][3].
Генез данного осложнения до конца не изучен. Считается, что нераспознанная травма или оперативные вмешательства на фоне выраженной неврологической дисфункции провоцируют формирование ДНОАП. Принято выделять две основные теории развития данного заболевания: нейроваскулярная и нейротравматическая, однако ни одна из них не дает полного понимания механизма развития патологических процессов при ДНОАП [4].
Имеются данные о негативном влиянии конечных продуктов гликирования (AGE) на развитие различной патологии, в том числе и поздних макро- и микрососудистых осложнений СД, однако работ, посвященных роли AGE в генезе костно-суставных поражений, крайне мало. Для более глубокого изучения патофизиологических механизмов возникновения ДНОАП вызывает интерес оценка уровня AGE в сыворотке крови пациентов с данным осложнением и без него.
AGE образуются в результате реакции, протекающей без участия ферментов между восстановленными углеводами (рибоза, глюкоза, фруктоза и др.) и свободными аминогруппами белков, липидов и нуклеиновых кислот живого организма.
Образование AGE — процесс, который требует длительного времени, в связи с чем белки с длительным периодом полураспада подвержены большему их накоплению. К таким белкам относятся коллаген и эластин. У пациентов с СД нарушены механизмы внутриклеточного протеолиза, и это ведет к еще большему накоплению AGE в клубочках почек, сетчатке глаза и периферических нервах [5][6].
AGE учувствуют в процессах воспаления посредством взаимодействия с их рецепторами (RAGE). RAGE являются трансмембранными гликопротеидами 1 типа и экспрессируются в различных клетках живого организма (макрофагах, лимфоцитах, клетках эндотелия), обуславливая развитие воспаления. В литературе встречаются данные о наличии RAGE в остеоцитах. При избыточном накоплении AGE и их взаимодействии с рецепторами происходит чрезмерное образование активных форм кислорода, приводящее к оксидативному стрессу [7].
Защитой от активных форм кислорода в организме выступают антиоксидантные ферменты, к которым относятся глутатионпероксидазы — семейство селензависимых ферментов. Одна из наиболее распространенных форм фермента — глутатионпероксидаза 1, которая встречается в цитоплазме всех тканей. Она участвует в восстановлении пероксида водорода и органических гидропероксидов, тем самым защищая белки от окислительной атаки [8].
Учитывая прогрессивный рост заболеваемости СД, а следовательно, и рост его осложнений, оценка AGE вызывает особый интерес для более глубокого изучения патофизиологических механизмов формирования, прогрессирования и рецидивирования ДНОАП.
ЦЕЛЬ ИССЛЕДОВАНИЯ
Изучить уровень AGE и рецепторов к ним у пациентов с ДНОАП и без нее, но с диабетической полинейропатией и деформациями стоп.
МАТЕРИАЛЫ И МЕТОДЫ
Место и время проведения исследования
Место проведения.
ФГБУ «НМИЦ эндокринологии», отделение диабетической стопы.
Время исследования.
Сбор материала проводился с ноября 2020 по май 2022 г.
Изучаемые популяции
Всего в исследование были включены 88 пациентов с диагнозом СД 2 типа (СД2). Больные были разделены на 2 группы. В 1 группу (n=43) были включены пациенты с СД2 и ДНОАП, во 2 группу (n=45) — лица с СД2 без данного осложнения.
Критерии включения пациентов в 1 группу:
- СД 2 типа;
- Длительность заболевания менее 35 лет;
- Возраст пациентов до 65 лет;
- Наличие хронической стадии ДНОАП.
Критерии включения пациентов во 2 группу:
- СД 2 типа;
- Длительность заболевания менее 35 лет;
- Возраст пациентов до 65 лет;
- Отсутствие ДНОАП;
- Наличие диабетической полинейропатии.
Критерии невключения.
- СД 1 типа;
- Наличие гиперпаратиреоза;
- Диабетическая нефропатия, хроническая болезнь почек 4–5 степени;
- Наличие острой стадии ДНОАП и остеомиелита (на основании данных анамнеза, клинической картины и результатов рентгенографии и МРТ).
Способ формирования выборок из изучаемой популяции
Выборка формировалась путем сплошного включения наблюдений, другая — подбором пар к наблюдениям первой выборки.
