Перейти к:
Сахарный диабет 1 типа и ишемическая болезнь сердца с тяжелой систолической дисфункцией левого желудочка у пациента 25 лет
https://doi.org/10.14341/DM12865
Аннотация
В структуре сахарного диабета 1-й тип заболевания (СД1) занимает значимую нишу, составляя до 90% случаев среди детей, подростков и лиц молодого возраста (10% составляют СД2, диабет зрелого типа у молодых и т.д.). При этом достаточно часто развиваются нарушения не только углеводного, но и белкового, липидного обмена, приводящие к серьезным макрососудистым осложнениям. Продемонстрирован клинический случай сочетания СД1, гиперлипидемии, ишемической болезни сердца и хронической сердечной недостаточности (ХСН) у молодого пациента 25 лет. Результаты обследования позволили выявить нарушение липидного обмена, многососудистое атеросклеротическое поражение коронарных артерий, потребовавшее проведения реваскуляризации миокарда, и тяжелую ХСН со сниженной фракцией выброса левого желудочка.
Продемонстрированный клинический случай показывает, что прицельное обследование сердечно-сосудистой системы должно обязательно проводиться у всех пациентов с СД и выраженным нарушением липидного обмена независимо от возраста и типа диабета. Авторы также рассматривают вопрос применения ингибиторов натрий-глюкозного котранспортера 2 типа у пациентов с СД1 и ХСН.
Ключевые слова
Для цитирования:
Вознесенская А.А., Бондаренко И.З., Мелкозеров К.В., Кошарная Р.С., Захаров А.С., Мовсесянц М.Ю., Куклина М.Д., Калашников В.Ю. Сахарный диабет 1 типа и ишемическая болезнь сердца с тяжелой систолической дисфункцией левого желудочка у пациента 25 лет. Сахарный диабет. 2022;25(5):514-521. https://doi.org/10.14341/DM12865
For citation:
Voznesenskaya A.A., Bondarenko I.Z., Melkozerov K.V., Kosharnaya R.S., Zakharov A.S., Movsesyants M.Yu., Kuklina M.D., Kalashnikov V.Yu. Diabetes mellitus type 1 and coronary artery disease with severe systolic heart failure in 25 year-old adult. Diabetes mellitus. 2022;25(5):514-521. (In Russ.) https://doi.org/10.14341/DM12865
АКТУАЛЬНОСТЬ
Около 96 000 детей в возрасте до 15 лет во всем мире заболевают сахарным диабетом 1 типа (СД1) ежегодно, причем в большинстве западных стран СД1 среди детей и подростков составляет до 90% всех случаев диабета. Хорошо известно, что нарушение секреции инсулина или снижение реакции тканей на инсулин приводит к нарушению не только углеводного, но и жирового и белкового обмена [1]. В одном из исследований было выявлено, что дислипидемия у пациентов с СД1 встречалась в среднем в 72,5% случаев с преимущественным повышением уровня общего холестерина и липопротеинов низкой плотности (ЛПНП) [2]. Недостаточный гликемический контроль и высокий уровень гликированного гемоглобина (HbA1c) ассоциированы синтенсивным перекисным окислением липидов и оксидативным стрессом, что в совокупности с дислипидемией способствует развитию атеросклероза и повышает сердечно-сосудистые риски среди пациентов с СД1 в 10 раз и более. В то же время надлежащий контроль уровня гликемии на протяжении 6,5 года способен снижать риск сердечно-сосудистых событий на 57% при СД1 [3, 4]. Сердечно-сосудистые заболевания являются основной причиной смерти среди пациентов с СД1, составляя от четверти до половины всех причин смерти при длительности заболевания от 10 до 19 лет и более половины — при длительности диабета 20 лет и более [5].
Известно, что дислипидемия может быть как первичной, связанной с генетическими нарушениям липидного обмена, так и вторичной, обусловленной другими заболеваниями и состояниями, в т.ч. СД. При длительном анамнезе СД1 или СД 2 типа (СД2) в сочетании с гиперлипидемией атеросклеротическое поражение артерий закономерно. В то же время сочетание СД1 с выраженной гиперлипидемией и быстрым развитием ишемической болезни сердца (ИБС) и ее осложнений в виде тяжелой хронической сердечной недостаточности (ХСН) у молодого пациента с СД1 может вызвать у клинициста целый ряд вопросов.
- Может ли дислипидемия являться первичной, то есть генетически обусловленной, в конкретном случае?
- Если дислипидемия вторична, обусловлена ли она наличием только хронической гипергликемии или какими-либо другими сопутствующими заболеваниями?
- Что могло быть дополнительной причиной столь быстро развившейся тяжелой ХСН в молодом возрасте, помимо ИБС?
- Какие подходы к лечению пациентов с СД, дислипидемией и ХСН доступны в современной клинической практике?
По данным метаанализа 10 обсервационных исследований, относительный риск (ОР) развития ИБС среди пациентов с СД1 составлял 9,38 (95% доверительный интервал — ДИ 5,56–15,82), ОР инфаркта миокарда — 6,37 (95% ДИ 3,81–10,66), сердечной недостаточности — 4,29 (95% ДИ 3,54–5,19) [6]. Однако соответствующие данные в группе молодых пациентов с СД1 в литературе практически не представлены.
В настоящей статье мы приводим клинический пример сочетания СД1, дислипидемии, ИБС с многососудистым поражением коронарных артерий и ХСН со сниженной фракцией выброса у пациента У., 25 лет, что представляет особый интерес ввиду отсутствия ранее описанных подобных случаев в литературе.
