Autoimmune gastritis: comorbid pathology in type 1 diabetes
https://doi.org/10.14341/DM9465
Abstract
In recent years noted an increased number of patients with autoimmune diseases (AID), and the special attention deserves combination of several autoimmune pathologies collected in one patient, because such patients requires special tactics of management. Autoimmune diseases of the gastrointestinal tract are less researched and, nevertheless, prognostically unfavorable. Autoimmune gastritis (AIG) has a special place in other stomach diseases, which develops in the aggregate with type 1 diabetes. AIG is a chronic inflammation of the mucous membrane of the body of the stomach, leading to the appearance of atrophy and hypoxecretion. AIG is found in 5–10% of individuals in general population, with a higher incidence of AIG in patients with diabetes and other established autoimmune pathology.
AIG is asymptomatic at the early stage of the disease and clinical manifestations appear after the atrophic changes in the mucous membrane of the stomach develop. Since autoimmune gastritis does not have pathognomonic signs, it can manifest itself in hematological and oncological complications at later stages. This is why screening, early diagnosis, prevention and treatment are very important. Early diagnosis and prevention of AIG and its complications play the main role. This article provides an overview of the worldwide data dedicated to this issue.
About the Authors
Olga S. DerevyankoLechebniy tsentr Ltd
Russian Federation
MD, PhD
Liudmila I. Ibragimova
Endocrinology Research Centre
Russian Federation
MD, PhD
Magomedkerim R. Ragimov
Endocrinology Research Centre
Russian Federation
MD, PhD student
Tatiana V. Nikonova
Endocrinology Research center
Russian Federation
MD, PhD
References
1. Anaya JM. The autoimmune tautology. A summary of evidence. Joint Bone Spine. 2017;84(3):251-253. doi: 10.1016/j.jbspin.2016.11.012
2. Деревянко О.С. Аутоантитела к неэндокринным органам при сахарном диабете 1 типа: диагностика, оценка клинической значимости и прогноза: Автореф. дис. … канд. мед. наук. – М.; 2014. [Derevyanko OS. Autoantitela k neendokrinnym organam pri sakharnom diabete 1 tipa: diagnostika, otsenka klinicheskoy znachimosti i prognoza. [dissertation] Moscow; 2014. (In Russ.)]
3. Kahaly GJ, Hansen MP. Type 1 diabetes associated autoimmunity. Autoimmun Rev. 2016;15(7):644-648. doi: 10.1016/j.autrev.2016.02.017
4. Toh BH. Diagnosis and classification of autoimmune gastritis. Autoimmun Rev. 2014;13(4-5):459-462. doi: 10.1016/j.autrev.2014.01.048
5. Ивашкин В.Т., Шептулина А.Ф., Райхельсон К.Л., и др. Аутоимунные заболевания органов пищеварительной системы // Вестник Российской академии медицинских наук. – 2015. – Т. 70. – №2. – С. 139-151. [Ivashkin VT, Sheptulina AF, Raikhel'son KL, et al. Autoimmune Diseases of Digestive System. Annals of the Russian Academy of Medical Sciences. 2015;70(2):139-151. (In Russ.)] doi: 10.15690/vramn.v70.i2.1306
6. Barrett SP, Riordon A, Toh BH, et al. Homing and adhesion molecules in autoimmune gastritis. J Leukoc Biol. 2000;67(2):169-173. doi: 10.1002/jlb.67.2.169
7. Varbanova M, Frauenschlager K, Malfertheiner P. Chronic gastritis – an update. Best Pract Res Clin Gastroenterol. 2014;28(6):1031-1042. doi: 10.1016/j.bpg.2014.10.005
8. Whittingham S, Mackay IR. Autoimmune gastritis: historical antecedents, outstanding discoveries, and unresolved problems. Int Rev Immunol. 2005;24(1-2):1-29. doi: 10.1080/08830180590884413
9. Lee JY, Kim N, Lee HS, et al. Correlations among endoscopic, histologic and serologic diagnoses for the assessment of atrophic gastritis. J Cancer Prev. 2014;19(1):47-55.