Дизайн исследования
Работа выполнена в дизайне наблюдательного одноцентрового одномоментного контролируемого нерандомизированного исследования.
Описание медицинского вмешательства
Исследование проведено в многопрофильном специализированном эндокринологическом стационаре (отделение диабетической стопы ФГБУ «НМИЦ эндокринологии» Минздрава России). У больных выполнялся забор венозной крови натощак с последующим ее центрифугированием и получением сыворотки и плазмы. Исследование биообразцов крови выполнено в клинико-диагностической лаборатории того же учреждения. У всех включенных в исследование пациентов были определены AGE.
Образцы костной ткани были взяты во время плановых оперативных вмешательств по поводу деформаций стопы вследствие ДНОАП (группа 1) и хирургической обработки ран у лиц с нейропатической формой синдрома диабетической стопы (группа 2). Исследование костной ткани выполнено на кафедре патологической анатомии Сеченовского университета (зав. кафедрой профессор д.м.н. Коган Е.А.).
Методы
Все лабораторные исследования образцов сыворотки крови проводились в клинико-диагностической лаборатории ФГБУ «НМИЦ эндокринологии» Минздрава России.
Определение исследуемых параметров осуществляли методом иммуноферментного анализа ELISA с использованием тест-систем в соответствии с инструкциями производителя. Минимальный детектируемый уровень для AGE (G-Biosciences, USA) составил 0,188 нг/мл.
Костный материал фиксировали в 10% растворе формалина. Иммуногистохимическое (ИГХ) исследование проведено на иммуностейнере Leica BOND-MAX (Германия) по стандартному протоколу. В качестве первичных антител для ИГХ-исследования использовались кроличьи поликлональные антитела к специфичному RAGE (титр разведения 1:50, Cloud-Clone Corp., США_. При выполнении ИГХ-исследования одновременно с основными реакциями ставились позитивные и негативные контрольные реакции. Исследование и фотографирование ИГХ-микропрепаратов проводилось на микроскопе Olympus BX46 кафедры патологической анатомии.
Статистический анализ
Статистический анализ проведен с использованием программного пакета Statistica 13, разработанного компанией StatSoft (США). Для описания количественных признаков были использованы медианы, первый и третий квартили, представленные как Me [Q1; Q3], а для качественных признаков — абсолютные и относительные частоты, выраженные в виде n/N (%). Сравнение двух независимых групп в отношении количественных признаков выполнено при помощи критерия Манна–Уитни (U-тест). Для сравнения частот бинарных признаков применен критерий Хи-квадрат (χ²). Корреляционный анализ количественных параметров проведен с использованием метода ранговой корреляции по Спирмену, а для оценки корреляции между порядковыми и количественными признаками был использован метод ранговой корреляции по Кендаллу. Значимость статистических гипотез проверялась при критическом уровне значимости (р) 0,05. При выполнении множественных сравнений была использована поправка Бонферрони (Р0), корректирующая критический уровень значимости. Все значения, находящиеся в диапазоне от критического значения до 0,05, были рассмотрены в качестве статистической тенденции.
Этическая экспертиза
Локальный этический комитет при ФГБУ «НМИЦ эндокринологии» МЗ РФ постановил одобрить возможность проведения данной научно-исследовательской работы, выписка из протокола № 19 от 25.11.2020 г. Все пациенты подписывали добровольное информированное согласие для участия в исследовании.
РЕЗУЛЬТАТЫ
Характеристика пациентов
В исследовании всего приняли участие 88 пациентов. Из них были выделены две группы. В 1 группу входили пациенты с СД2 и ДНОАП (43), 2 группа (контрольная) состояла из пациентов с СД2 и с нейропатическими язвенными дефектами стопы без ДНОАП (45).
Исследуемые группы были сопоставимы по возрасту, длительности диабета и уровню его контроля. Клинико-лабораторная характеристика пациентов, включенных в исследование, представлена в табл. 1.
