Перейти к:
Концентрации адипокинов в сыворотке крови у пациентов с сахарным диабетом 2 типа: взаимосвязи с распределением, гипертрофией и васкуляризацией подкожной жировой ткани
https://doi.org/10.14341/DM10129
Аннотация
ОБОСНОВАНИЕ. Дисфункция жировой ткани (ЖТ) играет важную роль в развитии метаболических нарушений при ожирении и сахарном диабете 2 типа (СД2). Роль распределения, гипертрофии и васкуляризации (ПЖТ) в нарушении секреции адипокинов нуждается в уточнении.
ЦЕЛЬ. Определить взаимосвязи между концентрациями адипокинов в сыворотке крови, массой и распределением ЖТ, диаметром адипоцитов и васкуляризацией подкожной ЖТ (ПЖТ) у больных СД2.
МЕТОДЫ. Обследовано 125 пациентов с СД2, включая 82 с ожирением. Контролем являлись 30 лиц без СД и ожирения, сопоставимых по полу и возрасту. Концентрации лептина, резистина, висфатина, адипсина и адипонектина в сыворотке крови натощак определяли с помощью мультиплексного анализа. Массу и распределение ЖТ оценивали с помощью двухэнергетической рентгеновской абсорбциометрии. Образцы ПЖТ были забраны из околопупочной области с помощью ножевой биопсии у 25 пациентов и у 15 лиц, погибших от внешних причин. Кровеносные и лимфатические сосуды в ПЖТ типировали с помощью иммуногистохимии, используя антитела к CD34 и к подопланину соответственно. Оценивали объемную, численную плотность и ультраструктуру кровеносных и лимфатических сосудов, а также диаметр подкожных адипоцитов.
РЕЗУЛЬТАТЫ. Пациенты с диабетом, по сравнению с контролем, имели значительно более высокие уровни лептина, резистина, адипсина и висфатина (все р≤0,0003). Уровень адипонектина не показал различий. Концентрации лептина, резистина, висфатина, адипсина и адипонектина прямо коррелировали с массой ЖТ на бедрах. Уровни лептина и адипсина, кроме того, положительно коррелировали с массой ЖТ на туловище и в центральной области живота. Концентрация лептина, но не других адипокинов, была ассоциирована с гипертрофией подкожных адипоцитов. В ПЖТ больных СД наблюдались уменьшение объемной плотности микрососудов (р=0,01) и увеличение объемной и численной плотности лимфатических сосудов (p=0,02 в обоих случаях). В лимфатических капиллярах выявлено набухание цитоплазмы, митохондрий, цистерн гранулярной эндоплазматической сети и сниженное содержание микропиноцитарных везикул. Резистин и висфатин показали обратные ассоциации с объемной плотностью сосудов.
ЗАКЛЮЧЕНИЕ. Эндокринная дисфункция ЖТ у больных СД2, проявляющаяся увеличением концентрации лептина, резистина, висфатина и адипсина в сыворотке крови, ассоциирована с массой и распределением ЖТ, гипертрофией подкожных адипоцитов и с изменениями васкуляризации ПЖТ.
Ключевые слова
Для цитирования:
Климонтов В.В., Булумбаева Д.М., Бгатова Н.П., Таскаева Ю.С., Орлов Н.Б., Фазуллина О.Н., Солуянов М.Ю., Савченко С.В., Коненков В.И. Концентрации адипокинов в сыворотке крови у пациентов с сахарным диабетом 2 типа: взаимосвязи с распределением, гипертрофией и васкуляризацией подкожной жировой ткани. Сахарный диабет. 2019;22(4):336-347. https://doi.org/10.14341/DM10129
For citation:
Klimontov V.V., Bulumbaeva D.M., Bgatova N.P., Taskaeva I.S., Orlov N.B., Fazullina O.N., Soluyanov M.Y., Savchenko S.V., Konenkov V.I. Serum adipokine concentrations in patients with type 2 diabetes: the relationships with distribution, hypertrophy and vascularization of subcutaneous adipose tissue. Diabetes mellitus. 2019;22(4):336-347. (In Russ.) https://doi.org/10.14341/DM10129
Жировая ткань (ЖТ) играет важную роль в регуляции энергетического гомеостаза. Адипокины, секретируемые ЖТ, регулируют баланс энергии, участвуя в контроле аппетита и метаболической активности других органов, таких как скелетные мышцы и печень [1, 2]. Гормональной дисфункции ЖТ отводят важную роль в развитии метаболических нарушений при ожирении и сахарном диабете 2 типа (СД2). Изменения секреции адипокинов при этом связывают с формированием резистентности к инсулину, хроническим воспалением, метаболическими расстройствами [3, 4].
Механизмы перераспределения ЖТ при ожирении и СД2 остаются предметом интенсивных исследований. Все больше данных свидетельствует о том, что перераспределение ЖТ по разным жировым депо связано с изменением ее регуляторных функций [1, 5]. Процесс адипогенеза связан с изменением экспрессии большого количества генов, включая гены, ассоциированные с распределением ЖТ и гипертрофией адипоцитов [6]. Установлено, что у лиц с ожирением, СД2 и метаболическим синдромом распределение ЖТ ассоциировано с концентрацией в крови гормонов ЖТ и адипоцитокинов [7–9]. Важным элементом ремоделирования ЖТ является формирование гипертрофии адипоцитов. Изменение количества и размера адипоцитов сопровождается изменением секреции адипокинов и метаболической функции ЖТ [1].
Интересным и пока малоизученным аспектом ремоделирования ЖТ является ангиогенез. Известно, что СД характеризуется сложными, подчас разнонаправленными изменениями ангиогенеза в различных сосудистых бассейнах [10]. Экспансия ЖТ при ожирении требует компенсаторного роста (новообразования) сосудов. Предполагают, что неадекватный ангиогенез может способствовать развитию дисфункции ЖТ и инсулинорезистентности [11]. При ожирении объемная плотность кровеносных сосудов в ЖТ снижается. Выдвинута гипотеза, что возникающая при этом гипоксия ЖТ является одной из причин нарушения секреторной функции адипоцитов [12].
Пептидные продукты секреции ЖТ (адипокины) могут поступать в кровоток не только через кровеносные капилляры, но и через корни лимфатической системы. Показано, что концентрации некоторых адипокинов (в частности, лептина) в оттекающей от подкожной жировой клетчатки (ПЖК) лимфы значительно выше, чем таковые в плазме крови [13]. Изменения лимфатических коллекторов ЖТ и их связь с дисфункцией адипоцитов у больных СД не изучены.
Таким образом, учет особенностей распределения, морфологии и васкуляризации ЖТ может иметь важное значение для понимания закономерностей развития дисфункции ЖТ при СД2. В предыдущих исследованиях основное внимание уделялось изменениям гормональной функции висцеральной ЖТ при ожирении и СД2, роль изменений подкожной ЖТ (ПЖТ) изучена в меньшей степени.
ЦЕЛЬ
Определить взаимосвязи между концентрациями адипокинов в сыворотке крови, массой и распределением ЖТ, диаметром адипоцитов, плотностью и морфологическими особенностями кровеносных и лимфатических сосудов ПЖТ у больных СД2.
МЕТОДЫ
Дизайн исследования
Одномоментное сравнительное неинтервенционное одноцентровое исследование.
Дизайн исследования схематично представлен на рис. 1.
Рис. 1. Дизайн исследования.
Критерии соответствия
Основную группу обследованных составили больные СД2, мужчины и женщины в возрасте 40–70 лет, имеющие продолжительность диабета более одного года. В качестве критериев невключения выступали: вторичные формы ожирения, бариатрические операции на желудочно-кишечном тракте в анамнезе, застойная сердечная недостаточность (3–4 функциональный класс по NYHA), хроническая почечная недостаточность 4–5 стадии; лечение аналогами глюкагоноподобного пептида-1, аноректиками, тиазолидиндионами в течение последнего года. Контрольную группу составили лица без СД и ожирения, при отборе которых были применены те же критерии невключения, что и при формировании основной группы.
