Перейти к:
Гипогликемические состояния у больных сахарным диабетом 2 типа – церебральные, когнитивные, психосоциальные и клинические аспекты
https://doi.org/10.14341/DM12840
Аннотация
В обзоре отражаются современные представления о проблеме гипогликемии у больных сахарным диабетом (CД), эволюция клинических и лабораторных подходов к диагностике и актуальная классификация. Наибольшее значение имеет влияние гипогликемии на повышение риска развития сердечно-сосудистых заболеваний и смерти, в частности нарушений мозгового кровообращения. В статье обсуждаются как вопросы патогенеза повреждения вещества мозга при нейрогликопении, так и семиотики неврологических нарушений у этой категории пациентов. Освещены аспекты влияния гликопении на церебральный метаболизм, формирования контррегуляторного ответа и нарушения распознавания гипогликемии, а также современные возможности использования методов нейровизуализации для проведения дифференциальной диагностики в сложных случаях тяжелой гипогликемии. Представлены данные об эпидемиологии нейрокогнитивных нарушений у больных СД и их связи с гипогликемическими состояниями, а также психосоциальные последствия гипогликемии как для самого пациента, так и для родственников и медицинского персонала. Не теряет своей актуальности поиск путей снижения бремени гипогликемии с позиции эффективной и безопасной стратегии лечения больных с СД 2 типа, в связи с чем приведены данные по частоте и распространенности гипогликемических состояний различной тяжести при использовании отдельных классов сахароснижающих препаратов. Клиническое определение терапевтического подхода, позволяющего максимизировать метаболический контроль при минимизации риска гипогликемии, определяет возможности персонализированного управления СД.
Для цитирования:
Антонова К.В., Лагода О.В., Танашян М.М. Гипогликемические состояния у больных сахарным диабетом 2 типа – церебральные, когнитивные, психосоциальные и клинические аспекты. Сахарный диабет. 2022;25(3):288-298. https://doi.org/10.14341/DM12840
For citation:
Antonova K.V., Lagoda O.V., Tanashyan M.M. Hypoglycemia in type 2 diabetes mellitus patients — cerebral, cognitive, psychosocial and clinical aspects. Diabetes mellitus. 2022;25(3):288-298. (In Russ.) https://doi.org/10.14341/DM12840
ПОНЯТИЕ «ГИПОГЛИКЕМИЯ»
В широком спектре клинических проблем сахарного диабета (СД) особое место занимают гипогликемические состояния, ассоциированные с применением сахароснижающих препаратов и чреватые серьезными физическими и психосоциальными последствиями [1][2]. Эффективный гликемический контроль — деликатный баланс между лечением гипергликемии и уменьшением риска гипогликемии имеет большое значение для профилактики микрососудистых осложнений СД2 и сердечно-сосудистых заболеваний [3].
Нервная система, особенно головной мозг, наиболее уязвима к дефициту энергетических субстратов, что определяет клиническое звучание проявлений и последствий гипогликемии.
Целью настоящего обзора явились обобщение данных о церебральных, когнитивных и психологических аспектах гипогликемии, а также определение подходов к сахароснижающей терапии.
Поиск источников литературы проводился c неограниченной глубиной поиска по годам в базах данных PubMed, Medline по ключевым словам: diabetes mellitus, hypoglycemia, cognitive disorders, cognitive impairment, cognitive dysfunction, brain. Поисковый запрос в базе данных eLibrary выполнялся по ключевым словам: сахарный диабет, гипогликемия, когнитивные нарушения, головной мозг.
До недавнего времени не существовало единого мнения по поводу лабораторных и клинических критериев гипогликемии. Традиционное клиническое определение степени тяжести зависит от состояния больного и необходимости в посторонней помощи для купирования гипогликемии: легкая, умеренная и тяжелая [4]. До недавнего времени использовали следующие лабораторные критерии: гипогликемией считался уровень глюкозы плазмы <2,8 ммоль/л, сопровождающийся клинической симптоматикой, или <2,2 ммоль/л независимо от симптомов [5].
Международная группа по изучению гипогликемии рекомендует включать в отчеты о клинических испытаниях сахароснижающих препаратов частоту обнаружения концентрации глюкозы не <2,8 ммоль/л, а <3,0 ммоль/л, которую она считает клинически значимой биохимической гипогликемией [6]. Для клинической практики уровень 3,9 ммоль/л определяется как сигнальный и требующий вмешательства у лиц, получающих сахароснижающую терапию. В настоящее время выраженность гипогликемии определяют по уровням [7][8].
Уровень 1: значения глюкозы плазмы от 3,0 до <3,9 ммоль/л (с симптомами или без) у больных СД, получающих сахароснижающую терапию, указывают на риск развития гипогликемии и требуют начала мероприятий по купированию гипогликемии независимо от наличия или отсутствия симптомов.
Уровень 2: значения глюкозы плазмы <3,0 ммоль/л с симптомами или без — клинически значимая гипогликемия, требующая немедленного купирования.
Уровень 3: тяжелая гипогликемия — гипогликемия в пределах вышеуказанного диапазона с таким нарушением когнитивных функций (включая потерю сознания, т.е. гипогликемическую кому), которое требует помощи другого лица для купирования.
Обращает на себя внимание тот факт, что тяжесть гипогликемии определяется по клинической картине. Американская диабетическая ассоциация (ADA) трактует гипогликемию как «все эпизоды аномально низкого уровня глюкозы в плазме, подвергающие человека потенциальному вреду» [9].
Клинические проявления гипогликемии имеют широкий спектр от бессимптомного изменения уровня гликемии до комы и летального исхода. Выделяют вегетативные (сердцебиение, дрожь, бледность кожи, потливость, мидриаз, тошнота, голод) и нейрогликопенические (слабость, головная боль, нарушение концентрации внимания, головокружение, сонливость, парестезии, нарушение зрения, дезориентация, дизартрия, нарушение координации движений, спутанность сознания, кома) симптомы гипогликемии. Возможно развитие судорожного синдрома [7].
ЧАСТОТА И РАСПРОСТРАНЕННОСТЬ ГИПОГЛИКЕМИИ У БОЛЬНЫХ СД
Гипогликемия редко встречается у здоровых лиц, но является одним из самых частых нежелательных явлений у людей, страдающих СД. Оценка частоты гипогликемии в реальных условиях затруднена из-за нарушения распознавания гипогликемии самим пациентом и отсутствия единого подхода к определению и документированию гипогликемии.
Порог контррегуляторных реакций при снижении уровня гликемии может варьироваться у одного и того же пациента. Он выше у пациентов с плохим контролем СД и редкими эпизодами гипогликемии и ниже у пациентов с хорошим гликемическим контролем и более частыми эпизодами гипогликемии [5].
Данные самоконтроля показывают, что у больных СД 1 типа (СД1) и СД 2 типа (СД2) на инсулинотерапии ежегодно наблюдается до 94 и 36 эпизодов гипогликемии соответственно [10]. Результаты исследования UK Hypoglycaemia Study показали, что годовой риск развития тяжелой гипогликемии составлял 7% для пациентов с СД2, а частота — 0,1 случая на человека в год [11]. Представляют большой интерес результаты метаанализа 46 популяционных исследований, отражающих реальную клиническую практику лечения пациентов с СД2. В целом среди более чем полумиллиона больных с СД2 (532 542 человек, получавших инсулинотерапию и таблетированные препараты) распространенность гипогликемии составляла 45% для эпизодов легкой и умеренной гипогликемии и 6% — для тяжелой, а частота эпизодов гипогликемии на человека в год составила 19 и 0,8 случаев соответственно. Развитие гипогликемических состояний зависит от получаемой терапии и ожидаемо чаще регистрируется на фоне инсулинотерапии: распространенность легких/умеренных эпизодов составила 52%, а заболеваемость — 23 случая на человека в год; для тяжелых эпизодов распространенность составляла 21%, а частота — 1 случай в год. При использовании различных препаратов класса сульфонилмочевины (СМ) легкие и умеренные гипогликемии встречались в 33%, частота — 1,92 события в год, тяжелые гипогликемии имели распространенность 5%, а частота — 0,01 случая в год. Такая же распространенность тяжелой гипогликемии в 5% была обнаружена для схем лечения, не включавших инсулин и СМ. Однако детальный анализ для других препаратов не был представлен [12]. Меглитиниды характеризуются сопоставимым с препаратами СМ риском гипогликемии [7].
