Insulin-induced lipohypertrophy: clinical and ultrasound characteristics
Abstract
Background: Lipohypertrophy is primary dermal complication of insulin therapy. The data on the prevalence of lipohypertrophy in diabetic subjects are inconsistent, that may be due to the lack of sensitivity and subjectivity of palpation as diagnostic technique. Meanwhile, the reliability of lipohypertrophy detection can be increased by ultrasound.
Aims: to compare clinical and ultrasound characteristics and to determine the risk factors of insulin-induced lipohypertrophy in diabetic subjects.
Materials and methods: We observed 82 patients, including 26 individuals with type 1 diabetes and 56 subjects with type 2 diabetes. Duration of insulin therapy varied from 3 months to 37 years (median 14 years). The sites of insulin injections were assessed by palpation and ultrasound. Visualization protocol included gray-scale densitometry, strain elastography, and 3D Doppler power ultrasound. Scaled evaluation of ultrasound sings was applied. Insulin injection technique was assessed by questionnaire. Serum levels of insulin antibodies were determined by ELISA.
Results: Lipohypertrophy was revealed by palpation and ultrasound in 57 and 80 patients (70% and 98%) respectively. Total lipohypertrophy area, acoustic density and total ultrasound score showed weak positive correlations with daily insulin dose (r=0.3, r=0.3 and r=0.35, respectively, all p<0.006). Patients receiving insulin analogues had smaller area of abdominal lipohypertrophy than those on human insulin (p=0.03). A positive correlation was found between abdominal lipohypertrophy area and mean postprandial glucose (r=0.35, p=0.001). A rare needle change and injections in lipohypertrophy sites were the most common deviations in insulin injection technique (70 and 47 subjects, 85% and 53% respectively). The levels of insulin antibodies showed no association with lipohypertrophy parameters.
Conclusions: Patients with type 1 and type 2 diabetes demonstrate high prevalence of lipohypertrophy in insulin injection sites. Ultrasonography is more sensitive method of diagnostics of lipohypertrophy compared with palpation. Insulin-induced lipohypertrophy is associated with errors in injection technique and higher insulin doses.
About the Authors
Vadim V. KlimontovResearch Institute of Clinical and Experimental Lymphology – Branch of the Institute of Cytology and Genetics, Siberian Branch of Russian Academy of Sciences
Russian Federation
MD, PhD, Professor
Mikhail M. Lazarev
Research Institute of Clinical and Experimental Lymphology – Branch of the Institute of Cytology and Genetics, Siberian Branch of Russian Academy of Sciences
Russian Federation
MD, junior research associate
Alexey A. Makhotin
Research Institute of Clinical and Experimental Lymphology – Branch of the Institute of Cytology and Genetics, Siberian Branch of Russian Academy of Sciences
Russian Federation
MD, PhD
Andrey Ju. Letyagin
Research Institute of Clinical and Experimental Lymphology – Branch of the Institute of Cytology and Genetics, Siberian Branch of Russian Academy of Sciences
Russian Federation
MD, PhD, Professor
Lilia A. Anisimova
Research Institute of Clinical and Experimental Lymphology – Branch of the Institute of Cytology and Genetics, Siberian Branch of Russian Academy of Sciences
Russian Federation
MD
Dinara M. Bulumbaeva
Research Institute of Clinical and Experimental Lymphology – Branch of the Institute of Cytology and Genetics, Siberian Branch of Russian Academy of Sciences
Russian Federation
MD, junior research associate
Elena A. Koroleva
Research Institute of Clinical and Experimental Lymphology – Branch of the Institute of Cytology and Genetics, Siberian Branch of Russian Academy of Sciences
Russian Federation
MD, PhD, senior research associate
Alexander P. Lykov
Research Institute of Clinical and Experimental Lymphology – Branch of the Institute of Cytology and Genetics, Siberian Branch of Russian Academy of Sciences
Russian Federation
MD, PhD, leading research associate
References