Условия проведения
Набор пациентов осуществлялся в клинике Научно-исследовательского института клинической и экспериментальной лимфологии – филиала ФГБНУ «Федеральный исследовательский центр Институт цитологии и генетики Сибирского отделения Российской академии наук» (НИИКЭЛ – филиал ИЦиГ СО РАН).
Продолжительность исследования
Пациенты включались в исследование в 2014-2017 гг.
Описание медицинского вмешательства
Участники исследования: больные СД2 (125 человек); лица без СД и ожирения (30 человек) – контрольная группа для клинических и биохимических методов исследования.
Всем больным СД, участвовавшим в исследовании, выполнено общеклиническое обследование в условиях эндокринологического отделения клиники в соответствии с «Алгоритмами оказания специализированной помощи больным сахарным диабетом» [14]. Протокол обследования у лиц контрольной группы включал сбор анамнеза, анализ антропометрических данных, общий анализ крови, мочи, биохимический анализ крови, определение уровня гликированного гемоглобина (HbA1c). У всех больных СД и лиц контрольной группы определены концентрации адипокинов в сыворотке крови натощак, проведено исследование композитного (композиционного) состава тела (КСТ) и распределения ЖТ по областям.
Из 125 больных СД, включенных в исследование, была сформирована подгруппа из 25 человек для морфологического исследования ПЖК. Подгруппа сформирована путем последовательного отбора, исходя из соотношения 1:5. Пациентам, вошедшим в эту подгруппу, выполнена ножевая биопсия ПЖК в околопупочной области. Учитывая инвазивность исследования, биопсию ПЖК у лиц без СД не проводили. Контролем для морфологических исследований являлись образцы ПЖК, забранные в бюро судебно-медицинской экспертизы у лиц, погибших от внешних причин. Протокол морфологического исследования ПЖК включал морфометрический анализ подкожных адипоцитов, иммуногистохимическое типирование, определение объемной плотности и ультраструктурных особенностей кровеносных и лимфатических сосудов. У больных СД, которым выполнена биопсия, проводился анализ сопряженности уровня адипокинов в сыворотке крови с массой, распределением ЖТ и морфологическими особенностями ПЖТ.
Основной исход исследования
В исследовании оценивались следующие параметры: концентрации лептина, резистина, висфатина, адипсина и адипонектина в сыворотке крови натощак; общая масса ЖТ, масса ЖТ на туловище, в центральной области живота и на бедрах; средний диаметр адипоцитов ПЖТ; объемная и численная плотность, диаметр кровеносных и лимфатических сосудов в подкожной ЖТ; степень сопряженности между указанными признаками.
Анализ в подгруппах
Параметры, оценивавшиеся в исследовании, сравнивались у больных СД2 и у лиц контрольной группы. Среди пациентов с СД2 проводился анализ в подгруппах с ожирением и без ожирения.
Методы регистрации исходов
Определение концентраций адипокинов в сыворотке крови. Образцы крови забирали из локтевой вены после 8-часового голодания. Сыворотку замораживали после разделения и хранили при –80 °C до момента анализа. Концентрации лептина, резистина, висфатина, адипсина и адипонектина в сыворотке определяли с помощью мультиплексного анализа Bio-PlexPro™ с использованием Bio-Plex Protein Assay System (Bio-Rad, США) и коммерчески доступных наборов (№171-07001M и №171-A7002M, Bio-Rad, США). Метод позволяет проводить одновременное исследование концентраций молекул в одном образце биологического материала. Исследование проводилось в соответствии с инструкциями производителя наборов.
Исследование КСТ проводилось с помощью двухэнергетической рентгеновской абсорбциометрии на аппарате LunarProdigy и программы Body Composition (GE, США). Определяли общую массу ЖТ, массу туловищного жира, соотношение массы ЖТ в центральной области живота и на бедрах. Согласно установкам программы Body Composition, при измерении жира в центральной области живота (англ. Аndroid fat) исследовали область, ограниченную снизу срезом таза, сверху – линией, проходящей выше сечения таза на 20% расстояния между срезами таза и шеи, с боков – срезами рук. При измерении массы ЖТ на бедрах (англ. gynoid fat) оценивали область, ограниченную сверху линией, проходящей ниже среза таза на 1,5 высоты вышеописанной области android fat, с боков – срезами ног. Высота области gynoid fat в норме примерно в 2 раза больше области жироотложения в центральной области живота (рис. 2).
Рис. 2. Схематическое изображение оценки распределения жировой ткани по областям в программе Body Composition. 1 – область android fat; 2 – область gynoid fat.
Биопсия ПЖК. Образцы ПЖК у больных СД забирали из околопупочной области с помощью ножевой биопсии в положении лежа на спине, после обработки операционного поля и местной анестезии (лидокаин 2%). Стандартно производили разрез кожи скальпелем до 0,5 см на 2 см латеральнее пупочного кольца. При наличии в этих областях липогипертрофий, индуцированных инсулином, забор образца проводили на расстоянии на менее 1 см от края участка липогипертрофии. Забирали образцы ткани объемом 2–3 см3, что соответствует приблизительно 3–5 г ЖТ. После выполнения биопсии накладывались внутридермальные швы на кожу, асептическая повязка. В качестве контроля использовали образцы ПЖК лиц, забранные в бюро судебно-медицинской экспертизы у лиц, погибших от внешних причин (автодорожная травма). При судебно-медицинском обследовании данных лиц не обнаружено признаков хронических заболеваний и отравлений. Забор образцов проводился по той же методике, что и у больных СД, в течение 2 ч после наступления смерти.
Морфологические исследования ЖТ. Образцы ПЖК фиксировали в 4% растворе формальдегида, обрабатывали по стандартной гистологической методике и заливали в парафин. Определение среднего диаметра адипоцита в образцах ПЖК проводили с помощью открытой платформы Image J (https://imagej.net) с использованием алгоритма, представленного в работе S.D. Parlee и соавт. [15].
Для иммуногистохимического окрашивания сосудов срезы ЖТ депарафинизировали в серии спиртов понижающей концентрации, регидратировали и подвергали процедуре раскрытия антигена в микроволновой печи в растворе цитратного буфера (рН 6.0). Затем, после блокировки неспецифического связывания, срезы гибридизировали с первичными кроличьими моноклональными антителами к CD34 [EP373Y] (ab81289, Abcam, Великобритания) или мышиными моноклональными антителами к подопланину [D2-40] (MON-RTU1092, Monosan, Нидерланды) в течение ночи при +4 °С и далее с соответствующими вторичными поликлональными антителами козла к IgG кролика (ab205718, Abcam, Великобритания) или к IgG мыши (ab6789, Abcam, Великобритания), конъюгированными с пероксидазой хрена в течение 1 ч при +25 °С. После гибридизации срезы отмывали, контрастировали раствором гематоксилина, дегидратировали и заключали в монтирующую среду. Изображения получали на световом микроскопе LEICA DME (Leica Microsystems, Германия).