Таблица 1. Сравнительная характеристика групп обследованных пациентов
|
Показатель |
Группа 1, с ДНОАП |
Группа 2, без ДНОАП |
р, U-тест |
|
Me [Q1; Q3] |
Me [Q1; Q3] |
||
|
Возраст, лет |
57 [ 49; 65] |
63 [ 56; 65] |
0,007 |
|
Длительность диабета, лет |
15 [ 11; 20] |
15 [ 9; 18] |
0,392 |
|
HbA1c, % |
8,3 [ 7,0; 9,6] |
8,8 [ 7,3; 10,2] |
0,184 |
|
ИМТ, кг/м² |
33,45 [ 30,0; 37,5] |
30,00 [ 28,0; 33,0] |
0,023 |
|
Лейкоциты, 10^9 кл/л |
7,86 [ 6,40; 9,00] |
7,00 [ 6,00; 8,15] |
0,109 |
|
Эритроциты, 10¹² кл/л |
4,42 [ 4,00; 4,87] |
4,65 [ 4,06; 5,00] |
0,121 |
|
Гемоглобин, г/л |
124 [ 113; 137] |
135 [ 122; 149] |
0,003 |
|
Тромбоциты, 10⁹ кл/л |
276 [ 221; 330] |
242 [ 204; 301] |
0,215 |
|
СОЭ, мм/час |
39 [ 16; 60] |
18 [ 11; 32] |
0,001 |
|
рСКФ, мл/мин/1,73 м² |
77 [ 55; 98] |
76 [ 59; 85] |
0,488 |
Примечание: ДНОАП — диабетическая нейроостеоартропатия;
HbA1c — гликированный гемоглобин;
ИМТ — индекс массы тела;
СОЭ — скорость оседания эритроцитов;
рСКФ — расчетная скорость клубочковой фильтрации.
*χ².
Поправка Бонферрони Р0=0,003.
Результаты
Всем пациентам был выполнен анализ крови на AGE.
Медиана AGE в группе без ДНОАП составила 219 [ 197; 271], а в группе с ДНОАП — 210 [ 168; 264] (табл. 2).
Таблица 2. Анализ конечных продуктов гликирования
у пациентов с сахарным диабетом 2 типа
|
Показатель |
Группа 1, с ДНОАП Me [Q1; Q3] |
Группа 2, без ДНОАП Me [Q1; Q3] |
р, U-тест |
|
AGE, нг/мл |
210 [ 168; 264] |
219 [ 197; 271] |
0,258 |
Примечание: AGE — конечные продукты гликирования;
ДНОАП — диабетическая нейроостеоартропатия.
Поправка Бонферрони Р0=0,01.
Статистически значимых различий по уровню AGE (p=0,258) между двумя группами обнаружено не было.
У 10 пациентов из каждой группы в ходе планового оперативного вмешательства (в 1 группе — реконструктивные операции по коррекции деформации стопы, во 2 группе — в ходе хирургической обработки хронического раневого дефекта при нейропатической форме синдрома диабетической стопы) производился забор интактного костного фрагмента для оценки экспрессии рецепторов к AGE в костной ткани ИГХ-методом.
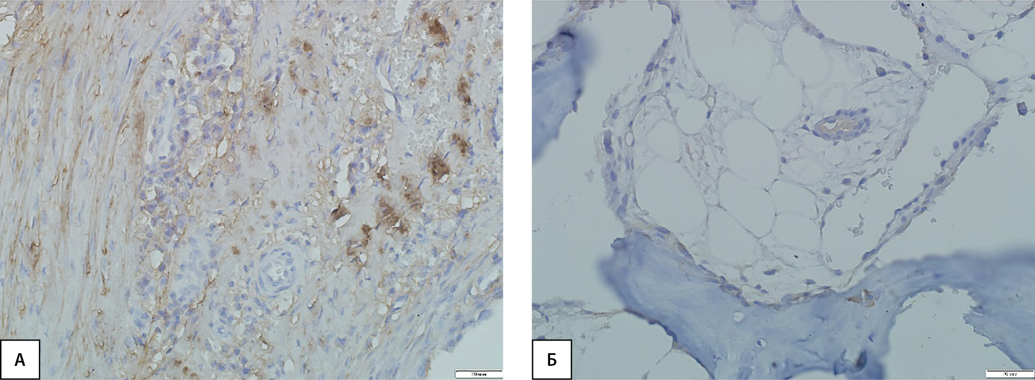
В ходе ИГХ-исследования было зафиксировано достоверное увеличение относительного содержания RAGE в группе пациентов с ДНОАП по сравнению с группой контроля (p<0,05) (рис. 1).

Рисунок 1. Выраженность экспрессии рецепторов
к конечным продуктам гликирования в костной ткани
пациентов с диабетической нейроостеоартропатией и контрольной группы.