Госпитальная летальность при тяжелой гипогликемии составляет 3,8% [13]. Гипогликемическая кома с позиций реаниматологии рассматривается в структуре метаболических нарушений, которые составляют до 29–75% всех нетравматических ком [14].
Как показали результаты анализа данных Регистра СД, в Российской Федерации достигнуто значимое снижение острых и хронических осложнений СД [15]. За период 2013–2017 гг. отмечено снижение смертности вследствие кетоацидотической и гипогликемической ком [16], что служит отражением улучшения качества помощи пациентам с СД в нашей стране. Однако у больных СД2 отмечена тенденция к увеличению доли гипогликемических ком, которые составляли в 2013 г. 37,5%, а в 2016 г. — почти половину от всех видов диабетических ком — 46,1% случаев [17], что подчеркивает важность проблемы гипогликемии в современной диабетологии.
КОНТРРЕГУЛЯТОРНЫЙ ОТВЕТ И НЕРАСПОЗНАВАЕМАЯ ГИПОГЛИКЕМИЯ
Гипогликемические реакции на фоне применения инсулина и нарушения их распознавания были описаны вскоре после начала эпохи инсулинотерапии [18]. Гомеостаз глюкозы имеет фундаментальное значение для выживания большинства позвоночных. Эпизод гипогликемии активирует ряд адаптивных механизмов, направленных на повышения уровня глюкозы в плазме. В организме человека существует интегрированная сеть специализированных чувствительных к глюкозе клеток, обнаруженных в определенных ключевых частях мозга и на периферии, которые способны отслеживать изменения содержания глюкозы и реагировать на них, координировать гомеостаз глюкозы с другими энергетическими процессами [19][20], а также адаптироваться к рецидивирующей гипогликемии.
Ведущие роли в процессе преобразования сигнала глюкозы в изменении скорости возбуждения нейронов играют рецептор сульфонилмочевины 1, АТФ-чувствительные калиевые каналы, глюкокиназа и AMФ-активированная протеинкиназа (АТФ — аденозинтрифосфат, АМФ — аденозинмонофосфат). Глюкокиназа является наиболее важным компонентом этого сигнального механизма: с повышением уровня глюкозы увеличивается активность глюкокиназы, что в конечном итоге приводит к увеличению соотношения АТФ:АМФ, закрытию каналов К-АТФ, деполяризации нейронов и увеличению скорости их возбуждения. Изменения уровня АМФ-активированной протеинкиназы в нейронах или вентро-медиальном гипоталамусе способны увеличивать или уменьшать контррегуляторный ответ на гипогликемию. Согласно Sherwin R.S. и работам его последователей, за счет вышеуказанных ключевых этапов падение уровня глюкозы приводит к подавлению глюкозостимулируемых нейронов с участием гамма аминомасляной кислоты — ведущего ингибиторного нейротрансмиттера и активации глутаматергических нейронов с дальнейшей активацией сигнальных путей, обеспечивающих контррегуляторный ответ [21–23]. Контррегуляторный ответ включает стимуляцию глюкагона, катехоламинов (норадреналин, адреналин), кортизола и секреции гормона роста, которые все вместе стимулируют выработку глюкозы в печени и снижают уровень утилизации глюкозы периферическими тканями, модуляцию вегетативной нервной системы. Как острая, так и хроническая/рецидивирующая гипогликемии затрагивают множество метаболических путей, увеличивается потребление альтернативных респираторных субстратов, таких как кетоновые тела, гликоген и монокарбоксилаты в головном мозге [24][25]. Есть мнение, что использование лактата в качестве энергетического субстрата для мозга при гипогликемии обеспечивает обратимость церебральных изменений и сохранение ментальных функций [26]. Лактат может модулировать контррегуляторный ответ на гипогликемию посредством подавления АМФ-активируемой протеинкиназы и увеличения высвобождения гамма-аминомасляной кислоты. Кроме того, внешние модуляторы нейронов, такие как опиоиды, серотонин, стероиды, цитокины и урокортин, модулируют контррегуляторный ответ и могут влиять на синтез/высвобождение нейротрансмиттеров или на изменения в синаптической структуре (рис. 1). Следует отметить, что исследования на людях с использованием магнитно-резонансной спектроскопии или позитронно-эмиссионной томографии дали противоречивые данные о влиянии рецидивирующей гипогликемии на церебральный метаболизм. Это может отражать региональную метаболическую вариабельность, различия реакции нейронов и глиальных клеток [27].

Рисунок 1. Потенциальные механизмы церебральной адаптации к повторной гипогликемии. Адаптировано по Rory J. McCrimmon, 2021.
Примечания: βAdR — β-адренорецептор; EphA5 — рецептор эфрина A5; TRP — каналы транзиторного рецепторного потенциала; ГАМК — гамма-аминомасляная кислота; KATФ — АТФ-зависимые калиевые каналы
Повторные эпизоды гипогликемии вызывают снижение контррегуляторного и вегетативного ответов, что ведет к нарушению распознавания гипогликемии [24] и является серьезной клинической проблемой. Нераспознаваемая гипогликемия (НГ) определяется как развитие нейрогликопении до возникновения автономных симптомов или неспособность ощутить снижение гликемии ниже нормального уровня [28]. Этиология НГ является многофакторной. Возможные механизмы включают хроническое воздействие низких концентраций глюкозы, рецидивирующую гипогликемию и недостаточность активации системы контррегуляторных гормонов. Существует мнение, что реакция всего организма на повторяющуюся гипогликемию представляет собой форму адаптивной памяти, обеспечивающей устойчивость клеток к будущим периодам энергетической депривации, но при СД этот механизм приводит к негативным последствиям, ослабляя компенсаторный ответ [19][27]. Бессимптомные гипогликемии характеризуются рецидивирующим течением и повышенным риском смерти [25][29]. Наличие НГ отмечается у 17,01% (95% доверительный интервал — ДИ 13,27–20,75%) больных СД2 [30]. Следует подчеркнуть, что НГ повышает риск последующей тяжелой гипогликемии, причем в наибольшей степени у больных СД2 (в 17 раз для СД2 и в 6 раз для СД1) [31][32].
Результаты экспериментальных исследований показали, что тяжелая гипогликемия вызывает окислительное повреждение и гибель нейронов, а предшествующая рецидивирующая гипогликемия способствует усугублению церебрального повреждения, которое регистрируется в теменной коре головного мозга, полосатом теле и главным образом в гиппокампе. Эти изменения проявляются значительным дефицитом пространственной и контекстной памяти [33].
У больных СД1 показана связь НГ с ухудшением обучения и памяти, что обусловлено дисфункцией гиппокампа, который уязвим при нейрогликопении [34]. Следует подчеркнуть недооцененную клиническую важность умеренной НГ, которая не только увеличивает риск тяжелых гипогликемических состояний, но в итоге ухудшает когнитивный исход и повышает риск смерти.
СЕРДЕЧНО-СОСУДИСТЫЕ ПОСЛЕДСТВИЯ ГИПОГЛИКЕМИИ
Влияние гипогликемии на смертность происходит не только напрямую, но и опосредованно, увеличивая риск сердечно-сосудистых заболеваний (ССЗ). Результаты метаанализа 44 исследований, включавших 2 507 434 пациента, продемонстрировали влияние гипогликемии на: риск смерти (18 исследований, относительный риск — OР 2,02; 95% ДИ 1,75–2,32); риск смерти от ССЗ (6 исследований, OР 2,11; 95% ДИ 1,55–2,87); макрососудистые осложнения (19 исследований, OР 1,81; 95% ДИ 1,70–1,94) и микрососудистые осложнения (2 исследования, OР 1,77; 95% ДИ 1,49–2,10) [35].