10. Polydorides AD. Pathology and differential diagnosis of chronic, noninfectious gastritis. Semin Diagn Pathol. 2014;31(2):114-123. doi: 10.1053/j.semdp.2014.02.008
11. De Block CE, De Leeuw IH, Van Gaal LF. Autoimmune gastritis in type 1 diabetes: a clinically oriented review. J Clin Endocrinol Metab. 2008;93(2):363-371. doi: 10.1210/jc.2007-2134
12. Репина Е.А. Общие генетические маркеры сахарного диабета 1-го типа и аутоиммунных заболеваний щитовидной железы // Сахарный диабет. – 2011. – Т. 14. – №2. – С. 23-31. [Repina EA. The role of common genetic markers in susceptibility to type 1 diabetes and autoimmune thyroid diseases. Diabetes Mellitus. 2011;14(2):23-31. (In Russ.)] doi: 10.14341/2072-0351-5630
13. Golden B, Levin L, Ban Y, et al. Genetic analysis of families with autoimmune diabetes and thyroiditis: evidence for common and unique genes. J Clin Endocrinol Metab. 2005;90(8):4904-4911. doi: 10.1210/jc.2004-2236
14. Villano MJ, Huber AK, Greenberg DA, et al. Autoimmune thyroiditis and diabetes: dissecting the joint genetic susceptibility in a large cohort of multiplex families. J Clin Endocrinol Metab. 2009;94(4):1458-1466. doi: 10.1210/jc.2008-2193
15. Smyk DS, Koutsoumpas AL, Mytilinaiou MG, et al. Helicobacter pylori and autoimmune disease: cause or bystander. World J Gastroenterol. 2014;20(3):613-629. doi: 10.3748/wjg.v20.i3.613
16. Волынец Г.В. Клинические и диагностические особенности и принципы терапии аутоиммунного гастрита у детей // Детская гастроэнтерология. – 2005. – №3. – С. 33–37. [Volynets GV. Klinicheskie i diagnosticheskie osobennosti i printsipy terapii autoimmunnogo gastrita u detey. Detskaya gastroenterologiya. 2005;(3):33-37. (In Russ.)]
17. Новикова В.П. Этиопатогенетические и клинико-морфологические особенности хронического гастрита в разном возрасте: Автореф. дис. … д-ра мед. наук. – СПб.; 2009. [Novikova VP. Etiopatogeneticheskie i kliniko-morfologicheskie osobennosti khronicheskogo gastrita v raznom vozraste. [dissertation] Saint-Petersburg; 2009. (In Russ.)]
18. Звягин А.А. Аутоиммунный гастрит и детей с аутоиммунными заболеваниями // Педиатр. – 2013. – Т. 4. – №4. – C. 44-47. [Zvyagin AA. Autoimmune gastritis in children with autoimmune diseases. Pediatrician (St. Petersburg). 2013;4(4):44-47. (In Russ.)]
19. Нижевич АА. Якупова Г.М., Малиевский О.А., и др. Аутоиммунный гастрит у детей с сахарным диабетом 1 типа // Экспериментальная и клиническая гастроэнтерология. – 2016. – №1. – С. 28-33. [Nizhevitch AA, Yakupova GM, Malievsky OA, et al. Autoimmune gastritis in children with type 1 diabetes. Experimental and clinical gastroenterology. 2016;(1):28-33. (In Russ.)]