Кровеносные сосуды идентифицировали как структуры с положительным окрашиванием на CD34. Лимфатические сосуды были идентифицированы как структуры с положительным интенсивным линейным иммуногистохимическим окрашиванием на подопланин (D2-40). Слайды из того же блока были окрашены гематоксилином/эозином для оценки количества кровеносных микрососудов. Любая коричневая окрашенная эндотелиальная клетка или клеточный кластер считался одним сосудом. Численную и объемную плотность кровеносных и лимфатических сосудов измеряли на 0,75 мм2 площади образца с помощью программного обеспечения Image J (https://imagej.net).
Для оценки ультраструктурных изменений в лимфатических и кровеносных сосудах готовили полутонкие срезы толщиной 1 мкм, окрашивали толуидиновым синим, изучали под световым микроскопом и выбирали необходимые участки для исследования в электронном микроскопе. Из отобранного материала получали ультратонкие срезы толщиной 35–45 нм на ультратоме LKB-8800, контрастировали насыщенным водным раствором уранилацетата, цитрата свинца и изучали в электронном микроскопе JEM 1010 (Япония).
Этическая экспертиза
Протокол исследования одобрен Этическим комитетом НИИКЭЛ – филиала ИЦиГ СО РАН (протокол № 110 от 20.05.2014). Все пациенты давали письменное информированное согласие на участие в исследовании.
Статистический анализ
Принципы расчета размера выборки: размер выборки предварительно не рассчитывался.
Методы статистического анализа данных. Статистическая обработка проведена с использованием программы STATISTICA 10 (StatSoft, Inc, 2011, CША). Полученные данные проверяли на нормальность распределения с помощью критерия Колмогорова–Смирнова. Учитывая, что распределение большинства изученных признаков было отличным от нормального, применяли методы непараметрической статистики. Межгрупповые различия оценивали с помощью критерия Манна–Уитни. Взаимосвязь между признаками оценивали с помощью корреляционного анализа Спирмена. Критический уровень значимости при проверке статистических гипотез принимали равным 0,05. Данные представлены как медианы, 25–75 процентили.
РЕЗУЛЬТАТЫ
Объекты (участники) исследования
В исследование включено 125 пациентов СД2, 48 мужчин и 77 женщин, от 43 до 70 лет (медиана 62 года). Длительность СД варьировала от 1 года до 36 лет (медиана – 13 лет). Уровень HbA1c находился в пределах от 5,5% до 13% (медиана – 8,2%). Все пациенты получали сахароснижающие препараты, большая часть – инсулинотерапию (n=103) в комбинации с пероральными сахароснижающими препаратами, включая метформин (n=81), сульфонилмочевину (n=25) или ингибиторы дипептидилпептидазы-4 (n=7). Комбинацию препаратов метформина и сульфонилмочевины получали 14 пациентов, монотерапию метформином – 7. Осложнения СД и коморбидные состояния включали артериальную гипертензию (n=121), хроническую болезнь почек (ХБП) 1–3 стадии (n=103), диабетическую ретинопатию (n=100), ишемическую болезнь сердца (n=51), заболевания артерий нижних конечностей (n=19), неалкогольную жировую болезнь печени (n=103), нейропатию (n=123).
Среди обследованных пациентов 82 человека имели ожирение, 22 – нормальный индекс массы тела (ИМТ), 21 – избыточную массу тела (ИМТ 25,0–29,9 кг/м2). При статистическом анализе пациенты с нормальной и избыточной массой тела рассматривались как одна подгруппа. Клинические характеристики обследованных больных с наличием и отсутствием ожирения представлены в табл. 1. Больные с ожирением, в сравнении с пациентами с нормальной или избыточной массой тела, имели более высокий уровень HbA1c и более низкий уровень холестерина липопротеинов высокой плотности (ЛПВП). Возраст, длительность СД, другие метаболические показатели не различались между группами.
Таблица 1. Клиническая характеристика больных сахарным диабетом 2 типа с наличием и отсутствием ожирения
| Признак | Пациенты с ИМТ <30 кг/м2 (n=43) | Пациенты с ИМТ ≥30 кг/м2 (n=82) | Р | 
| Возраст, лет | 61,5 (56;65) | 62 (58;64) | 0,95 | 
| ИМТ, кг/м2 | 27,5 (26;28,9) | 33,5 (31,6;36,9) | <0,001 | 
| Длительность СД, лет | 11 (8;17) | 13 (9;17) | 0,49 | 
| Индекс ОТ/ОБ | 0,9 (0,88;1,05) | 1 (0,95;1,09) | 0,1 | 
| HbA1c, % | 7,7 (6,6;9,4) | 8,4 (7,4;9,7) | 0,04 | 
| Общий холестерин, ммоль/л | 5,2 (4,5;6,1) | 5,1 (4,1;6,0) | 0,34 | 
| Холестерин ЛПНП, ммоль/ | 3,1 (2,5;3,7) | 2,9 (2,3;3,8) | 0,9 | 
| Холестерин ЛПВП, ммоль/л | 1,3 (1,0;1,6) | 1,1 (1,0;1,4) | 0,01 | 
| Триглицериды, ммоль/л | 1,6 (1;2,7) | 1,8 (1,3;2,6) | 0,14 | 
| Мочевая кислота, ммоль/л | 305 (218;259) | 312 (252;353) | 0,22 | 
| Расчетная СКФ, мл/мин/1,73 м2 | 73 (59;85) | 71 (58;82) | 0,56 | 
| АКМ, мг/ммоль | 1,72 (0,49;3,7) | 0,9 (0,45;1,8) | 0,58 | 
Примечания: данные представлены как медианы (25-е; 75-е процентили). ИМТ – индекс массы тела; ОБ – окружность бедер; ОТ – окружность талии; ЛПНП – липопротеины низкой плотности; ЛПВП – липопротеины высокой плотности; СКФ – скорость клубочковой фильтрации (согласно формуле CKD-EPI, 2009); АКМ – альбумин/креатинин мочи.
Контрольную группу составили 30 лиц без СД и ожирения, 5 мужчин и 25 женщин, в возрасте от 41 года до 70 лет.
Основные результаты исследования
Концентрации адипокинов в сыворотке крови и их взаимосвязи с распределением ЖТ у больных СД2
У всех больных, включенных в исследование, определены концентрации гормонов ЖТ в сыворотке крови. Пациенты с СД, по сравнению с контролем, имели значительно более высокие уровни лептина (медиана 21,4 и 12,3 пг/мл соответственно, р=0,01), резистина (8,1 и 2,8 пг/мл, р<0,0001), адипсина (1848 и 1203 пг/мл, р<0,0001), висфатина (3,6 и 1,9 пг/мл, р=0,0002). Концентрации адипонектина не показали достоверных различий: 8711 и 8647 пг/мл, р=0,96. Уровни лептина, резистина, адипсина и висфатина были достоверно выше у пациентов с СД и ожирением по сравнению с больными с ИМТ <30 кг/м2. Концентрации адипонектина не различались между группами (табл. 2).
Таблица 2. Концентрации гормонов жировой ткани в сыворотке крови (пг/мл) у больных сахарным диабетом 2 типа с наличием и отсутствием ожирения
| Параметр | Контрольная группа (n=30) | Пациенты с СД2 | P | |
| ИМТ <30 кг/м2 (n=43) | ИМТ≥30 кг/м2 (n=82) | |||
| Лептин | 8,3 (3,0;18,8) | 8,1 (5,0;21,8) Pк=0,68 | 18,4 (10,6;35,5) Pк=0,0001 | <0,0001 | 
| Резистин | 2,8 (2,3;3,1) | 3,5 (2,9;7,6) Pк<0,0001 | 9,1 (3,6;11,5) Pк<0,0001 | 0,0002 | 
| Висфатин | 1,8 (1,3;2,2) | 2,1 (1,3;4,2) Pк<0,0001 | 3,7 (1,8;4,6) Pк<0,0001 | 0,01 | 
| Адипсин | 1121 (1003;1302) | 1570 (1315;2061) Pк=0,0002 | 1842 (1270;2459) Pк<0,0001 | 0,1 | 
| Адипонектин | 7876 (5380;11619) | 8031 (4631;11550) Pк=0,69 | 6440 (5108;11198) Pк=0,27 | 0,58 | 
Примечания: данные представлены как медианы (25-е; 75-е процентили). P – достоверность различий между подгруппами пациентов с СД; Pк – значимость различий с контрольной группой; ИМТ – индекс массы тела; СД2 – сахарный диабет 2 типа.