Однако результаты исследований, посвященных ССЗ и гипогликемии, неоднозначны. Проспективное исследование Atherosclerosis Risk in Communities (ARIC) показало, что у пациентов с СД предшествующая тяжелая гипогликемия увеличивает риск ишемической болезни сердца, общей смертности и смертности от ССЗ, но связи с инсультом не наблюдалось [36]. В недавно опубликованном вторичном анализе исследования по сравнению сердечно-сосудистой безопасности инсулина деглудек и инсулина гларгин у пациентов с CД2 и высоким риском сердечно-сосудистых событий (The double-blind Trial Comparing Cardiovascular Safety of Insulin Degludec vs Insulin Glargine in Patients with Type 2 Diabetes at High Risk of Cardiovascular Events, DEVOTE) с частотой тяжелой гипогликемии 4,9% в группе деглудека и 6,6% в группе гларгина (р<0,001) получена связь между воздействием тяжелой гипогликемии и общей смертностью, однако статистически значимые различия для риска ССЗ, в том числе инсульта, получены не были [37].
В исследовании у пациентов с СД2 при применении препаратов СМ были найдены взаимосвязи между гипогликемией и инсультом, причем наибольшее повышение риска отмечено у больных, перенесших 3 и более эпизодов тяжелой гипогликемии (ОР 1,57; 95% ДИ 1,44–1,7), тогда как легкая/умеренная гипогликемия не приводила к повышению риска инсульта [38]. В указанной публикации не приводится детализация терапии по сахароснижающими препаратам, что, с нашей точки зрения, затрудняет интерпретацию результатов исследования.
НЕЙРОКОГНИТИВНЫЕ И ЦЕРЕБРАЛЬНЫЕ ИЗМЕНЕНИЯ
Достаточно тревожные результаты демонстрируют исследования, посвященные проблеме когнитивных нарушений в диабетологии. Распространенность умеренных (додементных) когнитивных расстройств у пациентов с СД2 может достигать 45,0% (95% ДИ 36,0–54,0) [39]. По данным метаанализа 9 когортных исследований, у пациентов с СД2 повышается как риск развития когнитивных нарушений в целом (ОР 1,83; 95% ДИ 1,39; 2,41]), так и умеренных когнитивных нарушений (ОР 1,71; 95% ДИ 1,21–2,42) [40]. СД, как показали результаты масштабного анализа, ассоциирован с увеличением риска деменции, в наибольшей степени — у женщин (ОР 2,34; 95% ДИ 1,86–2,94) [41]. Больные в возрасте старше 65 лет, как наиболее уязвимые с точки зрения возраст-ассоциированного когнитивного снижения, составляют 54,7% всех пациентов с СД2 в России [16].
Деменция (выраженное нейрокогнитивное расстройство) характеризуется значительными нарушениями высших мозговых функций, которые приводят к потере независимости и увеличивают потребность в посторонней помощи в повседневной жизни [42]. Однако если проблеме развития выраженных когнитивных нарушений при хронической гипергликемии и инсулинорезистентности посвящено значительное количество исследований в последние годы, то гипогликемические состояния в этом контексте изучены в меньшей мере. В этой связи представляют интерес результаты когортного исследования, посвященного проблеме деменции у больных СД1, включившего 2821 пациента старшей возрастной категории (средний возраст 56 лет), которое отразило влияние гипер- и/или гипогликемических эпизодов на тяжелые когнитивные нарушения. В среднем за 6,9 года наблюдения у 5,4% была диагностирована деменция. Риск деменции при развитии у пациента тяжелых как гипо-, так и гипергликемических состояний был в 6 раз выше по сравнению с больными без таковых (ОР 6,20; 95% ДИ 3,02–12,70) [43].
Результаты метаанализа 9 исследований показали связь эпизодов гипогликемии с деменцией у лиц старшего возраста (OР 1,50; 95% ДИ 1,29–1,74) [35] Более ранний метаанализ, основанный на данных 1,5 млн пациентов, продемонстрировал двунаправленную связь между когнитивными нарушениями и гипогликемией у пожилых пациентов. Отмечен значительно повышенный риск деменции у пациентов, перенесших эпизоды гипогликемии (ОР 1,68; 95% ДИ 1,45–1,95) с одной стороны, с другой — и риск гипогликемии у пациентов с деменцией также был значительно выше (ОР 1,61; 95% ДИ 1,25–2,06]) [44]. Гипогликемические состояния и когнитивные нарушения оказывают, очевидно, взаимно потенцирующее влияние, приводя к потере способности к самоконтролю, выполнению лечебных мероприятий и самопомощи при гипогликемии.
Надо отметить, что у больных с СД и цереброваскулярными заболеваниями нарушения высших корковых функций и различные формы афазии могут приводить к потере способности не только распознать гипогликемию, но и сообщить о ней. Речевые причины несвоевременного информирования родственников или медицинского персонала о гипогликемии имеют место в клинической практике, но эта проблема недостаточно освещена в литературе. С другой стороны, предъявляемые больными с цереброваскулярными заболеваниями и когнитивными нарушениями жалобы на неспецифическое изменение самочувствия и головокружения могут быть ошибочно расценены как симптомы декомпенсации основного сосудистого заболевания, что подчеркивает проблему контроля гликемии у коморбидных пациентов [45].
Большое клиническое значение имеет тот факт, что гипогликемия может проявляться в виде острых церебральных нарушений и иметь симптоматику, характерную для инсульта. Согласно современным клиническим рекомендациям, именно определение уровня глюкозы на догоспитальном и госпитальном этапах оказания помощи являются первоочередными исследованиями, которые обязательны к выполнению у всех пациентов с подозрением на нарушение мозгового кровообращения. При выявлении гипогликемии внутривенное введение глюкозы может устранить неврологический дефицит [46].
В ряде случаев используется понятие гипогликемической энцефалопатии (ГЭ), которую определяют как тяжелую гипогликемию с измененным уровнем сознания (по шкале комы Глазго <12 баллов). Выделяют также пролонгированную ГЭ: кома или ступор, продолжающиеся >24 ч после введения глюкозы. Результаты исследования, проведенного в Японии, показали, что ГЭ широко распространена у больных с тяжелой гипогликемией: из 173 больных у 94 пациентов была отмечена ГЭ, у 12 из них она носила пролонгированный характер, уровень сознания был связан с уровнем гликемии [47]. Плохой функциональный исход (оценка по модифицированной шкале Рэнкина 4–6 баллов) регистрируется примерно у 60% больных с ГЭ [48].
Тяжелая гипогликемия может протекать под маской инсульта не только клинически, но и по данным нейровизуализации — изменения интенсивности магнитно-резонансного сигнала (МР-сигнала) могут имитировать острый инфаркт. Однако регистрируемые при ГЭ изменения носят ряд особенностей.
1. При МР томографии (МРТ) определяются обширные двусторонние и симметричные/асимметричные поражения белого и серого вещества, в ряде случаев может не выявляться значимых изменений. В белом веществе поражаются лучистый венец, внутренняя капсула и мозолистое тело, изменения серого вещества обнаруживаются в затылочной и височной долях, базальных ганглиях и гиппокампе. Мозжечок, ствол мозга и таламус вовлекаются реже. Это происходит из-за более высокой активности переносчиков глюкозы в последних и более высоких уровнях АТФ в таламусе [49].
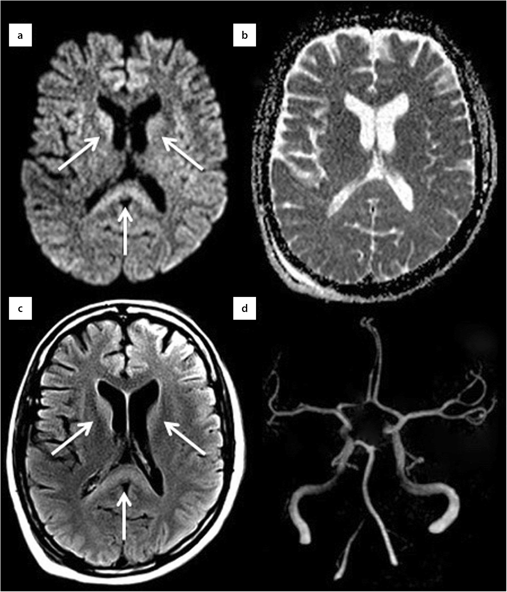
2. Изменения МР-сигнала включают гиперинтенсивность на диффузионно-взвешенных режимах исследования и в режиме FLAIR, небольшую гиперинтенсивность на T2-взвешенных изображениях и небольшую гипоинтенсивность на T1-взвешенных изображениях. Диффузионно-взвешенное изображение (ДВИ) играет важную роль в ранней диагностике ГЭ. (рис. 2).