20. Paruk IM, Ganie Y, Maharaj S, et al. High prevalence of antithyroid peroxidase and antiparietal cell antibodies among patients with type 1 diabetes mellitus attending a tertiary diabetes centre in South Africa. Postgrad Med J. 2017;93(1100):338-343. doi: 10.1136/postgradmedj-2016-134420
21. Fallahi P, Ferrari SM, Ruffilli I, et al. The association of other autoimmune diseases in patients with autoimmune thyroiditis: Review of the literature and report of a large series of patients. Autoimmun Rev. 2016;15(12):1125-1128. doi: 10.1016/j.autrev.2016.09.009
22. Culquichicon-Sanchez C, Correa R, Flores-Guevara I, et al. Immune Thrombocytopenic Purpura and Gastritis by H. pylori Associated With Type 1 Diabetes Mellitus. Cureus. 2016;8(2):e512. doi: 10.7759/cureus.512
23. Villanacci V, Casella G, Lanzarotto F, et al. Autoimmune gastritis: relationships with anemia and Helicobacter pylori status. Scand J Gastroenterol. 2017;52(6-7):674-677. doi: 10.1080/00365521.2017.1288758
24. De Block CEM, De Leeuw IH, Van Gaal LF. High Prevalence of Manifestations of Gastric Autoimmunity in Parietal Cell Antibody- Positive Type 1 (Insulin-Dependent) Diabetic Patients1. J Clin Endocrinol Metab. 1999;84(11):4062-4067. doi: 10.1210/jcem.84.11.6095
25. Vannella L, Lahner E, Annibale B. Risk for gastric neoplasias in patients with chronic atrophic gastritis: a critical reappraisal. World J Gastroenterol. 2012;18(12):1279-1285. doi: 10.3748/wjg.v18.i12.1279
Supplementary files
|
|
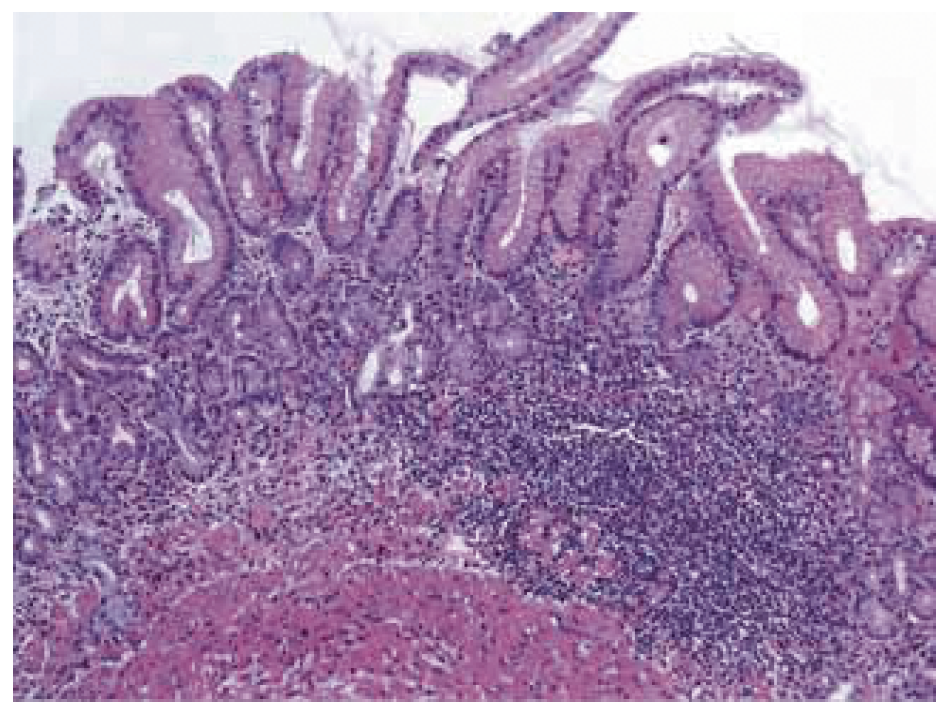
1. Fig. 1. Autoimmune gastritis. Stained with hematoxylin-eosin [5]. | |
| Subject | ||
| Type | Исследовательские инструменты | |
View
(694KB)
|
Indexing metadata ▾ | |
|
|
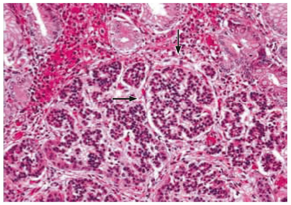
2. Fig. 2. Stomach carcinoid: a cluster of neuroendocrine cells in the lamina propria of the mucosa against the background of autoimmune atrophic gastritis with areas of intestinal metaplasia Stained with hematoxylin-eosin [5]. | |
| Subject | ||
| Type | Исследовательские инструменты | |
View
(757KB)
|
Indexing metadata ▾ | |
Review
For citations:
Derevyanko O.S., Ibragimova L.I., Ragimov M.R., Nikonova T.V. Autoimmune gastritis: comorbid pathology in type 1 diabetes. Diabetes mellitus. 2018;21(5):404-408. (In Russ.) https://doi.org/10.14341/DM9465
This work is licensed under a Creative Commons Attribution-NonCommercial-NoDerivatives 4.0 International License (CC BY-NC-ND 4.0).









