Все исследованные регуляторы, за исключением адипонектина, продемонстрировали положительные связи с ИМТ (лептин: r=0,43, р<0,0001; резистин: r=0,43, р<0,0001; адипсин: r=0,29, р=0,001; висфатин: r=0,31, р=0,0004), окружностью талии (ОТ; лептин: r=0,34, р=0,001; резистин: r=0,33, р=0,001; адипсин: r=0,35, р=0,0007; висфатин: r=0,30, р=0,004) и окружностью бедер (ОБ; лептин: r=0,50, р<0,0001; резистин: r=0,26, р=0,01; адипсин: r=0,27, р=0,01; висфатин: r=0,26, р=0,01). Значимые корреляции между концентрациями адипокинов и соотношением ОТ/ОБ наблюдались только у мужчин (лептин: r=0,53, р=0,0001; резистин: r=0,41, р=0,004; адипсин: r=0,40, р=0,005; висфатин: r=0,39, р=0,007). Нами не выявлено взаимосвязей между уровнем данных адипокинов и параметрами углеводного и липидного обмена. Уровень адипонектина отрицательно коррелировал с концентрацией триглицеридов (r=-0,37, p=0,0002) и положительно – с уровнем холестерина ЛПВП (r=0,33, p<0,001). Наблюдалась слабая положительная корреляция между уровнем висфатина и концентрацией мочевой кислоты (r=0,26, p=0,003).
Общая масса ЖТ, масса ЖТ на туловище, масса ЖТ в центральной области живота и на бедрах ожидаемо оказались больше у пациентов с ожирением по сравнению с больными с нормальной и избыточной массой тела (табл. 3). Уровни лептина, резистина и адипсина показали прямые корреляции с общей массой ЖТ, при этом уровни лептина и адипсина были положительно взаимосвязаны с массой ЖТ на туловище и в центральной области живота. Концентрация висфатина прямо коррелировала с массовой долей ЖТ в организме. Все исследованные адипокины демонстрировали связь с массой ЖТ на бедрах (табл. 4).
Таблица 3. Параметры композиционного состава тела у больных сахарным диабетом 2 типа с наличием и отсутствием ожирения и у лиц контрольной группы
| Параметр | Контрольная группа (n=30) | Пациенты с СД2 | P | |
| ИМТ <30 кг/м2 (n=43) | ИМТ ≥30 кг/м2 (n=82) | |||
| Масса ЖТ, кг | 23,8 (20,5;27,6) | 26 (21,2;31,3) Pк=0,1 | 35,9 (32;40,3) Pк<0,0001 | <0,0001 | 
| Масса ЖТ, % | 37,0 (34,0;40,0) | 35,9 (32;40,3) Pк=0,8 | 43,2 (40;46,4) Pк<0,0001 | 0,0002 | 
| Масса ЖТ на туловище, кг | 14,3 (11,7;17,5) | 16,2 (14;19,7) Pк=0,08 | 21,4 (19,4;23,4) Pк<0,0001 | 0,18 | 
| Масса ЖТ в центральной области живота (android fat), кг | 2,6 (2,0;3,0) | 2,8 (2,6;3,3) Pк=0,07 | 4,1 (3,7;4,5) Pк<0,0001 | <0,0001 | 
| Масса ЖТ на бедрах (gynoid fat), кг | 4,1 (3,3;4,3) | 3,7 (2,5;4,8) Pк=0,8 | 5,0 (4,3;6,6) Pк<0,0001 | 0,001 | 
Примечания: данные представлены как медианы (25-е; 75-е процентили). P – достоверность различий между подгруппами пациентов с СД; Pк – достоверность различий с контрольной группой; ЖТ – жировая ткань; СД2 – сахарный диабет 2 типа.
Таблица 4. Корреляции между концентрациями адипокинов в сыворотке крови и параметрами композиционного состава тела у пациентов с сахарным диабетом 2 типа
| Параметр | Лептин | Резистин | Висфатин | Адипсин | Адипонектин | 
| Масса ЖТ, кг | 0,55* | 0,24* | 0,14 | 0,4* | 0,16 | 
| Масса ЖТ, % | 0,57* | 0,43* | 0,35* | 0,31* | 0,22 | 
| Масса ЖТ на туловище, кг | 0,49* | 0,19 | 0,12 | 0,43* | 0,13 | 
| Масса ЖТ в центральной области живота (android fat), кг | 0,44* | 0,08 | 0,01 | 0,39* | 0,04 | 
| Масса ЖТ на бедрах (gynoid fat), кг | 0,62* | 0,42* | 0,27* | 0,43* | 0,35* | 
Примечания: представлены коэффициенты ранговой корреляции Спирмена, *р<0,05. ЖТ – жировая ткань.
Диаметр адипоцитов, плотность и морфологические особенности кровеносных и лимфатических сосудов в ПЖТ у больных СД2
Морфологические исследования ПЖТ выполнены у 25 пациентов, имеющих СД2: 7 мужчин и 18 женщин. В данной группе 12 больных имели ожирение, 3 – нормальную массу тела, 10 – избыточную массу тела. Контролем служили образцы ПЖК 15 лиц, 5 мужчин и 10 женщин в возрасте от 43 лет до 71 года, погибших от внешних причин и не имевших ожирения и СД2.
У пациентов с СД2 средний диаметр подкожных адипоцитов варьировал от 139 до 432 мкм, в контроле – от 17 до 241 мкм. Медиана показателя у пациентов с СД была в 3,8 раза больше, чем у лиц без ожирения и СД (281 и 73 мкм соответственно, р=0,0005).
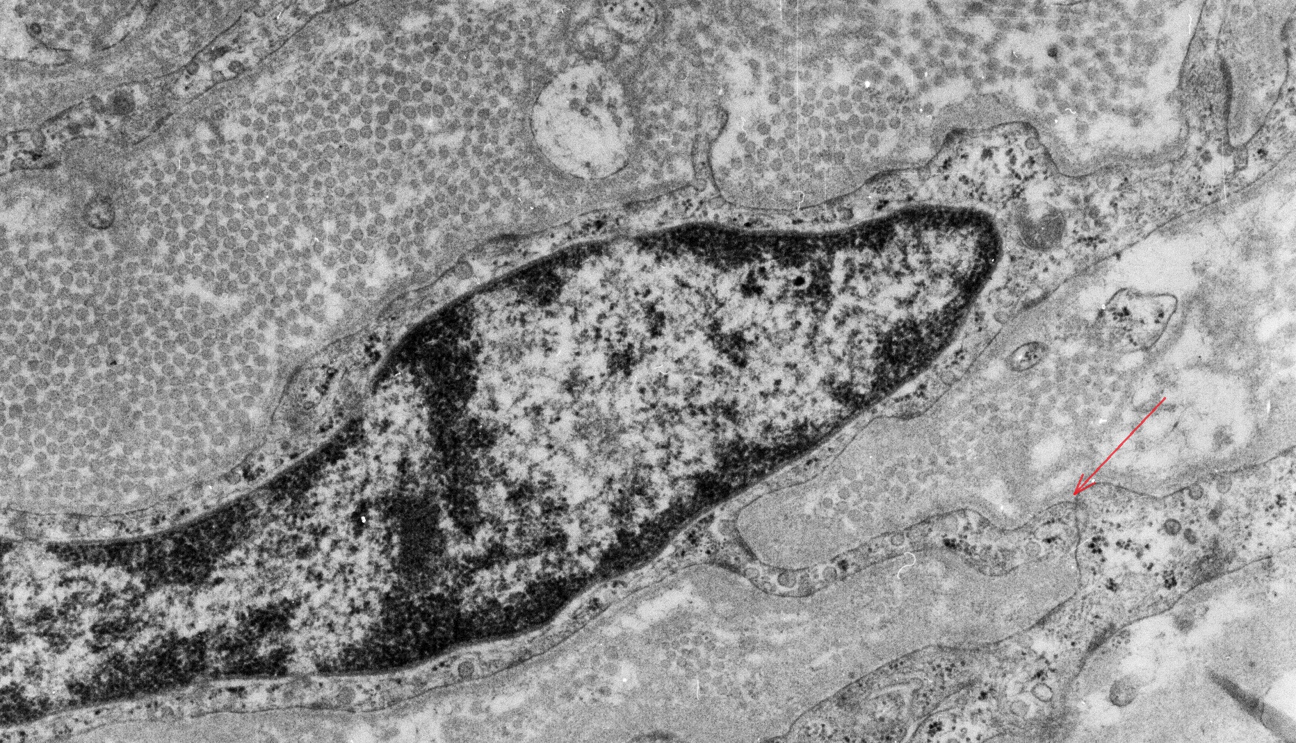
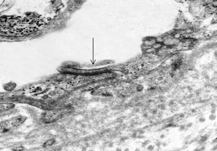
Кровеносные и лимфатические сосуды в ПЖК выявлялись во внутридольковой рыхлой волокнистой соединительной ткани, при этом лимфатические сосуды, как правило, сопровождали кровеносные (рис. 3А, 3Б). Отмечали выросты и выпячивания люминальной и базальной поверхностей эндотелиоцитов лимфатических капилляров. При электронно-микроскопическом исследовании в лимфатических капиллярах больных СД выявляли набухание цитоплазмы, митохондрий, цистерн гранулярной эндоплазматической сети и уменьшение содержания микропиноцитозных везикул. Наблюдали контакты между эндотелиальными клетками типа наложения и интердигитации, но преобладания каких-либо вида контактов не выявили (рис. 4Б). В цитоплазме эндотелиоцитов кровеносных капилляров также наблюдали набухание цитоплазмы, объемная плотность органелл была сниженной (рис. 4Г). Особенностью эндотелиоцитов кровеносных сосудов больных СД являлось преобладание люминальных микропиноцитозных везикул над базальными и снижение доли цитоплазматических микропиноцитозных везикул.
Рис. 3. Визуализация и плотность лимфатических сосудов в подкожной жировой ткани у пациентов с сахарным диабетом 2 типа и в контроле. А – лимфатический сосуд в норме; Б – лимфатические сосуды у пациента с сахарным диабетом 2 типа. Иммуногистохимическое окрашивание на маркер эндотелиоцитов лимфатических сосудов подопланин. Ув. х400; В – объемная плотность лимфатических сосудов, LDVv, %; Г – численная плотность лимфатических сосудов, LVDq, n; * – p<0,02 в сравнении с контрольной группой.
Рис. 4. Ультраструктурная организация эндотелиоцитов лимфатических и кровеносных сосудов жировой ткани пациентов с сахарным диабетом 2 типа. А – эндотелий лимфатического капилляра в норме; Б – эндотелий лимфатического капилляра пациента с сахарным диабетом 2 типа и ожирением. Выросты и выпячивания люминальной и базальной поверхностей эндотелиоцита лимфатического капилляра. Контакт с соседней эндотелиальной клеткой (стрелки); В – эндотелий кровеносного капилляра в норме; Г – эндотелий кровеносного капилляра пациента с сахарным диабетом 2 типа и ожирением. Набухание цитоплазмы эндотелиоцитов, снижение содержания цитоплазматических органелл и везикул. Электронная микроскопия. Ув. х10 000.
При морфометрическом анализе выявлено снижение объемной плотности кровеносных микрососудов в ПЖК у больных СД в сравнении с контролем. Численная плотность микрососудов не показала достоверных различий. Объемная и численная плотность лимфатических микрососудов, напротив, были статистически значимо увеличены у больных СД (рис. 3В, 3Г). Прослеживались взаимосвязи между гипертрофией адипоцитов и изменениями васкуляризации ПЖК. При этом диаметр подкожных адипоцитов обратно коррелировал с объемной плотностью микрососудов (r=-0,42, p=0,007) и прямо – с объемной плотностью лимфатических сосудов (r=0,4, p=0,01).
Анализ сопряженности концентраций адипокинов и морфологических параметров ПЖТ у больных СД2
Средний диаметр адипоцитов у пациентов с СД положительно коррелировал с уровнем лептина (r=0,42, p=0,03), остальные адипокины не показали достоверных связей с данным параметром. В ранговом корреляционном анализе обнаружены обратные взаимосвязи концентраций резистина и висфатина с объемной и количественной плотностью микрососудов (резистин: r=-0,52, p=0,008 и r=-0,54, p=0,005 соответственно; висфатин: r=-0,44, p=0,03 в обоих случаях). Висфатин, кроме того, прямо коррелировал с объемной плотностью лимфатических микрососудов (r=0,44, p=0,03). Концентрации других адипокинов не показали значимых взаимосвязей с плотностью сосудов в ПЖК.
