Preview

Diabetes mellitus

Advanced search

COVID-19 and kidneys

https://doi.org/10.14341/DM12506

Abstract

COVID-19 poses a real threat to patients with comorbid conditions such as diabetes mellitus (DM), hypertension, cardiovascular, renal or hepatic disorders. Kidney damage is very likely in people with diabetes who have undergone a new infection, and the risk of developing acute renal injury is associated with mortality. Potential mechanisms of kidney involvement in the clinical picture of the disease may include cytokine damage, cross-organ damage, and systemic effects that determine the treatment strategy. These mechanisms are closely interrelated and are important for individuals on extracorporeal therapy and kidney transplants. Autopsy data provide evidence of SARS-CoV-2 virus invasion into kidney tissue with damage to tubular epithelium cells and podocytes, and red blood cell aggregation in severely COVID-19 patients. By including individuals with chronic kidney disease in planned COVID-19 research protocols, an evidence base for effective and safe treatments can be generated.

About the Authors

M. S. Shamkhalova
Endocrinology Research Centre
Россия

MD, PhD



N. G. Mokrysheva
Endocrinology Research Centre
Россия

MD, PhD, Professor



M. V. Shestakova
Endocrinology Research Centre
Россия

MD, PhD, Professor



References

1. Leung C. Clinical features of deaths in the novel Coronavirus epidemic in China. Rev Med Virol. 2020;30(3):e2103. doi: https://doi.org/10.1002/rmv.2103

2. Cheng Y, Luo R, Wang K, et al. Kidney disease is associated with in-hospital death of patients with COVID-19. Kidney Int. 2020;97(5):829−838. doi: https://doi.org/10.1016/j.kint.2020.03.005

3. Tang N, Bai H, Chen X, et al. Anticoagulant treatment is associated with decreased mortality in severe coronavirus disease 2019 patients with coagulopathy. J Thromb Haemost. 2020;18(5):1094−1099. doi: https://doi.org/10.1111/jth.14817

4. Schoen K, Horvat N, Guerreiro NF, et al. Spectrum of clinical and radiographic findings in patients with diagnosis of H1N1 and correlation with clinical severity. BMC Infect Dis. 2019;19(1):964. doi: https://doi.org/10.1186/s12879-019-4592-0

5. Yang JK, Feng Y, Yuan MY, et al. Plasma glucose levels and diabetes are independent predictors for mortality and morbidity in patients with SARS. Diabetic Med. 2006;23(6):623−628. doi: https://doi.org/10.1111/j.1464-5491.2006.01861.x

6. Banik GR, Alqahtani AS, Booy R, Rashid H. Risk factors for severity and mortality in patients with MERS-CoV: analysis of publicly available data from Saudi Arabia. Virol Sin. 2016;31(1):81–84. doi: https://doi.org/10.1007/s12250-015-3679-z

7. Koye DN, Magliano DJ, Nelson RG, Pavkov ME. The global epidemiology of diabetes and kidney disease. Adv Chronic Kidney Dis. 2018;25(2):121−132. doi: https://doi.org/10.1053/j.ackd.2017.10.011

8. Fox CS, Matsushita K, Woodward M, et al. Associations of kidney diseases measures with mortality and end-stage renal disease in individuals with and without diabetes: a meta-analysis. Lancet. 2012;380(98540):1662−1673. doi: https://doi.org/10.1016/S0140-6736(12)61350-6

9. Larsen CP, Bourne TD, Wilson JD, et al. Collapsing glomerulopathy in a patient with coronavirus disease 2019 (COVID-19). Kidney Int Rep. 2020;5(6):935−939. doi: https://doi.org/10.1016/j.ekir.2020.04.002

10. The team of Zhong Nanshan responded that the isolation of SARS-CoV-2 from urine remind us to pay more attention to the cleaning of individuals and families. Guangzhou Daily [cited 2020 February 22].

11. Chu KH, Tsang WK, Tang CS, et al, Acute renal impairment in coronavirus-associated severe acute respiratory syndrome. Kidney Int. 2005;67(2):698–705. doi: https://doi.org/10.1111/j.1523-1755.2005.67130.x

12. Chen N, Zhou M, Dong X, et al. Epidemiological and clinical characteristics of 99 cases of 2019 novel coronavirus pneumonia in Wuhan, China: a descriptive study. Lancet. 2020;395(10223):507–513. doi: https://doi.org/10.1016/S0140-6736(20)30211-7

13. Guan WJ, Ni ZY, Hu Y, et al. Clinical characteristics of coronavirus disease 2019 in China. N Engl J Med. https://doi.org/10.1056/NEJMoa2002032

14. Li Z, Wu M, Guo J, et al. Caution on kidney dysfunctions of 2019-nCoV patients. medRxiv. 2020. https://doi.org/10.1101/2020.02.08.20021212

15. Hirsch JS, Ng JH, Ross DW, et al. Acute kidney injury in patients hospitalized with COVID-19. Kidney Int. 2020;98(1):209−218. doi: https://doi.org/10.1016/j.kint2020.05.006