ОПИСАНИЕ СЛУЧАЯ
Пациент У., 25 лет, обратился в Национальный медицинский исследовательский центр (НМИЦ) эндокринологии с жалобами на общую слабость и эпизоды снижения артериального давления (АД) до 90/50 мм рт.ст., чувство учащенного сердцебиения, одышку и дискомфорт за грудиной при умеренных физических нагрузках.
Из анамнеза известно, что в возрасте 5 лет впервые был выявлен СД1, назначена базис-болюсная инсулинотерапия. С 16 лет пациент находится на помповой инсулинотерапии (инсулин Лизпро), однако за все время заболевания полной компенсации углеводного обмена достигнуто не было, значения гликемии при ежедневном самоконтроле составляли 8,0–11,0 ммоль/л. За месяц до госпитализации уровень HbA1c составлял 10,9%. Эпизоды гипогликемии без потери сознания отмечались не чаще 1 раза в месяц, эпизоды кетоацидоза не фиксировались.
С 14 лет по данным периодически выполняемых лабораторных исследований отмечалась выраженная гиперлипидемия, терапию розувастатином 40 мг, фенофибратом 145 мг начал получать в возрасте 20 лет, при этом оценка липидного профиляна фоне гиполипидемической терапии не проводилась. Известно, что отец пациента не болел СД и перенес инфаркт миокарда в 40 лет, у бабушки и тети по линии отца выявлялась гиперхолестеринемия.
В анамнезе отмечались эпизоды повышения АД до 150–160/90 мм рт.ст., принимал амлодипин, ирбесартан. В дальнейшем препараты были отменены из-за тенденции к гипотонии.
За несколько месяцев до обращения в НМИЦ эндокринологии впервые выявлено снижение фракции выброса левого желудочка (ФВ ЛЖ) до 38%, появилась одышка при незначительных физических нагрузках. По данным предоставленной медицинской документации, в анализах крови на тот момент: скорость оседания эритроцитов (СОЭ) — 60 мм/ч (2–15), 24.09.2020: тропонин — 0,04 нг/мл (0–0,01), про-натрийуретический N-концевой пептид В-типа (NP-proBNP) — 2621 пг/мл (0–125), ЛПНП — 9,79 ммоль/л (1,1–3,0), креатинкиназа МВ — 25,8 Ед/л (0–24). В общем анализе мочи содержание белка — 3 г/л. По представленным результатам МРТ сердца выявлена дилатация полости левого желудочка с выраженным снижением его сократительной способности. Небольшой двусторонний гидроторакс. Малый гидроперикард. По имеющимся сведениям, участков интрамиокардиального фиброза, рубцового и воспалительного поражения миокарда выявлено не было.
Пациенту была назначена терапия метопрололом в дозе 75 мг утром и 50 мг вечером, эплереноном 50 мг/сут, торасемидом 10 мг, ацетилсалициловой кислотой 100 мг вечером. В дальнейшем доза метопролола была снижена до 100 мг/сут и ктерапии добавлен валсартан/сакубитрил 100 мг утром, на фоне чего показатели АД находились в пределах 120–130/70–80 мм рт.ст., однако отмечалась тенденция к гипотонии до 2–4 раз в неделю со снижением АД до 90/50 мм рт.ст.
За месяц до настоящей госпитализации перенес новую коронавирусную инфекцию в легкой форме. При проведении Эхо-кардиографии (Эхо-КГ) ФВ ЛЖ снизилась до 25% на фоне терапии валсартаном/сакубитрилом 200 мг/сут, метопрололом 100 мг/сут. На мультиспиральной компьютерной томографии органов грудной клетки были выявлены двусторонний гидроторакс, выпот в полости перикарда, субсегментарные компрессионные ателектазы S5, -9, -10 правого легкого, кальцинаты створок аортального клапана, стенок коронарных артерий, увеличение размеров сердца. Получал терапию фуросемидом 40 мг утром.
Пациент был впервые госпитализирован в ФГБУ «НМИЦ эндокринологии» для проведения дальнейшего обследования и возможной коррекции терапии.
Результаты физикального, лабораторного и инструментального исследования
При поступлении: общее состояние средней тяжести, масса тела 85,0 кг, рост 181 см, индекс массы тела (ИМТ) 25,9 кг/м², выраженная отечность голеней и стоп, при аускультации легких ослабленное дыхание в нижних отделах, преимущественно справа, тоны сердца приглушены, АД 130/90 мм рт.ст., частота сердечных сокращений (ЧСС) 114 в минуту, ритм синусовый.
В общеклиническом анализе крови признаки нормоцитарной, нормохромной анемии, повышение СОЭ: эритроциты — 4,28×10¹² кл/л (4,3–5,8 10¹²), Hb — 116 г/л (132–172), гематокрит — 38% (40–51), средний объем эритроцитов (MCV) — 88,8 фл (82–98), среднее содержание гемоглобина в эритроцитах (MCH) — 27,1 пг (27–34), средняя концентрация гемоглобина в эритроцитах (MCHC) — 305 г/л (314–356), СОЭ — 36 мм/ч (2–15).
В биохимическом анализе крови признаки дислипидемии, значительно повышен уровень креатинина, снижена концентрация общего белка: холестерин ЛПВП — 0,83 ммоль/л (0,9–2,6), холестерин ЛПНП — 5,5 ммоль/л (1,1–3,0), триглицериды — 1,08 ммоль/л (0,1–1,7), холестерин общий — 6,8 ммоль/л (3,3–5,2), креатинин — 212,4 мкмоль/л (63–110), расчетная скорость клубочковой фильтрации (рСКФ) — 36 мл/мин/1,73 м², белок общий — 60 г/л.