Примечание. ДНОАП — диабетическая нейроостеоартропатия;
RAGE — рецепторы к конечным продуктам гликирования
У пациентов с повышенной экспрессией RAGE в костях (пациенты с ДНОАП) было выявлено более высокое содержание AGE в крови по сравнению с группой без данного осложнения (табл. 3).
Таблица 3. Сравнение групп по уровню конечных продуктов гликирования
|
Показатель |
Группа 1, с ДНОАП Me [Q1; Q3] |
Группа 2, без ДНОАП Me [Q1; Q3] |
р, U-тест |
|
AGE, нг/мл |
272 [ 218; 301] |
164 [ 121; 201] |
<0,001 |
Примечание. ДНОАП — диабетическая нейроостеоартропатия;
AGE — конечные продукты гликирования
На рис. 2 представлена ИГХ-картина экспрессии RAGE в костях у лиц с ДНОАП и группы контроля.

Рисунок 2. Иммуногистохимическая картина экспрессии RAGE в костях
у лиц с диабетической нейроостеоартропатией (А) и группы контроля (Б).
Примечание. RAGE — рецепторы к конечным продуктам гликирования
Однако при статистическом анализе их к общему числу пациентов (88 пациентов) статистически значимых различий по уровню AGE в крови обнаружено не было. (табл. 4).
Таблица 4. Сравнительная оценка
уровня конечных продуктов гликирования в периферической крови
у пациентов со значимой экспрессией рецепторов
конечных продуктов гликирования в костной ткани
и общей группе включенных в исследование
|
Показатель |
Пациенты со значимой экспрессией RAGE в костной ткани Me [Q1; Q3] |
Общая группа Me [Q1; Q3] |
р, U-тест |
|
AGE, нг/мл |
210 [ 164; 272] |
216 [ 190; 267] |
0,669 |
Примечание: AGE — конечные продукты гликирования;
ДНОАП — диабетическая нейроостеоартропатия.
Лабораторное исследование креатинина с последующим расчетом скорости клубочковой фильтрации (рСКФ) выполнялось всем пациентам. Уровень AGE статистически значимо отрицательно коррелировал с рСКФ (r=-0.341; р=0,001, метод Спирмена) (табл. 5).
Таблица 5. Корреляционный анализ
расчетной скорости клубочковой фильтрации
с конечными продуктами гликирования (n=88)
|
Показатели |
р, метод Спирмена |
r, коэффициент корреляции Спирмена |
|
|
рСКФ, мл/мин/1,73 м² |
AGE, нг/мл |
0,001 |
-0,341 |
Примечание. рСКФ — расчетная скорость клубочковой фильтрации;
AGE — конечные продукты гликирования.
Поправка Бонферрони Р0=0,01.
ОБСУЖДЕНИЕ
Сопоставление с другими публикациями
Исследование AGE сыворотки крови у пациентов с ДНОАП проводится впервые, в связи с чем сопоставление с другими публикациями затруднительно.
Известно, что основными факторами, приводящими к поражению нижних конечностей при СД, являются нейропатия и ангиопатия. Доказано, что длительная и стойкая гипергликемия приводит к активации многоэтапного каскада метаболических нарушений, в результате чего развиваются сосудистые осложнения. Одним из объяснений патологических поражений микрососудистого русла является процесс неферментативного гликозилирования белков. Есть работы, которые подтверждают влияние AGE на развитие микрососудистых осложнений.
Так, по данным нескольких исследований, у пациентов с диабетической нефропатией отмечалось повышение уровня пентозидина, наиболее часто определяемого AGE [9][10].
В исследовании, проведенном S. Sugiyama и соавт., была выявлена положительная корреляция пентозидина с креатинином в группе пациентов с СД, однако не было обнаружено различий в уровне пентозидина в сыворотке крови у пациентов с СД и без него [11].
В ходе нашего исследования также была зафиксирована статистически значимая отрицательная корреляция AGE с рСКФ (r=-0,341; р=0,001, метод Спирмена). Группы пациентов значимо не отличались по возрасту, длительности СД и степени его контроля. Также у всех больных исключено наличие признаков терминальной почечной недостаточности.