16. Ronco C, Reis T. Kidney involvement in COVID-19 and rationale for extracorporeal therapies. Nat Rev Nephrol. 2020;16(6):308−310. doi: https://doi.org/10.1038/s41581-020-0284-7

17. Husain-Syed F, Slutsky AS, Ronco C. Lung-kidney cross-talk in the critically ill patient. Am J Respir Crit Care Med. 2016;194(4):402−414. doi: https://doi.org/10.1164/rccm.201602-0420CP

18. Panitchote A, Mehkri O, Hastings A, et al. Factors associated with acute kidney injury in acute respiratory distress syndrome. Ann Intensive Care. 2019;9(1):74. doi: https://doi.org/10.1186/s13613-019-0552-5

19. Wu C. Chen I, Cai Y, et al. Risk factors associated with acute respiratory distress syndrome and death in patients with coronavirus disease 2019 pneumonia in Wuhan, China. JAMA Intern Med. 2020;e200994. https://doi.org/10.1001/jamainternmed.2020.0994

20. Su H, Yang M. Wan Ch, et al. Renal histopathological analysis of 26 postmortem findigs of patients with COVID-19 in China. Kidney International. 2020;98(1):219-227. doi: https://doi.org/10.1016/j.kint.2020.04.003

21. Ma Y, Diao B, Lv X, Zhu J. 2019 novel coronavirus disease in hemodialysis (HD) patients: report from one HD center in Wuhan, China. medRxiv. 2020. doi: https://doi.org/10.1101/2020.02.24.20027201

22. Expert Team of Chinese Medical Association Nephrology Branch. Recommendations for prevention and control of novel coronavirus infection in blood purification center (room) from Chinese Medical Association Nephrology Branch. Chin J Nephrol. 2020;36:82–84.

23. Hwang S-J. Guideline for dialysis facilities during COVID-19 outbreak. Taiwan Society of Nephrology [cited 2020 March 16].

24. Naicker S, Yang CW, Hwang S, et al. The novel coronavirus 2019 epidemic and kidneys. Kidney International. 2020;97(5):824−828. doi: https://doi.org/10.1016/j.kint.2020.03.001

25. Fishman JA, Grossi PA. Novel coronavirus-19 (COVID-19) in the immunocompromised transplant recipient: #Flatteningthecurve. Am J Transplant. 2020;20(7):1765−1767. doi: https://doi.org/10.1111/ajt.15890

26. Akalin E, Azzi Y, Bartash R, et al. Covid-19 and kidney transplantation. N Engl J Med. 2020;382(25):2475−2477. doi: https://doi.org/10.1056/NEJMc2011117

27. Pereira MR, Mohan S, Cohen DJ, et al. COVID-19 in solid organ transplant recipients: initial report from the US epicenter. Am J Transplant. 2020;20(7):1800−1808. doi: https://doi.org/10.1111/ajt.15941

28. Columbia University Kidney Transplant Program. Early description of coronavirus 2019 disease in kidney transplant recipients in New York. J Am Soc Nephrol. 2020;31(6):1150−1156. doi: https://doi.org/10.1681/ASN.2020030375

29. Fernandez-Ruiz M, Andres A, Loinaz C, et al. COVID-19 in solid organ transplant recipients: a single-center case series from Spain. Am J Transplant. 2020;20(7):1849−185. doi: https://doi.org/10.1111/ajt.15929

30. Alberici FD, Delbarba E, Manenti C, et al. A single center observational study of the clinical characteristics and short-term outcome of 20 kidney transplant patients admitted for SARS-CoV2 pneumonia. Kidney Int. 2020;97(6):1083−1088. doi: https://doi.org/10.1016/j.kint.2020.04.002

31. Banerjee DP, Shah S, Ster IC, et al. COVID-19 infection in kidney transplant recipients. Kidney Int. 2020;97(6):1076−1082. doi: https://doi.org/10.1016/j.kint.2020.03.018

32. Lubetzky M, Aull M, Shapiro-Craig R, et al. Kidney allograft recipients diagnosed with coronavirus disease-2019: a single center report. Nephrol Dial Transplant. 2020. https://doi.org/10.1101/2020.04.30.20086462

33. López V, Vázquez T, Alonso-Titos J, et al. Recommendations on management of the SARS-CoV-2 coronavirus pandemic (Covid-19) in kidney transplant patients. Nefrologia. 2020;40(3):265−271. https://doi.org/10.1016/j.nefro.2020.03.002

34. Société Francophone de Transplantation (SFT); Société Francophone de Néphrologie, Dialyse et Transplantation (SFNDT) Groupe Infection et immunodépression; Société de pathologie infectieuse de langue franceaise (SPILF). Prise en charge de l’infection due au SARS-CoV-2 chez les patients adultes transplantés d’organe solide 2020 [cited 2020 May 1]. Available at: https://www.sfndt.org/sites/www.sfndt.org/files/medias/documents/Recos%20COVID19%20guide%20pratique%20SFT%20SFNDT%20SPILF%2003%2004%2020.pdf