3. Нейровизуализационные изменения носят обратимый характер.
4. Кортикальные поражения не соответствуют определенному сосудистому бассейну [48].
5. Нейровизуализационные изменения при ГЭ не всегда бывают диффузными или двусторонними. Возможный механизм несимметричных изменений по данным МРТ — наличие метаболической асимметрии между левым и правым полушариями.

Рисунок 2. Данные МРТ. Тяжелая гипогликемия у 42-летней женщины. Визуализируется гиперинтенсивность в базальных ганглиях и валике мозолистого тела (стрелки a, c) без признаков острого ишемического повреждения в режиме ДВИ (b) и значимых изменений интракраниальных артерий (МР-ангиография) (d). Приводится по Adam G и соавт. [49].
Современные нейровизуализационные методы позволили определить отделы мозга, повреждаемые в случае тяжелой гипогликемии. Регистрируется высокая интенсивность сигнала в коре головного мозга, а также в гиппокампе, головке хвостатого ядра, чечевицеобразном ядре и мозолистом теле. Сообщается, что гипогликемическое повреждение головного мозга начинается c белого вещества в области проводящих путей, таких как внутренняя капсула, и распространяется на весь мозг, включая серое вещество [50][51].
Хотя источник обратимого ограничения диффузии в поражениях при гипогликемии неясен, это может быть результатом эксайтотоксического отека. Эксайтотоксичность — это сложный процесс, запускаемый активацией рецептора глутамата, который приводит к дегенерации дендритов и гибели клеток [52]. Эксайтотоксический отек мозга — обратимая форма цитотоксического отека, вызванная повышенным содержанием внеклеточного глутамата. При гипогликемии системы обратного захвата глутамата не нарушаются, поэтому повреждение головного мозга обычно носит временный характер, и изменения, регистрируемые при МРТ в режиме ДВИ нормализуются со временем после устранения причинных факторов. Тем не менее, если дефицит глюкозы продолжается, активируются молекулярно-клеточные механизмы прогрессивной гибели нейронов. Происходит возбуждающее высвобождение аминокислоты аспартата во внеклеточное пространство, что приводит к селективному некрозу нейронов в коре головного мозга, хвостатом ядре, скорлупе и гиппокампе. Таким образом, изменения, обусловленные гипогликемией, могут нормализоваться при экстренной терапии, но если лечение откладывается, эти изменения становятся стойкими [53][54].
Наряду с длительностью тяжелого гипогликемического эпизода в качестве факторов риска развития неврологических нарушений также рассматриваются пожилой возраст, деменция, депрессия и диссомния [55].
Необходимо подчеркнуть, что эффекты гипогликемии в головном мозге не исчерпываются метаболическими нарушениями. Не только гипер-, но и гипогликемия оказывает влияние на формирование изменений системы гемореологии и гемостаза [56], которые являются ведущими в механизмах реализации цереброваскулярной патологии.
Ауторегуляция мозгового кровотока играет важную роль в обеспечении адекватной церебральной перфузии. В последнее время появились сообщения, что динамика мозгового кровотока может играть защитную роль при гипогликемии. Мозговой кровоток у здоровых добровольцев после введения инсулина увеличивается на 42%, и это происходит существенно раньше появления симптомов гипогликемии [57].
Надо отметить, что исследования воздействия гипогликемии на мозг человека имеют ограничения, поскольку позволяют оценить лишь связь в основном тяжелых эпизодов с изменениями структуры, реже — функциональных тестов с результатами нейропсихологического обследования. В этой связи результаты функциональной магнитно-резонансной томографии при изменениях уровня гликемии и когнитивных нагрузках представляют интерес.
Большая часть энергии, производимой катаболизмом глюкозы в головном мозге в покое (в состоянии бодрствования, но без вовлечения в требующую внимания деятельность), расходуется на поддержание активности нейронных сетей, которые отражают функциональную коннективность соответствующих областей мозга. Такие функционально связанные области формируют различные сети покоя. Эта функция мозга обнаруживается с помощью функциональной магнитно-резонансной томографии как синхронизированные колебания сигнала, формирующего сеть. Было проведено исследование внутренней активности мозга при низком, но физиологическом уровне гликемии после ночного голодания, показавшее изменения в одной из сетей. Кроме того, зависимость внимания от содержания глюкозы подтверждена изменениями в правой лобно-теменной сети, возникшими после когнитивных усилий при низком уровне гликемии [58].
ПСИХОСОЦИАЛЬНЫЕ ПОСЛЕДСТВИЯ ГИПОГЛИКЕМИИ
Увеличение данных о том, что частота и тяжесть гипогликемии ассоциированы с психологическим стрессом и эмоциональной реакцией вне зависимости от типа диабета [59][60], позволяют констатировать ее как психотравмирующий фактор у людей с СД. Страх перед тяжелой гипогликемией представляет собой серьезное препятствие для лечения CД, способствуя плохому гликемическому контролю, особенно на фоне НГ [60].
Следует подчеркнуть, что гипогликемия — это событие, которое имеет последствия не только для пациента. Среди родственников больного СД отрицательное влияние заболевания близкого человека на эмоциональное благополучие отмечают 44,6% (31,8–63,0%), при этом 61,3% (31,5–86,4%) родственников беспокоятся о гипогликемии [61], что является серьезным фактором, лимитирующим качество жизни членов семьи больного [62].
По результатам исследования, проведенного в Канаде, три эмоциональных аспекта были определены и у медицинских работников, если их пациенты испытывали гипогликемию: чувство профессиональной ответственности (участники чувствовали, что они не справились со своими профессиональными обязанностями); диапазон личных эмоций (печаль и вина); побуждение определить потенциальные стратегии предотвращения гипогликемических событий в будущем [63].
ПРОФИЛАКТИКА ГИПОГЛИКЕМИИ
Профилактика гипогликемии включает традиционные фармакологические и нефармакологические аспекты, а также использование современных технологий.
В последнее время разрабатываются интегративные модели прогнозирования уровня глюкозы в крови. На настоящий момент наилучший результат показали модели, основанные на нейронных сетях [64]. Системы непрерывного мониторинга глюкозы крови продемонстрировали эффективность в снижении частоты гипогликемических эпизодов у пациентов с СД1 [65], но редко применяются у пациентов с СД2.
С начала XXI в. произошли изменения парадигмы сахароснижающей терапии, включающие стратификацию целевых значений показателей углеводного обмена и своевременную интенсификацию лечения, имеющие под собой базу крупномасштабных исследований. С учетом большой клинической значимости, риск и степень гипогликемии используются в качестве обоснования для выбора методов лечения. При этом в настоящее время имеется простой и перспективный ресурс снижения риска гипогликемии, особенно среди пациентов старшей возрастной группы за счет более гибкого и индивидуализированного выбора целей терапии по HbA1c. Без учета этого принципа цели терапии носили избыточный характер в 24,6% случаев [66].
Современный арсенал средств лечения СД2 включает целый спектр сахароснижающих препаратов различных классов СМ, бигуаниды, тиазолидиндионы, ингибиторы дипептидилпептидазы-4 (ДПП-4), агонисты рецепторов глюкагоноподобного пептида-1, ингибиторы натрий-глюкозного котранспортера-2, инсулины, меглитиниды), обладающих разным потенциалом эффективности и риска гипогликемии, кардиоваскулярными, ренальными и другими плейотропными эффектами, а также недостатками и ограничениями применения. Актуальные клинические алгоритмы подчеркивают, что индивидуальный подход к пациенту является приоритетным в определении тактики лечения. При выборе терапии необходимо учитывать сердечно-сосудистую патологию, хроническую болезнь почек, оценивать риски гипогликемии и влияние на массу тела [7].