Настоящее исследование не показало статистически значимых различий в уровне AGE сыворотки крови у пациентов с ДНОАП и без нее. В своей работе мы оценивали суммарное количество всех AGE, однако в работах, выполненных зарубежными и отечественными коллегами, чаще всего оценивался один конечный продукт гликирования — пентозидин.
В исследовании P. Odetti и соавт. была выявлена положительная корреляция между уровнем пентозидина в сыворотке крови и его содержанием в кортикальном слое кости. Исследователи сделали вывод о том, что уровень пентозидина в сыворотке крови может быть предложен в качестве суррогатного маркера его содержания в кости [12].
Мы зафиксировали значимое повышение экспрессии RAGE в костях стопы у пациентов с ДНОАП по сравнению с группой контроля. У этих же лиц было обнаружено и более высокое содержание AGE в крови по сравнению с группой без данного осложнения. Однако при статистическом анализе их к общему числу пациентов статистически значимых различий по уровню AGE в крови обнаружено не было.
Исходя из вышесказанного, можно утверждать, что уровень AGE в периферической крови не может служить маркером формирования ДНОАП при СД2. Можно предположить, что повышенная экспрессия RAGE в костной ткани больных с ДНОАП может быть следствием генетической детерминированности, что требует дополнительных исследований.
Ограничения исследования
Небольшой объем выборки и использование данных больных, сформированных в одном отдельном учреждении, могут не в полной мере отражать ситуацию на популяционном уровне. Включение большего количества пациентов и формирование большей выборки ограничиваются относительно невысокой распространенностью ДНОАП.
ЗАКЛЮЧЕНИЕ
Впервые проведено исследование AGE и рецепторов к ним в сыворотке крови и костной ткани больных СД2 с ДНОАП и без данного осложнения. Полученные результаты свидетельствуют о влиянии AGE на развитие микрососудистых осложнений диабета и диктуют необходимость проведения дальнейших исследований для более детального понимания механизмов влияния AGE на развитие ДНОАП.
ДОПОЛНИТЕЛЬНАЯ ИНФОРМАЦИЯ
Источники финансирования. Работа проведена в рамках выполнения Государственного задания Минздрава РФ НИОКТР № 121021600232-4.
Конфликт интересов. Авторы декларируют отсутствие явных и потенциальных конфликтов интересов, связанных с содержанием настоящей статьи.
Участие авторов. Токмакова А.Ю. — разработка дизайна исследования, написание статьи; Коган Е.А. — проведение иммуногистохимического исследования; Никанкина Л.В. — проведение биохимического исследования крови; Каландия М.М. — сбор клинического материала, его анализ, написание статьи; Зайцева Е.Л. — сбор клинического материала, его анализ, написание статьи; Галстян Г.Р. — разработка дизайна исследования, написание статьи.
Все авторы одобрили финальную версию статьи перед публикацией, выразили согласие нести ответственность за все аспекты работы, подразумевающую надлежащее изучение и решение вопросов, связанных с точностью или добросовестностью любой части работы.
Благодарности. Авторы выражают благодарность сотрудникам отделения диабетической стопы ФГБУ «НМИЦ эндокринологии» Минздрава России, врачам-лаборантам за помощь в подготовке и получении результатов для данной публикации.
Список литературы
1. Rogers LC, Frykberg RG, Armstrong DG, et al. The Charcot foot in diabetes. Diabetes Care. 2011;34(9):2123-2129. doi: https://doi.org/10.2337/dc11-0844
2. McEwen LN, Ylitalo KR, Herman WH, Wrobel JS. Prevalence and risk factors for diabetes-related foot complications in Translating Research Into Action for Diabetes (TRIAD). J Diabetes Complications. 2013;27(6):588-592. doi: https://doi.org/10.1016/j.jdiacomp.2013.08.003
3. Claessens M. Charcot foot in Belgium: an indication of its importance in specialised diabetic foot clinics. In: Caessens M, Debacker N, Nobels F, et al. editors. Abstracts of the IX Meeting of the Diabetic Foot Study Group. 2010.
