Перейти к:
Структурные особенности поджелудочной железы у пациентов с сахарным диабетом 1 типа
https://doi.org/10.14341/DM12892
Аннотация
ОБОСНОВАНИЕ. Наблюдения за изменениями объема и размеров поджелудочной железы (ПЖ) имеют давнюю историю, однако результаты исследований до сих пор не однозначны, не ясны конкретные причины данных изменений, а также их последствия. По некоторым данным, снижение объема ПЖ (ОПЖ) составляет 35–45% в популяции пациентов с длительным анамнезом сахарного диабета 1-го типа (СД1) и около 20–25% в течение первого года заболевания. Интересно, что при СД1 в 20–45% случаев отмечается развитие экзокринной недостаточности ПЖ, одним из проявлений которой является атрофия ПЖ, приводящая к снижению ОПЖ.
ЦЕЛЬ. Оценить объемы и размеры ПЖ, а также факторы, способные влиять на их изменение.
МАТЕРИАЛЫ И МЕТОДЫ. В исследование были включены 78 пациентов с СД1, группу контроля составили 23 человека без ранее выявленных нарушений углеводного обмена, сопоставимые по возрасту и антропометрическим показателям с исследуемой группой. РЕЗУЛЬТАТЫ. Объем и размеры ПЖ были статистически значимо меньше у пациентов с СД1, чем в контрольной группе. Кроме того, доказано влияние длительности СД1 и возраста дебюта заболевания на данные показатели.
ЗАКЛЮЧЕНИЕ. Объем и размеры ПЖ у пациентов с СД1 меньше, чем у здоровых лиц. Необходимо изучение влияния этих изменений на функцию ПЖ.
Ключевые слова
Для цитирования:
Рагимов М.Р., Никонова Т.В., Бабаева Д.М., Владимирова В.П., Шестакова М.В. Структурные особенности поджелудочной железы у пациентов с сахарным диабетом 1 типа. Сахарный диабет. 2022;25(3):239-248. https://doi.org/10.14341/DM12892
For citation:
Ragimov M.R., Nikonova T.V., Babaeva D.M., Vladimirova V.P., Shestakova M.V. Structurall features of the pancreas in patients with type 1 diabetes mellitus. Diabetes mellitus. 2022;25(3):239-248. (In Russ.) https://doi.org/10.14341/DM12892
Наблюдения за изменениями размера и объема поджелудочной железы (ПЖ) пациентов с сахарным диабетом (СД) имеют давнюю историю. Еще более 100 лет назад исследования показали снижение веса ПЖ у 25 из 90 пациентов с СД [1]. Однако результаты исследований до сих пор не однозначны, не ясны конкретные причины изменений объема ПЖ (ОПЖ), а также их последствия. Поскольку островки Лангерганса составляют только 1–2% всей ПЖ, снижение объема происходит, вероятно, из-за значительной потери именно экзокринной ткани органа.
Помимо непосредственного исследования аутопсийного материала ПЖ, ОПЖ изучался посредством множества неинвазивных методов визуализации — ультразвукового исследования (УЗИ), компьютерной томографии (КТ) и магнитно-резонансной томографии (МРТ) у взрослых и детей.
В ряде исследований выявлено, что у пациентов с длительным течением СД 1 типа (СД1) ОПЖ меньше, чем у контрольных субъектов и пациентов с СД 2 типа (СД2) [2–5]. По некоторым данным, снижение ОПЖ составляет 35–45% в популяции пациентов с длительным анамнезом СД1 и около 20–25% в течение первого года заболевания [2–5].
Как показали некоторые исследования, ПЖ меньше у лиц с СД1, так как в ней снижено количество ацинарных клеток. При этом размеры ацинарных клеток остаются неизменными. В данном исследовании обнаружили, что размер ПЖ не менялся в зависимости от продолжительности заболевания [6].
Интересно, что при СД1 в 20–45% случаев отмечается развитие экзокринной недостаточности ПЖ, одним из проявлений которой является атрофия ПЖ, приводящая к снижению ОПЖ [4][5].
Таким образом, результаты работ по определению размеров и ОПЖ при СД1 с различной длительностью немногочисленны и противоречивы.
ЦЕЛЬ
Изучить размеры и ОПЖ у пациентов с СД1 с различной длительностью заболевания и возрастом дебюта.
МЕТОДЫ
Дизайн исследования
Проведено обсервационное одноцентровое одномоментное сравнительное нерандомизированное исследование.
Критерии соответствия
Критерии включения и исключения для СД1.
Критерии включения:
1. СД1;
2. возраст от 18 до 65 лет;
3. индекс массы тела (ИМТ) от 18,0 до 29,9 кг/м2.
Критерии исключения:
1. тяжелая печеночная недостаточность или наличие воспалительных заболеваний ПЖ;
2. онкологические заболевания печени и ПЖ в анамнезе;
3. период беременности и лактации.
Критерии включения и исключения для контрольной группы.
Критерии включения:
1. отсутствие ранее известных нарушений углеводного обмена;
2. возраст от 18 до 65 лет;
3. ИМТ от 18,0 до 29,9 кг/м2.
Критерии исключения:
1. тяжелая печеночная недостаточность или наличие воспалительных заболеваний ПЖ;
2. онкологические заболевания печени и ПЖ в анамнезе;
3. период беременности и лактации;
4. уровни антител (АТ) к компонентам β-клеток (глутаматдекарбоксилазе (GADA), тирозинфосфатазе (IA-2A), транспортеру цинка Т8 (ZnT8A)) выше значений референсного интервала (более 10 Ед/мл);
5. гликированный гемоглобин более 5,7% (HbA1с).