Наибольший интерес в аспекте рассматриваемой темы представляет использование препаратов СМ, которые наиболее часто назначаются во всех странах мира [67]. В России количество пациентов с СД2 на инсулинотерапии составляет 19,4–19,7%, а на терапии СМ — 47,1–55,6%. В качестве монотерапии препараты СМ применяются в 27,3% случаев, в комбинации 2 сахароснижающих препаратов 82,9% составляют СМ+метформин, из тройных комбинаций 63,7% представлено СМ+метформин+ингибиторы ДПП-4 [15]. В России в основном применяются гликлазид, глимепирид и глибенкламид. Глибенкламид имеет существенно более высокий риск гипогликемии в сравнении с другими СМ (ОР 1,83; 95% ДИ 1,35–2,49) [68] и не рекомендован ВОЗ к применению лицам старше 60 лет.
Эффекты интенсивного контроля глюкозы, включавшего использование оригинального гликлазида модифицированного высвобождения (МВ) (в России — Диабетон МВ ®), по сравнению со стандартным контролем глюкозы у пациентов с СД2, изучены в исследовании The Action in Diabetes and Vascular Disease: Preterax and Diamicron Modified Release Controlled Evaluation, (ADVANCE), которое включало 11 140 пациентов. По результатам исследования удалось значимо снизить риск развития комбинированных основных макро- и микрососудистых осложнений СД на 10% (р=0,013), риск микрососудистых осложнений на 14% (р=0,01). Смертность от сердечно-сосудистых заболеваний снизилась на 12% (ОР 0,88; 95% ДИ 0,74–1,04). Наиболее значимые результаты касались снижения риска почечных событий на 20% (ОР 0,79; 95% ДИ 0,66–0,93) [69]. Явное снижение риска развития или прогрессирования нефропатии, продемонстрированное в исследовании ADVANCE, очень важно, поскольку наличие и степень выраженности поражения почек тесно связаны с будущим риском серьезных сосудистых явлений, развитием терминальной стадии заболевания почек и смерти пациентов с СД2.
Тяжелая гипогликемия была отмечена в группе интенсивного контроля лишь в 2,7% случаев и в 1,5% — в группе стандартного лечения. Обращает на себя внимание в целом небольшая частота гипогликемии при применении гликлазида МВ. Следует отметить, что после завершения рандомизированной фазы исследования в продленной фазе ADVANCE-ON завершился интенсивный контроль гликемии в I группе, однако, невзирая на это, спустя 10 лет была зафиксирована долгосрочная сердечно-сосудистая безопасность режима интенсивной терапии, основанного на терапии гликлазидом МВ, риск развития терминальной стадии хронической почечной недостаточности в основной группе, ранее основанной на интенсивной стратегии, был на 46% меньше, чем в группе стандартной терапии (ОР 0,54; p<0,01) [70][71].
Эти результаты не в полной мере согласуются с наблюдениями, полученными в исследовании Action to Control Cardiovascular Risk in Diabetes (ACCORD) и Veterans Affairs Diabetes Trial (VADT) (из группы препаратов СМ применялся глимепирид) [72–74]. В исследовании ACCORD участники, принадлежащие к группе интенсивного контроля уровня глюкозы, испытали больше эпизодов гипогликемии, чем в группе стандартной терапии (1,06 и 0,29 эпизода в неделю соответственно). Следует отметить, что быстрая интенсификация терапии в исследованиях ACCORD и VADT с применением схем с использованием нескольких пероральных агентов и инсулина отличалась от поэтапного подхода к интенсификации терапии с применением гликлазида MВ в ADVANCE, где постепенный темп снижения показателей гликемии в группе интенсивного контроля, основанного на гликлазиде МВ, составил лишь 0,5% в первые 6 мес лечения, и HbA1c достиг целевого уровня 6,5% только через 36 мес исследования. Соответственно, это и определило более высокую безопасность с точки зрения гипогликемии в исследовании ADVANCE. При этом частота эпизодов гипогликемии в исследовании ACCORD была примерно в 6 раз выше, чем в исследовании ADVANCE, что сопровождалось приростом массы тела (ACCORD — 3,5 кг и VADT — 8,4 кг против ADVANCE — 0,1 кг).
Результаты ADVANCE продемонстрировали значительное уменьшение риска составного исхода, главным образом за счет значимо меньшей частоты почечных осложнений. Данные, полученные в ходе широкомасштабных исследований, подчеркнули неоднородность группы препаратов СМ. Современные рекомендации отдельно выделяют гликлазид МВ, его нефро- и кардиопротективные свойства [7].
Отсутствие повышения риска инсульта в группе интенсивного контроля при применении гликлазида можно объяснить тем, что гликлазид обладает антиоксидантными свойствами и таким образом может также снизить влияние прокоагулянтных путей, активируемых воздействием гипогликемии [75]. Гликлазид обладает наиболее выраженными антиагрегантными свойствами из всех препаратов СМ [76]. Возможно, эти положительные плейотропные эффекты гликлазида могут в определенной степени способствовать предотвращению цереброваскулярных исходов.
В ретроспективном когортном исследовании баз данных исследований клинической практики Великобритании (UK Clinical Practice Research Datalink) сравнивались эффективность и безопасность гликлазида MВ и ситаглиптина в качестве лечения второй линии в добавление к метформину у пациентов с СД2 и уровнем HbA1c ≥7,0%. В целом пациенты, получавшие гликлазид MВ, на 35% чаще смогли достичь цели <7,0% и <6,5% HbA1c, чем в группе ситаглиптина (ОР 1,35; 95% ДИ 1,15–1,57 и 1,51; 95% ДИ 1,19–1,92). Отмечена большая вероятность достижения контроля HbA1c через 3 мес лечения. При этом не было получено доказательств более высокого риска гипогликемии на фоне терапии гликлазидом MВ по сравнению с ситаглиптином [77]. Более интенсивное раннее лечение имеет преимущества и должно рассматриваться в процессе совместного принятия решений с пациентами [8].
ЗАКЛЮЧЕНИЕ
Для пациентов с СД, в наибольшей степени СД2, характерно повышение риска когнитивных нарушений и цереброваскулярных событий. Сахароснижающая терапия ассоциирована с риском развития гипогликемических состояний, которые могут увеличивать риск развития когнитивных нарушений, однако отмечается взаимное влияние этих двух состояний. Гипогликемия имеет клинические и психосоциальные последствия. Рецидивирующая нераспознаваемая гипогликемия увеличивает риск развития гипогликемической энцефалопатии, повышает риск смерти и является достаточно сложной клинической проблемой. Тяжелые гипогликемические состояния, частота встречаемости которых существенно отличается по данным различных источников, могут иметь симптоматику, схожую с острым инсультом, характеризуются наличием специфических изменений при нейровизуализации и потенциально обратимым течением при своевременном вмешательстве. Взаимосвязь ишемического инсульта и гипогликемических состояний, показанная в ряде исследований, подтверждена не в полной мере. Этот вопрос, с учетом колоссальной медико-социальной значимости нарушений мозгового кровообращения и их последствий, требует дальнейшего уточнения. Современная клиническая практика лечения больных СД2 включает различные классы препаратов, среди которых чаще всего используют производные СМ. Применение гликлазида МВ, препарата более поздней генерации СМ, своевременно позволяет достичь целей гликемического контроля без значимого повышения рисков гипогликемических состояний, что следует учитывать при выборе тактики ведения пациента. Клиническое определение терапевтического подхода, позволяющего максимизировать метаболический контроль при минимизации гипогликемии, определяет возможности персонализированного управления СД.
ДОПОЛНИТЕЛЬНАЯ ИНФОРМАЦИЯ
Источники финансирования. Работа выполнена по инициативе авторов без привлечения финансирования.
Конфликт интересов. Авторы Лагода О.В., Танашян М.М. декларируют отсутствие явных и потенциальных конфликтов интересов, связанных с содержанием настоящей статьи. Антонова К.В. является лектором компаний «Сервье».
Участие авторов. Антонова К.В., Лагода О.В., Танашян М.М.— концепция и дизайн исследования, подбор литературы, написание статьи; Танашян М.М. — внесение в рукопись существенной (важной) правки с целью повышения научной ценности статьи. Все авторы одобрили финальную версию статьи перед публикацией, выразили согласие нести ответственность за все аспекты работы, подразумевающую надлежащее изучение и решение вопросов, связанных с точностью или добросовестностью любой части работы.