Нежелательные явления
У трех пациентов зафиксировано образование подкожных гематом после биопсии ПЖК. Гематомы рассасывались в течение 3–7 дней.
ОБСУЖДЕНИЕ
Резюме основного результата исследования
Дисфункция ЖТ у больных СД2 проявляется увеличением концентраций в сыворотке крови адипокинов: лептина, резистина, висфатина и адипсина. Выраженность дисфункции ЖТ связана с особенностями распределения ЖТ, гипертрофией подкожных адипоцитов, снижением объемной плотности кровеносных сосудов и увеличением объемной плотности лимфатических сосудов в ПЖК. Уровни лептина, резистина, висфатина, адипсина и адипонектина прямо коррелируют с массой ЖТ на бедрах, уровни лептина и адипсина, кроме того, положительно ассоциированы с массой ЖТ на туловище и в центральной области живота. Концентрация лептина, но не других адипокинов, положительно коррелирует с диаметром подкожных адипоцитов. Уровни резистина и висфатина демонстрируют обратные ассоциации с объемной плотностью микрососудов в ПЖК.
Обсуждение основного результата исследования
Способность ЖТ изменять метаболизм энергетических субстратов в состоянии после еды, при голодании и физических нагрузках, в том числе посредством регуляторных влияний на мышцы и печень через секрецию адипокинов, является важным элементом адаптации энергетического обмена к меняющимся условиям жизнедеятельности. В свою очередь, снижение «метаболической гибкости» ЖТ сочетается с резистентностью к инсулину и СД2 [16]. Нарушения регуляторной функции ЖТ при СД2 тесно связаны с процессом ремоделирования ЖТ, который включает изменения массы, распределения и морфологии ЖТ. В данной работе мы исследовали клинические, биохимические и морфологические особенности ремоделирования ЖТ у больных СД2. Полученные данные свидетельствуют о том, что нарушения продукции различных адипокинов в разной степени связаны с увеличением массы ЖТ, особенностями ее распределения, гипертрофией подкожных адипоцитов и изменениями васкуляризации ПЖК.
Для исследования функции ЖТ были отобраны 5 адипокинов: лептин, резистин, висфатин, адипсин и адипонектин. Выбор адипокинов определялся их влиянием на метаболические процессы и чувствительность к инсулину, а также преимущественной секрецией различными жировыми депо. У больных СД2 зафиксировано значительное увеличение концентраций в сыворотке крови лептина, резистина, висфатина и адипсина. Полученные данные в целом согласуются с результатами ранее выполненных работ, показавших увеличение концентраций лептина, резистина и висфатина у больных СД2 [7, 8, 17, 18], и не подтверждают данные о снижении уровня адипсина при данном заболевании [18].
Изменения продукции адипокинов у больных СД2 ожидаемо оказались связаны с выраженностью ожирения. Все исследованные регуляторы, за исключением адипонектина, продемонстрировали положительные связи с ИМТ, ОТ и ОБ. Известно, что ЖТ является основным источником лептина, резистина, висфатина и адипсина и практически единственным источником адипонектина. Вместе с тем исследованные молекулы оказались в разной степени ассоциированы с массой ЖТ и ее распределением. Уровни лептина, резистина и адипсина показали прямые корреляции с общей массой ЖТ, а уровни лептина и адипсина, кроме того, были положительно взаимосвязаны с массой ЖТ на туловище и в центральной области живота. Очевидно, различный характер ассоциаций уровней адипокинов с параметрами КСТ отражает особенности секреции этих молекул разными жировыми депо.
В последние годы большой интерес вызывают морфологические аспекты ремоделирования ЖТ при ожирении и ассоциированных с ним состояниях. В частности, обсуждается взаимосвязь между дисфункцией ЖТ и гипертрофией адипоцитов. Известно, что ПЖТ имеет ограниченную способность к экспансии за счет клеток-прекурсоров, на избыточное поступление энергетических субстратов она отвечает гипертрофией адипоцитов. Усиленный липолиз в гипертрофированных адипоцитах приводит к массивному поступлению свободных жирных кислот в кровоток, эктопическому депонированию жира, хроническому воспалению и инсулинорезистентности [19]. Значительное увеличение среднего диаметра подкожных адипоцитов у обследованных нами больных СД свидетельствует о преимущественно гипертрофическом типе имеющегося у них ожирения. Зафиксированная корреляция между средним диаметром адипоцита и уровнем лептина подтверждает значимость гипертрофии адипоцитов в развитии дисфункции ЖТ.
Процессы ангиогенеза и лимфангиогенеза играют важную роль в ремоделировании ЖТ при ожирении. Интересным и пока мало исследованным вопросом является роль изменений ангиогенеза в формировании эндокринной дисфункции адипоцитов. В работе Gealekman и соавт. было показано, что ПЖТ обладает большей способностью расширять свою капиллярную сеть, чем висцеральная ЖТ, но эта способность уменьшается при морбидном ожирении. Снижение ангиогенной способности ПЖТ при этом коррелирует с резистентностью к инсулину [20]. По экспериментальным данным, высокожировая диета редуцирует плотность капилляров в подкожной и висцеральной ЖТ. Аэробные физические нагрузки, напротив, увеличивают васкуляризацию [21]. В данном исследовании мы зафиксировали снижение объемной плотности сети кровеносных микрососудов в ПЖТ у больных СД2. Это согласуется с данными о нарушениях ангиогенной способности клеток ЖТ при СД [22].
Электронно-микроскопическое исследование эндотелиоцитов кровеносных сосудов ЖТ зафиксировало отек цитоплазмы и снижение трансэндотелиального транспорта. Можно предполагать, что снижение объемной плотности и изменения ультраструктуры кровеносных сосудов могут способствовать развитию гипоксии ЖТ. Имеются данные, что гипоксия ЖТ сопряжена с митохондриальной дисфункцией адипоцитов, гиперпродукцией реактивных метаболитов кислорода, нарушением дифференцировки преадипоцитов в адипоциты, торможением миграции макрофагов из ЖТ и изменением их секреторного фенотипа [12]. Каскад молекулярных сигналов, запускаемых гипоксией, участвует в развитии фиброза, воспаления ЖТ и инсулинорезистентности [23]. Вероятным следствием этих нарушений является регуляторная дисфункция ЖТ. В пользу этой концепции свидетельствуют зафиксированные нами обратные взаимосвязи между уровнями резистина и висфатина в сыворотке крови и плотностью сети кровеносных сосудов в ПЖК.
Роль лимфатической системы в развитии дисфункции ЖТ при СД ранее не изучалась. В данном исследовании нами зафиксировано увеличение плотности сети лимфатических микрососудов в ПЖК у больных СД2. В сравнении с изменениями плотности кровеносных сосудов, плотность лимфатических сосудов менялась противоположным образом, что может отражать известные различия в регуляции процессов ангиогенеза и лимфангиогенеза, в том числе при СД [24]. Известно, что в постнатальном периоде активация лимфангиогенеза сопровождает опухолевые и воспалительные процессы. Можно предположить, что воспаление ЖТ при ожирении способствует активации лимфангиогенеза. У мышей, получавших высокожировую диету, описана перилимфатическая воспалительная инфильтрация ЖТ [25]. Заметим, что функция лимфатических коллекторов в процессе воспаления не сводится лишь к транспорту антигенов и иммунокомпетентных клеток: эндотелиоциты лимфатических капилляров способны регулировать активность и фенотип иммуноцитов. В различных условиях лимфангиогенез может как тормозить, так и усугублять течение воспалительных процессов [26].