УСЛОВИЯ ПРОВЕДЕНИЯ
Исследование пациентов, соответствующих критериям включения и подписавших информированное согласие, проводилось на базе отделения «Референс-центра обучения» Института диабета ФГБУ «Национальный медицинский исследовательский центр эндокринологии» Минздрава России.
ПРОДОЛЖИТЕЛЬНОСТЬ ИССЛЕДОВАНИЯ
Исследование проведено в период с 11.2018 по 02.2020 гг.
ОПИСАНИЕ МЕДИЦИНСКОГО ВМЕШАТЕЛЬСТВА
Размеры ОПЖ определялись посредством проведения МРТ (натощак). За сутки до проведения исследования рекомендовалось ограничение в рационе блюд, богатых клетчаткой, а также потребление газированных напитков. Всем пациентам из контрольной группы (КГ) проведен забор крови из периферической вены для проведения иммунологического исследования, включавшего определение АТ к GADA, IA-2A, ZnT8A, а также определяли уровень HbA1с на этапе включения или исключения из исследования. У всех лиц из КГ уровень АТ к компонентам островковых клеток был в рамках референсного интервала, а уровень HbA1с не превышал 5,7%.
ОСНОВНОЙ ИСХОД ИССЛЕДОВАНИЯ
Отмечены более низкие показатели объема и размеров ПЖ при СД1 в сравнении с КГ.
ДОПОЛНИТЕЛЬНЫЕ ИСХОДЫ ИССЛЕДОВАНИЯ
Выявлена ассоциация длительности СД1 и возраста дебюта заболевания с данными ОПЖ.
АНАЛИЗ В ПОДГРУППАХ
Все обследованные пациенты были разделены на 6 групп исходя из длительности СД1 (от момента установки диагноза: группа 1 — до 1 года, группа 2 — до 5 лет, группа 3 — до 10 лет, группа 4 — до 15 лет, группа 5 — до 20 лет и группа 6 — более 20 лет).
В зависимости от возраста дебюта СД1 пациенты были разделены на 4 группы: группа 1 — 1–10 лет, группа 2 — 11–20, группа 3 — 21–30 и группа 4 — более 30 лет.
Методы регистрации исходов
ОПЖ измерялись посредством МРТ на аппарате General Electric Optima MR450w 1.5 T (General Electric Healthcare, USA) с использованием поверхностной радиочастотной катушки, в трех плоскостях (сагиттальной, корональной и аксиальной), с толщиной среза 1,5–4 мм. Для исследования ПЖ используется стандартный МРТ протокол брюшной полости, включающий следующие импульсные последовательности:
- Т2-взвешенные изображения (ВИ) в корональной плоскости;
- Т2-ВИ, аксиальная плоскость;
- Т2-ВИ с подавлением сигнала от жировой ткани, аксиальная плоскость;
- Т1-ВИ, аксиальная плоскость;
- магнитно-резонансная холангиопанкреатография с построением 3D-изображений;
- диффузионно-взвешенные изображения с высоким b-фактором (600, 800, 1000) с построением карты измеряемого коэффициента диффузии.
Этическая экспертиза
Все пациенты, которым проводились медицинские манипуляции в рамках исследования, подписали информированные согласия (пациенты или их законные представители).
Проведение исследования было одобрено локальным Этическим комитетом ФГБУ «Национальный медицинский исследовательский центр эндокринологии» МЗ РФ. Заключение ЛЭК №17 от 27.09.2017.
Статистический анализ
Принципы расчета размера выборки.
Минимальный размер выборки предварительно не рассчитывался.
Методы статистического анализа данных.
Статистическая обработка полученных данных была проведена с использованием прикладных программ STATISTICA (StatSoft inc., США, версия 13.0). Распределение количественных данных пациентов представлено в виде медианы (Ме) и интерквартильного интервала (Q1; Q3). Распределение качественных признаков описано абсолютными (n) и относительными частотами (%). Сравнение между группами проводили с использованием критерия Краскела–Уоллиса с 3 и более группами сравнения и U-теста Манна–Уитни для сравнения 2 групп. С целью оценки межгрупповых различий применялся критерий Данна. С целью оценки корреляционной связи проводился ранговый корреляционный анализ Спирмена. Различия признавались статистически значимыми при p<0,05. В случае множественных сравнений применялась поправка Бонферрони, а значения p в диапазоне между вычисленным и 0,05 интерпретировались как статистическая тенденция.
РЕЗУЛЬТАТЫ
Объекты (участники) исследования
По данным возраста, ИМТ и площади поверхности тела (ППТ) пациентов с СД1 и лиц КГ статистически значимых различий выявлено не было (табл. 1). Количество лиц мужского пола преобладало в группе СД1, а женского — в КГ.
Все показатели размеров ОПЖ при СД1 были статистически значимо меньше, чем у лиц КГ (табл. 2, рис. 1, 2, 3).