35. British Transplant Society. Guidance on the management of transplant recipients diagnosed with or suspected of having COVID19 [cited 2020 May 1]. Available at: https://bts.org.uk/wp-content/uploads/2020/07/Clinical-management-of-transplants-and-immunosuppression-updated-9th-July.pdf

36. American Society of Transplantation. 2019-nCoV (Coronavirus): FAQs for organ donation and transplantation [cited 2020 May 1]. Available at: https://www.myast.org/sites/default/files/COVID19%20FAQ%20Tx%20Centers%2003.20.2020-FINAL.pdf

37. Maggiore U, Abramowicz D, Crespo M, et al. How should I manage immunosuppression in a kidney transplant patient with COVID-19? An ERA-EDTA DESCARTES expert opinion. Nephrol Dial Transplant. 2020;35(6):899−904. doi: https://doi.org/10.1093/ndt/gfaa130


Supplementary files

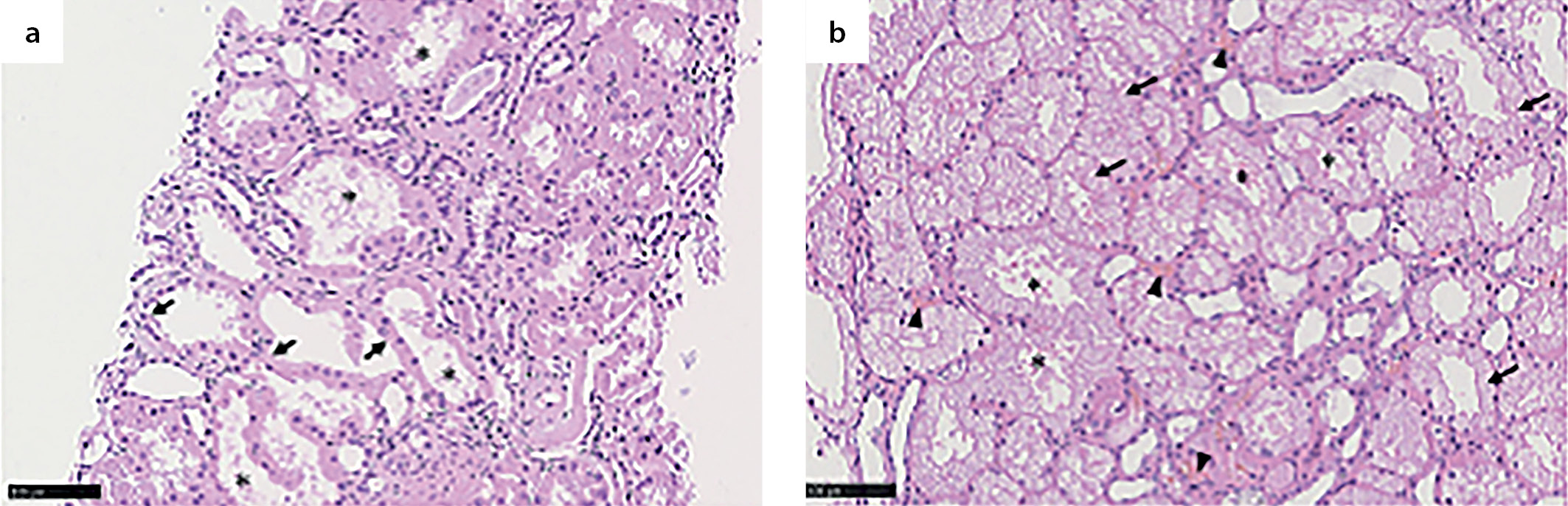
1. Fig. 1. Proximal tubules with vacuole degeneration (arrows) (a), aggregates of red blood cells in peritubular capillaries (arrowheads) (b). Post-mortem histological examination of a patient with COVID-19 (light microscopy).
Subject
Type Other
View (433KB)    
Indexing metadata ▾
2. Fig. 2. coronavirus Particles (red arrows) with characteristic spines (green arrows) in the cytoplasm of the proximal tubules (a) and podocytes (b). Post-mortem histological examination of a patient with COVID-19 (electron microscopy).
Subject
Type Other
View (353KB)    
Indexing metadata ▾
3. Fig. 3. Nuclear protein SARS-CoV in the tubal epithelium. Post-mortem histological examination of a patient with COVID-19 (immunofluorescence analysis).
Subject
Type Other
View (172KB)    
Indexing metadata ▾

Review

For citations:


Shamkhalova M.S., Mokrysheva N.G., Shestakova M.V. COVID-19 and kidneys. Diabetes mellitus. 2020;23(3):235-241. (In Russ.) https://doi.org/10.14341/DM12506

Views: 19930

JATS XML

ISSN 2072-0351 (Print)
ISSN 2072-0378 (Online)