Экспериментальные и клинические исследования зафиксировали снижение дренажно-транспортной функции лимфатической системы ЖТ при ожирении [25, 27, 28]. Косвенно о нарушении функции лимфатических микрососудов ПЖК у обследованных нами больных свидетельствуют изменения цитоплазмы и внутриклеточных органелл (митохондрий, гранулярного эндоплазматического ретикулума) эндотелиоцитов, выявленные нами при электронно-микроскопическом исследовании. В предыдущих исследованиях была показана связь между нарушениями лимфатического дренажа и аккумуляцией жира при ожирении у мышей [27, 29]. Известно, что нарушения оттока лимфы у пациентов с врожденной или приобретенной лимфедемой также ассоциированы с активацией адипогенеза [30]. Было высказано предположение, что снижение способности лимфатической системы элиминировать макромолекулы из интерстициального пространства у пациентов с ожирением может быть связующим звеном между ожирением и воспалением ЖТ [28]. Вместе с тем в данном исследовании нам не удалось зафиксировать какой-либо взаимосвязи между плотностью лимфатических сосудов в ПЖК и концентрациями адипокинов в крови. Вопрос о роли лимфатической системы в формировании дисфункции ЖТ при СД заслуживает дальнейших исследований.
Ограничения исследования
Одномоментный (поперечный) дизайн исследования не позволяет однозначно судить о причинно-следственных связях между признаками. Методологический подход к оценке распределения ЖТ, использованный в работе, не позволил дифференцировать подкожные и висцеральные жировые депо. Сравнительно небольшой объем выборки пациентов, которым выполнена биопсия, требует осторожности в интерпретации результатов морфологических исследований. Включение в исследование большого числа больных, получавших инсулинотерапию, могло вести к систематическому смещению данных относительно общей популяции больных СД2.
ЗАКЛЮЧЕНИЕ
Изучение процессов ремоделирования и регуляторной дисфункции ЖТ имеет большое значение для расшифровки механизмов формирования инсулинорезистентности и СД2. В данной работе нами изучены изменения концентраций в сыворотке крови нескольких адипокинов: лептина, резистина, висфатина, адипсина и адипонектина у больных СД2 и определены их взаимосвязи с особенностями распределения, гипертрофии и васкуляризации ПЖК. Увеличение концентраций лептина, резистина, висфатина и адипсина свидетельствует об эндокринной дисфункции ЖТ. Показано, что у пациентов с СД2 концентрации лептина, резистина, висфатина, адипсина и адипонектина прямо коррелируют с массой ЖТ на бедрах, уровни лептина и адипсина, кроме того, демонстрируют ассоциации с массой ЖТ на туловище и в центральной области живота. Гипертрофический тип ожирения у больных СД2 ассоциирован с гиперлептинемией.
Нами впервые показано, что гипертрофия подкожных адипоцитов у пациентов с СД2 сочетается со снижением объемной плотности кровеносных сосудов и с увеличением объемной и численной плотности лимфатических сосудов в ПЖК. Указанные изменения могут свидетельствовать о разнонаправленных изменениях интенсивности процессов ангиогенеза и лимфангиогенеза. Концентрации резистина и висфатина показали обратную связь с объемной плотностью микрососудов. В самих сосудах выявлены ультраструктурные изменения эндотелиоцитов, более выраженные в лимфатических капиллярах, косвенно свидетельствующие о нарушении микроциркуляции и лимфатического дренажа.
Изучение связей между адипо-, ангио- и лимфангиогенезом и регуляторной дисфункцией адипоцитов, разработка подходов к коррекции эндокринной функции ЖТ посредством влияния на ее васкуляризацию – перспективные задачи для будущих исследований.
ДОПОЛНИТЕЛЬНАЯ ИНФОРМАЦИЯ
Источник финансирования. Работа выполнена за счет средств государственного задания НИИКЭЛ – филиала ИЦиГ СО РАН.
Конфликт интересов. Авторы декларируют отсутствие явных и потенциальных конфликтов интересов, связанных с публикацией настоящей статьи.
Участие авторов. Климонтов В.В. – концепция и дизайн исследования, анализ результатов, написание текста; Булумбаева Д.М. – сбор клинических данных, проведение морфометрии, статистическая обработка и анализ результатов, написание текста; Бгатова Н.П. – концепция и дизайн исследования, анализ морфологических данных; Таскаева Ю.С. – проведение иммуногистохимического исследования сосудов; Орлов Н.Б. – исследование уровня адипокинов; Фазуллина О.Н. – исследование КСТ; Солуянов М.Ю. – проведение биопсии подкожной жировой клетчатки у больных СД; Савченко С.В. – проведение биопсии подкожной жировой клетчатки у лиц контрольной группы; Коненков В.И. – концепция и дизайн исследования, интерпретация результатов. Все авторы внесли значимый вклад в проведение исследования и подготовку статьи, прочли и одобрили финальную версию статьи перед публикацией.
Список литературы
1. Choe SS, Huh JY, Hwang IJ, et al. Adipose Tissue Remodeling: Its Role in Energy Metabolism and Metabolic Disorders. Front Endocrinol (Lausanne). 2016;7:30. doi: https://doi.org/10.3389/fendo.2016.00030
2. Nicholson T, Church C, Baker DJ, Jones SW. The role of adipokines in skeletal muscle inflammation and insulin sensitivity. J Inflamm (Lond). 2018;15:9. doi: https://doi.org/10.1186/s12950-018-0185-8
3. Jaganathan R, Ravindran R, Dhanasekaran S. Emerging Role of Adipocytokines in Type 2 Diabetes as Mediators of Insulin Resistance and Cardiovascular Disease. Can J Diabetes. 2018;42(4):446-456 e441. doi: https://doi.org/10.1016/j.jcjd.2017.10.040
4. Oh K-J, Lee D, Kim W, et al. Metabolic Adaptation in Obesity and Type II Diabetes: Myokines, Adipokines and Hepatokines. Int J Mol Sci. 2016;18(1):8. doi: https://doi.org/10.3390/ijms18010008
5. Tanaka M, Itoh M, Ogawa Y, Suganami T. Molecular mechanism of obesity-induced ‘metabolic’ tissue remodeling. J Diabetes Investig. 2018;9(2):256-261. doi: https://doi.org/10.1111/jdi.12769
6. Ehrlund A, Mejhert N, Björk C, et al. Transcriptional Dynamics During Human Adipogenesis and Its Link to Adipose Morphology and Distribution. Diabetes. 2017;66(1):218-230. doi: https://doi.org/10.2337/db16-0631
7. Chowen JA, Amato MC, Pizzolanti G, et al. Visceral Adiposity Index (VAI) Is Predictive of an Altered Adipokine Profile in Patients with Type 2 Diabetes. PLoS ONE. 2014;9(3):e91969. doi: https://doi.org/10.1371/journal.pone.0091969
8. Климонтов В.В., Тян Н.В., Фазуллина О.Н., и др. Белки острой фазы и адипоцитокины в сыворотке крови у женщин с сахарным диабетом 2 типа: взаимосвязи с композитным составом тела и колебаниями гликемии // Терапевтический архив. — 2016. — Т. 88. — №10. — С. 35-41. [Klimontov VV, Tyan NV, Fazullina ON, et al. Acute-phase serum proteins and adipocytokines in women with type 2 diabetes mellitus: Relationships with body composition and blood glucose fluctuations. Ther Arch. 2016;88(10):35-41. (In Russ.)] doi: https://doi.org/10.17116/terarch2016881035-41