Таблица 1. Общая характеристика обследованных пациентов
Исследуемые параметры | СД1 (n=78) | Контрольная группа (n=23) | p, M-W U-test |
М:Ж, n (%) | 41 (53):37 (47) | 7 (30):16 (70) | |
Возраст, лет | 29,6 [ 25,2; 34,3] | 27,9 [ 26,3; 35] | 1,0 |
Возраст дебюта СД1, лет | 18,7 [ 12,3; 25] | - | - |
ИМТ, кг/м2 | 22,8 [ 20,1; 25,2] | 23,1 [ 21,6; 24,9] | 1,0 |
ППТ, м2 | 1,75 [ 1,68; 1,89] | 1,72 [ 1,64; 1,87] | 1,0 |
Таблица 2. Оценка объема и размеров поджелудочной железы
Исследуемые параметры | СД1 (n=78) | Контрольная группа (n=23) | p |
ОПЖ, мл | 28,5 [ 21,3; 38,2] | 57,7 [ 52,5; 62,4] | <0,001 |
ОПЖ/ИМТ, мл/(кг/м2) | 1,19 [ 0,82; 1,62] | 2,45 [ 2,24; 2,6] | <0,001 |
ОПЖ/ППТ, мл/м2 | 16,3 [ 12,45; 19,24] | 31,46 [ 29,95; 33,79] | <0,001 |
Головка ПЖ, мм | 19,5 [ 16; 23] | 24 [ 23; 25] | <0,001 |
Тело ПЖ, мм | 13 [ 9; 16] | 20 [ 17; 21] | <0,001 |
Хвост ПЖ, мм | 17,5 [ 14; 21] | 23 [ 21; 25] | <0,001 |

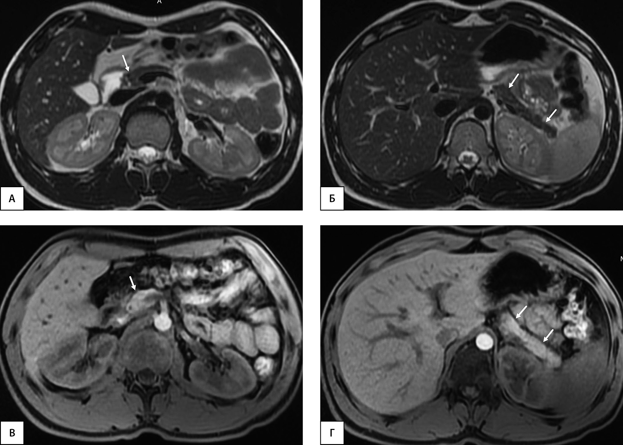
Рисунок 1. Пациент, 19 лет (длительность СД1 — 17 лет). МРТ органов брюшной полости на уровне головки поджелудочной железы (А, В) и на уровне тела и хвоста (Б, Г). А, Б — Т2-ВИ, аксиальная плоскость; В, Г — Т1-ВИ, аксиальная плоскость. Определяется диффузное снижение объема поджелудочной железы, более выражены изменения на уровне головки (стрелки). ОПЖ=15,2 мл; ОПЖ/ИМТ=15,2/22,98=0,66 мл/(кг/м2); ОПЖ/ППТ=15,2/1,89=8,04 мл/м2.
Примечание. ОПЖ — объем поджелудочной железы. ИМТ — индекс массы тела. ППТ — площадь поверхности тела. ВИ — взвешенные изображения.

Рисунок 2. Здоровый доброволец из группы контроля, 25 лет, без нарушений углеводного обмена. МРТ органов брюшной полости на уровне головки поджелудочной железы (А) и на уровне тела и хвоста (Б) (поджелудочная железа показана стрелками). А и Б — Т1-ВИ, аксиальная плоскость. ОПЖ=57,3 мл; ОПЖ/ИМТ=57,3/24,3=2,36 мл/(кг/м2); ОПЖ/ППТ=57,3/1,98=28,93 мл/м2.
Примечание. ОПЖ - объем поджелудочной железы. ИМТ - индекс массы тела. ППТ - площадь поверхности тела. ВИ - взвешенные изображения.

Рисунок 3. Пациент, 24 года (длительность СД1 4 года). МРТ органов брюшной полости на уровне головки поджелудочной железы (А, В) и на уровне тела и хвоста (Б, Г). А, Б — Т2-ВИ, аксиальная плоскость; В, Г — Т1-ВИ, аксиальная плоскость. Определяется диффузное снижение объема поджелудочной железы, больше изменения выражены на уровне головки (стрелки). ОПЖ=38,1 мл; ОПЖ/ИМТ=38,1/23,4=1,63 мл/(кг/м2); ОПЖ/ППТ=38,1/1,94=19,64 мл/м2.
Примечание. ОПЖ — объем поджелудочной железы. ИМТ — индекс массы тела. ППТ — площадь поверхности тела. ВИ — взвешенные изображения.
При оценке влияния длительности течения СД1 на показатели ОПЖ нами была получена статистически значимая обратная корреляционная связь, свидетельствующая о том, что с возрастанием длительности течения СД1 данные показатели снижаются. Статистически значимой корреляционной связи между длительностью СД1 и размерами ПЖ выявлено не было, однако отмечена статистическая тенденция к снижению показателей размеров ПЖ с течением длительности СД1 (табл. 3).
С учетом выявленной статистически значимой обратной корреляционной связи между показателями размеров ОПЖ и длительностью СД1 проведен межгрупповой анализ данных показателей (табл. 4). Выявлены статистически значимые различия в показателях размеров и ОПЖ. Все три показателя ОПЖ в группах 4, 5, 6 были статистически значимо меньше, чем в группах 1 и 2, ОПЖ/ИМТ в группе 6 было статистически значимо меньше, чем в группе 3. Размеры головки в группах 1 и 2 были статистически значимо меньше, чем в группе 5. Размеры тела и хвоста ПЖ в группе 1 были статистически значимо меньше, чем в группе 5.