В общем анализе мочи: протеинурия — 1,5 г/л (0,0–0,2), 150 эритроцитов в 1 мкл, 5–9 эритроцитов в поле зрения, 1–2 лейкоцита в поле зрения, относительная плотность мочи 1,013 г/мл (1,018–1,03).
По данным Эхо-КГ: клапанный аппарат без существенной патологии. Расширение левых камер сердца. Эксцентрическая гипертрофия ЛЖ. Диффузный гипокинез. Глобальная систолическая функция существенно снижена. По результатам допплерокардиографии: митральная регургитация — умеренной степени, трикуспидальная регургитация — от умеренной до средней степени, систолическое давление в легочной артерии — легочная гипертензия 1–2 степени, нарушение диастолической функции рестриктивного типа, ФВ 25%, незначительное количество жидкости в перикарде (за правыми камерами), гидроторакс справа.
На электрокардиограмме: синусовый ритм, ЧСС 114 в минуту, признаки гипертрофии ЛЖ, нарушение внутрижелудочковой проводимости.
По результатам холтеровского мониторирования сердечного ритма: ритм синусовый, в течение всей записи нарушение внутрижелудочковой проводимости, PQ 148–158 мс. Пауз более 2,0 с нет. Средняя ЧСС — 85 в минуту в течение дня, 83 в минуту ночью и 84 в минуту за весь период регистрации. Максимальная ЧСС 119 в минуту. Минимальная ЧСС 63 в минуту. Зарегистрировано также 627 одиночных мономорфных желудочковых экстрасистол, желудочковые экстрасистолы регистрировались в течение всей записи. 15 с/в экстрасистол. ST-T без диагностически значимой динамики.
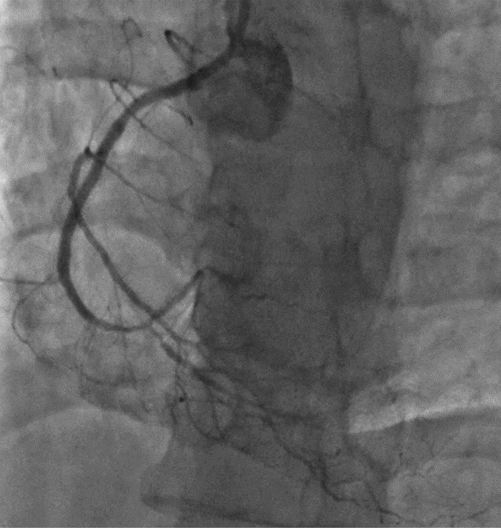
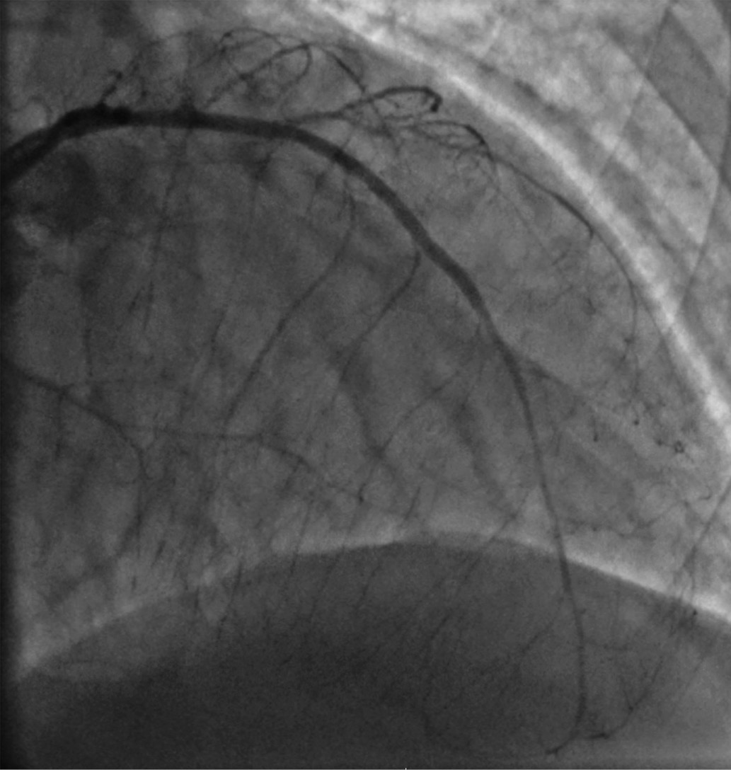
Вместе с тем причина выраженной систолической дисфункции ЛЖ оставалась неясна. Для уточнения ИБС как причины систолической дисфункции ЛЖ больному была проведена коронарография, на которой было выявлено: ствол левой коронарной артерии проходим; передняя межжелудочковая артерия (ПМЖА) — с диффузными изменениями на всем протяжении, малого калибра; стеноз в средней трети 70–90%; стенозы дистальной трети до 50%; диагональная артерия — малого калибра, тандемные субтотальные стенозы в проксимальной трети; огибающая артерия — неровные контуры проксимальной трети; 1-я ветвь тупого края (ВТК) окклюзирована в устье, малого калибра; постокклюзионные отделы контрастируются повнутрисистемным коллатералям; 2-я ВТК окклюзирована в проксимальной трети, малого калибра; постокклюзионные отделы контрастируются по внутрисистемным коллатералям; маргинальная ветвь — субтотальный стеноз в устье; правая коронарная артерия (ПКА) — неровные контуры проксимальной трети, окклюзия в средней трети; дистальные отделы контрастируются по внутри- и межсистемным коллатералям (рис. 1, 2).

Рисунок 1. Правая коронарная артерия.
Figure 1. Right coronary artery.

Рисунок 2. Передняя межжелудочковая артерия.
Figure 2. Anterior interventricular artery.
Сформулирован клинический диагноз.