1. Мельникова О.Г., Майоров А.Ю. Техника инъекций: результаты анкетирования больных сахарным диабетом в России. Новые международные рекомендации по технике инъекций // Сахарный диабет. – 2010. – Т. 13. – №3. – С. 38-44. [Melnikova OG, Mayorov AYu. The injection technique: results of a questionnaire study of diabetic patients in Russia. New international guidelines on the injection technique. Diabetes mellitus. 2010;13(3):38-44. (In Russ.)] doi: 10.14341/2072-0351-5486
2. De Coninck C, Frid A, Gaspar R, et al. Results and analysis of the 2008-2009 Insulin Injection Technique Questionnaire survey. J Diabetes. 2010;2(3):168-179. doi: 10.1111/j.1753-0407.2010.00077.x
3. Al Ajlouni M, Abujbara M, Batieha A, Ajlouni K. Prevalence of lipohypertrophy and associated risk factors in insulin-treated patients with type 2 diabetes mellitus. Int J Endocrinol Metab. 2015;13(2):e20776. doi: 10.5812/ijem.20776
4. Al Hayek AA, Robert AA, Braham RB, Al Dawish MA. Frequency of Lipohypertrophy and Associated Risk Factors in Young Patients with Type 1 Diabetes: A Cross-Sectional Study. Diabetes Ther. 2016;7(2):259-267. doi: 10.1007/s13300-016-0161-3
5. Ji L, Sun Z, Li Q, et al. Lipohypertrophy in China: Prevalence, Risk Factors, Insulin Consumption, and Clinical Impact. Diabetes Technol Ther. 2017;19(1):61-67. doi: 10.1089/dia.2016.0334
6. Famulla S, Hovelmann U, Fischer A, et al. Insulin Injection Into Lipohypertrophic Tissue: Blunted and More Variable Insulin Absorption and Action and Impaired Postprandial Glucose Control. Diabetes Care. 2016;39(9):1486-1492. doi: 10.2337/dc16-0610
7. Волкова Н.И., Давиденко И.Ю. Липогипертрофии у больных, получающих инсулинотерапию: современное состояние проблемы // Сахарный диабет. – 2011. – Т. 14. – №2. – С. 86-89. [Volkova NI, Davidenko IY. Lypohypertrophy in patients receiving insulin therapy: state of the art. Diabetes mellitus. 2011;14(2):86-89. (In Russ.)] doi: 10.14341/2072-0351-5642
8. Bertuzzi F, Meneghini E, Bruschi E, et al. Ultrasound characterization of insulin induced lipohypertrophy in type 1 diabetes mellitus. J Endocrinol Invest. 2017;40(10):1107-1113. doi: 10.1007/s40618-017-0675-1
9. Gentile S, Strollo F, Ceriello A, Group A-OITS. Lipodystrophy in Insulin-Treated Subjects and Other Injection-Site Skin Reactions: Are We Sure Everything is Clear? Diabetes Ther. 2016;7(3):401-409. doi: 10.1007/s13300-016-0187-6
10. Perciun R, Mihu M. The Subcutis Ultrasound Map of Type 1 Diabetic Children Improves the Diagnosis of Local Dystrophies and Insulin Injection Technique. Pediatrics Research International Journal. 2014:1-11. doi: 10.5171/2014.402780
11. Климонтов В.В., Мякина Н.Е. Вариабельность гликемии при сахарном диабете: инструмент для оценки качества гликемического контроля и риска осложнений // Сахарный диабет. – 2014. – Т. 17. – №2. – С. 76-82. [Klimontov VV, Myakina NE. Glycaemic variability in diabetes: a tool for assessing the quality of glycaemic control and the risk of complications. Diabetes mellitus. 2014;17(2):76-82. (In Russ.)] doi: 10.14341/DM2014276-82
12. Hill NR, Oliver NS, Choudhary P, et al. Normal reference range for mean tissue glucose and glycemic variability derived from continuous glucose monitoring for subjects without diabetes in different ethnic groups. Diabetes Technol Ther. 2011;13(9):921-928. doi: 10.1089/dia.2010.0247
13. Deng N, Zhang X, Zhao F, et al. Prevalence of lipohypertrophy in insulin-treated diabetes patients: A systematic review and meta-analysis. J Diabetes Investig. 2017. doi: 10.1111/jdi.12742
14. Gentile S, Guarino G, Giancaterini A, et al. A suitable palpation technique allows to identify skin lipohypertrophic lesions in insulin-treated people with diabetes. Springerplus. 2016;5:563. doi: 10.1186/s40064-016-1978-y
15. Volkova N, Davidenko I, Rudakova J, Sesukina A. Insulin-induced lipohypertrophy diagnostics in diabetic patients: subcutaneous fat ultrasonography. Endocrine Abstracts. 2015. doi: 10.1530/endoabs.37.EP351
16. Pickup JC, Yemane N, Brackenridge A, Pender S. Nonmetabolic complications of continuous subcutaneous insulin infusion: a patient survey. Diabetes Technol Ther. 2014;16(3):145-149. doi: 10.1089/dia.2013.0192
17. Майоров А.Ю., Мельникова О.Г., Котешкова О.М., и др. Техника инъекций и инфузии при лечении сахарного диабета. Методическое руководство. – М.; 2018. [Mayorov AY, Melnikova OG, Koteshkova OM, et al. Tekhnika in"ektsiy i infuzii pri lechenii sakharnogo diabeta. Metodicheskoe rukovodstvo. Moscow, 2018. (In Russ.)]