Была проведена оценка различий в значениях размеров и ОПЖ у пациентов с недавно диагностированным СД1 (длительность менее 1 года, группа 1 по длительности СД1) с данными у лиц без нарушений углеводного обмена. У лиц с длительностью СД1 менее 1 года ОПЖ был статистически значимо меньше, чем в КГ. По данным размеров ПЖ статистически значимых различий не выявлено, однако отмечена статистическая тенденция к меньшим размерам тела и хвоста ПЖ у лиц с длительностью СД1 менее года в сравнении с данными в КГ (табл. 5).
С целью оценки влияния возраста дебюта СД1 на показатели размеров и ОПЖ нами был проведен корреляционный анализ данных показателей в зависимости от возраста дебюта заболевания. У пациентов с более ранним возрастом дебюта СД1 отмечались наименьшие показатели ОПЖ, а также статистическая тенденция к меньшим показателям размеров головки, тела и хвоста ПЖ (табл. 6).
На основании выявленной статистической тенденции к корреляции показателей размеров и ОПЖ с возрастом дебюта СД1 проведен межгрупповой анализ данных значений. Пациенты были разделены по возрасту дебюта СД1 на 4 группы: 1–10 лет, 11–20 лет, 21–30 лет и более 31 года на момент дебюта СД (табл. 7). Выявлены статистически значимые различия по данным всех трех показателей ОПЖ. По данным размеров ПЖ статистически значимых различий не выявлено. В группе дебюта СД1 в возрасте 1–10 лет показатели ОПЖ, ОПЖ/ИМТ, ОПЖ/ППТ были статистически значимо меньше, чем в группах 3 и 4. В группе 10–20 лет ОПЖ и ОПЖ/ИМТ были статистически значимо меньше, чем в группах 3 и 4. ОПЖ/ППТ в группе 2 было статистически значимо меньше, чем в группе 4. Размеры головки ПЖ в группах 1 и 2 были статистически значимо меньше, чем в группе 4.
Таблица 3. Корреляция объема и размеров поджелудочной железы с длительностью сахарного диабета 1 типа
Исследуемые параметры | Длительность СД1 | |
r | p | |
ОПЖ | -0,608 | <0,001 |
ОПЖ/ИМТ | -0,688 | <0,001 |
ОПЖ/ППТ | -0,607 | <0,001 |
Головка ПЖ | -0,432 | 0,008 |
Тело ПЖ | -0,329 | 0,016 |
Хвост ПЖ | -0,408 | 0,009 |
Таблица 4. Межгрупповое сравнение объема и размеров поджелудочной железы в зависимости от длительности сахарного диабета 1 типа
Исследуемые параметры | Длительность СД1 | p, ANOVA K-W, p, d-test | |||||
до 1 года (n=14) | 1–5 лет (n=13) | 5–10 лет (n=15) | 10–15 лет (n=12) | 15–20 лет (n=10) | более 20 лет (n=14) | ||
1 | 2 | 3 | 4 | 5 | 6 | ||
ОПЖ, мл | 38,6 | 38,1 | 37 | 20,5 | 21,8 [ 19,6; 27,6]1,2 | 21,5 [ 18,3; 28,4]1,2 | <0,001 1–4: 0,004 1–5: 0,008 1–6: <0,001 2–4: 0,02 2–5: 0,042 2–6: <0,001 |
ОПЖ/ИМТ, мл/(кг/м2) | 1,74 [ 1,42; 2,17] | 1,61 | 1,35 | 0,96 | 1,04 [ 0,88; 1,19]1,2 | 0,94 [ 0,82; 1,1]1,2,3 | <0,001 1–4: 0,01 1–5: 0,006 1–6: <0,001 2–4: 0,02 2–5: 0,012 2–6: <0,001 3–6: 0,028 |
ОПЖ/ППТ, мл/м2 | 22,32 | 20,28 | 19,03 | 13,09 | 13,91 | 12,95 | <0,001 1–4: 0,023 1–5: 0,011 1–6: <0,001 2–4: 0,046 2–5: 0,031 2–6: 0,002 |
Головка ПЖ, мм | 23 [ 20; 24,5] | 23 [ 20; 24,5] | 18 [ 13; 26] | 17 [ 14; 19] | 15,5 [ 12; 18]1,2 | 17,5 [ 15,5; 20] | 0,0011 1–5: 0,004 2–5: 0,005 |
Тело ПЖ, мм | 18 [ 12; 21] | 15 [ 10,5; 17] | 12 [ 7; 14] | 11 [ 8; 14] | 8 [ 7; 10]1 | 13 [ 10; 15] | 0,003 1–5: 0,002 |
Хвост ПЖ, мм | 22 [ 18; 23,5] | 19 [ 17; 22] | 17 [ 13; 20] | 14 [ 13; 15] | 14 [ 13; 15]1 | 16,5 [ 13,5; 19] | 0,006 1–5: 0,011 |
1Данный показатель статистически значимо меньше, чем в группе 1 (критерий Данна).
2Данный показатель статистически значимо меньше, чем в группе 2 (критерий Данна).
3Данный показатель статистически значимо меньше, чем в группе 3 (критерий Данна).