4. Trieb K. The Charcot foot: Pathophysiology, diagnosis and classification. Bone Joint J. 2016;98-B(9):1155-1159. doi: https://doi.org/10.1302/0301-620X.98B9.37038
5. Wautier J-L, Schmidt AM. Protein glycation: A firm link to endothelial cell dysfunction. Circ Res. 2004;95(3):233-238. doi: https://doi.org/10.1161/01.RES.0000137876.28454.64
6. Bidasee KR, Zhang Y, Shao CH, et al. Diabetes increases formation of advanced glycation end products on sarco(endo) plasmic reticulum Ca2+-ATPase. Diabetes. 2004;53(2):463-473. doi: https://doi.org/10.2337/diabetes.53.2.463
7. Lee EJ, Park JH. Receptor for Advanced Glycation Endproducts (RAGE), its ligands, and soluble RAGE: potential biomarkers for diagnosis and therapeutic targets for human renal diseases. Genomics Inform. 2013;11(4):224. doi: https://doi.org/10.5808/GI.2013.11.4.224
8. Desideri E, Ciccarone F, Ciriolo MR. Targeting glutathione metabolism: Partner in crime in anticancer therapy. Nutrients. 2019;11(8):1926. doi: https://doi.org/10.3390/nu11081926
9. Hricik DE, Schulak JA, Sell DR, et al. Effects of kidney or kidneypancreas transplantation on plasma pentosidine. Kidney Int. 1993;43(2):398-403. doi: https://doi.org/10.1038/ki.1993.58
10. Miyata T, Ueda Y, Shinzato T, et al. Accumulation of albumin-linked and free-form pentosidine in the circulation of uremic patients with end-stage renal failure. J Am Soc Nephrol. 1996;7(8):1198-1206. doi: https://doi.org/10.1681/ASN.V781198
11. Sugiyama S, Miyata T, Ueda Y, et al. Plasma levels of pentosidine in diabetic patients. J Am Soc Nephrol. 1998;9(9):1681-1688. doi: https://doi.org/10.1681/ASN.V991681
12. Odetti P, Rossi S, Monacelli F, et al. Advanced glycation end products and bone loss during aging. Ann N Y Acad Sci. 2005;1043(1):710-717. doi: https://doi.org/10.1196/annals.1333.082
Об авторах
М. М. КаландияРоссия
Каландия Мария Малхазовна, аспирант
117036, г. Москва, ул. Дм. Ульянова, д. 11
Е. А. Коган
Россия
Коган Евгения Александровна, профессор, д.м.н.
г. Москва
Л. В. Никанкина
Россия
Никанкина Лариса Вячеславовна, к.м.н.
г. Москва
А. Ю. Токмакова
Россия
Токмакова Алла Юрьевна, д.м.н.
г. Москва
Е. Л. Зайцева
Россия
Зайцева Екатерина Леонидовна, к.м.н.
г. Москва
Г. Р. Галстян
Россия
Галстян Гагик Радикович, д.м.н., профессор
г. Москва
Дополнительные файлы
|
|
1. Рисунок 1. Выраженность экспрессии рецепторов к конечным продуктам гликирования в костной ткани пациентов с диабетической нейроостеоартропатией и контрольной группы. | |
| Тема | ||
| Тип | Исследовательские инструменты | |
Посмотреть
(86KB)
|
Метаданные ▾ | |
|
|
2. Рисунок 2. Иммуногистохимическая картина экспрессии RAGE в костях у лиц с диабетической нейроостеоартропатией (А) и группы контроля (Б). | |
| Тема | ||
| Тип | Исследовательские инструменты | |
Посмотреть
(301KB)
|
Метаданные ▾ | |
Рецензия
Для цитирования:
Каландия М.М., Коган Е.А., Никанкина Л.В., Токмакова А.Ю., Зайцева Е.Л., Галстян Г.Р. Гуморальные факторы формирования нейроостеоартропатии при сахарном диабете 2 типа. Сахарный диабет. 2023;26(6):549-555. https://doi.org/10.14341/DM13039
For citation:
Kalandiya M.M., Kogan E.A., Nikankina L.V., Tokmakova A.Y., Zaitseva E.L., Galstyan G.R. Humoral factors in the formation of neuroosteoarthropathy in type 2 diabetes mellitus. Diabetes mellitus. 2023;26(6):549-555. (In Russ.) https://doi.org/10.14341/DM13039
Контент доступен под лицензией Creative Commons Attribution-NonCommercial-NoDerivatives 4.0 International License (CC BY-NC-ND 4.0).









