18. Hirsch L, Hovelmann U, Famulla S, et al. Insulin injection into regions with lipohypertrophy worsens postprandial blood glucose versus injections into normal adipose tissue. Diabetologia 2015;58(S1):S439. doi: 10.1007/s00125-015-3687-4
Supplementary files
|
|
1. Рисунок 1 | |
| Subject | ||
| Type | Исследовательские инструменты | |
View
(109KB)
|
Indexing metadata ▾ | |
|
|
2. Рисунок 2 | |
| Subject | ||
| Type | Исследовательские инструменты | |
View
(180KB)
|
Indexing metadata ▾ | |
|
|
3. Рисунок 3 | |
| Subject | ||
| Type | Исследовательские инструменты | |
View
(130KB)
|
Indexing metadata ▾ | |
|
|
4. Рисунок 4 | |
| Subject | ||
| Type | Исследовательские инструменты | |
View
(181KB)
|
Indexing metadata ▾ | |
|
|
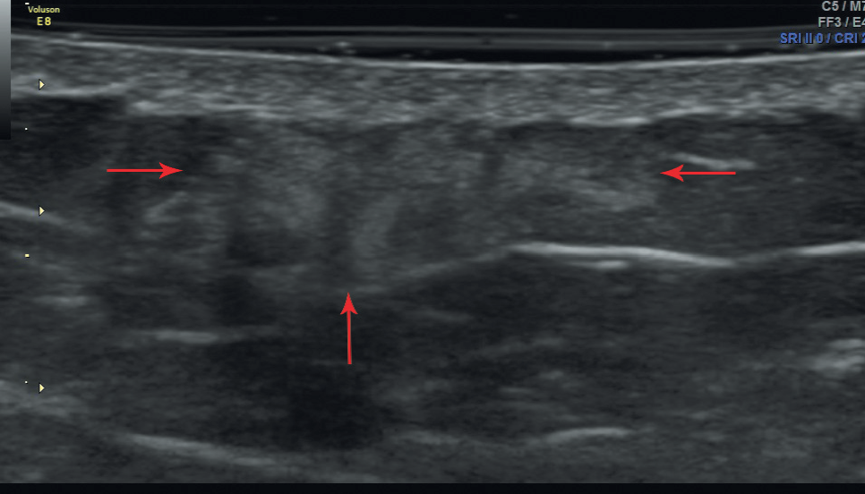
5. Fig. 1. Hyperechoic part of lipohypertrophy in the subcutaneous tissue of the anterior abdominal wall in the area of insulin injections in a patient with diabetes mellitus. S-scan in B-mode. | |
| Subject | ||
| Type | Исследовательские инструменты | |
View
(549KB)
|
Indexing metadata ▾ | |
|
|
6. Fig. 2. Heterogeneous site of lipohypertrophy of increased rigidity in the subcutaneous tissue of the anterior abdominal wall in a patient with diabetes mellitus. Left: gray-scale scanning in B-mode, right: compression sonoelastography, real-time study (Real Time Elastography). Blue painted areas of increased rigidity. | |
| Subject | ||
| Type | Исследовательские инструменты | |
View
(858KB)
|
Indexing metadata ▾ | |
|
|
7. Fig. 3. Reconstruction of lipohypertrophy in the subcutaneous tissue of the anterior abdominal wall in the area of insulin injections in a patient with diabetes mellitus. 3D angio mode. 1 - blood vessels in the subcutaneous tissue in the mode of power doppler; 2 - hypovascular zone in the area of the lipohypertrophy region. | |
| Subject | ||
| Type | Исследовательские инструменты | |
View
(693KB)
|
Indexing metadata ▾ | |
|
|
8. Fig. 4. Analysis of vascularization of lipohypertrophy in the subcutaneous tissue of the anterior abdominal wall in the area of insulin injections in a patient with diabetes mellitus. VOCAL ™ (Virtual Organ Computer Aided anaLysis) program. Above: vascular index values; bottom left: reconstruction of the lipo-hypertrophy section in 3D-angio mode; bottom right: volumetric reconstruction of the lipohypertrophy site. | |
| Subject | ||
| Type | Исследовательские инструменты | |
View
(924KB)
|
Indexing metadata ▾ | |
Review
For citations:
Klimontov V.V., Lazarev M.M., Makhotin A.A., Letyagin A.J., Anisimova L.A., Bulumbaeva D.M., Koroleva E.A., Lykov A.P. Insulin-induced lipohypertrophy: clinical and ultrasound characteristics. Diabetes mellitus. 2018;21(4):255-263.









































