Genetic parameters of wound healing in patients with neuropatic diabetic foot ulcers
Abstract
Background. Tissue repair processes are impaired in diabetic foot ulcers (DFUs). Previous research has shown that glycaemic control, cytokines and growth factors play an important role in wound healing. Emerging evidence also suggests that genes play a role via their regulation of cell proliferation, collagen synthesis and granulation tissue formation.
Aim. To evaluate collagen genes expression in different stages of wound healing in patients with DFUs.
Materials and methods. Prospective study included four patients with neuropathic DFUs after surgical debridement. Tissue samples were taken for morphological and genetic tests on days 0, 10 and 15 of local treatment to evaluate expression of collagen genes (i.e. COL1A1, COL1A2, COL3A1) and to perform morphological tests.
Results. The present study confirmed that the size of wounds decreased by 8.8 ± 7% after 10 days of local treatment and by 18.3 ± 8% after 15 days of local treatment. According to histological examination of wound biopsies at day 10, all patients showed a tendency for lower levels of inflammatory infiltrate, increased number of fibroblast-like cells, presence of maturing granulation tissue and emergence of connective tissue fibres. After 15 days, we detected inflammatory infiltration in the wounds, despite the formation of mature granulation tissue. According to results of genetic analysis on day 10 of local wound treatment, we found a tendency for increased expression of collagen genes relative to the baseline: COL1A1 increased by 3.2 ± 1.3 times, COL1A2 by 2.0 ± 1.0 times and COL3A1 by 1.25 ± 1.1 times. On day 15 of local treatment, in contrast, we found a tendency for decreased expression of COL1A1, COL1A2 and COL3A1 relative to the baseline (1.7 ± 0.6, 2.5 ± 2 and 20.0 ± 3 times, respectively).
Conclusions. The expression of collagen genes (COL1A1, COL1A2, COL3A1) is more pronounced in proliferation phase and is subsequently reduced towards the end. These data were confirmed by morphological study and clinical pictures.
About the Authors
Ekaterina L. ZaitsevaEndocrinology Research Centre
Russian Federation
MD, PhD
Competing Interests:
No conflict of interests
Alla Y. Tokmakova
Endocrinology Research Centre
Russian Federation
MD, PhD
Competing Interests:
No conflict of interests
Iya A. Voronkova
Endocrinology Research Centre
Russian Federation
MD, PhD
Competing Interests:
No conflict of interests
Vasily M. Petrov
Endocrinology Research Centre
Russian Federation
MD, PhD
Competing Interests:
No conflict of interests
Anatoly N. Tiulpakov
Endocrinology Research Centre
Russian Federation
MD, PhD, Professor
Competing Interests:
No conflict of interests
Marina V. Shestakova
Endocrinology Research Centre
Russian Federation
MD, PhD, Professor
Competing Interests:
No conflict of interests
References
1. Singh N, Armstrong DG, Lipsky BA. Preventing foot ulcers in patients with diabetes. JAMA. 2005;293(2):217–228. doi: 10.1001/jama.293.2.217
2. Baltzis D, Eleftheriadou I, Veves A. Pathogenesis and Treatment of Impaired Wound Healing in Diabetes Mellitus: New Insights. Adv Ther. 2014;31(8):817–836. doi: 10.1007/s12325-014-0140-x
3. Krafts KP. Tissue repair. The hidden drama. Organogenesis. 2010;6(4):225–233. doi: 10.4161/org.6.4.12555
4. Зайцева Е.Л., Доронина Л.П., Молчков Р.В., и др. Морфологическая и иммуногистохимическая характеристика интенсивности репаративных процессов в мягких тканях нижних конечностей у лиц с нейропатической и нейроишемической формами синдрома диабетической стопы // Сахарный диабет. – 2015. – Т. 18. – №4. – С. 72-78. [Zaitseva EL, Doronina LP, Molchkov RV, et al. The morphological characteristic of tissue repair in patients with neuropathic and neuroischemic forms of diabetic foot syndrome. Diabetes mellitus. 2015:18(4):72-78. (In Russ.)] doi: 10.14341/DM7587