Основное заболевание. ИБС: немая ишемия миокарда. Атеросклероз коронарных артерий: ПМЖА — стеноз в средней трети 70–90%; стенозы дистальной трети до 50%, ВТК1 окклюзирована в устье, ВТК2 окклюзирована в проксимальной трети, маргинальная ветвь — субтотальный стеноз в устье, ПКА — окклюзия в средней трети. ХСН, 2-й функциональный класс по NYHA.
Сопутствующее заболевание. СД1. Диабетическая микроангиопатия: пролиферативная ретинопатия обоих глаз, нефропатия, ХБП С3бА3. Артериальная гипертензия III стадии, 2-й степени, риск 4. Нефрогенная анемия. Дистальная диабетическая полинейропатия. Дислипидемия.
Индивидуальные цели гликемического контроля. Значение гликемии натощак, перед едой, на ночь, ночью <7,0 ммоль/л, через 2 ч после еды — <9,0 ммоль/л. Индивидуальный целевой уровень HbA1c<7,0%.
В стационаре проведено лечение: постоянная инсулинотерапия в базис-болюсном режиме путем непрерывной подкожной инфузии аналога инсулина человека ультракороткого действия (Инсулин Хумалог) с помощью инсулиновой помпы Medtronic Paradigm MMT 722, исходя из индивидуальных настроек прибора, физической активности и результатов самоконтроля гликемии. Терапия ИБС, ХСН: метопролола сукцинат 25 мг утром, ивабрадин 7,5 мг утром и вечером, валсартан+сакубитрил 100 мг утром, фуросемид 120 мг утром. Гиполипидемическая терапия: розувастатин 40 мг вечером, эзетимиб 10 мг вечером. Гастропротективная терапия: пантопразол 40 мг вечером.
В дальнейшем пациент наблюдался у кардиолога в НМИЦ эндокринологии, на фоне проводимой терапии симптомы сердечной недостаточности контролировались удовлетворительно, при контрольной Эхо-КГ отмечалось нарастание ФВ ЛЖ до 37%.
Учитывая многососудистое поражение коронарных артерий, для определения возможности проведения аортокоронарного шунтирования и/или трансплантации сердца пациенту была рекомендована консультация кардиохирурга, по результатам которой сделано заключение об отсутствии показаний к трансплантации сердца, учитывая увеличение ФВ ЛЖ до 37% на фоне лечения, в то же время пациенту рекомендована рентгенэндоваскулярная реваскуляризация миокарда.
Через 2 мес после первого обращения пациент был повторно госпитализирован в НМИЦ эндокринологии для реваскуляризации миокарда.
По данным Эхо-КГ при поступлении. Умеренный диффузный гипокинез. Глобальная систолическая функция существенно снижена — ФВ ЛЖ 39%.
Было проведено стентирование ПКА, достигнут удовлетворительный ангиографический результат. В послеоперационном периоде отмечалось улучшение самочувствия пациента, при расширении физической активности в пределах отделения ангинозных приступов не было, явления недостаточности кровообращения оставались компенсированными (рис. 3).

Рисунок 3. Правая коронарная артерия после стентирования.
Figure 3. Right coronary artery after stenting.
Через 1 мес после стентирования ПКА пациент был госпитализирован в НМИЦ эндокринологии для стентирования ПМЖА.
По данным Эхо-КГ при поступлении. Нарушение локальной сократимости: гипо-акинез верхушечных перегородочного, заднего и среднего передне-перегородочного сегментов ЛЖ. Глобальная систолическая функция снижена — ФВ ЛЖ 39%.
Выполнено стентирование ПМЖА, достигнут удовлетворительный ангиографический результат (рис. 4).

Рисунок 4. Передняя межжелудочковая артерия после стентирования.
Figure 4. Anterior interventricular artery after stenting.
К ранее назначенной терапии были добавлены клопидогрел 75 мг/сут, ацетилсалициловая кислота 100 мг/сут, а также ингибитор PCSK9 — алирокумаб 150 мг, учитывая нецелевой уровень ЛПНП на фоне терапии максимальными дозами статинов иэзетимиба.
На фоне коррекции параметров помповой инсулинотерапии значения гликемии приблизились к околоцелевым. Уровень HbA1c составил 9,4%.
Пациент был выписан с улучшением под наблюдение кардиолога, эндокринолога по месту жительства, даны соответствующие рекомендации.
ОБСУЖДЕНИЕ
Возможные причины ХСН и дислипидемии
Особенностью вышеприведенного клинического случая является редкое для лиц молодого возраста сочетание СД1, выраженного нарушения липидного обмена, многососудистого поражения коронарных артерий с развитием тяжелой ХСН со сниженной ФВ ЛЖ.
Сердечная недостаточность развивается в 19–26% случаев у пациентов как с СД1, так и СД2, причем ведущими причинами ее развития являются ИБС и ишемическая кардиомиопатия. Более того, в вышеописанном клиническом примере имеются указания на перенесенный инфаркт миокарда (повышение уровня тропонина, креатинкиназы МВ, СОЭ по данным анализа крови, нарушение локальной сократимости миокарда ЛЖ и снижение ФВ ЛЖ до 38% по данным Эхо-КГ). Тем не менее нельзя отрицать возможный вклад в развитие ХСН и диабетической кардиомиопатии, понятие которой впервые ввел в 1972 году Shirley Rubler [7]. Болезни накопления, амилоидоз, саркоидоз, миокардит, клапанные пороки также могут привести к развитию тяжелых форм ХСН, однако с учетом известного анамнеза и клинической картины они представляются нам маловероятными.