Список литературы
1. Gerstein HC, Miller ME, Byington RP, et al. ACCORD Study Group; Effects of intensive glucose lowering in type 2 diabetes. N Engl J Med. 2008;358:2545-2559. doi: https://doi.org/10.1056/NEJMoa0802743
2. Cryer PE. Death during intensive glycemic therapy of diabetes: mechanisms and implications. Am J Med. 2011;124:993-996. doi: https://doi.org/10.1016/j.amjmed.2011.08.008
3. Turner R. Intensive blood-glucose control with sulphonylureas or insulin compared with conventional treatment and risk of complications in patients with type 2 diabetes (UKPDS 33). Lancet. 1998;352(9131):837-853. doi: https://doi.org/10.1016/S0140-6736(98)07019-6
4. Marrett E, Radican L, Davies MJ, et al. Assessment of severity and frequency of self-reported hypoglycemia on quality of life in patients with type 2 diabetes treated with oral antihyperglycemic agents: A survey study. BMC Res Notes. 2011;4:251. doi: https://doi.org/10.1186/1756-0500-4-251
5. Дедов И.И., Шестакова М.В., Майоров А.Ю., и др. Клинические рекомендации «Алгоритмы специализированной медицинской помощи больным сахарным диабетом» (8-й вып.) // Cахарный диабет. — 2017. — Т. 20. — №1S — C. 1-112. doi: https://doi.org/10.14341/DM20171S8
6. Heller SR. Glucose Concentrations of Less Than 3.0 mmol/L (54 mg/dL) Should Be Reported in Clinical Trials: A Joint Position Statement of the American Diabetes Association and the European Association for the Study of Diabetes. Diabetes Care. 2017;40(1):155-157. doi: https://doi.org/10.2337/dc16-2215
7. Дедов И.И., Шестакова М.В., Майоров А.Ю., и др. Алгоритмы специализированной медицинской помощи больным сахарным диабетом. (10-й вып.) // Сахарный диабет. — 2021. — Т. 24. — №1S. doi: https://doi.org/10.14341/DM12802
8. American Diabetes Association. Glycemic Targets: Standards of Medical Care in Diabetes-2021. Diabetes Care. 2021;44(S1):73-84. doi: https://doi.org/10.2337/dc21-S006
9. Seaquist ER, Anderson J, Childs B, et al. Hypoglycemia and Diabetes: A Report of a Workgroup of the American Diabetes Association and The Endocrine Society. Diabetes Care. 2013;36(5):1384-1395. doi: https://doi.org/10.2337/dc12-2480
10. Östenson CG, Geelhoed-Duijvestijn P, Lahtela J, et al. Self-reported non-severe hypoglycaemic events in Europe. Diabet Med. 2014;31(1):92-101. doi: https://doi.org/10.1111/dme.12261
11. Heller SR, Choudhary P, Davies C, et al. Risk of hypoglycaemia in types 1 and 2 diabetes: effects of treatment modalities and their duration. Diabetologia. 2007;50(6):1140-1147. doi: https://doi.org/10.1007/s00125-007-0599-y
12. Edridge CL, Dunkley AJ, Bodicoat DH, et al. Prevalence and Incidence of Hypoglycaemia in 532,542 People with Type 2 Diabetes on Oral Therapies and Insulin: A Systematic Review and Meta-Analysis of Population Based Studies. PLoS One. 2015;10(6):e0126427. doi: https://doi.org/10.1371/journal.pone.0126427
13. Arrabyru PR, Qureshi IA, Skalomenos L, Rodriguez GJ. Magnetic resonance imaging changes in a 69-year old man with hypoglycemia induced brain injury: case report and literature review. Pan Afr Med J. 2019;32:131. doi: https://doi.org/10.11604/pamj.2019.32.131.17967.
14. Horsting MW, Franken MD, Meulenbelt J, et al. The etiology and outcome of non-traumatic coma in critical care: a systematic review. BMC Anesthesiol. 2015;15:65. doi: https://doi.org/10.1186/s12871-015-0041-9
15. Дедов И.И., Шестакова М.В., Викулова О.К., и др. Эпидемиологические характеристики сахарного диабета в Российской Федерации: клинико-статистический анализ по данным регистра сахарного диабета на 01.01.2021 // Сахарный диабет. — 2021. — Т. 24. — №3. — С. 204-221. doi: https://doi.org/10.14341/DM12759
16. Дедов И.И., Шестакова М.В., Викулова О.К., и др. Сахарный диабет в Российской Федерации: распространенность, заболеваемость, смертность, параметры углеводного обмена и структура сахароснижающей терапии по данным Федерального регистра сахарного диабета, статус 2017 г // Сахарный диабет. — 2018. — Т. 21. — №3. — С. 144-159. doi: https://doi.org/10.14341/DM96
17. Майоров А.Ю., Викулова О.К., Железнякова А.В., и др. Эпидемиология острых осложнений (комы) по данным Федерального регистра больных сахарным диабетом Российской Федерации (2013–2016 гг.) // Сахарный диабет. — 2018. — Т. 21. — №6. — С. 444-454. doi: https://doi.org/10.14341/DM10028
18. Lawrence RD. Insulin hypoglycaemia: changes in nervous manifestations. Lancet. 1941;2:602-604. doi: https://doi.org/10.1016/S0140-6736(00)76968-6
19. McNeilly AD, McCrimmon RJ. Impaired hypoglycaemia awareness in type 1 diabetes: lessons from the lab. Diabetologia. 2018;61(4):743-750. doi: https://doi.org/10.1007/s00125-018-4548-8
20. Watts AG, Donovan CM. Sweet talk in the brain: glucosensing, neural networks, and hypoglycemic counterregulation. Front Neuroendocrinol. 2010;31(1):32-43. doi: https://doi.org/10.1016/j.yfrne.2009.10.006
21. Sherwin RS. Bringing Light to the Dark Side of Insulin. Diabetes. 2008;57(9):2259-2268. doi: https://doi.org/10.2337/db08-9023
22. Chakera AJ, Hurst PS, Spyer G, et al. Molecular reductions in glucokinase activity increase counter-regulatory responses to hypoglycemia in mice and humans with diabetes. Mol Metab. 2018;17:17-27. doi: https://doi.org/10.1016/j.molmet.2018.08.001
23. Stanley S, Moheet A, Seaquist ER. Central Mechanisms of Glucose Sensing and Counterregulation in Defense of Hypoglycemia. Endocr Rev. 2019;40(3):768-788. doi: https://doi.org/10.1210/er.2018-00226
24. Rehni AK, Dave KR. Impact of Hypoglycemia on Brain Metabolism During Diabetes. Mol Neurobiol. 2018;55(12):9075-9088. doi: https://doi.org/10.1007/s12035-018-1044-6
25. Martín-Timón I, Del Cañizo-Gómez FJ. Mechanisms of hypoglycemia unawareness and implications in diabetic patients. World J Diabetes. 2015;6(7):912-926. doi: https://doi.org/10.4239/wjd.v6.i7.912
26. Loeb T, Ozguler A, Baer G, et al. The pathophysiology of «happy» hypoglycemia. Int J Emerg Med. 2021;14(1):23. doi: https://doi.org/10.1186/s12245-021-00348-7
27. McCrimmon RJ. Consequences of recurrent hypoglycaemia on brain function in diabetes. Diabetologia. 2021;64(5):971-977. doi: https://doi.org/10.1007/s00125-020-05369-0
28. Moghissi E, Ismail-Beigi F, Devine RC. Hypoglycemia: minimizing its impact in type 2 diabetes. Endocr Pract. 2013;19(3):526-535. doi: https://doi.org/10.4158/EP13005.RA
29. Criner KE, Kim HN, Ali H, et al. Hypoglycemia symptoms are reduced in hospitalized patients with diabetes. J Diabetes Complications. 2021;19:107976. doi: https://doi.org/10.1016/j.jdiacomp.2021.107976
30. Alkhatatbeh MJ, Abdalqader NA, Alqudah MAY. Impaired Awareness of Hypoglycaemia in Insulin-treated Type 2 Diabetes Mellitus. Curr Diabetes Rev. 2019;15(5):407-413. doi: https://doi.org/10.2174/1573399814666180806144937
31. Geddes J, Schopman JE, Zammitt NN, et al. Prevalence of impaired awareness of hypoglycaemia in adults with Type 1 diabetes. Diabet Med. 2008;25(4):501-504. doi: https://doi.org/10.1111/j.1464-5491.2008.02413.x
32. Schopman JE, Geddes J, Frier BM. Prevalence of impaired awareness of hypoglycaemia and frequency of hypoglycaemia in insulintreated Type 2 diabetes. Diabetes Res Clin Pract. 2010;87(1):64-68. doi: https://doi.org/10.1016/j.diabres.2009.10.013
33. Languren G, Montiel T, Ramírez-Lugo L, et al. Recurrent moderate hypoglycemia exacerbates oxidative damage and neuronal death leading to cognitive dysfunction after the hypoglycemic coma. J Cereb Blood Flow Metab. 2019;39(5):808-821. doi: https://doi.org/10.1177/0271678X17733640
34. Hansen TI, Olsen SE, Haferstrom ECD, et al. Cognitive deficits associated with impaired awareness of hypoglycaemia in type 1 diabetes. Diabetologia. 2017;60(6):971-979. doi: https://doi.org/10.1007/s00125-017-4233-3
35. Mattishent K, Loke YK. Meta-Analysis: Association Between Hypoglycemia and Serious Adverse Events in Older Patients Treated With Glucose-Lowering Agents. Front Endocrinol (Lausanne). 2021;12:571568. doi: https://doi.org/10.3389/fendo.2021.571568
36. Lee AK, Warren B, Lee CJ, et al. The Association of Severe Hypoglycemia With Incident Cardiovascular Events and Mortality in Adults With Type 2 Diabetes. Diabetes Care. 2018;41(1):104-111.