Таблица 5. Сравнение объема и размеров поджелудочной железы у пациентов с длительностью сахарного диабета 1 типа менее 1 года с данными в контрольной группе
Исследуемые параметры | Длительность СД1 до 1 года (n=14) | Контрольная группа (n=23) | p |
ОПЖ, мл | 38,6 [ 33,6; 52,5] | 57,7 [ 52,5; 62,4] | <0,001 |
ОПЖ/ИМТ, мл/(кг/м2) | 1,74 [ 1,42; 2,17] | 2,45 [ 2,24; 2,6] | <0,001 |
ОПЖ/ППТ, мл/м2 | 22,32 [ 17,95; 26,38] | 31,46 [ 29,95; 33,79] | <0,001 |
Головка ПЖ, мм | 23 [ 20; 24,5] | 24 [ 23; 25] | 0,061 |
Тело ПЖ, мм | 18 [ 12; 21] | 20 [ 17; 21] | 0,022 |
Хвост ПЖ, мм | 22 [ 18; 23,5] | 23 [ 21; 25] | 0,037 |
Таблица 6. Корреляционный анализ показателей объема и размера поджелудочной железы в зависимости от возраста дебюта сахарного диабета 1 типа
Длительность СД1 | ||
Исследуемые параметры | r | p |
ОПЖ | 0,624 | 0,005 |
ОПЖ/ИМТ | 0,569 | 0,0067 |
ОПЖ/ППТ | 0,6 | 0,0057 |
Головка ПЖ | 0,362 | 0,026 |
Тело ПЖ | 0,232 | 0,033 |
Хвост ПЖ | 0,325 | 0,015 |
Таблица 7. Сравнение показателей по возрасту дебюта сахарного диабета 1 типа
Исследуемые параметры | Возраст дебюта сахарного диабета 1 типа | p, ANOVA K-W, p, d-test | |||
1–10 лет (n=19) | 11–20 лет (n=18) | 21–30 (n=22) | >31 года (n=19) | ||
1 | 2 | 3 | 4 | ||
ОПЖ, мл | 21,7 [ 18,7; 28,2] | 24 [ 19,6; 32,4] | 36,9 [ 30,7; 39,3]1,2 | 46,8 [ 38,4; 53,2]1,2 | <0,001 1–3: 0,001 1–4: <0,001 2–3: 0,03 2–4: <0,001 |
ОПЖ/ИМТ, мл/(кг/м2) | 13,91 [ 11,08; 16,83] | 14,65 [ 12,17; 18] | 19,19 [ 15,38; 21,72]1 | 24,23 [ 20,32; 26,39]1,2 | <0,001 1–3: 0,007 1–4: <0,001 2–4: 0,001 |
ОПЖ/ППТ, мл/м2 | 1,04 [ 0,87; 1,19] | 1,08 [ 0,92; 1,4] | 1,41 [ 1,23; 1,82]1,2 | 1,85 [ 1,74; 2,17]1,2 | <0,001 1–3: 0,001 1–4: <0,001 2–3: 0,045 2–4: 0,002 |
Головка ПЖ, мм | 17 [ 16; 19] | 18 [ 14; 21] | 21,5 [ 18; 24] | 23 [ 20; 26,5]1,2 | 0,069 1–4: 0,047 2–4: 0,048 |
Тело ПЖ, мм | 12 [ 8; 15] | 11 [ 9; 16] | 15 [ 11; 19] | 15 [ 10,5; 21] | 0,135 |
Хвост ПЖ, мм | 15 [ 13; 18] | 16 [ 13; 20] | 19,5 [ 16; 21] | 20,5 [ 15,5; 25,5] | 0,076 |
1Данный показатель статистически значимо больше, чем в группе 1 (критерий Данна).
2Данный показатель статистически значимо больше, чем в группе 2 (критерий Данна).
ОБСУЖДЕНИЕ
ОПЖ определяется посредством множества различных методов исследования. Среди неинвазивных методов визуализации превалируют МРТ, КТ, несколько реже — УЗИ. В нашем исследовании, как и в ряде других работ [3–7], методом визуализации и определения ОПЖ послужила МРТ. Благодаря прекрасному контрасту мягких тканей МРТ может очертить границы ПЖ от соседних органов, что, в свою очередь, может быть использовано для количественной оценки размера и объема ПЖ. Однако и данные КТ, согласно исследованию Goda K. et al. (2001), могут регистрировать изменение ОПЖ у пациентов с СД1. В проведенном нами исследовании выявлено, что показатели размеров и ОПЖ были статистически значимо меньше при СД1 в сравнении с КГ (p<0,001) [8].
Нормальный диапазон ОПЖ у взрослых, по данным ряда исследований, составляет 57–83 см3, без статистически значимой разницы между мужчинами и женщинами [9–11]. ОПЖ, определенный нами в КГ, варьировал от 47 до 70 мл, а при СД1 — от 13 до 45 мл.
В исследовании Williams J.M. и соавт. (2020) рассматривались факторы, способные в той или иной степени повлиять на результат определения ОПЖ при проведении МРТ [12]. Было установлено, что объем желудка (степень наполненности) никак не коррелировал с ОПЖ. Результаты аналогичны и в случае, когда ОПЖ корректируют по ППТ и ИМТ, которые являются одними из основных факторов, определяющих массу железы. Влияния пола пациентов на объем и размеры органа также не было отмечено [6]. Антропометрические данные пациентов могут оказывать влияние на объем ПЖ, в том числе ИМТ и ППТ [9]. В исследовании Campbell-Thompson M. и соавт. (2012) данной взаимосвязи выявлено не было [13]. Однако уже в следующей проведенной работе с большей выборкой пациентов авторы сообщают о наличии корреляции ИМТ и ППТ с ОПЖ [14].