9. Liu X, Li X, Li C, et al. Study on regulation of adipokines on body fat distribution and its correlation with metabolic syndrome in type 2 diabetes mellitus. Minerva Endocrinol. 2019;44(3). doi: https://doi.org/10.23736/s0391-1977.17.02773-0
10. Коненков В.И., Климонтов В.В. Ангиогенез и васкулогенез при сахарном диабете: новые концепции патогенеза и лечения сосудистых осложнений // Сахарный диабет. — 2012. — Т. 15. — №4. — С. 17-27. [Konenkov VI, Klimontov VV. Vasculogenesis and angiogenesis in diabetes mellitus: novel pathogenetic concepts for treatment of vascular complications. Diabetes mellitus. 2012;15(4):17-27. (In Russ.)] doi: https://doi.org/10.14341/2072-0351-5533
11. Corvera S, Gealekman O. Adipose tissue angiogenesis: Impact on obesity and type-2 diabetes. Biochim Biophys Acta Mol Basis Dis. 2014;1842(3):463-472. doi: https://doi.org/10.1016/j.bbadis.2013.06.003
12. Engin A. Adipose Tissue Hypoxia in Obesity and Its Impact on Preadipocytes and Macrophages: Hypoxia Hypothesis. In: Engin A, Engin A, editors. Obesity and Lipotoxicity. Advances in Experimental Medicine and Biology. Vol. 960. Cham: Springer; 2017. p. 305-326. doi: https://doi.org/10.1007/978-3-319-48382-5_13
13. Miller NE, Michel CC, Nanjee MN, et al. Secretion of adipokines by human adipose tissue in vivo: partitioning between capillary and lymphatic transport. Am J Physiol Endocrinol Metab. 2011;301(4):E659-E667. doi: https://doi.org/10.1152/ajpendo.00058.2011
14. Дедов И.И., Шестакова М.В., Майоров А.Ю., и др. Алгоритмы специализированной медицинской помощи больным сахарным диабетом. / Под ред. Дедова И.И., Шестаковой М.В., Майорова А.Ю. — 8-й вып. // Сахарный диабет. — 2017. — Т. 20. — №1S. — С. 1-112. [Dedov II, Shestakova MV, Mayorov AY, et al. Dedov II, Shestakova MV, Mayorov AY, editors. Standards of specialized diabetes care. 8th ed. Diabetes mellitus. 2017;20(1S):1-121. (In Russ.)] doi: https://doi.org/10.14341/DM20171S8
15. Parlee SD, Lentz SI, Mori H, MacDougald OA. Quantifying size and number of adipocytes in adipose tissue. Methods Enzymol. 2014;537:93-122. doi: https://doi.org/10.1016/B978-0-12-411619-1.00006-9
16. Goodpaster BH, Sparks LM. Metabolic Flexibility in Health and Disease. Cell Metab. 2017;25(5):1027-1036. doi: https://doi.org/10.1016/j.cmet.2017.04.015
17. Вербовой А.Ф., Цанава И.А., Вербовая Н.И. Адипокины и метаболические показатели у больных сахарным диабетом 2 типа в сочетании с подагрой // Ожирение и метаболизм. — 2016. — Т. 13. — №1. — C. 20-24. [Verbovoy AF, Tsanava IA, Verbovaya NI. Adipokines and metabolic parameters in patients with type 2 diabetes mellitus in combination with gout. Obesity and metabolism. 2016;13(1):20-24. (In Russ.)] doi: https://doi.org/10.14341/omet2016120-24
18. Legakis I, Mantzouridis T, Bouboulis G, Chrousos GP. Reciprocal changes of serum adispin and visfatin levels in patients with type 2 diabetes after an overnight fast. Arch Endocrinol Metab. 2016;60(1):76-78. doi: https://doi.org/10.1590/2359-3997000000147
19. Hammarstedt A, Gogg S, Hedjazifar S, et al. Impaired Adipogenesis and Dysfunctional Adipose Tissue in Human Hypertrophic Obesity. Physiol Rev. 2018;98(4):1911-1941. doi: https://doi.org/10.1152/physrev.00034.2017
20. Gealekman O, Guseva N, Hartigan C, et al. Depot-Specific Differences and Insufficient Subcutaneous Adipose Tissue Angiogenesis in Human Obesity. Circulation. 2011;123(2):186-194. doi: https://doi.org/10.1161/circulationaha.110.970145
21. Kolahdouzi S, Talebi-Garakani E, Hamidian G, Safarzade A. Exercise training prevents high-fat diet-induced adipose tissue remodeling by promoting capillary density and macrophage polarization. Life Sci. 2019;220:32-43. doi: https://doi.org/10.1016/j.lfs.2019.01.037
22. Акопян Ж.А., Шаронов Г.В., Кочегура Т.Н., и др. Влияние высокой концентрации глюкозы на способность мезенхимальных стромальных клеток контролировать рост кровеносных сосудов // Сахарный диабет. — 2011. — Т. 14. — №2. — С. 32-36. [Akopyan ZA, Sharonov GV, Kochegura TN, et al. The influence of high glucose concentration on the ability of mesenchymal stromal cells to stimulate blood vessel growth. Diabetes mellitus. 2011;14(2):32-36. (In Russ.)] doi: https://doi.org/10.14341/2072-0351-5631
23. Lefere S, Van Steenkiste C, Verhelst X, et al. Hypoxia-regulated mechanisms in the pathogenesis of obesity and non-alcoholic fatty liver disease. Cell Mol Life Sci. 2016;73(18):3419-3431. doi: https://doi.org/10.1007/s00018-016-2222-1
24. Коненков В.И., Климонтов В.В., Кузнецова И.В. Нарушения ангиогенеза и лимфангиогенеза при сахарном диабете // Архив патологии. — 2014. — Т. 76. — №2. — С. 55-59. [Konenkov VI, Klimontov VV, Kuznetsova IV. Impaired angiogenesis and lymphangiogenesis in diabetes mellitus. Arkh Patol. 2014;76(2):55-59. (In Russ.)]
25. García Nores GD, Cuzzone DA, Albano NJ, et al. Obesity but not high-fat diet impairs lymphatic function. Int J Obes. 2016;40(10):1582-1590. doi: https://doi.org/10.1038/ijo.2016.96
26. Abouelkheir GR, Upchurch BD, Rutkowski JM. Lymphangiogenesis: fuel, smoke, or extinguisher of inflammation’s fire? Exp Biol Med. 2017;242(8):884-895. doi: https://doi.org/10.1177/1535370217697385
27. Savetsky IL, Torrisi JS, Cuzzone DA, et al. Obesity increases inflammation and impairs lymphatic function in a mouse model of lymphedema. Am J Physiol Heart Circ Physiol. 2014;307(2):H165-H172. doi: https://doi.org/10.1152/ajpheart.00244.2014
28. Arngrim N, Simonsen L, Holst JJ, Bülow J. Reduced adipose tissue lymphatic drainage of macromolecules in obese subjects: a possible link between obesity and local tissue inflammation? Int J Obes. 2012;37(5):748-750. doi: https://doi.org/10.1038/ijo.2012.98
29. Escobedo N, Oliver G. The Lymphatic Vasculature: Its Role in Adipose Metabolism and Obesity. Cell Metab. 2017;26(4):598-609. doi: https://doi.org/10.1016/j.cmet.2017.07.020
30. Cucchi F, Rossmeislova L, Simonsen L, et al. A vicious circle in chronic lymphoedema pathophysiology? An adipocentric view. Obes Rev. 2017;18(10):1159-1169. doi: https://doi.org/10.1111/obr.12565
Об авторах
Вадим Валерьевич КлимонтовРоссия
Доктор медицинских наук, заведующий лабораторией эндокринологии, зам. директора по научной работе
Динара Мухтаровна Булумбаева
Россия
младший научный сотрудник лаборатории эндокринологии
Наталья Петровна Бгатова
Россия
доктор биологических наук, профессор, заведующий лабораторией ультраструктурных исследований
Юлия Сергеевна Таскаева
Россия
младший научный сотрудник
Николай Борисович Орлов
Россия
кандидат медицинских наук, старший научный сотрудник
Ольга Николаевна Фазуллина
Россия
младший научный сотрудник лаборатории эндокринологии
Михаил Юрьевич Солуянов
Россия
кандидат медицинских наук, старший научный сотрудник
Сергей Владимирович Савченко
Россия
Доктор медицинских наук, профессор
Владимир Иосифович Коненков
Россия
Доктор медицинских наук, профессор, академик РАН
Дополнительные файлы
|  | 1. Рис. 1. Дизайн исследования. | |
| Тема | ||
| Тип | Прочее | |
| 
                  