37. Pieber TR, Marso SP, McGuire DK, et al. DEVOTE 3: temporal relationships between severe hypoglycaemia, cardiovascular outcomes and mortality. Diabetologia. 2018;61(1):58-65. doi: https://doi.org/10.1007/s00125-017-4422-0
38. Nunes AP, Iglay K, Radican L, et al. Hypoglycaemia seriousness and weight gain as determinants of cardiovascular disease outcomes among sulfonylurea users. Diabetes, Obes Metab. 2017;19(10):1425-1435. doi: https://doi.org/10.1111/dom.13000
39. You Y, Liu Z, Chen Y, et al. The prevalence of mild cognitive impairment in type 2 diabetes mellitus patients: a systematic review and meta-analysis. Acta Diabetol. 2021;58(6):671-685. doi: https://doi.org/10.1007/s00592-020-01648-9
40. Zhang X, Jiang X, Han S, et al. Type 2 Diabetes Mellitus Is Associated with the Risk of Cognitive Impairment: a Meta-Analysis. J Mol Neurosci. 2019;68(2):251-260. doi: https://doi.org/10.1007/s12031-019-01290-3
41. Chatterjee S, Peters SA, Woodward M, et al. Type 2 Diabetes as a Risk Factor for Dementia in Women Compared With Men: A Pooled Analysis of 2.3 Million People Comprising More Than 100,000 Cases of Dementia. Diabetes Care. 2016;39(2):300-307. doi: https://doi.org/10.2337/dc15-1588
42. Diagnostic and statistical manual of mental diseases. V ed. (DSM-V). London: American Psychiatric Association; 2013.
43. Whitmer RA, Gilsanz P, Quesenberry CP, et al. Association of Type 1 Diabetes and Hypoglycemic and Hyperglycemic Events and Risk of Dementia. Neurology. 2021;97(3):e275-283. doi: https://doi.org/10.1212/WNL.0000000000012243
44. Mattishent K, Loke YK. Bi-directional interaction between hypoglycaemia and cognitive impairment in elderly patients treated with glucose-lowering agents: a systematic review and meta-analysis. Diabetes Obes Metab. 2016;18(2):135-141. doi: https://doi.org/10.1111/dom.12587
45. Танашян М.М., Антонова К.В., Лагода О.В., и др. Решенные и нерешенные вопросы цереброваскулярной патологии при сахарном диабете // Анналы клинической и экспериментальной неврологии. — 2021. — Т. 15. — №3. — С. 5-14. doi: https://doi.org/10.54101/ACEN.2021.3.1
46. Powers WJ, Rabinstein AA, Ackerson T, et al. Guidelines for the Early Management of Patients With Acute Ischemic Stroke: 2019 Update to the 2018 Guidelines for the Early Management of Acute Ischemic Stroke: A Guideline for Healthcare Professionals From the American Heart Association/ American Stroke Association. Stroke. 2019;50(12):e344-e418. doi: https://doi.org/10.1161/STR.0000000000000211
47. Saikawa R, Yamada H, Suzuki D, et al. Risk Factors of Hypoglycemic Encephalopathy and Prolonged Hypoglycemia in Patients With Severe Hypoglycemia. J Clin Med Res. 2019;11(3):213-218. doi: https://doi.org/10.14740/jocmr3728
48. Barbara G, Mégarbane B, Argaud L, et al. Functional outcome of patients with prolonged hypoglycemic encephalopathy. Ann Intensive Care. 2017;7(1):54. doi: https://doi.org/10.1186/s13613-017-0277-2
49. Adam G, Ferrier M, Patsoura S, et al. Magnetic resonance imaging of arterial stroke mimics: a pictorial review. Insights Imaging. 2018;9(5):815-831. doi: https://doi.org/10.1007/s13244-018-0637-y
50. Yong AW, Morris Z, Shuler K, et al. Acute symptomatic hypoglycaemia mimicking ischaemic stroke on imaging: a systemic review. BMC Neurol. 2012;12(1):139. doi: https://doi.org/10.1186/1471-2377-12-139
51. Katoh M, Yoshino M, Aoki T, et al. Localized reversible high signal intensities on diffusion-weighted MRI in hypoglycemia: A study of 70 cases. Asian J Neurosurg. 2016;11(4):412-415. doi: https://doi.org/10.4103/1793-5482.144196
52. Mattson MP. Excitotoxicity. In: Stress: Physiology, Biochemistry, and Pathology. Vol 12. Elsevier; 2019:125-134. doi: https://doi.org/10.1016/B978-0-12-813146-6.00011-4
53. Aslan K, Polat AV, Taskin GO, et al. Reversible Focal Splenial Lesion on Diffusion-Weighted MRI in Sulfonylurea Intoxication. J Belg Soc Radiol. 2015;99(1):34-36. doi: https://doi.org/10.5334/jbr-btr.826
54. Atay M, Aralasmak A, Sharifov R, et al. Transient cytotoxic edema caused by hypoglycemia: follow-up diffusionweighted imaging features. Emerg Radiol. 2012;19:473-475. doi: https://doi.org/10.1007/s10140-012-1043-2
55. Jeon JY, Kim SR, Kim HJ, et al. Risk factors of severe hypoglycemia requiring medical assistance and neurological sequelae in patients with diabetes: A casecontrol study. Medicine (Baltimore). 2016;95(47):e5365. doi: https://doi.org/10.1097/MD.0000000000005365
56. Smith L, Chakraborty D, Bhattacharya P, et al. Exposure to hypoglycemia and risk of stroke. Ann N Y Acad Sci. 2018;1431(1):25-34. doi: https://doi.org/10.1111/nyas.13872
57. McManus R, Ioussoufovitch S, Froats E, et al. Dynamic response of cerebral blood flow to insulin-induced hypoglycemia. Sci Rep. 2020;10:21300. doi: https://doi.org/10.1038/s41598-020-77626-6
58. Orfanos S, Toygar T, Berthold-Losleben M, et al. Investigating the impact of overnight fasting on intrinsic functional connectivity: a double-blind fMRI study. Brain Imaging and Behavior. 2018;12:1150-1159. doi: https://doi.org/10.1007/s11682-017-9777-9
59. Nicolucci A, Kovacs Burns K, Holt RIG, et al. Correlates of psychological outcomes in people with diabetes: results from the second Diabetes Attitudes, Wishes and Needs (DAWN2) study. Diabet Med. 2016;33(9):1194-1203. doi: https://doi.org/10.1111/dme.13178
60. Климонтов В.В. Нарушение распознавания гипогликемии при сахарном диабете: эпидемиология, механизмы развития, терапевтические подходы // Сахарный диабет. — 2018. — Т. 21. — №6. — С. 513-523. doi: https://doi.org/10.14341/DM9597
61. Kovacs Burns K, Nicolucci A, Holt RI. DAWN2 Study Group. Diabetes Attitudes, Wishes and Needs second study (DAWN2™): cross-national benchmarking indicators for family members living with people with diabetes. Diabet Med. 2013;30(7):778-788. doi: https://doi.org/10.1111/dme.12239