В нашей работе пациенты с СД1 и лица из КГ были однородны по возрасту, ИМТ и ППТ, что подтверждается отсутствием статистически значимых различий при их сравнении. При этом, даже с учетом пересчета ОПЖ на ППТ и ИМТ, различия в исследуемых данных изучаемых групп оставались существенными.
По данным Lindkvist B. и соавт. (2013), корреляция между ОПЖ и длительностью СД подтверждается, а в исследовании Alistair J.K. и соавт. (2012) опровергается [15][16]. Нами выявлено, что с увеличением длительности СД1 уменьшаются показатели объема, что подтверждается статистически значимой обратной корреляционной связью между данными показателями и длительностью СД1. Также стоит отметить выявленную нами статистическую тенденцию к снижению размеров ПЖ по мере увеличения длительности течения СД1.
Однако в настоящее время неизвестно, являются ли данные структурные изменения ПЖ следствием развития СД либо начинаются задолго до дебюта заболевания. В нескольких исследованиях оценивались структурные изменения органа в группе пациентов с недавно диагностированным СД1 в сравнении с КГ, и, по данным авторов, снижение ОПЖ может происходить еще до дебюта СД1 [17].
Возможно, ацинарные клетки подвергаются аутоиммунному повреждению при СД1 [18]. С другой стороны, ранние исследования трупных материалов ПЖ с недавно диагностированным СД1 выявили атрофию экзокринных клеток, а также инсулит [19]. Таким образом, локальная паракринная передача сигналов может способствовать изменениям в экзокринной ткани. Обсуждается измененный приток крови к экзокринной ткани или измененные процессы развития ПЖ, приводящие к уменьшению размера ПЖ до начала заболевания.
В нашем исследовании у пациентов с длительностью СД1 менее 1 года показатели ОПЖ были также статистически значимо меньше, чем в КГ (p<0,001). Кроме того, отмечена статистическая тенденция к более низким показателям размеров тела и хвоста ПЖ у пациентов с длительностью СД1 менее 1 года в сравнении с данными КГ.
В исследовании Williams J.M. и соавт. (2020) было показано, что у пациентов с СД1 ОПЖ уменьшается на 26% в течение нескольких месяцев после постановки диагноза, что позволяет предположить, что атрофия начинается за годы до начала клинического заболевания [12]. Таким образом, атрофия ПЖ у отдельных лиц может служить потенциальным клиническим маркером прогрессирования заболевания.
Еще одним параметром, определяющим структурные изменения ПЖ при СД1, является возраст дебюта заболевания. В исследовании Dozio N. и соавт. (2021) была выявлена ассоциация между возрастом дебюта СД1 и структурными изменениями органа [20]. В нашем исследовании выявлено, что у пациентов с более ранним возрастом дебюта СД1 размеры и ОПЖ меньше. Получена статистически значимая прямая корреляционная связь между ОПЖ, ОПЖ/ИМТ, ОПЖ/ППТ, а также статистическая тенденция к корреляции между размерами головки, тела, хвоста органа и возрастом дебюта СД1. При сравнении показателей ОПЖ по группам в зависимости от возраста пациентов на момент дебюта СД1 нами были получены статистически значимые различия. Выявлено, что ОПЖ у пациентов с дебютом СД1 в возрасте до 20 лет был статистически значимо меньше, чем у тех, у кого заболевание манифестировало после 21 года. При подобном сравнении размеров головки, тела и хвоста ПЖ статистически значимых различий выявлено не было, однако стоит отметить, что размеры головки ПЖ были статистически значимо меньше у пациентов в группах дебюта СД1 до 10 и до 20 лет в сравнении с данными при возрасте дебюта после 31 года.
ВЫВОДЫ
В проведенном нами исследовании размеры и ОПЖ у пациентов с СД1 были меньше, чем у лиц в КГ. Наиболее низкие величины ОПЖ были выявлены у пациентов с длительным анамнезом (более 10 лет) СД1. ОПЖ снижается по мере увеличения длительности течения СД1, так же, как и размеры органа. У пациентов с ранним дебютом СД1 объем и размеры ПЖ меньше, чем у лиц с более поздним возрастом дебюта заболевания.
ОГРАНИЧЕНИЯ ИССЛЕДОВАНИЯ
У пациентов с длительно существующим СД1 заболевание было диагностировано в значительно более молодом возрасте, чем у пациентов с впервые выявленным СД1, и мы не можем исключить, что могут существовать некоторые различия в патофизиологии между СД1 с дебютом в детстве и у взрослых. Также ограничением исследования являлся размер выборок пациентов.
ЗАКЛЮЧЕНИЕ
В нашем исследовании продемонстрировано, что размеры и ОПЖ у пациентов с СД1 меньше, чем у лиц КГ. Так как экзокринная ткань составляет большую часть массы ПЖ, выявленное снижение объема и размеров органа при СД1 может стать основанием для комплексной диагностики экзокринной функции ПЖ и, при необходимости, ее коррекции.
ДОПОЛНИТЕЛЬНАЯ ИНФОРМАЦИЯ
Источник финансирования. Исследование выполнено на средства гранта Российского научного фонда № 17-75-30035 «Аутоиммунные эндокринопатии с полиорганными поражениями: геномные, постгеномные и метаболомные маркеры. Генетическое прогнозирование рисков, мониторинг, ранние предикторы, персонализированная коррекция и реабилитация».