5. Slaughter BV, Shahana SK, Fisher OZ, et al. Hydrogels in regenerative medicine. Adv Mater. 2009;21(32-33):3307-3329. doi: 10.1002/adma.200802106
6. Malafaya B, Silva GA, Reis RL. Natural-origin polymers as carriers and scaffolds for biomolecules and cell delivery in tissue engineering applications. Adv Drug Deliv Rev. 2007;59(4-5):207-233. doi: 10.1016/j.addr.2007.03.012
7. Calabrese EJ. Historical foundations of wound healing and its potential for acceleration: dose-response considerations. Wound Repair Regen. 2013;21(2):180-193. doi: 10.1111/j.1524-475X.2012.00842.x
8. Moura LI, Dias AM, Suesca E, et al. Neurotensin-loaded collagen dressings reduce inflammation and improve wound healing in diabetic mice. Biochim Biophys Acta. 2014;1842(1):32-43. doi: 10.1016/j.bbadis.2013.10.009
9. Stadelmann WK, Digenis AG, Tobin GR. Physiology and healing dynamics of chronic cutaneous wounds. Am J Surg. 1998;176(2 Suppl 1):26–38. doi: 10.1016/s0002-9610(98)00183-4
10. Birk DE, Mayne R. Localization of collagen types I, III and V during tendon development. Changes in collagen types I and III are correlated with changes in fibril diameter. Eur J Cell Biol. 1997;72(4):352–361. doi: 10.1071/r97003
11. Bermudez DM, Herdrich BJ, Xu J, et al. Impaired Biomechanical Properties of Diabetic Skin. Implications in Pathogenesis of Diabetic Wound Complications. AJP. 2011;178(5)2215-2223. doi: 10.1016/j.ajpath.2011.01.015
12. Дедов И.И., Шестакова М.В., Майоров А.Ю., и др. Алгоритмы специализированной медицинской помощи больным сахарным диабетом / Под редакцией И.И. Дедова, М.В. Шестаковой, А.Ю. Майорова. – 8-й выпуск // Сахарный диабет. – 2017. – Т. 20. – №1S. – C. 1-121. [Dedov II, Shestakova MV, Mayorov AY, et al. Standards of specialized diabetes care. Edited by Dedov II, Shestakova MV, Mayorov AY. 8th edition. Diabetes mellitus. 2017;20(1S):1-121. (In Russ.)] doi: 10.14341/DM20171S8
13. Комелягина Е.Ю., Коган Е.А., Анциферов М.Б. Клинико-морфологические параметры и маркеры репарации нейропатических язвенных дефектов при синдроме диабетической стопы // Сахарный диабет. – 2015. – Т. 18. – №3. – С. 70-76. [Komelyagina EY, Kogan EA, Antsiferov MB. Clinical and morphological characteristics with markers of reparation in neuropathic diabetic foot ulcers. Diabetes mellitus. 2015:18(3):70-76. (In Russ.)] doi: 10.14341/DM2015370-76
Supplementary files
|
|
1. Неозаглавлен | |
| Subject | ||
| Type | Исследовательские инструменты | |
View
(940KB)
|
Indexing metadata ▾ | |
|
|
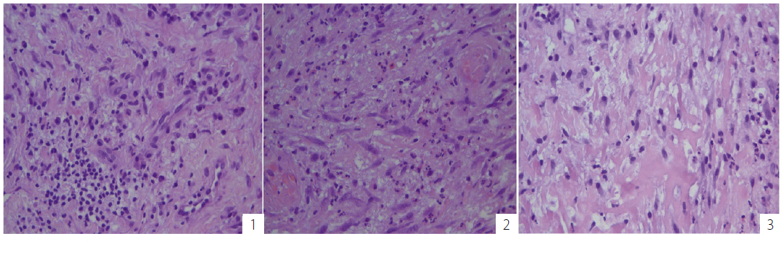
2. Рис. 1. Типичная гистологическая картина биоптатов раны на 0, 10, 15-е сутки местного лечения: 1) Эпидермис сохранен, в дерме очаги плазмоцитарной и лимфоцитарной инфильтрации; 2) Созревающая грануляционная ткань представлена мелкими сосудами, диффузной лимфо- и лейкоцитарной инфильтрацией (сегментоядерные нейтрофилы) и нежной рыхлой соединительной тканью; 3) Зрелая грануляционная ткань, умеренная лимфоцитарная инфильтрация и лейкоцитарная инфильтрация, представленная плазмоцитами с преобладанием сегментоядерных нейтрофилов, выраженная пролиферация фибробластов, сосудистый лейкостаз. | |
| Subject | ||
| Type | Исследовательские инструменты | |
View
(940KB)
|
Indexing metadata ▾ | |
Review
For citations:
Zaitseva E.L., Tokmakova A.Y., Voronkova I.A., Petrov V.M., Tiulpakov A.N., Shestakova M.V. Genetic parameters of wound healing in patients with neuropatic diabetic foot ulcers. Diabetes mellitus. 2017;20(5):344-349. (In Russ.)









