62. Lawton J, Rankin D, Elliott J, et al. Experiences, views, and support needs of family members of people with hypoglycemia unawareness: interview study. Diabetes Care. 2014;37(1):109-115. doi: https://doi.org/10.2337/dc13-1154
63. Brown JB, Reichert SM, Valliere Y, et al. Living With Hypoglycemia: An Exploration of Patients’ Emotions: Qualitative Findings From the InHypo-DM Study, Canada. Diabetes Spectr. 2019;32(3):270-276. doi: https://doi.org/10.2337/ds18-0074
64. Felizardo V, Garcia NM, Pombo N, et al. Data-based algorithms and models using diabetics real data for blood glucose and hypoglycaemia prediction — A systematic literature review. Artif Intell Med. 2021;118:102120. doi: https://doi.org/10.1016/j.artmed.2021.102120
65. Almomani HY, Pascual CR, Al-Azzam SI, Ahmadi K. Response to impaired awareness of hypoglycaemia in a study protocol. Res Social Adm Pharm. 2021;17(10):1856-1857. doi: https://doi.org/10.1016/j.sapharm.2021.03.001
66. Друк И.В., Снарская Д.И., Горощеня О.И. Потенциальная избыточность терапии сахарного диабета 2 типа в реальной клинической практике: данные регистра Омской области // Сахарный диабет. — 2021. — Т. 24. — №2. — С. 100-110. doi: https://doi.org/10.14341/DM12469
67. Genere N, Montori VM. Review: Newer second-line drugs for diabetes are not more cost-effective than sulfonylureas. Annals of Internal Medicine. 2018;168(2):JC8. doi: https://doi.org/10.7326/ACPJC-2018-168-2-008
68. Gangji AS, Cukierman T, Gerstein HC, et al. A systematic review and meta-analysis of hypoglycemia and cardiovascular events: a comparison of glyburide with other secretagogues and with insulin. Diabetes Care. 2007;30(2):389-394. doi: https://doi.org/10.2337/dc06-1789
69. Nicolucci A, Kovacs Burns K, Holt RIG, et al. Intensive Blood Glucose Control and Vascular Outcomes in Patients with Type 2 Diabetes. N Engl J Med. 2008;358(24):2560-2572. doi: https://doi.org/10.1056/NEJMoa0802987
70. Zoungas S, Chalmers J, Neal B, et al. Follow-up of Blood-Pressure Lowering and Glucose Control in Type 2 Diabetes. N Engl J Med. 2014;371(15):1392-1406. doi: https://doi.org/10.1056/NEJMoa1407963
71. Wong MG, Perkovic V, Chalmers J, et al. Long-term Benefits of Intensive Glucose Control for Preventing End-Stage Kidney Disease: ADVANCE-ON. Diabetes Care. 2016;39(5):694-700. doi: https://doi.org/10.2337/dc15-2322
72. Action to Control Cardiovascular Risk in Diabetes Study Group. Effects of intensive glucose lowering in type 2 diabetes. N Engl J Med. 2008;12;358(24):2545-2559. doi: https://doi.org/10.1056/NEJMoa0802743
73. Riddle MC. Effects of intensive glucose lowering in the management of patients with type 2 diabetes mellitus in the Action to Control Cardiovascular Risk in Diabetes (ACCORD) trial. Circulation. 2010;122(8):844-846. doi: https://doi.org/10.1161/CIRCULATIONAHA.110.960138
74. Duckworth W, Abraira C, Moritz T, et al.; VADT Investigators. Glucose control and vascular complications in veterans with type 2 diabetes. N Engl J Med. 2009;360(2):129-139. doi: https://doi.org/10.1056/NEJMoa0808431
75. Петунина Н.А., Кузина И.А., Недосугова Л.В. Современные данные об эффективности гликлазида и молекулярные механизмы действия препарата // Сахарный диабет. — 2020. — Т. 23. — №4. — С. 357-367. doi: https://doi.org/10.14341/DM12487
76. Nusca A, Tuccinardi D, Pieralice S, et al. Platelet Effects of Antidiabetic Therapies: New Perspectives in the Management of Patients with Diabetes and Cardiovascular Disease. Front Pharmacol. 2021;12:670155. doi: https://doi.org/10.3389/fphar.2021.670155
77. Zaccardi F, Jacquot E, Cortese V, et al. Comparative effectiveness of gliclazide modified release versus sitagliptin as second-line treatment after metformin monotherapy in patients with uncontrolled type 2 diabetes. Diabetes, Obes Metab. 2020;22(12):2417-2426. doi: https://doi.org/10.1111/dom.14169
Об авторах
К. В. АнтоноваРоссия
Антонова Ксения Валентиновна, доктор медицинских наук, ведущий научный сотрудник
125367, Москва, Волоколамское шоссе, д. 80
Researcher ID: J-9971-2016;
Scopus Author ID: 7004672742;
eLibrary SPIN: 7737-4712
О. В. Лагода
Россия
Лагода Ольга Викторовна, кандидат медицинских наук, старший научный сотрудник
Москва
Researcher ID: C-5395-2012;
Scopus Author ID: 6507370001;
eLibrary SPIN: 1789-4735
М. М. Танашян
Танашян Маринэ Мовсесовна, доктор медицинских наук, профессор, член-корреспондент РАН
Москва
Researcher ID: F-8483-2014;
Scopus Author ID: 6506228066;
eLibrary SPIN: 7191-1163
Дополнительные файлы
|
|
1. Рисунок 1. Потенциальные механизмы церебральной адаптации к повторной гипогликемии. Адаптировано по Rory J. McCrimmon, 2021. Примечания: βAdR — β-адренорецептор; EphA5 — рецептор эфрина A5; TRP — каналы транзиторного рецепторного потенциала; ГАМК — гамма-аминомасляная кислота; KATФ — АТФ-зависимые калиевые каналы | |
| Тема | ||
| Тип | Исследовательские инструменты | |
Посмотреть
(498KB)
|
Метаданные ▾ | |
|
|
2. Рисунок 2. Данные МРТ. Тяжелая гипогликемия у 42-летней женщины. Визуализируется гиперинтенсивность в базальных ганглиях и валике мозолистого тела (стрелки a, c) без признаков острого ишемического повреждения в режиме ДВИ (b) и значимых изменений интракраниальных артерий (МР-ангиография) (d). Приводится по Adam G и соавт. [49]. | |
| Тема | ||
| Тип | Исследовательские инструменты | |
Посмотреть
(409KB)
|
Метаданные ▾ | |
Рецензия
Для цитирования:
Антонова К.В., Лагода О.В., Танашян М.М. Гипогликемические состояния у больных сахарным диабетом 2 типа – церебральные, когнитивные, психосоциальные и клинические аспекты. Сахарный диабет. 2022;25(3):288-298. https://doi.org/10.14341/DM12840
For citation:
Antonova K.V., Lagoda O.V., Tanashyan M.M. Hypoglycemia in type 2 diabetes mellitus patients — cerebral, cognitive, psychosocial and clinical aspects. Diabetes mellitus. 2022;25(3):288-298. (In Russ.) https://doi.org/10.14341/DM12840
Контент доступен под лицензией Creative Commons Attribution-NonCommercial-NoDerivatives 4.0 International License (CC BY-NC-ND 4.0).









