                    Посмотреть
                                        
                    (453KB)    
                   | Метаданные ▾ | |
|  | 2. Рис. 2. Схематическое изображение оценки распределения жировой ткани по областям в программе Body Composition. 1 – область android fat; 2 – область gynoid fat. | |
| Тема | ||
| Тип | Прочее | |
| 
                  
                    Посмотреть
                                        
                    (251KB)    
                   | Метаданные ▾ | |
|  | 3. Рис. 3. Визуализация и плотность лимфатических сосудов в подкожной жировой ткани у пациентов с сахарным диабетом 2 типа и в контроле. А – лимфатический сосуд в норме; Б – лимфатические сосуды у пациента с сахарным диабетом 2 типа. Иммуногистохимическое окрашивание на маркер эндотелиоцитов лимфатических сосудов подопланин. Ув. х400; В – объемная плотность лимфатических сосудов, LDVv, %; Г – численная плотность лимфатических сосудов, LVDq, n; * – p<0,02 в сравнении с контрольной группой. | |
| Тема | ||
| Тип | Прочее | |
| 
                  
                    Посмотреть
                                        
                    (1MB)    
                   | Метаданные ▾ | |
|  | 4. Рис. 4. Ультраструктурная организация эндотелиоцитов лимфатических и кровеносных сосудов жировой ткани пациентов с сахарным диабетом 2 типа. А – эндотелий лимфатического капилляра в норме; Б – эндотелий лимфатического капилляра пациента с сахарным диабетом 2 типа и ожирением. Выросты и выпячивания люминальной и базальной поверхностей эндотелиоцита лимфатического капилляра. Контакт с соседней эндотелиальной клеткой (стрелки); В – эндотелий кровеносного капилляра в норме; Г – эндотелий кровеносного капилляра пациента с сахарным диабетом 2 типа и ожирением. Набухание цитоплазмы эндотелиоцитов, снижение содержания цитоплазматических органелл и везикул. Электронная микроскопия. Ув. х10 000. | |
| Тема | ||
| Тип | Прочее | |
| 
                  
                    Посмотреть
                                        
                    (2MB)    
                   | Метаданные ▾ | |
|  | 5. Климонтов_Адипокины_Фото 5 | |
| Тема | ||
| Тип | Исследовательские инструменты | |
| 
                  
                    Посмотреть
                                        
                    (1MB)    
                   | Метаданные ▾ | |
|  | 6. Климонтов_Адипокины_Фото 6 | |
| Тема | ||
| Тип | Исследовательские инструменты | |
| 
                  
                    Посмотреть
                                        
                    (142KB)    
                   | Метаданные ▾ | |
|  | 7. Рис. 1. Дизайн исследования. | |
| Тема | ||
| Тип | Прочее | |
| 
                  
                    Посмотреть
                                        
                    (453KB)    
                   | Метаданные ▾ | |
Рецензия
Для цитирования:
Климонтов В.В., Булумбаева Д.М., Бгатова Н.П., Таскаева Ю.С., Орлов Н.Б., Фазуллина О.Н., Солуянов М.Ю., Савченко С.В., Коненков В.И. Концентрации адипокинов в сыворотке крови у пациентов с сахарным диабетом 2 типа: взаимосвязи с распределением, гипертрофией и васкуляризацией подкожной жировой ткани. Сахарный диабет. 2019;22(4):336-347. https://doi.org/10.14341/DM10129
For citation:
Klimontov V.V., Bulumbaeva D.M., Bgatova N.P., Taskaeva I.S., Orlov N.B., Fazullina O.N., Soluyanov M.Y., Savchenko S.V., Konenkov V.I. Serum adipokine concentrations in patients with type 2 diabetes: the relationships with distribution, hypertrophy and vascularization of subcutaneous adipose tissue. Diabetes mellitus. 2019;22(4):336-347. (In Russ.) https://doi.org/10.14341/DM10129
 
Контент доступен под лицензией Creative Commons Attribution-NonCommercial-NoDerivatives 4.0 International License (CC BY-NC-ND 4.0).
 
                    
 
  
  
  
  
  
  Послать статью по эл. почте
            Послать статью по эл. почте 







