Отдельного внимания требует вопрос о наличии кардиоваскулярной формы автономной нейропатии (КАН) у данного пациента, которая также может вносить вклад в развитие ХСН, приводя к стойкой тахикардии в покое и другим нарушениям сердечного ритма. С целью дополнительного обследования на предмет наличия КАН во время амбулаторного приема была проведена оценка реакции АД и ЧСС пациента в ответ на ортостатическую пробу. Через 3 минуты после принятия вертикального положения отмечался прирост ЧСС на 33 в минуту — с 90 в минуту в положении лежа до 123 в минуту в положении стоя, что сопровождалось чувством учащенного сердцебиения, со слов пациента. В то же время показатели систолического и диастолического АД существенно не изменились: 110/73 мм рт.ст. в горизонтальном положении, 105/70 мм рт.ст. — через 3 мин пребывания в вертикальном положении. Выявленные изменения позволяют говорить о наличии у пациента постуральной тахикардии в отсутствие ортостатической гипотонии, что может встречаться в рамках КАН у пациентов с СД. Кроме того, ранее выявляемая по данным физикального и инструментального обследования тенденция к тахикардии покоя (90–114 в минуту) на фоне приема метопролола и наличие немой ишемии миокарда при столь тяжелом поражении коронарных артерий также свидетельствуют в пользу наличия у пациента КАН, что, несомненно, утяжеляет течение ХСН в данном случае.
Анализ анамнестических данных также позволил выявить в качестве возможной причины временного снижения ФВ ЛЖ до 25% назначение метопролола в высоких дозах (до 100–125 мг/сут). Вероятно, на фоне данной терапии сократительная функция ЛЖ существенно снизилась. В пользу данного предположения свидетельствует повышение ФВ ЛЖ до 37% на фоне уменьшения дозы метопролола, не исключая вклад других препаратов, получаемых пациентом. Следует отметить, что титрацию доз бета-адреноблокаторов в условиях существенно сниженной глобальной систолической функции ЛЖ рекомендуется проводить с осторожностью.
Учитывая молодой возраст пациента, важно уточнить возможные причины столь выраженной гиперлипидемии. Безусловно, дислипидемия в данном случае связана с имеющимся на протяжении долгих лет неудовлетворительным контролем гликемии.В то же время впервые столь выраженные изменения в липидном спектре были выявлены в детском возрасте. Уже тогда следовало исключить наследственный характер дислипидемии с помощью генетического тестирования и начать гиполипидемическую терапию.
В соответствии с диагностическими критериями семейной гиперхолестеринемии (СГХС) голландских липидных клиник, наиболее часто применяемыми для оценки вероятности СГХС, общее количество баллов у данного пациента соответствует «вероятной» СГХС (6 баллов). Данные критерии учитывают семейный анамнез пациента по атеросклеротическим сердечно-сосудистым заболеваниям (АССЗ) и наличие ранних АССЗ у самих пациентов, данные физикального обследования (наличие сухожильных ксантом, сенильной дуги роговицы у лиц моложе 45 лет), уровень ЛПНП и данные генетического анализа (мутации в генах LDLR, APOB, PCSK9). Уровень ЛПНП>4,9 ммоль/л (190 мг/дл) у пациентов, ранее не получавших гиполипидемическую терапию, требует тщательного обследования на предмет возможной семейной гиперхолестеринемии. Тем не менее при наличии раннего АССЗ или семейного анамнеза по АССЗ, СГХС следует исключать и при более низких уровнях ЛПНП [8][9].
В нашем клиническом случае, когда уже имеет место атеросклеротическое поражение коронарных артерий, исключение СГХС представляет научный интерес, но не клинический. Назначение гиполипидемической терапии будет соответствовать рекомендациям по лечению дислипидемии у лиц с СД и очень высоким сердечно-сосудистым риском, что предполагает снижение уровня холестерина ЛПНП менее 1,4 ммоль/л.
Кроме того, в данном случае нельзя исключить и вклад имеющейся нефропатии, вероятно, осложнившейся нефротическим синдромом, в развитие дислипидемии и артериальной гипертензии. Обращает внимание выраженное снижение рСКФ (CKD-EPI) до 36 мл/мин/1,743 м², в общем анализе мочи неоднократно выявлена протеинурия (1,5–3 г/л), а в анализах крови зафиксировано снижение общего белка <60 г/л. Развитие нормоцитарной анемии также, вероятно, можно отнести на счет ХБП. Отдельный вопрос вызывает стабильно повышенная СОЭ на протяжении длительного времени без изменений показателей лейкоцитарного звена, которую сложно объяснить каким-либо системным, местным воспалительным или иным процессом, атакже выявленная микрогематурия в анализе мочи, что заставляет пересмотреть генез нефропатии. Однако последнее не имеет решающего значения в выборе тактики лечения дислипидемии и ИБС у данного пациента.
Возможные подходы к терапии дислипидемии, ХСН и СД
В рекомендациях ЕSC/EAS по лечению дислипидемий с целью достижения целевых показателей для конкретного уровня риска пациентам показана терапия статинами до максимально переносимой дозы. При неэффективности максимальных доз статинов рекомендуется их комбинация с эзетимибом. В случае недостижения целевых значений ЛПНП на фоне приема статина и эзетимиба для первичной профилактики без СГХС и вторичной профилактики у пациентов очень высокого риска как сСГХС, так и без нее может быть назначена комбинация с ингибитором PCSK9 [8]. В приведенном клиническом случае на фоне лечения максимальными дозами розувастатина 40 мг и эзетимибом 10 мг уровни ЛПНП и общего холестерина существенноне снизились, поэтому к терапии был добавлен ингибитор PCSK9 алирокумаб 150 мг/сут.