Конфликт интересов. Авторы заявляют об отсутствии явных и потенциальных конфликтов интересов, связанных с публикацией данной статьи.
Участие авторов. Рагимов М.Р. — концепция и дизайн исследования, сбор и обработка материалов, анализ полученных данных, написание текста; Бабаева Д.М., Владимирова В.П. — проведение и анализ результатов МРТ, написание текста; Никонова Т.В., Шестакова М.В. — концепция и дизайн исследования, редактирование текста. Все авторы внесли существенный вклад в проведение исследования и подготовку статьи, прочли и одобрили финальную версию перед публикацией.
Благодарности. Выражаем благодарность пациентам и лицам контрольной группы за участие в исследовании.
Список литературы
1. Cecil RL. A study of the pathological anatomy of the pancreas in ninety cases of diabetes mellitus. J Exp Med. 1909;11(2):266-290. doi: https://doi.org/10.1084/jem.11.2.266
2. Philippe M-F, Benabadji S, Barbot-Trystram L, et al. Pancreatic volume and endocrine and exocrine functions in patients with diabetes. Pancreas. 2011;40(3):359-363. doi: https://doi.org/10.1097/MPA.0b013e3182072032
3. Campbell-Thompson M, Wasserfall C, Montgomery EL, et al. Pancreas organ weight in individuals with disease-associated autoantibodies at risk for type 1 diabetes. JAMA. 2012;308(22):2337-2339. doi: https://doi.org/10.1001/jama.2012.15008
4. Virostko J, Williams J, Hilmes M, et al. Pancreas Volume Declines During the First Year After Diagnosis of Type 1 Diabetes and Exhibits Altered Diffusion at Disease Onset. Diabetes Care. 2019;42(2):248-257. doi: https://doi.org/10.2337/dc18-1507
5. Virostko J, Hilmes M, Eitel K, et al. Use of the Electronic Medical Record to Assess Pancreas Size in Type 1 Diabetes. PLoS One. 2016;11(7):e0158825. doi:10.1371/journal.pone.0158825
6. Wright JJ, Saunders DC, Dai C, et al. Decreased pancreatic acinar cell number in type 1 diabetes. Diabetologia. 2020;63(7):1418-1423. doi: https://doi.org/10.1007/s00125-020-05155-y
7. Williams AJ, Chau W, Callaway MP, Dayan CM. Magnetic resonance imaging: a reliable method for measuring pancreatic volume in Type 1 diabetes. Diabet Med. 2007;24(1):35-40. doi: https://doi.org/10.1111/j.1464-5491.2007.02027.x
8. Goda K, Sasaki E, Nagata K, et al. Pancreatic volume in type 1 und type 2 diabetes mellitus. Acta Diabetol. 2001;38(3):145-149. doi: https://doi.org/10.1007/s005920170012
9. Saisho Y, Butler AE, Meier JJ, et al. Pancreas volumes in humans from birth to age one hundred taking into account sex, obesity, and presence of type-2 diabetes. Clin Anat. 2007;20(8):933-942. doi: https://doi.org/10.1002/ca.20543
10. Djuric-Stefanovic A, Masulovic D, Kostic J, et al. CT volumetry of normal pancreas: correlation with the pancreatic diameters measurable by the cross-sectional imaging, and relationship with the gender, age, and body constitution. Surg Radiol Anat. 2012;34(9):811-817. doi: https://doi.org/10.1007/s00276-012-0962-7
11. Wathle GK, Tjora E, Ersland L, et al. Assessment of exocrine pancreatic function by secretin-stimulated magnetic resonance cholangiopancreaticography and diffusion-weighted imaging in healthy controls. J Magn Reson Imaging. 2014;39(2):448-454. doi: https://doi.org/10.1002/jmri.24167
12. Williams JM, Hilmes MA, Archer B, et al. Repeatability and Reproducibility of Pancreas Volume Measurements Using MRI. Sci Rep. 2020;10(1):4767. doi: https://doi.org/10.1038/s41598-020-61759-9
13. Campbell-Thompson M, Fu A, Kaddis JS, et al. Insulitis and β-Cell Mass in the Natural History of Type 1 Diabetes. Diabetes. 2016;65(3):719-731. doi: https://doi.org/10.2337/db15-0779
14. Campbell-Thompson ML, Kaddis JS, Wasserfall C, et al. The influence of type 1 diabetes on pancreatic weight. Diabetologia. 2016;59(1):217-221. doi: https://doi.org/10.1007/s00125-015-3752-z
15. Lindkvist B. Diagnosis and treatment of pancreatic exocrine insufficiency. World J Gastroenterol. 2013;19(42):7258-7266. doi: https://doi.org/10.3748/wjg.v19.i42.7258
16. Williams AJK, Thrower SL, Sequeiros IM, et al. Pancreatic Volume Is Reduced in Adult Patients with Recently Diagnosed Type 1 Diabetes. J Clin Endocrinol Metab. 2012;97(11):E2109-E2113. doi: https://doi.org/10.1210/jc.2012-1815