В связи с большой вероятностью СГХС в вышеописанном случае гиполипидемическую терапию следовало инициировать еще в детском/подростковом возрасте пациента. Согласно клиническим рекомендациям по терапии СГХС, для лечения гиперхолестеринемии у детей с гетерозиготной СГХС в качестве первой линии рекомендованы статины, одобренные для клинического применения в детском возрасте. В РФ зарегистрированы аторвастатин с 10 лет, симвастатин с 10 лет ифлувастатин с 9 лет. В случае противопоказаний к приему статинов, их непереносимости или неэффективности монотерапии рекомендуется назначать эзетимиб 10 мг/сут детям с 10 лет с СГХС. В то же время при гетерозиготной СГХС рекомендуется инициировать терапию статинами в низких дозах с возраста 8 лет в случае, если на фоне коррекции диеты и уровня физической активности ЛПНП остается выше целевых значений как минимум при двух последовательных измерениях. Относительно гомозиготной формы СГХС, гиполипидемическую терапию следует инициировать как можно раньше в связи с очень высоким кардиоваскулярным риском. Рекомендуется назначать максимально переносимую терапию статинами в сочетании сэзетимибом 10 мг/сут. Также у детей в возрасте старше 12 лет с гомозиготной СГХС в случае недостижения целевого уровня ЛПНП рекомендовано добавление к терапии эволокумаба [10].
Единственным патогенетически оправданным лечением пациентов с СД1 является инсулинотерапия.
Однако в последние годы в качестве дополнительной терапии СД1 стали рассматривать группу препаратов ингибиторов натрий-глюкозного котранспортера 2 типа (иНГЛТ-2), применяющуюся у пациентов с СД2.
В ходе исследований DEPICT, EASE, InTANDEM применение иНГЛТ-2 у пациентов с СД1 приводило к снижению уровня HbA1c, увеличению времени в целевом диапазоне гликемии, уменьшению массы тела и улучшению показателей АД. Однако на фоне данной терапии отмечались случаи кетоацидоза и инфекции мочевыводящих путей, что заставило FDA отказаться от назначения иНГЛТ-2 при СД1. В то же время Европейское агентство по лекарственным средствам одобрило применение сотаглифлозина (200 мг) для людей с ИМТ>27 кг/м² при СД1. Ранее Европейским агентством при СД1 был также разрешен к применению дапаглифлозин в низких дозах (5 мг), однако с 25 октября 2021 г. он не рекомендован для пациентов с СД1 в связи с увеличением риска развития кетоацидоза на фоне данной терапии [11][12]. Вопрос о значительном повышении риска развития кетоацидоза на фоне терапии иНГЛТ-2 у пациентов с СД1 активно обсуждался еще до того, как дапаглифлозин исотаглифлозин впервые были официально одобрены Европейским агентством для пациентов с СД1. Тогда были предложены стратегии профилактики развития кетоацидоза путем отбора подходящих для данной терапии пациентов, надлежащей коррекции доз инсулина, регулярного мониторирования уровня кетонов в крови или моче и т.д. [13]. Таким образом, вопрос о применении данной группы препаратов среди пациентов с СД1 все еще остается открытым.
На сегодняшний день в России группа иНГЛТ-2 не зарегистрирована для пациентов с СД1.
В то же время интересны положения, касающиеся группы препаратов иНГЛТ-2, в обновленных Рекомендациях ESC по диагностике и лечению острой и хронической сердечной недостаточности, где иНГЛТ-2 рассматриваются не только с позиций лечения СД2.
Особенно значимо, что иНГЛТ-2, в частности дапаглифлозин и эмпаглифлозин, могут быть рекомендованы к лечению ХСН со сниженной ФВ ЛЖ у пациентов независимо от наличия или отсутствия диабета в анамнезе. В исследованиях DAPA-HF, EMPEROR-Reduced было показано, что терапия дапаглифлозином и эмпаглифлозином приводила к уменьшению симптомов ХСН и повышению физической активности, снижала частоту госпитализаций в связи с ХСН, общую и сердечно-сосудистую смертность. Диуретические свойства ИНГЛТ-2 могут дополнять благоприятный эффект данной группы препаратов при ХСН, способствуя уменьшению задержки жидкости [14].
Положительное влияние иНГЛТ-2 на сердечно-сосудистые исходы было продемонстрировано в том числе и для пациентов с СД2, однако пока неизвестно, применимы ли полученные данные к пациентам с СД1 [12]. Примечательно, что вышеописанные положительные эффекты характерны и для других представителей группы иНГЛТ-2. Так, в исследованиях SOLOIST-WHF, SCORED сотаглифлозин1 продемонстрировал улучшение прогноза в отношении отдаленных сердечно-сосудистых событий у пациентов с СД2 и ХСН, а также у пациентов с СД2 и ХБП в сравнении с плацебо [15][16].
Разумеется, невозможно полностью перенести данные, полученные в группе пациентов без СД и с СД2, на группу пациентов с СД1. В первую очередь это обусловлено особенностями патогенеза разных типов диабета и ассоциированными состояниями, повышающими сердечно-сосудистый риск при диабете. Помимо гипергликемии и дислипидемии при СД2 большой вклад в повышение кардиоваскулярных рисков вносит множество других факторов: часто сопутствующее абдоминальное ожирение и инсулинорезистентность, артериальная гипертензия и т.д. Причем в данном случае положительное влияние иНГЛТ-2 на сердечно-сосудистые исходы частично реализуется и за счет снижения массы тела пациентов, и за счет умеренного снижения АД, нефропротективного и ряда других свойств. В то же время при СД1, где имеет место абсолютный дефицит инсулина, возможные положительные кардиоваскулярные эффекты иНГЛТ-2 могут быть нивелированы ранее упомянутым риском развития кетоацидоза, механизм развития которого связан в том числе и с абсолютным недостатком инсулина в организме.
Таким образом, в случае пациента с СД1 с ИБС и ХСН гипотетически можно было бы рассмотреть назначение иНГЛТ, в частности сотаглифлозина1, для улучшения контроля гликемии и общего сердечно-сосудистого прогноза, если бы иНГЛТ-2 были зарегистрированы в России для лечения пациентов с СД1. Пока эта проблема — в рамках научного интереса. Вышеописанный пациент не соответствует определенным требованиям: ИМТ пациента <27 кг/м², он находится на помповой инсулинотерапии, что в разы повышает риск развития кетоацидоза, и, наконец, рСКФ пациента — 36 мл/мин/1,73 м², что, в случае сотаглифлозина, является противопоказанием к его назначению. В целом вопрос о назначении препаратов группы иНГЛТ-2 пациентам с СД1 требует дальнейшего обсуждения и проведения дополнительных исследований.
ЗАКЛЮЧЕНИЕ
Приведенный клинический пример характеризует возможность сочетания СД1, многососудистого поражения коронарных артерий и тяжелой ХСН с низкой ФВ ЛЖ у молодого пациента. Основными вопросами, возникающими при его анализе, являются возможность предотвращения серьезных метаболических и сердечно-сосудистых осложнений на фоне длительного анамнеза СД1, причинно-следственная связь между ними и актуальность расширения обязательного алгоритма контроля показателей липидного профиля и оценки состояния сердечно-сосудистой системы в целом у данной группы пациентов, поскольку основной задачей современной диабетологии является не только увеличение продолжительности их жизни, но и повышение ее качества.
ДОПОЛНИТЕЛЬНАЯ ИНФОРМАЦИЯ
Источники финансирования. Пациент был госпитализирован в ФГБУ «НМИЦ эндокринологии» МЗ РФ и проходил обследование за счет средств фонда ОМС.
Конфликт интересов. Авторы декларируют отсутствие явных и потенциальных конфликтов интересов, связанных с содержанием настоящей статьи
Участие авторов. Вознесенская А.А. — обзор литературы, написание текста рукописи; Бондаренко И.З. — курация пациента в стационаре, выбор тактики обследования и лечения, написание текста рукописи; Мелкозеров К.В. — курация пациента в стационаре, выбор тактики обследования и лечения, написание текста рукописи; Кошарная Р.С. — клиническое обследование пациента, редактирование текста; Захаров А.С. — клиническое обследование пациента, написание текста рукописи; Мовсесянц М.Ю. — набор материала, редактирование текста; Куклина М.Д. — клиническое обследование пациента, редактирование текста; Калашников В.Ю. — окончательное утверждение рукописи для публикации. Все авторы одобрили финальную версию статьи перед публикацией, выразили согласие нести ответственность за все аспекты работы, подразумевающую надлежащее изучение и решение вопросов, связанных с точностью или добросовестностью любой части работы.
Согласие пациента
Пациент добровольно подписал информированное согласие на публикацию персональной медицинской информации в обезличенной форме в журнале «Сахарный диабет».
1. иНГЛТ 1 и 2 типов, препарат не зарегистрирован на территории РФ.
Список литературы
1. Петеркова В.А., Шестакова М.В., Безлепкина О.Б., и др. Сахарный диабет 1 типа у детей // Сахарный диабет. — 2020. — Т. 23. — №1S. — С. 4-40. doi: https://doi.org/10.14341/DM12504
2. Homma TK, Endo CM, Saruhashi T, et al. Dyslipidemia in young patients with type 1 diabetes mellitus. Arch Endocrinol Metab. 2015;59(3):215-219. doi: https://doi.org/10.1590/2359-3997000000040
3. Mostofizadeh N, Hashemipour M, Roostazadeh M et al. The impact of poor glycemic control on lipid profile variables in children with type 1 diabetes mellitus. J Educ Health Promot. 2019;8:6. doi: https://doi.org/10.4103/jehp.jehp_194_17
4. Swasey KK, Orchard TJ, Costacou T. Trends in cardiovascular risk factor management in type 1 diabetes by sex. J Diabetes Complications. 2018;32(4):411-417. doi: https://doi.org/10.1016/j.jdiacomp.2018.01.003
5. Htay T, Soe K, Lopez-Perez A, et al. Mortality and Cardiovascular Disease in Type 1 and Type 2 Diabetes. Curr Cardiol Rep. 2019;21(6):45. doi: https://doi.org/10.1007/s11886-019-1133-9
6. Cai X, Li J, Cai W, et al. Meta-analysis of type 1 diabetes mellitus and risk of cardiovascular disease. J Diabetes Complications. 2021;35(4):107833. doi: https://doi.org/10.1016/j.jdiacomp.2020.107833
7. Dillmann WH. Diabetic Cardiomyopathy. Circ Res. 2019;124(8):1160-1162. doi: https://doi.org/10.1161/CIRCRESAHA.118.314665
8. Mach F, Baigent C, Catapano AL, et al. 2019 ESC/EAS Guidelines for the management of dyslipidaemias: lipid modification to reduce cardiovascular risk [published correction appears in Eur Heart J. 2020;41(44):4255]. Eur Heart J. 2020;41(1):111-188. doi: https://doi.org/10.1093/eurheartj/ehz455
9. Visseren FLJ, Mach F, Smulders YM, et al. 2021 ESC Guidelines on cardiovascular disease prevention in clinical practice. Eur Heart J. 2021;42(34):3227-3337. doi: https://doi.org/10.1093/eurheartj/ehab484
10. Ежов М.В., Бажан С.С., Ершова А.И., и др. Клинические рекомендации по семейной гиперхолестеринемии // Атеросклероз. — 2019. — Т. 15. — №1. — С. 58-98.