17. Vecchio F, Messina G, Giovenzana A, Petrelli A. New Evidence of Exocrine Pancreatopathy in Pre-symptomatic and Symptomatic Type 1 Diabetes. Curr Diab Rep. 2019;19(10):92. doi: https://doi.org/10.1007/s11892-019-1223-5
18. Rodriguez-Calvo T, Ekwall O, Amirian N, et al. Increased Immune Cell Infiltration of the Exocrine Pancreas: A Possible Contribution to the Pathogenesis of Type 1 Diabetes. Diabetes. 2014;63(11):3880-3890. doi: https://doi.org/10.2337/db14-0549
19. Foulis AK, Stewart JA. The pancreas in recent-onset type 1 (insulindependent) diabetes mellitus: insulin content of islets, insulitis and associated changes in the exocrine acinar tissue. Diabetologia. 1984;26(6):456-461. doi: https://doi.org/10.1007/BF00262221
20. Dozio N, Indirli R, Giamporcaro GM, et al. Impaired exocrine pancreatic function in different stages of type 1 diabetes. BMJ Open Diabetes Res Care. 2021;9(1):e001158. doi: https://doi.org/10.1136/bmjdrc-2019-001158
Об авторах
М. Р. РагимовРоссия
Рагимов Магомедкерим Разинович, аспирант
117036, Москва, ул. Дм. Ульянова, д. 11
eLibrary SPIN: 8445-6795
Т. В. Никонова
Россия
Никонова Татьяна Васильевна, доктор медицинских наук
Москва
eLibrary SPIN: 8863-0201
Д. М. Бабаева
Россия
Бабаева Диана Мажлумовна, врач-рентгенолог
Москва
eLibrary SPIN: 6431-9855
В. П. Владимирова
Россия
Владимирова Виктория Павловна, кандидат медицинских наук
Москва
eLibrary SPIN: 9830-3276
М. В. Шестакова
Россия
Шестакова Марина Владимировна, доктор медицинских наук, профессор, академик РАН
Москва
eLibrary SPIN: 7584-7015
Дополнительные файлы
|
|
1. Рисунок 1. Пациент, 19 лет (длительность СД1 — 17 лет). МРТ органов брюшной полости на уровне головки поджелудочной железы (А, В) и на уровне тела и хвоста (Б, Г). А, Б — Т2-ВИ, аксиальная плоскость; В, Г — Т1-ВИ, аксиальная плоскость. Определяется диффузное снижение объема поджелудочной железы, более выражены изменения на уровне головки (стрелки). ОПЖ=15,2 мл; ОПЖ/ИМТ=15,2/22,98=0,66 мл/(кг/м2); ОПЖ/ППТ=15,2/1,89=8,04 мл/м2. Примечание. ОПЖ — объем поджелудочной железы. ИМТ — индекс массы тела. ППТ — площадь поверхности тела. ВИ — взвешенные изображения. | |
| Тема | ||
| Тип | Исследовательские инструменты | |
Посмотреть
(357KB)
|
Метаданные ▾ | |
|
|
2. Рисунок 2. Здоровый доброволец из группы контроля, 25 лет, без нарушений углеводного обмена. МРТ органов брюшной полости на уровне головки поджелудочной железы (А) и на уровне тела и хвоста (Б) (поджелудочная железа показана стрелками). А и Б — Т1-ВИ, аксиальная плоскость. ОПЖ=57,3 мл; ОПЖ/ИМТ=57,3/24,3=2,36 мл/(кг/м2); ОПЖ/ППТ=57,3/1,98=28,93 мл/м2. Примечание. ОПЖ - объем поджелудочной железы. ИМТ - индекс массы тела. ППТ - площадь поверхности тела. ВИ - взвешенные изображения. | |
| Тема | ||
| Тип | Исследовательские инструменты | |
Посмотреть
(190KB)
|
Метаданные ▾ | |
|
|
3. Рисунок 3. Пациент, 24 года (длительность СД1 4 года). МРТ органов брюшной полости на уровне головки поджелудочной железы (А, В) и на уровне тела и хвоста (Б, Г). А, Б — Т2-ВИ, аксиальная плоскость; В, Г — Т1-ВИ, аксиальная плоскость. Определяется диффузное снижение объема поджелудочной железы, больше изменения выражены на уровне головки (стрелки). ОПЖ=38,1 мл; ОПЖ/ИМТ=38,1/23,4=1,63 мл/(кг/м2); ОПЖ/ППТ=38,1/1,94=19,64 мл/м2. Примечание. ОПЖ — объем поджелудочной железы. ИМТ — индекс массы тела. ППТ — площадь поверхности тела. ВИ — взвешенные изображения. | |
| Тема | ||
| Тип | Исследовательские инструменты | |
Посмотреть
(401KB)
|
Метаданные ▾ | |
Рецензия
Для цитирования:
Рагимов М.Р., Никонова Т.В., Бабаева Д.М., Владимирова В.П., Шестакова М.В. Структурные особенности поджелудочной железы у пациентов с сахарным диабетом 1 типа. Сахарный диабет. 2022;25(3):239-248. https://doi.org/10.14341/DM12892
For citation:
Ragimov M.R., Nikonova T.V., Babaeva D.M., Vladimirova V.P., Shestakova M.V. Structurall features of the pancreas in patients with type 1 diabetes mellitus. Diabetes mellitus. 2022;25(3):239-248. (In Russ.) https://doi.org/10.14341/DM12892
Контент доступен под лицензией Creative Commons Attribution-NonCommercial-NoDerivatives 4.0 International License (CC BY-NC-ND 4.0).









