11. Snaith JR, Holmes-Walker DJ, Greenfield JR. Reducing type 1 diabetes mortality: Role for adjunctive therapies? Trends Endocrinol Metab. 2020;31(2):150-164. doi: https://doi.org/10.1016/j.tem.2019.11.007
12. Holt RIG, DeVries JH, Hess-Fischl A, et al. The management of type 1 diabetes in adults. A consensus report by the American Diabetes Association (ADA) and the European Association for the Study of Diabetes (EASD). Diabetologia. 2021;64(12):2609-2652. doi: https://doi.org/10.1007/s00125-021-05568-3
13. Danne T, Garg S, Peters AL, et al. International consensus on risk management of diabetic ketoacidosis in patients with type 1 diabetes treated with Sodium-Glucose Cotransporter (SGLT) Inhibitors. Diabetes Care. 2019;42(6):1147-1154. doi: https://doi.org/10.2337/dc18-2316
14. McDonagh TA, Metra M, Adamo M, et al. 2021 ESC Guidelines for the diagnosis and treatment of acute and chronic heart failure [published correction appears in Eur Heart J. 2021 Oct 14;]. Eur Heart J. 2021;42(36):3599-3726. doi: https://doi.org/10.1093/eurheartj/ehab368
15. Bhatt DL, Szarek M, Steg PG, et al. Sotagliflozin in Patients with Diabetes and Recent Worsening Heart Failure. N Engl J Med. 2021;384(2):117-128. doi: https://doi.org/10.1056/NEJMoa2030183
16. Bhatt DL, Szarek M, Pitt B, et al. Sotagliflozin in Patients with Diabetes and Chronic Kidney Disease. N Engl J Med. 2021;384(2):129-139. doi: https://doi.org/10.1056/NEJMoa2030186
Об авторах
А. А. ВознесенскаяРоссия
Вознесенская Анастасия Александровна - клинический ординатор; eLibrary SPIN: 9188-7450.
117036, Москва, ул. Дм. Ульянова, д. 11
Конфликт интересов:
нет
И. З. Бондаренко
Россия
Бондаренко Ирина Зиятовна - доктор медицинских наук, главгый гаучный сотрудник; eLibrary SPIN: 4524-4803.
Москва
Конфликт интересов:
нет
К. В. Мелкозеров
Россия
Мелкозеров Константин Владимирович - кандидат медицинских наук; eLibrary SPIN: 5307-9820.
Москва
Конфликт интересов:
нет
Р. С. Кошарная
Россия
Кошарная Раиса Станиславовна - врач-кардиолог.
Москва
Конфликт интересов:
нет
А. С. Захаров
Россия
Захаров Александр Сергеевич - врач по рентгенэндоваскулярным диагностике и лечению; eLibrary SPIN: 7597-4979.
Москва
Конфликт интересов:
нет
М. Ю. Мовсесянц
Россия
Мовсесянц Михаил Юрьевич - доктор медицинских наук, заведующий отделением рентгенохирургических методов диагностики и лечения; eLibrary SPIN: 3846-3746.
Москва
Конфликт интересов:
нет
М. Д. Куклина
Россия
Куклина Мария Дмитриевна - кандидат медицинских наук, зав. отделением функциональной диагностики; eLibrary SPIN: 1077-5118.
Москва
Конфликт интересов:
нет
В. Ю. Калашников
Россия
Калашников Виктор Юрьевич - доктор медицинских наук, проф., член-корреспондент РАН; eLibrary SPIN: 5342-7253.
Москва
Конфликт интересов:
нет
Дополнительные файлы
|
|
1. Рисунок 1. Правая коронарная артерия. | |
| Тема | ||
| Тип | Прочее | |
Посмотреть
(288KB)
|
Метаданные ▾ | |
|
|
2. Рисунок 2. Передняя межжелудочковая артерия. | |
| Тема | ||
| Тип | Данные | |
Посмотреть
(157KB)
|
Метаданные ▾ | |
|
|
3. Рисунок 3. Правая коронарная артерия после стентирования. | |
| Тема | ||
| Тип | Данные | |
Посмотреть
(338KB)
|
Метаданные ▾ | |
|
|
4. Рисунок 4. Передняя межжелудочковая артерия после стентирования. | |
| Тема | ||
| Тип | Исследовательские инструменты | |
Посмотреть
(155KB)
|
Метаданные ▾ | |
Рецензия
Для цитирования:
Вознесенская А.А., Бондаренко И.З., Мелкозеров К.В., Кошарная Р.С., Захаров А.С., Мовсесянц М.Ю., Куклина М.Д., Калашников В.Ю. Сахарный диабет 1 типа и ишемическая болезнь сердца с тяжелой систолической дисфункцией левого желудочка у пациента 25 лет. Сахарный диабет. 2022;25(5):514-521. https://doi.org/10.14341/DM12865
For citation:
Voznesenskaya A.A., Bondarenko I.Z., Melkozerov K.V., Kosharnaya R.S., Zakharov A.S., Movsesyants M.Yu., Kuklina M.D., Kalashnikov V.Yu. Diabetes mellitus type 1 and coronary artery disease with severe systolic heart failure in 25 year-old adult. Diabetes mellitus. 2022;25(5):514-521. (In Russ.) https://doi.org/10.14341/DM12865
Контент доступен под лицензией Creative Commons Attribution-NonCommercial-NoDerivatives 4.0 International License (CC BY-NC-ND 4.0).









































